Hamburger Menu Button
Thermo Fisher Scientific Logo
登录
没有账号?建立账号 注册
  • 产品
    • 抗体
    • 引物合成
    • GeneArt Gene Synthesis Instant Designer
    • TaqMan Assay and Array Search
    • PCR 设备和耗材
    • 色谱柱和纯化柱
    • 实验室离心机
    • 分子生物学试剂和试剂盒
    • 实验室塑料耗材及用品
    • 查看所有产品分类
  • 应用和技术
    • 色谱
    • 细胞转染和培养
    • 实时荧光定量PCR
    • 质谱
    • 实验室塑料耗材及用品
    • 电子显微镜
    • 蛋白质生物学
    • PCR
    • RNAi
    • 环境
    • 查看所有应用和技术
  • 服务
    • 定制服务
    • 企业级实验室信息化服务
    • 金融&租赁服务
    • 仪器服务
    • OEM和商业供应
    • 培训服务
    • 360° CDMO 和 CRO 服务
    • CDMO 服务
    • 临床试验 CRO 服务
    • Unity Lab Services
    • 查看所有帮助和支持
  • 帮助和支持
    • 学习中心
    • 联系我们
    • 更改国家或地区
    • 查看所有帮助和支持
  • 热门产品
    • TaqMan Real-Time PCR Assays
      TaqMan 实时荧光定量 PCR 试剂盒
    • Antibodies
      抗体
    • Oligos, Primers & Probes
      寡核苷酸、引物、探针
    • GeneArt Gene Synthesis
      GeneArt 基因合成
    • Cell Culture Plastics
      细胞培养耗材
  • Who We Serve
    • 抗体治疗解决方案
    • 细胞与基因治疗解决方案
    • 学术科研
    • 工业与应用
  • 联系我们
  • 货号直购
  • 订单查询
  • 查找文件&证书
Thermo Fisher Scientific Logo

Search

搜索全部或下列指定分类
Search button
          • 联系我们
          • 货号直购
          • 登录
            登录
            没有账号?建立账号 注册
            • 我的账号
            • 订单
            • 会员中心
            • 账单及发票查询
            • 定制产品及项目
          • Primary Antibodies ›
          • IFN alpha Antibodies

          Invitrogen

          IFN alpha Monoclonal Antibody (RMMA-1)

          1个已发表图片
          1 篇参考文献
          查看其他41个IFN alpha抗体

          {{$productOrderCtrl.translations['antibody.pdp.commerceCard.promotion.promotions']}}

          {{$productOrderCtrl.translations['antibody.pdp.commerceCard.promotion.viewpromo']}}

          {{$productOrderCtrl.translations['antibody.pdp.commerceCard.promotion.promocode']}}: {{promo.promoCode}} {{promo.promoTitle}} {{promo.promoDescription}}. {{$productOrderCtrl.translations['antibody.pdp.commerceCard.promotion.learnmore']}}

          说明书
          证书
          实验方案
          问题与答案
          技术支持
          说明书
          证书
          实验方案
          问题与答案
          技术支持
          说明书
          证书
          实验方案
          问题与答案
          技术支持

          Cite IFN alpha Monoclonal Antibody (RMMA-1)

          Additional Information:
          {{banner.description}}
          {{$ctrl.isSkuNotesCollapsed ? 'View more' : 'View less'}}
          • 已发表图片 (1)
          IFN alpha Antibody in ELISA (ELISA)
          Group 53 Created with Sketch.
          IFN alpha Antibody in ELISA (ELISA)
          Group 53 Created with Sketch.

          图: 1 / 1

          {{ $ctrl.currentElement.advancedVerification.fullName }}
          {{ $ctrl.currentElement.advancedVerification.text }}

          IFN alpha Antibody (221001) in ELISA

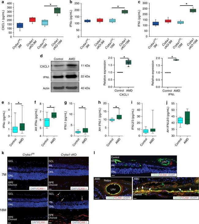
          Communications biology 2020 - Fig. 2 Increased levels of neutrophil regulating factors in retinas from Cryba1 cKO mice and human early AMD donor eyes. The levels of a CXCL1, b IFNalpha, and c IFNlamda were increased in the RPE-choroid tissue homogenate of 15-month-old Cryba1 cKO mice compared to age-matched Cryba1 fl/fl controls as measured by ELISA. No changes were observed in 3-month-old mice. n = 6. * P < 0.05 (one-way ANOVA and Tuke... View More {{ $ctrl.currentElement.advancedVerification.fullName }} 验证信息 View more
          已发表图片由___提供 benchsci-logo
          PMID: {{$ctrl.currentElement.benchSciPubmedId}}
          查看产品

          {{$ctrl.videoDesc}}

          {{$ctrl.videoLongDesc}}

          IFN alpha Antibody in ELISA (ELISA)

          产品信息

          221001

          应用
          建议稀释比
          已发表文章

          酶联免疫吸附实验 (ELISA)

          Assay-dependent
          查看1篇已发表文章 1篇已发表文章

          中和实验 (Neu)

          Assay-dependent
          -
          产品规格

          种属反应

          Mouse

          宿主/亚型

          Rat / IgG1

          分类

          Monoclonal

          类型

          Antibody

          克隆号

          RMMA-1

          抗原

          mouse interferon alpha

          偶联物

          Unconjugated Unconjugated Unconjugated

          形式

          Liquid

          浓度

          2.5 mg/mL

          规格

          250 µg

          纯化类型

          Affinity chromatography, Ion-exchange chromatography, Size-exclusion chromatography

          保存液

          0.3M sodium bicarbonate, pH 8.0, with 0.2M NaCl

          内含物

          no preservative

          保存条件

          -80°C, Avoid Freeze/Thaw Cycles

          运输条件

          Ambient (domestic); Wet ice (international)

          RRID

          AB_223544

          产品详细信息

          221001 targets IFN alpha in ELISA and Neutralization applications and shows reactivity with mouse samples. Purity is greater than 95%, and endotoxin level is less than 1 EU/ug.



          In neutralization assays, one neutralization unit is the amount of antiserum required to neutralize one unit of mouse IFN alpha to a 50% endpoint. This antibody is expected to work in IP applications, although it has not been fully evaluated for IP.



          After receipt, the product may be stored at -20C for short-term use (under 6 months). For long-term storage, the product should be kept at -70C or below for retention of full activity.



          IFN alpha has a predicted molecular weight of approximately 19 kDa.

          靶标信息

          IFN alpha (Interferon alpha) is a Type I interferon belonging to a family of structurally related, species-specific proteins exclusive to vertebrates. The interaction of IFN-alpha with its receptor component result in the activation of a number of signaling pathways which are mainly involved in innate immune response against viral infection. In humans, the gene for IFN alpha is located on on chromosome 9. The type I interferons consist of 14 different alpha isoforms (subtypes with slightly different specificities), and single beta, omega, epsilon and kappa isoforms. Homologous molecules are found in many species, including rats and mice (and most mammals), and have been identified in birds, reptiles and fish species. IFN alpha is produced primarily by plasmacytoid dendritic cells, is a potent component of the anti-viral innate immune response and modulates adaptive immunity. Diseases associated with the dysfunction of IFN alpha include Hepatitis C and Hepatitis.

          仅用于科研。不用于诊断过程。未经明确授权不得转售。

          生物信息学

          蛋白别名: ifa; IFN alpha 1/13; IFN alpha 1b; IFN α; IFN-alpha-1; IFN-ALPHA-2; IFN-ALPHAA; IFNA; IFNA2A; IFNA2B; IFNA2C; IFNAalphaIFN-alpha-1/13; IFNalpha; IFNα; Interferon alpha 13 (IFNA13); interferon alpha 15; interferon alpha family gene 1; interferon alpha family, gene 2; Interferon alpha leukocyte (IFL); Interferon alpha-1; Interferon alpha-1/13 (IFN-alpha-1/13); interferon alpha-2; Interferon alpha-D (IFN alphaD); Interferon alpha1 (IFNA1); LEIF A; MGC138207; MGC138505; MGC138507; novel interferon alpha (Ifna) family member

          查看更多 收起

          基因别名: Gm12597; Ifa1; Ifa2; Ifna1; Ifnaa; MuIFN-alpha-A; OTTMUSG00000007655

          查看更多 收起

          UniProt ID: (Mouse) P01572

          查看更多 收起

          Entrez Gene ID: (Mouse) 15962, (Mouse) 242517, (Mouse) 15965

          查看更多 收起

          功能
          cytokine activity cytokine receptor binding type I interferon receptor binding interferon superfamily
          参与通路
          adaptive immune response T cell activation involved in immune response natural killer cell activation involved in immune response defense response humoral immune response cytokine-mediated signaling pathway B cell differentiation positive regulation of peptidyl-serine phosphorylation of STAT protein B cell proliferation defense response to bacterium response to exogenous dsRNA defense response to virus
          It has to be done as per old AB suggested Products section.

          Disclaimer

          Close

          Clicking the images or links will redirect you to a website hosted by BenchSci that provides third-party scientific content. Neither the content nor the BenchSci technology and processes for selection have been evaluated by us; we are providing them as-is and without warranty of any kind, including for use or application of the Thermo Fisher Scientific products presented.

          guarantee_icon

          性能保障

          只要您发现Invitrogen抗体在实验中的表现与网站或说明书的所述内容不符,您即可享受免费退换货服务。*

          了解更多
          help_icon

          随时为您服务

          获取常见问题的专家解答,或者直接联系我们的技术专家,咨询应用、设备、常规产品使用问题。

          联系技术支持
          订购 Plus Icon Minus Icon
          • 订单状态查询
          • 订单支持
          • 货号直购
          • 现货供应中心
          • 电子采购
          支持 Plus Icon Minus Icon
          • 帮助&支持
          • 联系我们 - 400 820 8982
          • 技术支持中心
          • 查找文件&证书
          • 报告网站问题
          资源 Plus Icon Minus Icon
          • 学习中心
          • 促销
          • 活动&研讨会
          • 社交媒体
          关于赛默飞 Plus Icon Minus Icon
          • 关于我们
          • 招聘 招聘
          • 投资者关系 投资者关系
          • 新闻 新闻
          • 社会责任 社会责任
          • 商标
          • 政策和通知
          品牌 Plus Icon Minus Icon
          • Thermo Scientific
          • Applied Biosystems
          • Invitrogen
          • Gibco
          • Ion Torrent
          • Unity Lab Services
          • Patheon
          • PPD
          • 服务条款
          • 隐私政策
          • 定价和运输保险政策
          © 2006-2026 Thermo Fisher Scientific Inc. All rights reserved. All trademarks are the property of Thermo Fisher Scientific and its subsidiaries unless otherwise specified.
          China flag icon
          China
          本网站销售的所有产品均不得用于人类或动物之临床诊断或治疗,仅可用于工业或者科研等非医疗目的。
             电子营业执照 | 经营证照公示 | ICP备案号:沪ICP备11003924号 | 沪公网安备 31011502006935号

          Your items have has been added!


          Host server : magellan-search-green-6479c7f679-v472f:80/100.66.78.195:80.
          git-commit: b70c0dceb888abc3b0dcebb5bc3a5b8753e7e816
          git-url: https://github.com/thermofisher/magellan-search
          git-branch: release/2.50.0-Offline