Hamburger Menu Button
Thermo Fisher Scientific Logo
登录
没有账号?建立账号 注册
  • 产品
    • 抗体
    • 引物合成
    • GeneArt Gene Synthesis Instant Designer
    • TaqMan Assay and Array Search
    • PCR 设备和耗材
    • 色谱柱和纯化柱
    • 实验室离心机
    • 分子生物学试剂和试剂盒
    • 实验室塑料耗材及用品
    • 查看所有产品分类
  • 应用和技术
    • 色谱
    • 细胞转染和培养
    • 实时荧光定量PCR
    • 质谱
    • 实验室塑料耗材及用品
    • 电子显微镜
    • 蛋白质生物学
    • PCR
    • RNAi
    • 环境
    • 查看所有应用和技术
  • 服务
    • 定制服务
    • 企业级实验室信息化服务
    • 企业服务
    • 金融&租赁服务
    • 仪器服务
    • OEM和商业供应
    • 培训服务
    • 360° CDMO 和 CRO 服务
    • CDMO 服务
    • 临床试验 CRO 服务
    • 查看所有帮助和支持
  • 帮助和支持
    • 学习中心
    • 联系我们
    • 更改国家或地区
    • 查看所有帮助和支持
  • 热门产品
    • TaqMan Real-Time PCR Assays
      TaqMan 实时荧光定量 PCR 试剂盒
    • Antibodies
      抗体
    • Oligos, Primers & Probes
      寡核苷酸、引物、探针
    • GeneArt Gene Synthesis
      GeneArt 基因合成
    • Cell Culture Plastics
      细胞培养耗材
  • 联系我们
  • 货号直购
  • 订单查询
  • 查找文件&证书
Thermo Fisher Scientific Logo

Search

搜索全部或下列指定分类
Search button
          • 联系我们
          • 货号直购
          • 登录
            登录
            没有账号?建立账号 注册
            • 我的账号
            • 订单
            • 账单及发票查询
            • 定制产品及项目

          Disclaimer

          Clicking the images or links will redirect you to a website hosted by BenchSci that provides third-party scientific content. Neither the content nor the BenchSci technology and processes for selection have been evaluated by us; we are providing them as-is and without warranty of any kind, including for use or application of the Thermo Fisher Scientific products presented.

          • Primary Antibodies ›
          • IGF1 Antibodies

          OriGene

          IGF1 Monoclonal Antibody (OTI4B12), TrueMAB™

          查看其他29个IGF1抗体

          {{$productOrderCtrl.translations['antibody.pdp.commerceCard.promotion.promotions']}}

          {{$productOrderCtrl.translations['antibody.pdp.commerceCard.promotion.viewpromo']}}

          {{$productOrderCtrl.translations['antibody.pdp.commerceCard.promotion.promocode']}}: {{promo.promoCode}} {{promo.promoTitle}} {{promo.promoDescription}}. {{$productOrderCtrl.translations['antibody.pdp.commerceCard.promotion.learnmore']}}

          说明书
          证书
          实验方案
          问题与答案
          技术支持
          说明书
          证书
          实验方案
          问题与答案
          技术支持
          说明书
          证书
          实验方案
          问题与答案
          技术支持

          Cite IGF1 Monoclonal Antibody (OTI4B12), TrueMAB™

          Additional Information:
          {{banner.description}}
          {{$ctrl.isSkuNotesCollapsed ? 'View more' : 'View less'}}
          • 抗体检测数据 (5)
          IGF1 Antibody in Immunohistochemistry (Paraffin) (IHC (P))
          Group 53 Created with Sketch.
          IGF1 Antibody in Immunohistochemistry (Paraffin) (IHC (P))
          Group 53 Created with Sketch.

          图: 1 / 5

          {{ $ctrl.currentElement.advancedVerification.fullName }}
          {{ $ctrl.currentElement.advancedVerification.text }}

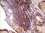
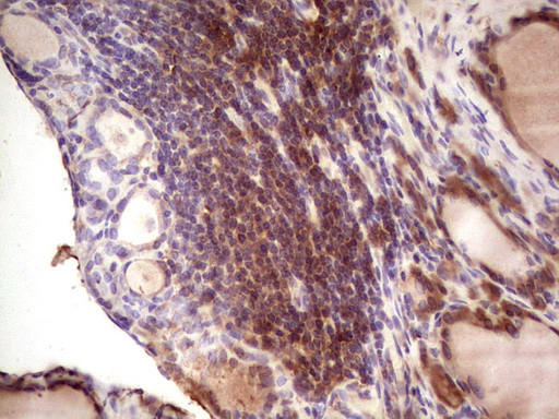
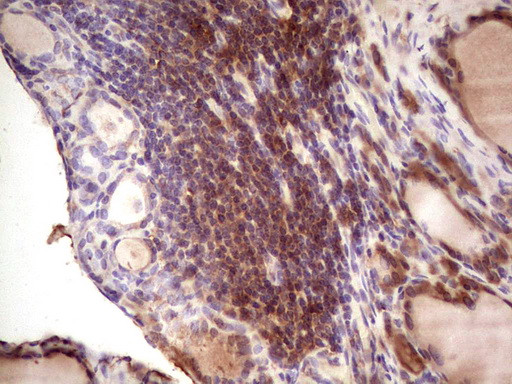
          IGF1 Antibody (TA805748) in IHC (P)

          Immunohistochemical staining of paraffin-embedded human thyroid tissue within the normal limits using anti-IGF1 mouse monoclonal antibody. (Heat-induced epitope retrieval by 1 mM EDTA in 10mM Tris, pH8.5, 120°C for 3min, TA805748) {{ $ctrl.currentElement.advancedVerification.fullName }} 验证信息 View more
          已发表图片由___提供 benchsci-logo
          PMID: {{$ctrl.currentElement.benchSciPubmedId}}
          查看产品

          {{$ctrl.videoDesc}}

          {{$ctrl.videoLongDesc}}

          IGF1 Antibody in Immunohistochemistry (Paraffin) (IHC (P))
          IGF1 Antibody in Immunohistochemistry (Paraffin) (IHC (P))
          IGF1 Antibody in Immunohistochemistry (Paraffin) (IHC (P))
          IGF1 Antibody in Immunohistochemistry (Paraffin) (IHC (P))
          IGF1 Antibody in Western Blot (WB)
          IGF1 Monoclonal Antibody (OTI4B12), TrueMAB™

          产品信息

          TA805748

          应用
          建议稀释比
          已发表文章

          免疫印迹 (WB)

          1:2,000
          -

          免疫组化(石蜡) (IHC (P))

          1:150
          -
          产品规格

          种属反应

          Human

          宿主/亚型

          Mouse / IgG2a

          分类

          Monoclonal

          类型

          Antibody

          克隆号

          OTI4B12

          抗原

          Human recombinant protein fragment corresponding to amino acids 1-151 of human IGF1 produced in E.coli.
          查看免疫原

          偶联物

          Unconjugated Unconjugated Unconjugated

          形式

          Liquid

          浓度

          1 mg/mL

          纯化类型

          Affinity chromatography

          保存液

          PBS with 1% BSA, 50% glycerol

          内含物

          0.02% sodium azide

          保存条件

          -20°C, Avoid Freeze/Thaw Cycles

          运输条件

          Ambient (domestic); Wet ice (international)

          靶标信息

          IGF1 (Insulin-like growth factor-1) is structurally and functionally related to insulin but has a much higher growth-promoting activity. A variety of cellular responses are induced by IGF1, including cell proliferation, differentiation, migration, and survival. Further, IGF1 is a polypeptide growth factor that stimulates the proliferation of a wide range of cell types in muscle, bone, and cartilage tissue. IGF1 stimulates glucose transport in rat bone-derived osteoblastic (PyMS) cells and is effective at much lower concentrations than insulin, not only regarding glycogen and DNA synthesis but also with regards to enhancing glucose uptake. In circulation, IGFs are predominantly bound to binding proteins (IGFBPs) which prolong the half-life of the IGFs and play a role in delivering them to target tissues. IGF-I is known as one of the most potent activators of the AKT signaling pathway which is known to be a stimulator of proliferation and an inhibitor of programmed cell death. Moreover, mature human IGF-I is 100% homologous with bovine and porcine proteins. Low levels of IGF1 have been linked to Alzheimer's disease. IGF1 is processed from a precursor, bound by a specific receptor, and secreted. Defects in the IGF1 gene are a cause of insulin-like growth factor 1 deficiency and several transcript variants encoding different isoforms have been found.

          仅用于科研。不用于诊断过程。未经明确授权不得转售。

          篇参考文献 (0)

          您是否在文献中引用过该产品?请点击下方按钮邮件告知我们。
          引用该产品

          生物信息学

          蛋白别名: H-IGF-1; IGF; IGF-I; IGF-IA; IGF-IB; IGF1A; IGFIa; Insulin like growth factor; Insulin-like growth factor 1; insulin-like growth factor 1 (somatomedin C); Insulin-like growth factor I; insulin-like growth factor IB; M-IGF-1; Mechano growth factor; MGF; OTTHUMP00000195084; R-IGF-1; Somatomedin C; Somatomedin-C

          查看更多 收起

          基因别名: IBP1; IGF-1; IGF-I; IGF1; IGFI; MGF

          查看更多 收起

          UniProt ID: (Human) P05019

          查看更多 收起

          Entrez Gene ID: (Human) 3479

          查看更多 收起

          功能
          insulin receptor binding insulin-like growth factor receptor binding integrin binding hormone activity steroid binding protein binding growth factor activity growth factor
          参与通路
          activation of MAPK activity skeletal system development response to hypoxia cell activation platelet degranulation DNA replication regulation of translation movement of cell or subcellular component signal transduction Ras protein signal transduction muscle organ development female pregnancy aging response to nutrient memory cell proliferation positive regulation of cell proliferation response to heat glycolate metabolic process regulation of gene expression positive regulation of glycoprotein biosynthetic process positive regulation of cardiac muscle hypertrophy phosphatidylinositol 3-kinase signaling positive regulation of phosphatidylinositol 3-kinase signaling response to activity skeletal muscle satellite cell maintenance involved in skeletal muscle regeneration muscle hypertrophy myotube cell development positive regulation of smooth muscle cell migration proteoglycan biosynthetic process positive regulation of cell migration response to caffeine activation of protein kinase B activity response to lipopolysaccharide cellular response to insulin stimulus positive regulation of protein import into nucleus, translocation negative regulation of smooth muscle cell apoptotic process response to nicotine bone mineralization involved in bone maturation regulation of multicellular organism growth positive regulation of activated T cell proliferation positive regulation of tyrosine phosphorylation of Stat5 protein negative regulation of apoptotic process positive regulation of DNA binding positive regulation of MAPK cascade protein kinase B signaling positive regulation of insulin-like growth factor receptor signaling pathway cellular protein metabolic process myoblast differentiation positive regulation of fat cell differentiation positive regulation of osteoblast differentiation positive regulation of glycogen biosynthetic process positive regulation of DNA replication positive regulation of glycolytic process positive regulation of mitotic nuclear division positive regulation of transcription, DNA-templated positive regulation of transcription from RNA polymerase II promoter positive regulation of glucose import positive regulation of Ras protein signal transduction insulin-like growth factor receptor signaling pathway phosphatidylinositol-mediated signaling positive regulation of fibroblast proliferation positive regulation of smooth muscle cell proliferation positive regulation of epithelial cell proliferation positive regulation of protein secretion positive regulation of peptidyl-tyrosine phosphorylation protein stabilization detection of mechanical stimulus involved in sensory perception response to glucocorticoid myoblast proliferation regulation of calcium ion transport negative regulation of oocyte development positive regulation of cell growth involved in cardiac muscle cell development ERK1 and ERK2 cascade positive regulation of calcineurin-NFAT signaling cascade cellular response to electrical stimulus cellular response to estradiol stimulus negative regulation of release of cytochrome c from mitochondria negative regulation of neuron death positive regulation of trophectodermal cell proliferation negative regulation of cholangiocyte apoptotic process positive regulation of transcription regulatory region DNA binding negative regulation of extrinsic apoptotic signaling pathway
          It has to be done as per old AB suggested Products section.
          guarantee_icon

          性能保障

          只要您发现Invitrogen抗体在实验中的表现与网站或说明书的所述内容不符,您即可享受免费退换货服务。*

          了解更多
          help_icon

          随时为您服务

          获取常见问题的专家解答,或者直接联系我们的技术专家,咨询应用、设备、常规产品使用问题。

          联系技术支持
          订购 Plus Icon Minus Icon
          • 订单状态查询
          • 订单支持
          • 货号直购
          • 现货供应中心
          • 电子采购
          支持 Plus Icon Minus Icon
          • 帮助&支持
          • 联系我们 - 400 820 8982
          • 技术支持中心
          • 查找文件&证书
          • 报告网站问题
          资源 Plus Icon Minus Icon
          • 学习中心
          • 促销
          • 活动&研讨会
          • 社交媒体
          关于赛默飞 Plus Icon Minus Icon
          • 关于我们
          • 招聘 招聘
          • 投资者关系 投资者关系
          • 新闻 新闻
          • 社会责任 社会责任
          • 商标
          • 政策和通知
          品牌 Plus Icon Minus Icon
          • Thermo Scientific
          • Applied Biosystems
          • Invitrogen
          • Gibco
          • Ion Torrent
          • Patheon
          • PPD
          • 服务条款
          • 隐私政策
          • 定价和运输保险政策
          © 2006-2026 Thermo Fisher Scientific Inc. All rights reserved. All trademarks are the property of Thermo Fisher Scientific and its subsidiaries unless otherwise specified.
          China flag icon
          China
          本网站销售的所有产品均不得用于人类或动物之临床诊断或治疗,仅可用于工业或者科研等非医疗目的。
             电子营业执照 | 经营证照公示 | ICP备案号:沪ICP备11003924号 | 沪公网安备 31011502006935号

          Your items have has been added!


          Host server : magellan-search-blue-55ff9ddd88-ctdjb:80/100.66.76.55:80.
          git-commit: d366ff9721d93504b2ac26a183b2b3e3d0e7d9ec
          git-url: https://github.com/thermofisher/magellan-search
          git-branch: release/2.42.0-2026.01.03-1.0