Hamburger Menu Button
Thermo Fisher Scientific Logo
登录
没有账号?建立账号 注册
  • 产品
    • 抗体
    • 引物合成
    • GeneArt Gene Synthesis Instant Designer
    • TaqMan Assay and Array Search
    • PCR 设备和耗材
    • 色谱柱和纯化柱
    • 实验室离心机
    • 分子生物学试剂和试剂盒
    • 实验室塑料耗材及用品
    • 查看所有产品分类
  • 应用和技术
    • 色谱
    • 细胞转染和培养
    • 实时荧光定量PCR
    • 质谱
    • 实验室塑料耗材及用品
    • 电子显微镜
    • 蛋白质生物学
    • PCR
    • RNAi
    • 环境
    • 查看所有应用和技术
  • 服务
    • 定制服务
    • 企业级实验室信息化服务
    • 金融&租赁服务
    • 仪器服务
    • OEM和商业供应
    • 培训服务
    • 360° CDMO 和 CRO 服务
    • CDMO 服务
    • 临床试验 CRO 服务
    • Unity Lab Services
    • 查看所有帮助和支持
  • 帮助和支持
    • 学习中心
    • 联系我们
    • 更改国家或地区
    • 查看所有帮助和支持
  • 热门产品
    • TaqMan Real-Time PCR Assays
      TaqMan 实时荧光定量 PCR 试剂盒
    • Antibodies
      抗体
    • Oligos, Primers & Probes
      寡核苷酸、引物、探针
    • GeneArt Gene Synthesis
      GeneArt 基因合成
    • Cell Culture Plastics
      细胞培养耗材
  • Who We Serve
    • 抗体治疗解决方案
    • 细胞与基因治疗解决方案
    • 学术科研
    • 工业与应用
  • 联系我们
  • 货号直购
  • 订单查询
  • 查找文件&证书
Thermo Fisher Scientific Logo

Search

搜索全部或下列指定分类
Search button
          • 联系我们
          • 货号直购
          • 登录
            登录
            没有账号?建立账号 注册
            • 我的账号
            • 订单
            • 会员中心
            • 账单及发票查询
            • 定制产品及项目
          • Primary Antibodies ›
          • IGF2 Antibodies

          Invitrogen

          IGF2 Polyclonal Antibody

          查看其他20个IGF2抗体

          {{$productOrderCtrl.translations['antibody.pdp.commerceCard.promotion.promotions']}}

          {{$productOrderCtrl.translations['antibody.pdp.commerceCard.promotion.viewpromo']}}

          {{$productOrderCtrl.translations['antibody.pdp.commerceCard.promotion.promocode']}}: {{promo.promoCode}} {{promo.promoTitle}} {{promo.promoDescription}}. {{$productOrderCtrl.translations['antibody.pdp.commerceCard.promotion.learnmore']}}

          说明书
          证书
          实验方案
          问题与答案
          技术支持
          说明书
          证书
          实验方案
          问题与答案
          技术支持
          说明书
          证书
          实验方案
          问题与答案
          技术支持

          Cite IGF2 Polyclonal Antibody

          Additional Information:
          {{banner.description}}
          {{$ctrl.isSkuNotesCollapsed ? 'View more' : 'View less'}}
          • 抗体检测数据 (3)
          IGF2 Antibody in Immunocytochemistry (ICC/IF)
          Group 53 Created with Sketch.
          IGF2 Antibody in Immunocytochemistry (ICC/IF)
          Group 53 Created with Sketch.

          图: 1 / 3

          {{ $ctrl.currentElement.advancedVerification.fullName }}
          {{ $ctrl.currentElement.advancedVerification.text }}

          IGF2 Antibody (PA5-120782) in ICC/IF

          Immunofluorescence analysis of IGF2 in HepG2 cells. Samples were incubated with IGF2 Polyclonal antibody (Product # PA5-120782) using a dilution of 1:50 (40x lens). Blue: DAPI for nuclear staining. {{ $ctrl.currentElement.advancedVerification.fullName }} 验证信息 View more
          已发表图片由___提供 benchsci-logo
          PMID: {{$ctrl.currentElement.benchSciPubmedId}}
          查看产品

          {{$ctrl.videoDesc}}

          {{$ctrl.videoLongDesc}}

          IGF2 Antibody in Immunocytochemistry (ICC/IF)
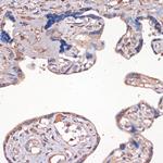
          IGF2 Antibody in Immunohistochemistry (Paraffin) (IHC (P))
          IGF2 Antibody in Western Blot (WB)
          IGF2 Polyclonal Antibody

          产品信息

          PA5-120782

          应用
          建议稀释比
          已发表文章

          免疫印迹 (WB)

          1:500-1:1,000
          -

          免疫组化(石蜡) (IHC (P))

          1:50-1:200
          -

          免疫细胞化学 (ICC/IF)

          1:50-1:200
          -

          酶联免疫吸附实验 (ELISA)

          1 µg/mL
          -
          产品规格

          种属反应

          Human, Mouse, Rat

          宿主/亚型

          Rabbit / IgG

          分类

          Polyclonal

          类型

          Antibody

          抗原

          Recombinant protein (or fragment)
          3D表位/免疫原

          偶联物

          Unconjugated Unconjugated Unconjugated

          形式

          Liquid

          浓度

          0.6 mg/mL

          规格

          60 µg

          纯化类型

          Affinity Chromatography

          保存液

          PBS, pH 7.3, with 50% glycerol

          内含物

          0.05% ProClin 300

          保存条件

          -20°C, Avoid Freeze/Thaw Cycles

          运输条件

          Ambient (domestic); Wet ice (international)

          RRID

          AB_2914354

          产品详细信息

          Positive test controls include: HepG2, SW480, Mouse brain. The target is usually found in the following locations: Secreted.

          Immunogen sequence: AYRPSETLCG GELVDTLQFV CGDRGFYFSR PASRVSRRSR GIVEECCFRS CDLALLETYC ATPAKSERDV STPPTVLPDN FPRYPVGKFF QYDTWKQSTQ RLRRGLPALL RARRGHVLAK ELEAFREAKR HRPLIALPTQ DPAHGGAPPE MASNRK

          靶标信息

          The IGFs are mitogenic, polypeptide growth factors that stimulate the proliferation and survival of various cell types, including muscle, bone, and cartilage tissue in vitro. IGFs are predominantly produced by the liver, although a variety of tissues produce the IGFs at distinctive times. The IGFs belong to the Insulin gene family, which also contains insulin and relaxin. The IGFs are similar to insulin by structure and function, but have a much higher growth-promoting activity than insulin. IGF-II expression is influenced by placenta lactogen, while IGF-I expression is regulated by growth hormone. Both IGF-I and IGF-II signal through the tyrosine kinase type I receptor (IGF-IR), but IGF-II can also signal through the IGF-II/Mannose-6-phosphate receptor. Mature IGFs are generated by proteolytic processing of inactive precursor proteins, which contain N-terminal and C-terminal propeptide regions.

          仅用于科研。不用于诊断过程。未经明确授权不得转售。

          篇参考文献 (0)

          您是否在文献中引用过该产品?请点击下方按钮邮件告知我们。
          引用该产品

          生物信息学

          蛋白别名: FLJ22066; FLJ44734; GIG44; H-IGF-2; IGF; IGF-II; Insulin like growth factor; Insulin-like growth factor 2; insulin-like growth factor 2 (somatomedin A); Insulin-like growth factor II; insulin-like growth factor II (IGF-II); Insulin-like growth factor II (somatomedin A); insulin-like growth factor II isoform 2 variant 4 preprotein; insulin-like growth factor II precursor; insulin-like growth factor type 2; insulin-like growth factor-II; MSA; Multiplication-stimulating activity; Multiplication-stimulating polypeptide; preproinsulin-like growth factor II, domains A-E; preptin; somatomedin A; Somatomedin-A; T3M-11-derived growth factor; unnamed protein product

          查看更多 收起

          基因别名: AL033362; C11orf43; GRDF; IGF-2; IGF-II; IGF2; IGFII; M6pr; Mpr; Peg2; PP1446; PP9974; RNIGF2; SRS3

          查看更多 收起

          UniProt ID: (Human) P01344, (Rat) P01346, (Mouse) P09535

          查看更多 收起

          Entrez Gene ID: (Human) 3481, (Rat) 24483, (Mouse) 16002

          查看更多 收起

          功能
          insulin receptor binding insulin-like growth factor receptor binding integrin binding hormone activity protein binding growth factor activity transmembrane receptor protein tyrosine kinase activator activity protein serine/threonine kinase activator activity receptor agonist activity receptor activator activity growth factor
          参与通路
          negative regulation of transcription from RNA polymerase II promoter ossification osteoblast differentiation in utero embryonic development embryonic placenta development glucose metabolic process regulation of transcription, DNA-templated positive regulation of cell proliferation insulin receptor signaling pathway organ morphogenesis exocrine pancreas development positive regulation of multicellular organism growth positive regulation of activated T cell proliferation positive regulation of MAPK cascade positive regulation of glycogen biosynthetic process positive regulation of mitotic nuclear division positive regulation of transcription from RNA polymerase II promoter positive regulation of organ growth positive regulation of insulin receptor signaling pathway insulin-like growth factor receptor signaling pathway positive regulation of skeletal muscle tissue growth striated muscle cell differentiation regulation of muscle cell differentiation negative regulation of muscle cell differentiation positive regulation of cell division positive regulation of protein kinase B signaling embryonic placenta morphogenesis genetic imprinting positive regulation of vascular endothelial cell proliferation positive regulation of protein phosphorylation female pregnancy memory cell proliferation response to radiation response to organic cyclic compound response to nutrient levels response to estradiol response to nicotine insulin receptor signaling pathway via phosphatidylinositol 3-kinase wound healing response to drug positive regulation of catalytic activity response to ethanol negative regulation of natural killer cell mediated cytotoxicity positive regulation of peptidyl-tyrosine phosphorylation cellular response to mechanical stimulus positive regulation of protein serine/threonine kinase activity positive regulation of steroid hormone biosynthetic process positive regulation of receptor activity positive regulation of glycogen (starch) synthase activity carbohydrate metabolic process
          It has to be done as per old AB suggested Products section.

          Disclaimer

          Close

          Clicking the images or links will redirect you to a website hosted by BenchSci that provides third-party scientific content. Neither the content nor the BenchSci technology and processes for selection have been evaluated by us; we are providing them as-is and without warranty of any kind, including for use or application of the Thermo Fisher Scientific products presented.

          guarantee_icon

          性能保障

          只要您发现Invitrogen抗体在实验中的表现与网站或说明书的所述内容不符,您即可享受免费退换货服务。*

          了解更多
          help_icon

          随时为您服务

          获取常见问题的专家解答,或者直接联系我们的技术专家,咨询应用、设备、常规产品使用问题。

          联系技术支持
          订购 Plus Icon Minus Icon
          • 订单状态查询
          • 订单支持
          • 货号直购
          • 现货供应中心
          • 电子采购
          支持 Plus Icon Minus Icon
          • 帮助&支持
          • 联系我们 - 400 820 8982
          • 技术支持中心
          • 查找文件&证书
          • 报告网站问题
          资源 Plus Icon Minus Icon
          • 学习中心
          • 促销
          • 活动&研讨会
          • 社交媒体
          关于赛默飞 Plus Icon Minus Icon
          • 关于我们
          • 招聘 招聘
          • 投资者关系 投资者关系
          • 新闻 新闻
          • 社会责任 社会责任
          • 商标
          • 政策和通知
          品牌 Plus Icon Minus Icon
          • Thermo Scientific
          • Applied Biosystems
          • Invitrogen
          • Gibco
          • Ion Torrent
          • Unity Lab Services
          • Patheon
          • PPD
          • 服务条款
          • 隐私政策
          • 定价和运输保险政策
          © 2006-2026 Thermo Fisher Scientific Inc. All rights reserved. All trademarks are the property of Thermo Fisher Scientific and its subsidiaries unless otherwise specified.
          China flag icon
          China
          本网站销售的所有产品均不得用于人类或动物之临床诊断或治疗,仅可用于工业或者科研等非医疗目的。
             电子营业执照 | 经营证照公示 | ICP备案号:沪ICP备11003924号 | 沪公网安备 31011502006935号

          Your items have has been added!


          Host server : magellan-search-green-6479c7f679-rv8h9:80/100.66.78.195:80.
          git-commit: b70c0dceb888abc3b0dcebb5bc3a5b8753e7e816
          git-url: https://github.com/thermofisher/magellan-search
          git-branch: release/2.50.0-Offline