Hamburger Menu Button
Thermo Fisher Scientific Logo
登录
没有账号?建立账号 注册
  • 产品
    • 抗体
    • 引物合成
    • GeneArt Gene Synthesis Instant Designer
    • TaqMan Assay and Array Search
    • PCR 设备和耗材
    • 色谱柱和纯化柱
    • 实验室离心机
    • 分子生物学试剂和试剂盒
    • 实验室塑料耗材及用品
    • 查看所有产品分类
  • 应用和技术
    • 色谱
    • 细胞转染和培养
    • 实时荧光定量PCR
    • 质谱
    • 实验室塑料耗材及用品
    • 电子显微镜
    • 蛋白质生物学
    • PCR
    • RNAi
    • 环境
    • 查看所有应用和技术
  • 服务
    • 定制服务
    • 企业级实验室信息化服务
    • 金融&租赁服务
    • 仪器服务
    • OEM和商业供应
    • 培训服务
    • 360° CDMO 和 CRO 服务
    • CDMO 服务
    • 临床试验 CRO 服务
    • Unity Lab Services
    • 查看所有帮助和支持
  • 帮助和支持
    • 学习中心
    • 联系我们
    • 更改国家或地区
    • 查看所有帮助和支持
  • 热门产品
    • TaqMan Real-Time PCR Assays
      TaqMan 实时荧光定量 PCR 试剂盒
    • Antibodies
      抗体
    • Oligos, Primers & Probes
      寡核苷酸、引物、探针
    • GeneArt Gene Synthesis
      GeneArt 基因合成
    • Cell Culture Plastics
      细胞培养耗材
  • Who We Serve
    • 抗体治疗解决方案
    • 细胞与基因治疗解决方案
    • 学术科研
    • 工业与应用
  • 联系我们
  • 货号直购
  • 订单查询
  • 查找文件&证书
Thermo Fisher Scientific Logo

Search

搜索全部或下列指定分类
Search button
          • 联系我们
          • 货号直购
          • 登录
            登录
            没有账号?建立账号 注册
            • 我的账号
            • 订单
            • 会员中心
            • 账单及发票查询
            • 定制产品及项目
          • Primary Antibodies ›
          • IKK epsilon Antibodies

          Invitrogen

          IKK epsilon Polyclonal Antibody

          查看其他18个IKK epsilon抗体

          {{$productOrderCtrl.translations['antibody.pdp.commerceCard.promotion.promotions']}}

          {{$productOrderCtrl.translations['antibody.pdp.commerceCard.promotion.viewpromo']}}

          {{$productOrderCtrl.translations['antibody.pdp.commerceCard.promotion.promocode']}}: {{promo.promoCode}} {{promo.promoTitle}} {{promo.promoDescription}}. {{$productOrderCtrl.translations['antibody.pdp.commerceCard.promotion.learnmore']}}

          说明书
          证书
          实验方案
          问题与答案
          技术支持
          说明书
          证书
          实验方案
          问题与答案
          技术支持
          说明书
          证书
          实验方案
          问题与答案
          技术支持

          Cite IKK epsilon Polyclonal Antibody

          Additional Information:
          {{banner.description}}
          {{$ctrl.isSkuNotesCollapsed ? 'View more' : 'View less'}}
          • 抗体检测数据 (4)
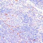
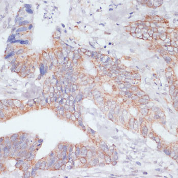
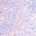
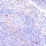
          IKK epsilon Antibody in Immunohistochemistry (Paraffin) (IHC (P))
          Group 53 Created with Sketch.
          IKK epsilon Antibody in Immunohistochemistry (Paraffin) (IHC (P))
          Group 53 Created with Sketch.

          图: 1 / 4

          {{ $ctrl.currentElement.advancedVerification.fullName }}
          {{ $ctrl.currentElement.advancedVerification.text }}

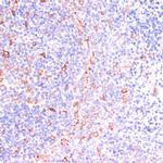
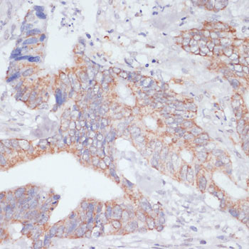
          IKK epsilon Antibody (PA5-87387) in IHC (P)

          Immunohistochemistry analysis of IKK epsilon in paraffin-embedded human colon carcinoma. Samples were incubated with IKK epsilon Polyclonal antibody (Product # PA5-87387) using a dilution of 1:200 (40x lens). Perform microwave antigen retrieval with 10 mM PBS buffer pH 7.2 before commencing with IHC staining protocol. {{ $ctrl.currentElement.advancedVerification.fullName }} 验证信息 View more
          已发表图片由___提供 benchsci-logo
          PMID: {{$ctrl.currentElement.benchSciPubmedId}}
          查看产品

          {{$ctrl.videoDesc}}

          {{$ctrl.videoLongDesc}}

          IKK epsilon Antibody in Immunohistochemistry (Paraffin) (IHC (P))
          IKK epsilon Antibody in Immunohistochemistry (Paraffin) (IHC (P))
          IKK epsilon Antibody in Immunohistochemistry (Paraffin) (IHC (P))
          IKK epsilon Antibody in Western Blot (WB)
          IKK epsilon Polyclonal Antibody

          产品信息

          PA5-87387

          应用
          建议稀释比
          已发表文章

          免疫印迹 (WB)

          1:500-1:2,000
          -

          免疫组化(石蜡) (IHC (P))

          1:50-1:200
          -

          免疫细胞化学 (ICC/IF)

          1:50-1:200
          -

          酶联免疫吸附实验 (ELISA)

          1 µg/mL
          -
          产品规格

          种属反应

          Human, Mouse, Rat

          宿主/亚型

          Rabbit / IgG

          分类

          Polyclonal

          类型

          Antibody

          抗原

          Recombinant fusion protein containing a sequence corresponding to amino acids 497-716 of human IKK? (NP_0547211)
          3D表位/免疫原

          偶联物

          Unconjugated Unconjugated Unconjugated

          形式

          Liquid

          浓度

          1.58 mg/mL

          规格

          158 µg

          纯化类型

          Affinity Chromatography

          保存液

          PBS, pH 7.3, with 50% glycerol

          内含物

          0.01% thimerosal

          保存条件

          -20°C, Avoid Freeze/Thaw Cycles

          运输条件

          Ambient (domestic); Wet ice (international)

          RRID

          AB_2804110

          产品详细信息

          Positive Samples: SW480, DU145, MCF7, Mouse liver; Cellular Location: Cytoplasm, Nucleus, PML body

          Immunogen sequence: SRLRTLAEVL SRCSQNITET QESLSSLNRE LVKSRDQVHE DRSIQQIQCC LDKMNFIYKQ FKKSRMRPGL GYNEEQIHKL DKVNFSHLAK RLLQVFQEEC VQKYQASLVT HGKRMRVVHE TRNHLRLVGC SVAACNTEAQ GVQESLSKLL EELSHQLLQD RAKGAQASPP PIAPYPSPTR KDLLLHMQEL CEGMKLLASD LLDNNRIIER LNRVPAPPDV

          靶标信息

          IKBKE is an activator of nuclear factor-kappa-B. Over expression of IKBKE has been observed in breast cancer cells, and suppression of IKBKE induces cell death. NF-kappa-B is a ubiquitous transcription factor and an essential mediator of gene expression during activation of immune and inflammatory responses. NF-kappa-B mediates the expression of a great variety of genes in response to extracellular stimuli. NF-kappa-B is associated with Ikappa-B proteins in the cell cytoplasm, which inhibit NF-kappa-B activity. Ikappa-B is phosphorylated by Ikappa-B kinase (IKK) complex that contains IKK-a, IKK-b, and IKK-gamma. A novel molecule in the IKK complex was recently identified and designated IKK-iota/IKK-i. IKK epsilon is required for the activation of NF-kappa-B by PMA and T cell receptors but not by TNF-a and IL-1. IKK-iota/IKK-i message is expressed in a variety of tissues and is inducible by TNF-a, IL-1, and LPS.

          ⚠WARNING: This product can expose you to chemicals including mercury, which is known to the State of California to cause birth defects or other reproductive harm. For more information go to www.P65Warnings.ca.gov.

          仅用于科研。不用于诊断过程。未经明确授权不得转售。

          篇参考文献 (0)

          您是否在文献中引用过该产品?请点击下方按钮邮件告知我们。
          引用该产品

          生物信息学

          蛋白别名: I-kappa-B kinase epsilon; IKK-E; IKK-epsilon; IKK-i; IKK-related kinase epsilon; IKKe; IKK-related kinase; Inducible I kappa-B kinase; inducible IKappaB kinase; inhibitor of kappa light polypeptide gene enhancer in B-cells, kinase epsilon; inhibitor of kappaB kinase epsilon; Inhibitor of nuclear factor kappa-B kinase subunit epsilon; KIAA0151; RP11-534L20.1

          查看更多 收起

          基因别名: AW558201; IKBKE; IKK-E; IKK-i; IKKE; IKKepsilon; IKKI; KIAA0151

          查看更多 收起

          UniProt ID: (Human) Q14164, (Mouse) Q9R0T8

          查看更多 收起

          Entrez Gene ID: (Human) 9641, (Rat) 363984, (Mouse) 56489

          查看更多 收起

          功能
          nucleotide binding protein kinase activity protein serine/threonine kinase activity protein binding ATP binding IkappaB kinase activity kinase activity transferase activity protein phosphatase binding ubiquitin protein ligase binding K48-linked polyubiquitin binding identical protein binding K63-linked polyubiquitin binding NF-kappaB-inducing kinase activity transferase activity, transferring phosphorus-containing groups non-receptor serine/threonine protein kinase protein modifying enzyme
          参与通路
          activation of innate immune response response to stress immune response cellular response to DNA damage stimulus intrinsic apoptotic signaling pathway in response to DNA damage gene expression positive regulation of lipid storage positive regulation of type I interferon production response to cytokine response to type I interferon response to interferon-beta intracellular signal transduction positive regulation of I-kappaB kinase/NF-kappaB signaling regulation of protein complex assembly mRNA stabilization defense response to virus type I interferon signaling pathway positive regulation of type I interferon-mediated signaling pathway interleukin-17-mediated signaling pathway cellular response to virus protein phosphorylation I-kappaB phosphorylation NIK/NF-kappaB signaling phosphorylation signal transduction by protein phosphorylation
          It has to be done as per old AB suggested Products section.

          Disclaimer

          Close

          Clicking the images or links will redirect you to a website hosted by BenchSci that provides third-party scientific content. Neither the content nor the BenchSci technology and processes for selection have been evaluated by us; we are providing them as-is and without warranty of any kind, including for use or application of the Thermo Fisher Scientific products presented.

          guarantee_icon

          性能保障

          只要您发现Invitrogen抗体在实验中的表现与网站或说明书的所述内容不符,您即可享受免费退换货服务。*

          了解更多
          help_icon

          随时为您服务

          获取常见问题的专家解答,或者直接联系我们的技术专家,咨询应用、设备、常规产品使用问题。

          联系技术支持
          订购 Plus Icon Minus Icon
          • 订单状态查询
          • 订单支持
          • 货号直购
          • 现货供应中心
          • 电子采购
          支持 Plus Icon Minus Icon
          • 帮助&支持
          • 联系我们 - 400 820 8982
          • 技术支持中心
          • 查找文件&证书
          • 报告网站问题
          资源 Plus Icon Minus Icon
          • 学习中心
          • 促销
          • 活动&研讨会
          • 社交媒体
          关于赛默飞 Plus Icon Minus Icon
          • 关于我们
          • 招聘 招聘
          • 投资者关系 投资者关系
          • 新闻 新闻
          • 社会责任 社会责任
          • 商标
          • 政策和通知
          品牌 Plus Icon Minus Icon
          • Thermo Scientific
          • Applied Biosystems
          • Invitrogen
          • Gibco
          • Ion Torrent
          • Unity Lab Services
          • Patheon
          • PPD
          • 服务条款
          • 隐私政策
          • 定价和运输保险政策
          © 2006-2026 Thermo Fisher Scientific Inc. All rights reserved. All trademarks are the property of Thermo Fisher Scientific and its subsidiaries unless otherwise specified.
          China flag icon
          China
          本网站销售的所有产品均不得用于人类或动物之临床诊断或治疗,仅可用于工业或者科研等非医疗目的。
             电子营业执照 | 经营证照公示 | ICP备案号:沪ICP备11003924号 | 沪公网安备 31011502006935号

          Your items have has been added!


          Host server : magellan-search-green-6479c7f679-v472f:80/100.66.78.195:80.
          git-commit: b70c0dceb888abc3b0dcebb5bc3a5b8753e7e816
          git-url: https://github.com/thermofisher/magellan-search
          git-branch: release/2.50.0-Offline