Hamburger Menu Button
Thermo Fisher Scientific Logo
登录
没有账号?建立账号 注册
  • 产品
    • 抗体
    • 引物合成
    • GeneArt Gene Synthesis Instant Designer
    • TaqMan Assay and Array Search
    • PCR 设备和耗材
    • 色谱柱和纯化柱
    • 实验室离心机
    • 分子生物学试剂和试剂盒
    • 实验室塑料耗材及用品
    • 查看所有产品分类
  • 应用和技术
    • 色谱
    • 细胞转染和培养
    • 实时荧光定量PCR
    • 质谱
    • 实验室塑料耗材及用品
    • 电子显微镜
    • 蛋白质生物学
    • PCR
    • RNAi
    • 环境
    • 查看所有应用和技术
  • 服务
    • 定制服务
    • 企业级实验室信息化服务
    • 金融&租赁服务
    • 仪器服务
    • OEM和商业供应
    • 培训服务
    • 360° CDMO 和 CRO 服务
    • CDMO 服务
    • 临床试验 CRO 服务
    • Unity Lab Services
    • 查看所有帮助和支持
  • 帮助和支持
    • 学习中心
    • 联系我们
    • 更改国家或地区
    • 查看所有帮助和支持
  • 热门产品
    • TaqMan Real-Time PCR Assays
      TaqMan 实时荧光定量 PCR 试剂盒
    • Antibodies
      抗体
    • Oligos, Primers & Probes
      寡核苷酸、引物、探针
    • GeneArt Gene Synthesis
      GeneArt 基因合成
    • Cell Culture Plastics
      细胞培养耗材
  • Who We Serve
    • 抗体治疗解决方案
    • 细胞与基因治疗解决方案
    • 学术科研
    • 工业与应用
  • 联系我们
  • 货号直购
  • 订单查询
  • 查找文件&证书
Thermo Fisher Scientific Logo

Search

搜索全部或下列指定分类
Search button
          • 联系我们
          • 货号直购
          • 登录
            登录
            没有账号?建立账号 注册
            • 我的账号
            • 订单
            • 会员中心
            • 账单及发票查询
            • 定制产品及项目
          • Primary Antibodies ›
          • IL-1 beta Antibodies
          Formerly called “Recombinant polyclonal antibody”, this product is now rebranded as “Recombinant Superclonal™ antibody”. The physical product and the performance remain unchanged.

          Invitrogen

          IL-1 beta Recombinant Superclonal™ Antibody (17HCLC)

          高级验证
          1 篇参考文献
          查看其他106个IL-1 beta抗体

          {{$productOrderCtrl.translations['antibody.pdp.commerceCard.promotion.promotions']}}

          {{$productOrderCtrl.translations['antibody.pdp.commerceCard.promotion.viewpromo']}}

          {{$productOrderCtrl.translations['antibody.pdp.commerceCard.promotion.promocode']}}: {{promo.promoCode}} {{promo.promoTitle}} {{promo.promoDescription}}. {{$productOrderCtrl.translations['antibody.pdp.commerceCard.promotion.learnmore']}}

          说明书
          证书
          实验方案
          问题与答案
          技术支持
          说明书
          证书
          实验方案
          问题与答案
          技术支持
          说明书
          证书
          实验方案
          问题与答案
          技术支持

          Cite IL-1 beta Recombinant Superclonal™ Antibody (17HCLC)

          Additional Information:
          {{banner.description}}
          {{$ctrl.isSkuNotesCollapsed ? 'View more' : 'View less'}}
          • 抗体检测数据 (2)
          • 高级验证 (1)
          IL-1 beta Antibody in Western Blot (WB)
          Group 53 Created with Sketch.
          IL-1 beta Antibody in Western Blot (WB)
          Group 53 Created with Sketch.

          图: 1 / 3

          {{ $ctrl.currentElement.advancedVerification.fullName }}
          {{ $ctrl.currentElement.advancedVerification.text }}

          IL-1 beta Antibody (710331) in WB

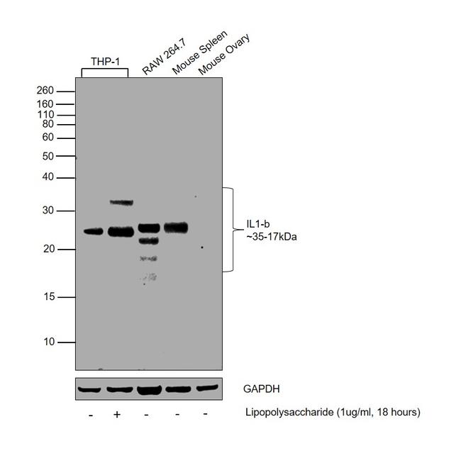
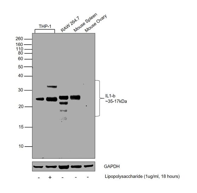
          Western blot was performed using Anti-IL-1 beta Recombinant Rabbit Superclonal™ Antibody (17HCLC) (Product # 710331) and bands between 35-17 kDa corresponding to Interleukin-1 beta was observed across all the tested cell lines and tissues, except Mouse Ovary, and was increased upon Lipopolysaccharide treatment. Whole cell extracts (30 µg lysate) of THP-1 (Lane 1), THP-1 (Lipopolysaccharide (1 µg/mL), 18 hours) (Lane 2), RAW 264.7 (Lane 3), Mouse Spleen (Lane 4), Mouse Ovary (Lane 5) were electrophoresed using NuPAGE™ 12% Bis-Tris Protein G... View More {{ $ctrl.currentElement.advancedVerification.fullName }} 验证信息 View more
          已发表图片由___提供 benchsci-logo
          PMID: {{$ctrl.currentElement.benchSciPubmedId}}
          查看产品

          {{$ctrl.videoDesc}}

          {{$ctrl.videoLongDesc}}

          IL-1 beta Antibody in Western Blot (WB)
          IL-1 beta Antibody in Western Blot (WB)
          IL-1 beta Antibody
          IL-1 beta Recombinant Superclonal™ Antibody (17HCLC)

          产品信息

          710331

          应用
          建议稀释比
          已发表文章

          免疫印迹 (WB)

          1-3 µg/mL
          查看1篇已发表文章 1篇已发表文章

          免疫细胞化学 (ICC/IF)

          1 µg/mL
          -
          产品规格

          种属反应

          Human, Mouse

          已发表种属

          Mouse

          宿主/亚型

          Rabbit / IgG

          Expression System

          Expi293

          分类

          Recombinant Superclonal

          类型

          Antibody

          克隆号

          17HCLC

          抗原

          Recombinant protein corresponding to amino acids 118-269 of mouse IL-1b
          3D表位/免疫原

          偶联物

          Unconjugated Unconjugated Unconjugated

          形式

          Liquid

          浓度

          0.5 mg/mL

          规格

          100 µg

          纯化类型

          Protein A

          保存液

          PBS

          内含物

          0.09% sodium azide

          保存条件

          Store at 4°C short term. For long term storage, store at -20°C, avoiding freeze/thaw cycles.

          运输条件

          Wet ice

          RRID

          AB_2532690

          产品详细信息

          This antibody is predicted to react with non-human primate, rat, mouse and rat based on sequence homology.

          Recombinant rabbit Superclonal™ antibodies are unique offerings from Thermo Fisher Scientific. They are comprised of a selection of multiple different recombinant monoclonal antibodies, providing the best of both worlds - the sensitivity of polyclonal antibodies with the specificity of monoclonal antibodies - all delivered with the consistency only found in a recombinant antibody. While functionally the same as a polyclonal antibody - recognizing multiple epitope sites on the target and producing higher detection sensitivity for low abundance targets - a recombinant rabbit Superclonal™ antibody has a known mixture of light and heavy chains. The exact population can be produced in every lot, circumventing the biological variability typically associated with polyclonal antibody production. Note: Formerly called “Recombinant polyclonal antibody”, this product is now rebranded as “Recombinant Superclonal™ antibody”. The physical product and the performance remain unchanged.

          靶标信息

          Interleukin-1 beta (IL-1 beta) is a proinflammatory cytokine expressed by monocytes, macrophages, and dendritic cells. IL-1 beta is synthesized in response to inflammatory stimuli as a 31 kDa inactive pro-form that accumulates in the cytosol. Cleavage of pro-IL-1 beta into the active 17 kDa protein requires the activation of inflammasomes, which are multi-protein complexes that respond to pathogens, stress conditions, and other danger signals. Inflammasome activation triggers the processing of the caspase-1 precursor into its active form, which in turn cleaves pro-IL-1 beta. IL-1 beta lacks a signal sequence peptide for classical ER/Golgi pathway and is secreted alongside caspase-1 via an alternate and incompletely understood mechanism. Although IL-1 beta is most often secreted in its active form, secretion of the uncleaved protein may be detectable under some biological conditions. IL-1 beta signals through two receptors, IL-1RI and IL-1RII, both of which are shared with IL-1 alpha. IL-1 beta activity can be moderated by IL-1 Receptor Antagonist (IL-1RA), a protein produced by many cell types that blocks receptor binding through competitive inhibition. IL-1 beta play an important role in innate host defense by triggering the production of other proinflammatory cytokines in target cells and initiating acute-phase responses to infection and injury. Elevated levels of IL-1 beta have been associated with many chronic inflammatory conditions IL-1 beta neutralizing antibodies potential therapeutic value.

          仅用于科研。不用于诊断过程。未经明确授权不得转售。

          生物信息学

          蛋白别名: Catabolin; Hematopoietin 1 (H1); IFN beta inducing factor; il 1b; IL 1β; IL-1 beta; IL1 B; IL1B; IL1β; ILN; Interleukin; Interleukin 1 beta precursor; interleukin 1 precursor polypeptide; interleukin 1beta; Interleukin-1 beta; Interleukin-1b; Interleukin1 beta; LAF; Osteoclast activating factor (OAF); preinterleukin 1 beta; Pro interleukin 1 beta; pro-interleukin-1-beta; unnamed protein product

          查看更多 收起

          基因别名: IL-1; Il-1b; IL-1beta; IL1-BETA; IL1B; IL1beta; IL1F2

          查看更多 收起

          UniProt ID: (Human) P01584, (Mouse) P10749

          查看更多 收起

          Entrez Gene ID: (Human) 3553, (Mouse) 16176

          查看更多 收起

          功能
          cytokine activity interleukin-1 receptor binding integrin binding protein binding protein domain specific binding receptor agonist activity receptor binding interleukin superfamily
          参与通路
          fever generation positive regulation of cytokine production positive regulation of T cell mediated immunity apoptotic process inflammatory response immune response signal transduction JNK cascade cell-cell signaling embryo implantation positive regulation of cell proliferation negative regulation of cell proliferation response to carbohydrate vascular endothelial growth factor production positive regulation of vascular endothelial growth factor production positive regulation of gene expression positive regulation of platelet-derived growth factor receptor signaling pathway positive regulation of epithelial to mesenchymal transition positive regulation of macrophage derived foam cell differentiation negative regulation of glucose transport smooth muscle adaptation cytokine-mediated signaling pathway hyaluronan biosynthetic process positive regulation of cell migration neutrophil chemotaxis positive regulation of vascular endothelial growth factor receptor signaling pathway positive regulation of prostaglandin biosynthetic process positive regulation of fever generation positive regulation of prostaglandin secretion response to lipopolysaccharide positive regulation of chemokine production positive regulation of granulocyte macrophage colony-stimulating factor production positive regulation of interferon-gamma production positive regulation of interleukin-2 production positive regulation of interleukin-6 production positive regulation of interleukin-8 production positive regulation of immature T cell proliferation in thymus response to ATP positive regulation of heterotypic cell-cell adhesion ectopic germ cell programmed cell death positive regulation of T cell proliferation regulation of I-kappaB kinase/NF-kappaB signaling positive regulation of I-kappaB kinase/NF-kappaB signaling negative regulation of MAPK cascade positive regulation of MAPK cascade positive regulation of nitric oxide biosynthetic process positive regulation of angiogenesis negative regulation of lipid metabolic process positive regulation of mitotic nuclear division positive regulation of transcription, DNA-templated positive regulation of complement activation positive regulation of transcription from RNA polymerase II promoter positive regulation of JNK cascade negative regulation of insulin receptor signaling pathway positive regulation of protein export from nucleus astrocyte activation regulation of defense response to virus by host positive regulation of inflammatory response regulation of neurogenesis negative regulation of neurogenesis regulation of insulin secretion negative regulation of synaptic transmission defense response to Gram-positive bacterium leukocyte migration negative regulation of lipid catabolic process positive regulation of lipid catabolic process regulation of nitric-oxide synthase activity positive regulation of membrane protein ectodomain proteolysis positive regulation of cell division positive regulation of protein kinase B signaling positive regulation of glial cell proliferation positive regulation of cell adhesion molecule production negative regulation of adiponectin secretion regulation of ERK1 and ERK2 cascade positive regulation of ERK1 and ERK2 cascade monocyte aggregation interleukin-1-mediated signaling pathway response to interleukin-1 cellular response to lipopolysaccharide cellular response to mechanical stimulus cellular response to xenobiotic stimulus positive regulation of monocyte chemotactic protein-1 production extrinsic apoptotic signaling pathway in absence of ligand cellular response to interleukin-17 positive regulation of neuroinflammatory response positive regulation of p38MAPK cascade positive regulation of NIK/NF-kappaB signaling positive regulation of RNA biosynthetic process regulation of establishment of endothelial barrier regulation of secretion by cell negative regulation of gap junction assembly positive regulation of occluding junction disassembly positive regulation of T-helper 1 cell cytokine production negative regulation of extrinsic apoptotic signaling pathway in absence of ligand negative regulation of transcription from RNA polymerase II promoter MAPK cascade activation of MAPK activity positive regulation of protein phosphorylation positive regulation of cytosolic calcium ion concentration aging memory negative regulation of gene expression positive regulation of cell death negative regulation of glutamate secretion sequestering of triglyceride lipopolysaccharide-mediated signaling pathway interleukin-1 beta production positive regulation of stress-activated MAPK cascade social behavior positive regulation of myosin light chain kinase activity cellular response to drug positive regulation of NF-kappaB import into nucleus positive regulation of apoptotic process negative regulation of MAP kinase activity protein kinase B signaling positive regulation of JUN kinase activity positive regulation of chemokine biosynthetic process positive regulation of interleukin-2 biosynthetic process positive regulation of interleukin-6 biosynthetic process negative regulation of neuron differentiation positive regulation of glial cell differentiation positive regulation of astrocyte differentiation positive regulation of phagocytosis positive regulation of sequence-specific DNA binding transcription factor activity positive regulation of NF-kappaB transcription factor activity positive regulation of calcidiol 1-monooxygenase activity cellular response to organic substance cellular response to organic cyclic compound positive regulation of neutrophil chemotaxis negative regulation of branching morphogenesis of a nerve negative regulation of neural precursor cell proliferation
          It has to be done as per old AB suggested Products section.

          Disclaimer

          Close

          Clicking the images or links will redirect you to a website hosted by BenchSci that provides third-party scientific content. Neither the content nor the BenchSci technology and processes for selection have been evaluated by us; we are providing them as-is and without warranty of any kind, including for use or application of the Thermo Fisher Scientific products presented.

          guarantee_icon

          性能保障

          只要您发现Invitrogen抗体在实验中的表现与网站或说明书的所述内容不符,您即可享受免费退换货服务。*

          了解更多
          help_icon

          随时为您服务

          获取常见问题的专家解答,或者直接联系我们的技术专家,咨询应用、设备、常规产品使用问题。

          联系技术支持
          订购 Plus Icon Minus Icon
          • 订单状态查询
          • 订单支持
          • 货号直购
          • 现货供应中心
          • 电子采购
          支持 Plus Icon Minus Icon
          • 帮助&支持
          • 联系我们 - 400 820 8982
          • 技术支持中心
          • 查找文件&证书
          • 报告网站问题
          资源 Plus Icon Minus Icon
          • 学习中心
          • 促销
          • 活动&研讨会
          • 社交媒体
          关于赛默飞 Plus Icon Minus Icon
          • 关于我们
          • 招聘 招聘
          • 投资者关系 投资者关系
          • 新闻 新闻
          • 社会责任 社会责任
          • 商标
          • 政策和通知
          品牌 Plus Icon Minus Icon
          • Thermo Scientific
          • Applied Biosystems
          • Invitrogen
          • Gibco
          • Ion Torrent
          • Unity Lab Services
          • Patheon
          • PPD
          • 服务条款
          • 隐私政策
          • 定价和运输保险政策
          © 2006-2026 Thermo Fisher Scientific Inc. All rights reserved. All trademarks are the property of Thermo Fisher Scientific and its subsidiaries unless otherwise specified.
          China flag icon
          China
          本网站销售的所有产品均不得用于人类或动物之临床诊断或治疗,仅可用于工业或者科研等非医疗目的。
             电子营业执照 | 经营证照公示 | ICP备案号:沪ICP备11003924号 | 沪公网安备 31011502006935号

          Your items have has been added!


          Host server : magellan-search-green-6479c7f679-v472f:80/100.66.78.195:80.
          git-commit: b70c0dceb888abc3b0dcebb5bc3a5b8753e7e816
          git-url: https://github.com/thermofisher/magellan-search
          git-branch: release/2.50.0-Offline