Hamburger Menu Button
Thermo Fisher Scientific Logo
登录
没有账号?建立账号 注册
  • 产品
    • 抗体
    • 引物合成
    • GeneArt Gene Synthesis Instant Designer
    • TaqMan Assay and Array Search
    • PCR 设备和耗材
    • 色谱柱和纯化柱
    • 实验室离心机
    • 分子生物学试剂和试剂盒
    • 实验室塑料耗材及用品
    • 查看所有产品分类
  • 应用和技术
    • 色谱
    • 细胞转染和培养
    • 实时荧光定量PCR
    • 质谱
    • 实验室塑料耗材及用品
    • 电子显微镜
    • 蛋白质生物学
    • PCR
    • RNAi
    • 环境
    • 查看所有应用和技术
  • 服务
    • 定制服务
    • 企业级实验室信息化服务
    • 金融&租赁服务
    • 仪器服务
    • OEM和商业供应
    • 培训服务
    • 360° CDMO 和 CRO 服务
    • CDMO 服务
    • 临床试验 CRO 服务
    • Unity Lab Services
    • 查看所有帮助和支持
  • 帮助和支持
    • 学习中心
    • 联系我们
    • 更改国家或地区
    • 查看所有帮助和支持
  • 热门产品
    • TaqMan Real-Time PCR Assays
      TaqMan 实时荧光定量 PCR 试剂盒
    • Antibodies
      抗体
    • Oligos, Primers & Probes
      寡核苷酸、引物、探针
    • GeneArt Gene Synthesis
      GeneArt 基因合成
    • Cell Culture Plastics
      细胞培养耗材
  • Who We Serve
    • 抗体治疗解决方案
    • 细胞与基因治疗解决方案
    • 学术科研
    • 工业与应用
  • 联系我们
  • 货号直购
  • 订单查询
  • 查找文件&证书
Thermo Fisher Scientific Logo

Search

搜索全部或下列指定分类
Search button
          • 联系我们
          • 货号直购
          • 登录
            登录
            没有账号?建立账号 注册
            • 我的账号
            • 订单
            • 会员中心
            • 账单及发票查询
            • 定制产品及项目
          • Primary Antibodies ›
          • IL-10 Antibodies

          Bioss

          IL-10 Polyclonal Antibody

          查看其他90个IL-10抗体

          {{$productOrderCtrl.translations['antibody.pdp.commerceCard.promotion.promotions']}}

          {{$productOrderCtrl.translations['antibody.pdp.commerceCard.promotion.viewpromo']}}

          {{$productOrderCtrl.translations['antibody.pdp.commerceCard.promotion.promocode']}}: {{promo.promoCode}} {{promo.promoTitle}} {{promo.promoDescription}}. {{$productOrderCtrl.translations['antibody.pdp.commerceCard.promotion.learnmore']}}

          说明书
          证书
          实验方案
          问题与答案
          技术支持
          说明书
          证书
          实验方案
          问题与答案
          技术支持
          说明书
          证书
          实验方案
          问题与答案
          技术支持

          Cite IL-10 Polyclonal Antibody

          Additional Information:
          {{banner.description}}
          {{$ctrl.isSkuNotesCollapsed ? 'View more' : 'View less'}}
          • 抗体检测数据 (4)
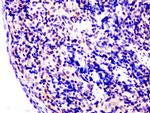
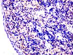
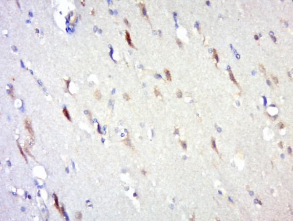
          IL-10 Antibody in Immunohistochemistry (Paraffin) (IHC (P))
          Group 53 Created with Sketch.
          IL-10 Antibody in Immunohistochemistry (Paraffin) (IHC (P))
          Group 53 Created with Sketch.

          图: 1 / 4

          {{ $ctrl.currentElement.advancedVerification.fullName }}
          {{ $ctrl.currentElement.advancedVerification.text }}

          IL-10 Antibody (BS-20373R) in IHC (P)

          Paraformaldehyde-fixed, paraffin embedded human brain glioma; Antigen retrieval by boiling in sodium citrate buffer (pH6.0) for 15min; Block endogenous peroxidase by 3% hydrogen peroxide for 20 minutes; Blocking buffer (normal goat serum) at 37°C for 30min; Antibody incubation with IL-10 Polyclonal Antibody, Unconjugated (bs-20373R) at 1:400 overnight at 4°C, followed by a conjugated secondary for 20 minute... View More {{ $ctrl.currentElement.advancedVerification.fullName }} 验证信息 View more
          已发表图片由___提供 benchsci-logo
          PMID: {{$ctrl.currentElement.benchSciPubmedId}}
          查看产品

          {{$ctrl.videoDesc}}

          {{$ctrl.videoLongDesc}}

          IL-10 Antibody in Immunohistochemistry (Paraffin) (IHC (P))
          IL-10 Antibody in Immunohistochemistry (Paraffin) (IHC (P))
          IL-10 Antibody in Western Blot (WB)
          IL-10 Antibody in Western Blot (WB)
          IL-10 Polyclonal Antibody

          产品信息

          BS-20373R

          应用
          建议稀释比
          已发表文章

          免疫印迹 (WB)

          1:300
          -

          免疫组化(石蜡) (IHC (P))

          1:400
          -

          流式细胞分析 (Flow)

          1:20-1:100
          -

          酶联免疫吸附实验 (ELISA)

          1:500-1:1,000
          -
          产品规格

          种属反应

          Human, Mouse, Rat

          宿主/亚型

          Rabbit / IgG

          分类

          Polyclonal

          类型

          Antibody

          抗原

          KLH conjugated synthetic peptide derived from human IL-10, amino acids 51-100.
          3D表位/免疫原

          偶联物

          Unconjugated Unconjugated Unconjugated

          形式

          Liquid

          浓度

          1 mg/mL

          规格

          100 µg

          纯化类型

          Protein A

          保存液

          0.01M TBS, pH 7.4, with 50% glycerol, 1% BSA

          内含物

          0.02% ProClin 300

          保存条件

          -20°C

          运输条件

          Ambient (domestic); Wet ice (international)

          靶标信息

          IL-10 encodes a protein that acts as a cytokine and is primarily produced by monocytes, with some production by lymphocytes. This cytokine has various effects on immunoregulation and inflammation, including down-regulating the expression of Th1 cytokines, MHC class II Ags, and costimulatory molecules on macrophages. It also enhances B cell survival, proliferation, and antibody production. Additionally, IL-10 can block NF-kappa B activity and is involved in the regulation of the JAK-STAT signaling pathway. Knockout studies in mice have suggested that this cytokine is an essential immunoregulator in the intestinal tract. Mutations in this gene have been associated with an increased susceptibility to HIV-1 infection and rheumatoid arthritis. Diseases associated with IL10 include Graft-Versus-Host Disease and Human Immunodeficiency Virus Type 1.

          仅用于科研。不用于诊断过程。未经明确授权不得转售。

          篇参考文献 (0)

          您是否在文献中引用过该产品?请点击下方按钮邮件告知我们。
          引用该产品

          生物信息学

          蛋白别名: CSIF; Cytokine synthesis inhibitory factor; H-IL-10; il 10; IL-10; IL10; ILN; Interleukin; Interleukin-10; Interleukin10; MGC126450; MGC126451; RP11-262N9.1; T-cell growth inhibitory factor

          查看更多 收起

          基因别名: CSIF; GVHDS; IL-10; IL10; IL10A; IL10X; TGIF

          查看更多 收起

          UniProt ID: (Human) P22301, (Mouse) P18893, (Rat) P29456

          查看更多 收起

          Entrez Gene ID: (Human) 3586, (Mouse) 16153, (Rat) 25325

          查看更多 收起

          功能
          cytokine activity interleukin-10 receptor binding protein binding growth factor activity protein dimerization activity
          参与通路
          negative regulation of cytokine production response to molecule of bacterial origin negative regulation of cytokine secretion involved in immune response negative regulation of chronic inflammatory response to antigenic stimulus positive regulation of B cell apoptotic process inflammatory response immune response regulation of gene expression negative regulation of myeloid dendritic cell activation negative regulation of B cell proliferation negative regulation of interferon-gamma production negative regulation of interleukin-12 production negative regulation of interleukin-6 production negative regulation of tumor necrosis factor production receptor biosynthetic process negative regulation of tumor necrosis factor biosynthetic process defense response to bacterium defense response to protozoan negative regulation of apoptotic process negative regulation of growth of symbiont in host negative regulation of nitric oxide biosynthetic process positive regulation of MHC class II biosynthetic process positive regulation of transcription, DNA-templated positive regulation of transcription from RNA polymerase II promoter positive regulation of JAK-STAT cascade positive regulation of cytokine secretion negative regulation of inflammatory response negative regulation of membrane protein ectodomain proteolysis positive regulation of sequence-specific DNA binding transcription factor activity response to glucocorticoid regulation of sensory perception of pain negative regulation of cytokine activity branching involved in labyrinthine layer morphogenesis cellular response to lipopolysaccharide positive regulation of cytokine production positive regulation of endothelial cell proliferation chronic inflammatory response to antigenic stimulus positive regulation of immunoglobulin production negative regulation of cytokine production involved in immune response negative regulation of cell proliferation response to xenobiotic stimulus negative regulation of autophagy response to activity response to inactivity hemopoiesis B cell differentiation leukocyte chemotaxis response to lipopolysaccharide negative regulation of interferon-alpha production negative regulation of interleukin-1 production negative regulation of interleukin-18 production negative regulation of interleukin-8 production response to insulin negative regulation of heterotypic cell-cell adhesion positive regulation of heterotypic cell-cell adhesion response to carbon monoxide cellular response to hepatocyte growth factor stimulus type 2 immune response B cell proliferation negative regulation of T cell proliferation positive regulation of macrophage activation negative regulation of neuron apoptotic process regulation of isotype switching negative regulation of MHC class II biosynthetic process positive regulation of cell cycle negative regulation of mitotic cell cycle regulation of synapse organization cellular response to estradiol stimulus negative regulation of chemokine (C-C motif) ligand 5 production endothelial cell apoptotic process liver regeneration interleukin-10-mediated signaling pathway positive regulation of plasma cell differentiation positive regulation of pri-miRNA transcription from RNA polymerase II promoter regulation of response to wounding negative regulation of oxidative stress-induced neuron intrinsic apoptotic signaling pathway regulation of complement-dependent cytotoxicity positive regulation of sprouting angiogenesis negative regulation of vascular smooth muscle cell proliferation positive regulation of vascular smooth muscle cell proliferation negative regulation of endothelial cell apoptotic process aging response to organic substance response to drug
          It has to be done as per old AB suggested Products section.

          Disclaimer

          Close

          Clicking the images or links will redirect you to a website hosted by BenchSci that provides third-party scientific content. Neither the content nor the BenchSci technology and processes for selection have been evaluated by us; we are providing them as-is and without warranty of any kind, including for use or application of the Thermo Fisher Scientific products presented.

          guarantee_icon

          性能保障

          只要您发现Invitrogen抗体在实验中的表现与网站或说明书的所述内容不符,您即可享受免费退换货服务。*

          了解更多
          help_icon

          随时为您服务

          获取常见问题的专家解答,或者直接联系我们的技术专家,咨询应用、设备、常规产品使用问题。

          联系技术支持
          订购 Plus Icon Minus Icon
          • 订单状态查询
          • 订单支持
          • 货号直购
          • 现货供应中心
          • 电子采购
          支持 Plus Icon Minus Icon
          • 帮助&支持
          • 联系我们 - 400 820 8982
          • 技术支持中心
          • 查找文件&证书
          • 报告网站问题
          资源 Plus Icon Minus Icon
          • 学习中心
          • 促销
          • 活动&研讨会
          • 社交媒体
          关于赛默飞 Plus Icon Minus Icon
          • 关于我们
          • 招聘 招聘
          • 投资者关系 投资者关系
          • 新闻 新闻
          • 社会责任 社会责任
          • 商标
          • 政策和通知
          品牌 Plus Icon Minus Icon
          • Thermo Scientific
          • Applied Biosystems
          • Invitrogen
          • Gibco
          • Ion Torrent
          • Unity Lab Services
          • Patheon
          • PPD
          • 服务条款
          • 隐私政策
          • 定价和运输保险政策
          © 2006-2026 Thermo Fisher Scientific Inc. All rights reserved. All trademarks are the property of Thermo Fisher Scientific and its subsidiaries unless otherwise specified.
          China flag icon
          China
          本网站销售的所有产品均不得用于人类或动物之临床诊断或治疗,仅可用于工业或者科研等非医疗目的。
             电子营业执照 | 经营证照公示 | ICP备案号:沪ICP备11003924号 | 沪公网安备 31011502006935号

          Your items have has been added!


          Host server : magellan-search-blue-7c59b9b899-49tpj:80/100.66.77.222:80.
          git-commit: 8ef7cf686e3c81d28b13492708ce56d167b2f995
          git-url: https://github.com/thermofisher/magellan-search
          git-branch: release/2.49.0-Offline