Hamburger Menu Button
Thermo Fisher Scientific Logo
登录
没有账号?建立账号 注册
  • 产品
    • 抗体
    • 引物合成
    • GeneArt Gene Synthesis Instant Designer
    • TaqMan Assay and Array Search
    • PCR 设备和耗材
    • 色谱柱和纯化柱
    • 实验室离心机
    • 分子生物学试剂和试剂盒
    • 实验室塑料耗材及用品
    • 查看所有产品分类
  • 应用和技术
    • 色谱
    • 细胞转染和培养
    • 实时荧光定量PCR
    • 质谱
    • 实验室塑料耗材及用品
    • 电子显微镜
    • 蛋白质生物学
    • PCR
    • RNAi
    • 环境
    • 查看所有应用和技术
  • 服务
    • 定制服务
    • 企业级实验室信息化服务
    • 金融&租赁服务
    • 仪器服务
    • OEM和商业供应
    • 培训服务
    • 360° CDMO 和 CRO 服务
    • CDMO 服务
    • 临床试验 CRO 服务
    • Unity Lab Services
    • 查看所有帮助和支持
  • 帮助和支持
    • 学习中心
    • 联系我们
    • 更改国家或地区
    • 查看所有帮助和支持
  • 热门产品
    • TaqMan Real-Time PCR Assays
      TaqMan 实时荧光定量 PCR 试剂盒
    • Antibodies
      抗体
    • Oligos, Primers & Probes
      寡核苷酸、引物、探针
    • GeneArt Gene Synthesis
      GeneArt 基因合成
    • Cell Culture Plastics
      细胞培养耗材
  • Who We Serve
    • 抗体治疗解决方案
    • 细胞与基因治疗解决方案
    • 学术科研
    • 工业与应用
  • 联系我们
  • 货号直购
  • 订单查询
  • 查找文件&证书
Thermo Fisher Scientific Logo

Search

搜索全部或下列指定分类
Search button
          • 联系我们
          • 货号直购
          • 登录
            登录
            没有账号?建立账号 注册
            • 我的账号
            • 订单
            • 会员中心
            • 账单及发票查询
            • 定制产品及项目
          • Primary Antibodies ›
          • IL-10 Antibodies

          Proteintech

          IL-10 Monoclonal Antibody (8E4B6)

          53 篇参考文献
          查看其他90个IL-10抗体

          {{$productOrderCtrl.translations['antibody.pdp.commerceCard.promotion.promotions']}}

          {{$productOrderCtrl.translations['antibody.pdp.commerceCard.promotion.viewpromo']}}

          {{$productOrderCtrl.translations['antibody.pdp.commerceCard.promotion.promocode']}}: {{promo.promoCode}} {{promo.promoTitle}} {{promo.promoDescription}}. {{$productOrderCtrl.translations['antibody.pdp.commerceCard.promotion.learnmore']}}

          说明书
          证书
          实验方案
          问题与答案
          技术支持
          说明书
          证书
          实验方案
          问题与答案
          技术支持
          说明书
          证书
          实验方案
          问题与答案
          技术支持

          Cite IL-10 Monoclonal Antibody (8E4B6)

          Additional Information:
          {{banner.description}}
          {{$ctrl.isSkuNotesCollapsed ? 'View more' : 'View less'}}
          • 抗体检测数据 (4)
          IL-10 Antibody in Immunohistochemistry (Paraffin) (IHC (P))
          Group 53 Created with Sketch.
          IL-10 Antibody in Immunohistochemistry (Paraffin) (IHC (P))
          Group 53 Created with Sketch.

          图: 1 / 4

          {{ $ctrl.currentElement.advancedVerification.fullName }}
          {{ $ctrl.currentElement.advancedVerification.text }}

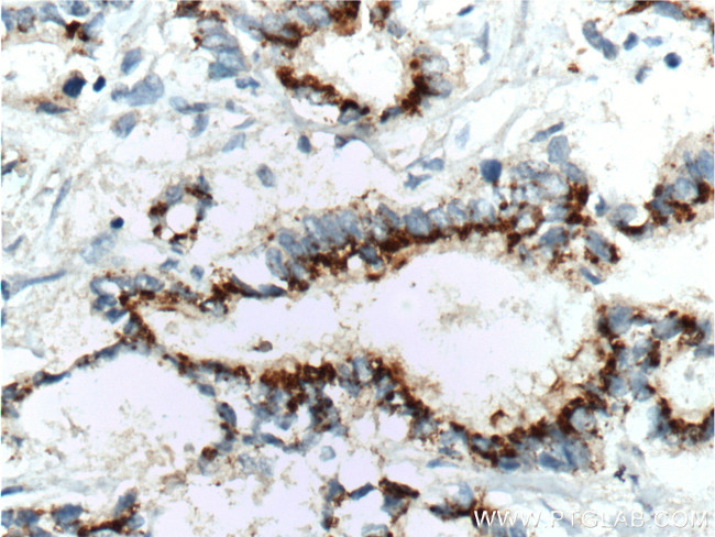
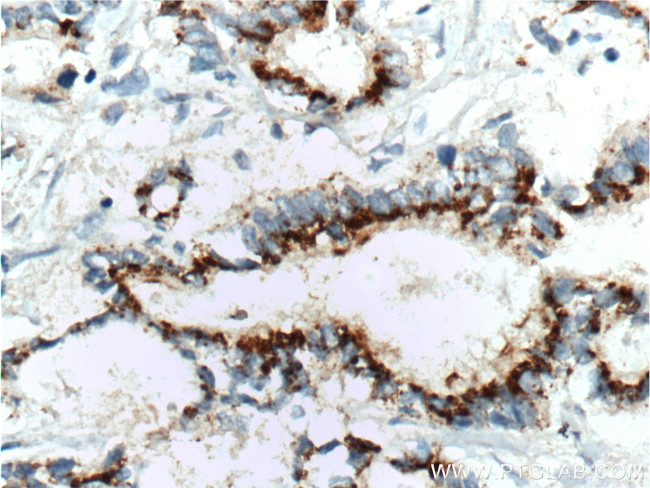
          IL-10 Antibody (60269-1-IG) in IHC (P)

          Immunohistochemistry of paraffin-embedded human pancreas cancer tissue slide using 60269-1-IG ( IL-10 antibody at dilution of 1:200 (under 40x lens). heat mediated antigen retrieved with Tris-EDTA buffer (pH 9). {{ $ctrl.currentElement.advancedVerification.fullName }} 验证信息 View more
          已发表图片由___提供 benchsci-logo
          PMID: {{$ctrl.currentElement.benchSciPubmedId}}
          查看产品

          {{$ctrl.videoDesc}}

          {{$ctrl.videoLongDesc}}

          IL-10 Antibody in Immunohistochemistry (Paraffin) (IHC (P))
          IL-10 Antibody in Immunohistochemistry (Paraffin) (IHC (P))
          IL-10 Antibody in Western Blot (WB)
          IL-10 Antibody in Western Blot (WB)
          IL-10 Monoclonal Antibody (8E4B6)

          产品信息

          60269-1-IG

          应用
          建议稀释比
          已发表文章

          免疫印迹 (WB)

          1:2,000-1:20,000
          查看29篇已发表文章 29篇已发表文章

          免疫组化 (IHC)

          -
          查看16篇已发表文章 16篇已发表文章

          免疫组化(石蜡) (IHC (P))

          1:50-1:500
          -

          免疫细胞化学 (ICC/IF)

          -
          查看5篇已发表文章 5篇已发表文章

          流式细胞分析 (Flow)

          Assay-dependent
          查看1篇已发表文章 1篇已发表文章

          酶联免疫吸附实验 (ELISA)

          -
          查看1篇已发表文章 1篇已发表文章

          其他PubMed (Misc)

          -
          查看1篇已发表文章 1篇已发表文章
          产品规格

          种属反应

          Human

          已发表种属

          Human, Rat

          宿主/亚型

          Mouse / IgG2b

          分类

          Monoclonal

          类型

          Antibody

          克隆号

          8E4B6

          抗原

          IL-10 Fusion Protein Ag14870 (19-178 aa encoded by BC104252)
          3D表位/免疫原

          偶联物

          Unconjugated Unconjugated Unconjugated

          形式

          Liquid

          浓度

          0.57 mg/mL

          规格

          85.5 µg

          纯化类型

          Protein A

          保存液

          PBS, pH 7.3, with 50% glycerol

          内含物

          0.02% sodium azide

          保存条件

          -20°C

          运输条件

          Wet ice (domestic); Dry ice (international)

          产品详细信息

          Immunogen sequence: SPGQGTQSE NSCTHFPGNL PNMLRDLRDA FSRVKTFFQM KDQLDNLLLK ESLLEDFKGY LGCQALSEMI QFYLEEVMPQ AENQDPDIKA HVNSLGENLK TLRLRLRRCH RFLPCENKSK AVEQVKNAFN KLQEKGIYKA MSEFDIFINY IEAYMTMKIR N (19-178 aa encoded by BC104252)

          靶标信息

          IL-10 encodes a protein that acts as a cytokine and is primarily produced by monocytes, with some production by lymphocytes. This cytokine has various effects on immunoregulation and inflammation, including down-regulating the expression of Th1 cytokines, MHC class II Ags, and costimulatory molecules on macrophages. It also enhances B cell survival, proliferation, and antibody production. Additionally, IL-10 can block NF-kappa B activity and is involved in the regulation of the JAK-STAT signaling pathway. Knockout studies in mice have suggested that this cytokine is an essential immunoregulator in the intestinal tract. Mutations in this gene have been associated with an increased susceptibility to HIV-1 infection and rheumatoid arthritis. Diseases associated with IL10 include Graft-Versus-Host Disease and Human Immunodeficiency Virus Type 1.

          仅用于科研。不用于诊断过程。未经明确授权不得转售。

          生物信息学

          蛋白别名: CSIF; Cytokine synthesis inhibitory factor; H-IL-10; il 10; IL-10; IL10; ILN; Interleukin; Interleukin-10; Interleukin10; MGC126450; MGC126451; RP11-262N9.1; T-cell growth inhibitory factor

          查看更多 收起

          基因别名: CSIF; GVHDS; IL-10; IL10; IL10A; TGIF

          查看更多 收起

          UniProt ID: (Human) P22301

          查看更多 收起

          Entrez Gene ID: (Human) 3586

          查看更多 收起

          功能
          cytokine activity interleukin-10 receptor binding protein binding growth factor activity protein dimerization activity
          参与通路
          negative regulation of cytokine production positive regulation of cytokine production positive regulation of endothelial cell proliferation response to molecule of bacterial origin chronic inflammatory response to antigenic stimulus positive regulation of immunoglobulin production negative regulation of cytokine production involved in immune response negative regulation of chronic inflammatory response to antigenic stimulus positive regulation of B cell apoptotic process immune response negative regulation of cell proliferation response to xenobiotic stimulus regulation of gene expression negative regulation of autophagy response to activity response to inactivity hemopoiesis B cell differentiation leukocyte chemotaxis negative regulation of myeloid dendritic cell activation negative regulation of B cell proliferation response to lipopolysaccharide negative regulation of interferon-alpha production negative regulation of interferon-gamma production negative regulation of interleukin-1 production negative regulation of interleukin-12 production negative regulation of interleukin-18 production negative regulation of interleukin-6 production negative regulation of interleukin-8 production negative regulation of tumor necrosis factor production response to insulin negative regulation of heterotypic cell-cell adhesion positive regulation of heterotypic cell-cell adhesion response to carbon monoxide cellular response to hepatocyte growth factor stimulus type 2 immune response B cell proliferation negative regulation of T cell proliferation defense response to bacterium defense response to protozoan positive regulation of macrophage activation negative regulation of apoptotic process negative regulation of neuron apoptotic process negative regulation of nitric oxide biosynthetic process regulation of isotype switching negative regulation of MHC class II biosynthetic process positive regulation of MHC class II biosynthetic process positive regulation of cell cycle positive regulation of transcription, DNA-templated negative regulation of mitotic cell cycle positive regulation of transcription from RNA polymerase II promoter positive regulation of JAK-STAT cascade negative regulation of inflammatory response regulation of synapse organization negative regulation of membrane protein ectodomain proteolysis response to glucocorticoid negative regulation of cytokine activity branching involved in labyrinthine layer morphogenesis cellular response to lipopolysaccharide cellular response to estradiol stimulus negative regulation of chemokine (C-C motif) ligand 5 production endothelial cell apoptotic process liver regeneration interleukin-10-mediated signaling pathway positive regulation of plasma cell differentiation positive regulation of pri-miRNA transcription from RNA polymerase II promoter regulation of response to wounding negative regulation of oxidative stress-induced neuron intrinsic apoptotic signaling pathway regulation of complement-dependent cytotoxicity positive regulation of sprouting angiogenesis negative regulation of vascular smooth muscle cell proliferation positive regulation of vascular smooth muscle cell proliferation negative regulation of endothelial cell apoptotic process
          It has to be done as per old AB suggested Products section.

          Disclaimer

          Close

          Clicking the images or links will redirect you to a website hosted by BenchSci that provides third-party scientific content. Neither the content nor the BenchSci technology and processes for selection have been evaluated by us; we are providing them as-is and without warranty of any kind, including for use or application of the Thermo Fisher Scientific products presented.

          guarantee_icon

          性能保障

          只要您发现Invitrogen抗体在实验中的表现与网站或说明书的所述内容不符,您即可享受免费退换货服务。*

          了解更多
          help_icon

          随时为您服务

          获取常见问题的专家解答,或者直接联系我们的技术专家,咨询应用、设备、常规产品使用问题。

          联系技术支持
          订购 Plus Icon Minus Icon
          • 订单状态查询
          • 订单支持
          • 货号直购
          • 现货供应中心
          • 电子采购
          支持 Plus Icon Minus Icon
          • 帮助&支持
          • 联系我们 - 400 820 8982
          • 技术支持中心
          • 查找文件&证书
          • 报告网站问题
          资源 Plus Icon Minus Icon
          • 学习中心
          • 促销
          • 活动&研讨会
          • 社交媒体
          关于赛默飞 Plus Icon Minus Icon
          • 关于我们
          • 招聘 招聘
          • 投资者关系 投资者关系
          • 新闻 新闻
          • 社会责任 社会责任
          • 商标
          • 政策和通知
          品牌 Plus Icon Minus Icon
          • Thermo Scientific
          • Applied Biosystems
          • Invitrogen
          • Gibco
          • Ion Torrent
          • Unity Lab Services
          • Patheon
          • PPD
          • 服务条款
          • 隐私政策
          • 定价和运输保险政策
          © 2006-2026 Thermo Fisher Scientific Inc. All rights reserved. All trademarks are the property of Thermo Fisher Scientific and its subsidiaries unless otherwise specified.
          China flag icon
          China
          本网站销售的所有产品均不得用于人类或动物之临床诊断或治疗,仅可用于工业或者科研等非医疗目的。
             电子营业执照 | 经营证照公示 | ICP备案号:沪ICP备11003924号 | 沪公网安备 31011502006935号

          Your items have has been added!


          Host server : magellan-search-green-6479c7f679-2z78h:80/100.66.76.236:80.
          git-commit: b70c0dceb888abc3b0dcebb5bc3a5b8753e7e816
          git-url: https://github.com/thermofisher/magellan-search
          git-branch: release/2.50.0-Offline