Hamburger Menu Button
Thermo Fisher Scientific Logo
登录
没有账号?建立账号 注册
  • 产品
    • 抗体
    • 引物合成
    • GeneArt Gene Synthesis Instant Designer
    • TaqMan Assay and Array Search
    • PCR 设备和耗材
    • 色谱柱和纯化柱
    • 实验室离心机
    • 分子生物学试剂和试剂盒
    • 实验室塑料耗材及用品
    • 查看所有产品分类
  • 应用和技术
    • 色谱
    • 细胞转染和培养
    • 实时荧光定量PCR
    • 质谱
    • 实验室塑料耗材及用品
    • 电子显微镜
    • 蛋白质生物学
    • PCR
    • RNAi
    • 环境
    • 查看所有应用和技术
  • 服务
    • 定制服务
    • 企业级实验室信息化服务
    • 金融&租赁服务
    • 仪器服务
    • OEM和商业供应
    • 培训服务
    • 360° CDMO 和 CRO 服务
    • CDMO 服务
    • 临床试验 CRO 服务
    • Unity Lab Services
    • 查看所有帮助和支持
  • 帮助和支持
    • 学习中心
    • 联系我们
    • 更改国家或地区
    • 查看所有帮助和支持
  • 热门产品
    • TaqMan Real-Time PCR Assays
      TaqMan 实时荧光定量 PCR 试剂盒
    • Antibodies
      抗体
    • Oligos, Primers & Probes
      寡核苷酸、引物、探针
    • GeneArt Gene Synthesis
      GeneArt 基因合成
    • Cell Culture Plastics
      细胞培养耗材
  • Who We Serve
    • 抗体治疗解决方案
    • 细胞与基因治疗解决方案
    • 学术科研
    • 工业与应用
  • 联系我们
  • 货号直购
  • 订单查询
  • 查找文件&证书
Thermo Fisher Scientific Logo

Search

搜索全部或下列指定分类
Search button
          • 联系我们
          • 货号直购
          • 登录
            登录
            没有账号?建立账号 注册
            • 我的账号
            • 订单
            • 会员中心
            • 账单及发票查询
            • 定制产品及项目
          • Primary Antibodies ›
          • IL-2 Antibodies

          Invitrogen

          IL-2 Recombinant Rabbit Monoclonal Antibody (2H20L7)

          1 篇参考文献
          查看其他134个IL-2抗体

          {{$productOrderCtrl.translations['antibody.pdp.commerceCard.promotion.promotions']}}

          {{$productOrderCtrl.translations['antibody.pdp.commerceCard.promotion.viewpromo']}}

          {{$productOrderCtrl.translations['antibody.pdp.commerceCard.promotion.promocode']}}: {{promo.promoCode}} {{promo.promoTitle}} {{promo.promoDescription}}. {{$productOrderCtrl.translations['antibody.pdp.commerceCard.promotion.learnmore']}}

          说明书
          证书
          实验方案
          问题与答案
          技术支持
          说明书
          证书
          实验方案
          问题与答案
          技术支持
          说明书
          证书
          实验方案
          问题与答案
          技术支持

          Cite IL-2 Recombinant Rabbit Monoclonal Antibody (2H20L7)

          Additional Information:
          {{banner.description}}
          {{$ctrl.isSkuNotesCollapsed ? 'View more' : 'View less'}}
          • 抗体检测数据 (4)
          IL-2 Antibody in Immunohistochemistry (Paraffin) (IHC (P))
          Group 53 Created with Sketch.
          IL-2 Antibody in Immunohistochemistry (Paraffin) (IHC (P))
          Group 53 Created with Sketch.

          图: 1 / 4

          {{ $ctrl.currentElement.advancedVerification.fullName }}
          {{ $ctrl.currentElement.advancedVerification.text }}

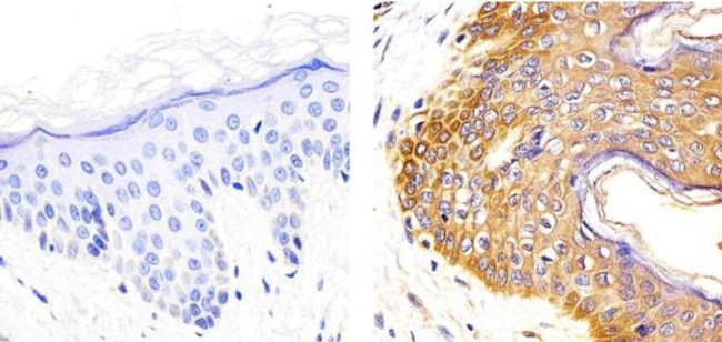
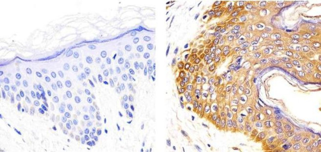
          IL-2 Antibody (701080) in IHC (P)

          Immunohistochemistry analysis of IL-2 showing staining in the cytoplasm of paraffin-embedded human skin tissue (right) compared to a negative control without primary antibody (left). To expose target proteins, antigen retrieval was performed using 10mM sodium citrate (pH 6.0), microwaved for 8-15 min. Following antigen retrieval, tissues were blocked in 3% H2O2-methanol for 15 min at room temperature, washe... View More {{ $ctrl.currentElement.advancedVerification.fullName }} 验证信息 View more
          已发表图片由___提供 benchsci-logo
          PMID: {{$ctrl.currentElement.benchSciPubmedId}}
          查看产品

          {{$ctrl.videoDesc}}

          {{$ctrl.videoLongDesc}}

          IL-2 Antibody in Immunohistochemistry (Paraffin) (IHC (P))
          IL-2 Antibody in Western Blot (WB)
          IL-2 Antibody in Flow Cytometry (Flow)
          IL-2 Antibody in ELISA (ELISA)
          IL-2 Recombinant Rabbit Monoclonal Antibody (2H20L7)

          产品信息

          701080

          应用
          建议稀释比
          已发表文章

          免疫印迹 (WB)

          0.5-2 µg/mL
          查看1篇已发表文章 1篇已发表文章

          免疫组化(石蜡) (IHC (P))

          1:10-1:50
          -

          流式细胞分析 (Flow)

          1:100
          -

          酶联免疫吸附实验 (ELISA)

          1:50-1:3200
          -
          产品规格

          种属反应

          Human

          已发表种属

          Mouse

          宿主/亚型

          Rabbit / IgG

          Expression System

          Expi293

          分类

          Recombinant Monoclonal

          类型

          Antibody

          克隆号

          2H20L7

          抗原

          Recombinant protein corresponding to amino acids 21-153 of human Interleukin 2
          3D表位/免疫原

          偶联物

          Unconjugated Unconjugated Unconjugated

          形式

          Liquid

          浓度

          0.5 mg/mL

          规格

          100 µg

          纯化类型

          Protein A

          保存液

          PBS

          内含物

          0.09% sodium azide

          保存条件

          Store at 4°C short term. For long term storage, store at -20°C, avoiding freeze/thaw cycles.

          运输条件

          Wet ice

          RRID

          AB_2532376

          产品详细信息

          Intact IgG appears on a non-reducing gel as ~150 kDa band and upon reduction generating a ~25 kDa light chain band and a ~50 kDa heavy chain.

          701080 was successfully to detect IL-2 in Flow and ELISA application.

          Recombinant rabbit monoclonal antibodies are produced using in vitro expression systems. The expression systems are developed by cloning in the specific antibody DNA sequences from immunoreactive rabbits. Then, individual clones are screened to select the best candidates for production. The advantages of using recombinant rabbit monoclonal antibodies include: better specificity and sensitivity, lot-to-lot consistency, animal origin-free formulations, and broader immunoreactivity to diverse targets due to larger rabbit immune repertoire.

          靶标信息

          Interleukin 2 (IL-2) is an immuno-modulatory cytokine that is important for the proliferation of activated T cells, differentiation of B cells, natural killer cells, monocytes and macrophages. IL-2 signals through the IL-2 receptor (IL-2R), a heterotrimeric protein complex whose gamma chain is also shared by interleukin 4 (IL-4) and interleukin 7 (IL-7). The expression of the IL-2 gene in mature thymocytes is monoallelic, which represents an unusual regulatory mode for controlling the precise expression of a single gene. The targeted disruption of a gene similar to IL-2 in mice leads to an ulcerative colitis-like disease that suggests an essential role of this gene in the immune response to antigenic stimuli.

          仅用于科研。不用于诊断过程。未经明确授权不得转售。

          生物信息学

          蛋白别名: aldesleukin; cytokine; H-IL-2; il 2; IL-2; ILN; Interleukin; Interleukin-2; Interleukin2; Involved in regulation of T cell clonal expansion; involved in regulation of T-cell clonal expansion; lymphokine; M-IL-2; T cell growth factor; T-cell growth factor; T-cell growth factor (TCGF); TCGF

          查看更多 收起

          基因别名: IL-2; IL2; lymphokine; TCGF

          查看更多 收起

          UniProt ID: (Human) P60568

          查看更多 收起

          Entrez Gene ID: (Human) 3558

          查看更多 收起

          功能
          cytokine activity interleukin-2 receptor binding protein binding growth factor activity kinase activator activity carbohydrate binding kappa-type opioid receptor binding glycosphingolipid binding
          参与通路
          adaptive immune response leukocyte activation involved in immune response immune system process positive regulation of immunoglobulin production negative regulation of B cell apoptotic process transcription from RNA polymerase II promoter immune response cell adhesion G-protein coupled receptor signaling pathway phospholipase C-activating G-protein coupled receptor signaling pathway positive regulation of cytosolic calcium ion concentration cell-cell signaling positive regulation of cell proliferation gene expression natural killer cell activation T cell differentiation positive regulation of cell growth positive regulation of B cell proliferation positive regulation of interferon-gamma production positive regulation of interleukin-17 production positive regulation of tissue remodeling interleukin-2-mediated signaling pathway T cell proliferation positive regulation of T cell proliferation positive regulation of activated T cell proliferation negative regulation of apoptotic process response to ethanol positive regulation of T cell differentiation positive regulation of regulatory T cell differentiation positive regulation of lymphocyte differentiation positive regulation of transcription from RNA polymerase II promoter regulation of T cell homeostatic proliferation lymphocyte proliferation positive regulation of isotype switching to IgG isotypes negative regulation of lymphocyte proliferation negative regulation of inflammatory response positive regulation of inflammatory response activated T cell proliferation positive regulation of dendritic spine development extrinsic apoptotic signaling pathway in absence of ligand receptor signaling pathway via STAT positive regulation of plasma cell differentiation response to tacrolimus negative regulation of T-helper 17 cell differentiation regulation of CD4-positive, alpha-beta T cell proliferation
          It has to be done as per old AB suggested Products section.

          Disclaimer

          Close

          Clicking the images or links will redirect you to a website hosted by BenchSci that provides third-party scientific content. Neither the content nor the BenchSci technology and processes for selection have been evaluated by us; we are providing them as-is and without warranty of any kind, including for use or application of the Thermo Fisher Scientific products presented.

          guarantee_icon

          性能保障

          只要您发现Invitrogen抗体在实验中的表现与网站或说明书的所述内容不符,您即可享受免费退换货服务。*

          了解更多
          help_icon

          随时为您服务

          获取常见问题的专家解答,或者直接联系我们的技术专家,咨询应用、设备、常规产品使用问题。

          联系技术支持
          订购 Plus Icon Minus Icon
          • 订单状态查询
          • 订单支持
          • 货号直购
          • 现货供应中心
          • 电子采购
          支持 Plus Icon Minus Icon
          • 帮助&支持
          • 联系我们 - 400 820 8982
          • 技术支持中心
          • 查找文件&证书
          • 报告网站问题
          资源 Plus Icon Minus Icon
          • 学习中心
          • 促销
          • 活动&研讨会
          • 社交媒体
          关于赛默飞 Plus Icon Minus Icon
          • 关于我们
          • 招聘 招聘
          • 投资者关系 投资者关系
          • 新闻 新闻
          • 社会责任 社会责任
          • 商标
          • 政策和通知
          品牌 Plus Icon Minus Icon
          • Thermo Scientific
          • Applied Biosystems
          • Invitrogen
          • Gibco
          • Ion Torrent
          • Unity Lab Services
          • Patheon
          • PPD
          • 服务条款
          • 隐私政策
          • 定价和运输保险政策
          © 2006-2026 Thermo Fisher Scientific Inc. All rights reserved. All trademarks are the property of Thermo Fisher Scientific and its subsidiaries unless otherwise specified.
          China flag icon
          China
          本网站销售的所有产品均不得用于人类或动物之临床诊断或治疗,仅可用于工业或者科研等非医疗目的。
             电子营业执照 | 经营证照公示 | ICP备案号:沪ICP备11003924号 | 沪公网安备 31011502006935号

          Your items have has been added!


          Host server : magellan-search-green-6479c7f679-zb4k5:80/100.66.74.142:80.
          git-commit: b70c0dceb888abc3b0dcebb5bc3a5b8753e7e816
          git-url: https://github.com/thermofisher/magellan-search
          git-branch: release/2.50.0-Offline