Hamburger Menu Button
Thermo Fisher Scientific Logo
登录
没有账号?建立账号 注册
  • 产品
    • 抗体
    • 引物合成
    • GeneArt Gene Synthesis Instant Designer
    • TaqMan Assay and Array Search
    • PCR 设备和耗材
    • 色谱柱和纯化柱
    • 实验室离心机
    • 分子生物学试剂和试剂盒
    • 实验室塑料耗材及用品
    • 查看所有产品分类
  • 应用和技术
    • 色谱
    • 细胞转染和培养
    • 实时荧光定量PCR
    • 质谱
    • 实验室塑料耗材及用品
    • 电子显微镜
    • 蛋白质生物学
    • PCR
    • RNAi
    • 环境
    • 查看所有应用和技术
  • 服务
    • 定制服务
    • 企业级实验室信息化服务
    • 金融&租赁服务
    • 仪器服务
    • OEM和商业供应
    • 培训服务
    • 360° CDMO 和 CRO 服务
    • CDMO 服务
    • 临床试验 CRO 服务
    • Unity Lab Services
    • 查看所有帮助和支持
  • 帮助和支持
    • 学习中心
    • 联系我们
    • 更改国家或地区
    • 查看所有帮助和支持
  • 热门产品
    • TaqMan Real-Time PCR Assays
      TaqMan 实时荧光定量 PCR 试剂盒
    • Antibodies
      抗体
    • Oligos, Primers & Probes
      寡核苷酸、引物、探针
    • GeneArt Gene Synthesis
      GeneArt 基因合成
    • Cell Culture Plastics
      细胞培养耗材
  • Who We Serve
    • 抗体治疗解决方案
    • 细胞与基因治疗解决方案
    • 学术科研
    • 工业与应用
  • 联系我们
  • 货号直购
  • 订单查询
  • 查找文件&证书
Thermo Fisher Scientific Logo

Search

搜索全部或下列指定分类
Search button
          • 联系我们
          • 货号直购
          • 登录
            登录
            没有账号?建立账号 注册
            • 我的账号
            • 订单
            • 会员中心
            • 账单及发票查询
            • 定制产品及项目
          • Primary Antibodies ›
          • IL-22 Receptor alpha Antibodies

          Invitrogen

          IL-22 Receptor alpha Polyclonal Antibody

          1个已发表图片
          1 篇参考文献
          查看其他20个IL-22 Receptor alpha抗体

          {{$productOrderCtrl.translations['antibody.pdp.commerceCard.promotion.promotions']}}

          {{$productOrderCtrl.translations['antibody.pdp.commerceCard.promotion.viewpromo']}}

          {{$productOrderCtrl.translations['antibody.pdp.commerceCard.promotion.promocode']}}: {{promo.promoCode}} {{promo.promoTitle}} {{promo.promoDescription}}. {{$productOrderCtrl.translations['antibody.pdp.commerceCard.promotion.learnmore']}}

          说明书
          证书
          实验方案
          问题与答案
          技术支持
          说明书
          证书
          实验方案
          问题与答案
          技术支持
          说明书
          证书
          实验方案
          问题与答案
          技术支持

          Cite IL-22 Receptor alpha Polyclonal Antibody

          Additional Information:
          {{banner.description}}
          {{$ctrl.isSkuNotesCollapsed ? 'View more' : 'View less'}}
          • 抗体检测数据 (5)
          • 已发表图片 (1)
          IL-22 Receptor alpha Antibody in Immunocytochemistry (ICC/IF)
          Group 53 Created with Sketch.
          IL-22 Receptor alpha Antibody in Immunocytochemistry (ICC/IF)
          Group 53 Created with Sketch.

          图: 1 / 6

          {{ $ctrl.currentElement.advancedVerification.fullName }}
          {{ $ctrl.currentElement.advancedVerification.text }}

          IL-22 Receptor alpha Antibody (PA5-19987) in ICC/IF

          Immunocytochemistry of IL-22 receptor in HepG2 cells with IL-22 Receptor alpha Polyclonal Antibody (Product # PA5-19987) at 10 µg/mL. {{ $ctrl.currentElement.advancedVerification.fullName }} 验证信息 View more
          已发表图片由___提供 benchsci-logo
          PMID: {{$ctrl.currentElement.benchSciPubmedId}}
          查看产品

          {{$ctrl.videoDesc}}

          {{$ctrl.videoLongDesc}}

          IL-22 Receptor alpha Antibody in Immunocytochemistry (ICC/IF)
          IL-22 Receptor alpha Antibody in Immunocytochemistry (ICC/IF)
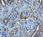
          IL-22 Receptor alpha Antibody in Immunohistochemistry (IHC)
          IL-22 Receptor alpha Antibody in Immunohistochemistry (IHC)
          IL-22 Receptor alpha Antibody in Western Blot (WB)
          IL-22 Receptor alpha Antibody in Western Blot (WB)
          IL-22 Receptor alpha Polyclonal Antibody

          产品信息

          PA5-19987

          应用
          建议稀释比
          已发表文章

          免疫印迹 (WB)

          0.5-1.0 µg/mL
          查看1篇已发表文章 1篇已发表文章

          免疫组化 (IHC)

          5 µg/mL
          -

          免疫细胞化学 (ICC/IF)

          10 µg/mL
          -
          产品规格

          种属反应

          Human, Rat

          已发表种属

          Human

          宿主/亚型

          Rabbit / IgG

          分类

          Polyclonal

          类型

          Antibody

          抗原

          A synthetic peptide corresponding to amino acids near the amino terminus of human IL-22 receptor precursor.
          3D表位/免疫原

          偶联物

          Unconjugated Unconjugated Unconjugated

          形式

          Liquid

          浓度

          1 mg/mL

          规格

          100 µg

          纯化类型

          Antigen affinity chromatography

          保存液

          PBS

          内含物

          0.02% sodium azide

          保存条件

          Maintain refrigerated at 2-8°C for up to 3 months. For long term storage store at -20°C

          运输条件

          Ambient (domestic); Wet ice (international)

          RRID

          AB_11154081

          产品详细信息

          In Western blot applications, this antibody detects a band at ~62kDa. A suggested positive control is HepG2 cell lysate.

          PA5-19987 can be used with blocking peptide PEP-0111.

          靶标信息

          A novel cytokine, designated IL-TIF for IL-10 related T cell-derived inducible factor and IL-22, was recently identified. The receptor for IL-22 (IL-22R, also termed CRF2-9 and IL-TIF-R1 chain) is a new member of the class II cytokine receptor family. IL-22R forms a complex with IL-10 receptor beta chain and mediates IL-22 signaling. IL-22 and its receptor activate JAK-STAT signaling pathway. IL22R is expressed in normal liver and kidney and their cell lines HepG2 and TK-10. A soluble form of IL-22 receptor, also termed IL-22 binding protein (IL-22BP) and IL-22 receptor-alpha 2 (IL-22RA2), was identified very recently. IL-22BP prevents binding of IL-22 to the functional cell surface IL-22R complex and neutralizes IL-22 activity. LPS induces IL-22 expression, which indicates the role of IL-22 in inflammatory response.

          仅用于科研。不用于诊断过程。未经明确授权不得转售。

          生物信息学

          蛋白别名: CRF2-9; cytokine receptor; Cytokine receptor class-II member 9; Cytokine receptor family 2 member 9; il-22 receptor; IL-22 receptor subunit alpha-1; IL-22R-alpha-1; IL-22RA1; ILN; Interleukin; interleukin 22 receptor, alpha 1; Interleukin-22 receptor subunit alpha-1; unnamed protein product; ZcytoR11

          查看更多 收起

          基因别名: CRF2-9; IL22R; IL22R1; IL22RA1; RGD1559655

          查看更多 收起

          UniProt ID: (Human) Q8N6P7

          查看更多 收起

          Entrez Gene ID: (Human) 58985, (Rat) 362629

          查看更多 收起

          功能
          cytokine receptor activity interferon receptor activity protein binding interleukin-20 binding interleukin-22 receptor activity molecular_function transmembrane signal receptor
          参与通路
          cytokine-mediated signaling pathway negative regulation of inflammatory response defense response to Gram-negative bacterium interleukin-22-mediated signaling pathway biological_process
          It has to be done as per old AB suggested Products section.

          Disclaimer

          Close

          Clicking the images or links will redirect you to a website hosted by BenchSci that provides third-party scientific content. Neither the content nor the BenchSci technology and processes for selection have been evaluated by us; we are providing them as-is and without warranty of any kind, including for use or application of the Thermo Fisher Scientific products presented.

          guarantee_icon

          性能保障

          只要您发现Invitrogen抗体在实验中的表现与网站或说明书的所述内容不符,您即可享受免费退换货服务。*

          了解更多
          help_icon

          随时为您服务

          获取常见问题的专家解答,或者直接联系我们的技术专家,咨询应用、设备、常规产品使用问题。

          联系技术支持
          订购 Plus Icon Minus Icon
          • 订单状态查询
          • 订单支持
          • 货号直购
          • 现货供应中心
          • 电子采购
          支持 Plus Icon Minus Icon
          • 帮助&支持
          • 联系我们 - 400 820 8982
          • 技术支持中心
          • 查找文件&证书
          • 报告网站问题
          资源 Plus Icon Minus Icon
          • 学习中心
          • 促销
          • 活动&研讨会
          • 社交媒体
          关于赛默飞 Plus Icon Minus Icon
          • 关于我们
          • 招聘 招聘
          • 投资者关系 投资者关系
          • 新闻 新闻
          • 社会责任 社会责任
          • 商标
          • 政策和通知
          品牌 Plus Icon Minus Icon
          • Thermo Scientific
          • Applied Biosystems
          • Invitrogen
          • Gibco
          • Ion Torrent
          • Unity Lab Services
          • Patheon
          • PPD
          • 服务条款
          • 隐私政策
          • 定价和运输保险政策
          © 2006-2026 Thermo Fisher Scientific Inc. All rights reserved. All trademarks are the property of Thermo Fisher Scientific and its subsidiaries unless otherwise specified.
          China flag icon
          China
          本网站销售的所有产品均不得用于人类或动物之临床诊断或治疗,仅可用于工业或者科研等非医疗目的。
             电子营业执照 | 经营证照公示 | ICP备案号:沪ICP备11003924号 | 沪公网安备 31011502006935号

          Your items have has been added!


          Host server : magellan-search-green-6479c7f679-zb4k5:80/100.66.74.142:80.
          git-commit: b70c0dceb888abc3b0dcebb5bc3a5b8753e7e816
          git-url: https://github.com/thermofisher/magellan-search
          git-branch: release/2.50.0-Offline