Hamburger Menu Button
Thermo Fisher Scientific Logo
登录
没有账号?建立账号 注册
  • 产品
    • 抗体
    • 引物合成
    • GeneArt Gene Synthesis Instant Designer
    • TaqMan Assay and Array Search
    • PCR 设备和耗材
    • 色谱柱和纯化柱
    • 实验室离心机
    • 分子生物学试剂和试剂盒
    • 实验室塑料耗材及用品
    • 查看所有产品分类
  • 应用和技术
    • 色谱
    • 细胞转染和培养
    • 实时荧光定量PCR
    • 质谱
    • 实验室塑料耗材及用品
    • 电子显微镜
    • 蛋白质生物学
    • PCR
    • RNAi
    • 环境
    • 查看所有应用和技术
  • 服务
    • 定制服务
    • 企业级实验室信息化服务
    • 金融&租赁服务
    • 仪器服务
    • OEM和商业供应
    • 培训服务
    • 360° CDMO 和 CRO 服务
    • CDMO 服务
    • 临床试验 CRO 服务
    • Unity Lab Services
    • 查看所有帮助和支持
  • 帮助和支持
    • 学习中心
    • 联系我们
    • 更改国家或地区
    • 查看所有帮助和支持
  • 热门产品
    • TaqMan Real-Time PCR Assays
      TaqMan 实时荧光定量 PCR 试剂盒
    • Antibodies
      抗体
    • Oligos, Primers & Probes
      寡核苷酸、引物、探针
    • GeneArt Gene Synthesis
      GeneArt 基因合成
    • Cell Culture Plastics
      细胞培养耗材
  • Who We Serve
    • 抗体治疗解决方案
    • 细胞与基因治疗解决方案
    • 学术科研
    • 工业与应用
  • 联系我们
  • 货号直购
  • 订单查询
  • 查找文件&证书
Thermo Fisher Scientific Logo

Search

搜索全部或下列指定分类
Search button
          • 联系我们
          • 货号直购
          • 登录
            登录
            没有账号?建立账号 注册
            • 我的账号
            • 订单
            • 会员中心
            • 账单及发票查询
            • 定制产品及项目
          • Primary Antibodies ›
          • IL-28A Antibodies

          Proteintech

          IL-28A Monoclonal Antibody (3B4A1)

          查看其他15个IL-28A抗体

          {{$productOrderCtrl.translations['antibody.pdp.commerceCard.promotion.promotions']}}

          {{$productOrderCtrl.translations['antibody.pdp.commerceCard.promotion.viewpromo']}}

          {{$productOrderCtrl.translations['antibody.pdp.commerceCard.promotion.promocode']}}: {{promo.promoCode}} {{promo.promoTitle}} {{promo.promoDescription}}. {{$productOrderCtrl.translations['antibody.pdp.commerceCard.promotion.learnmore']}}

          说明书
          证书
          实验方案
          问题与答案
          技术支持
          说明书
          证书
          实验方案
          问题与答案
          技术支持
          说明书
          证书
          实验方案
          问题与答案
          技术支持

          Cite IL-28A Monoclonal Antibody (3B4A1)

          Additional Information:
          {{banner.description}}
          {{$ctrl.isSkuNotesCollapsed ? 'View more' : 'View less'}}
          • 抗体检测数据 (7)
          IL-28A Antibody in Immunohistochemistry (Paraffin) (IHC (P))
          Group 53 Created with Sketch.
          IL-28A Antibody in Immunohistochemistry (Paraffin) (IHC (P))
          Group 53 Created with Sketch.

          图: 1 / 7

          {{ $ctrl.currentElement.advancedVerification.fullName }}
          {{ $ctrl.currentElement.advancedVerification.text }}

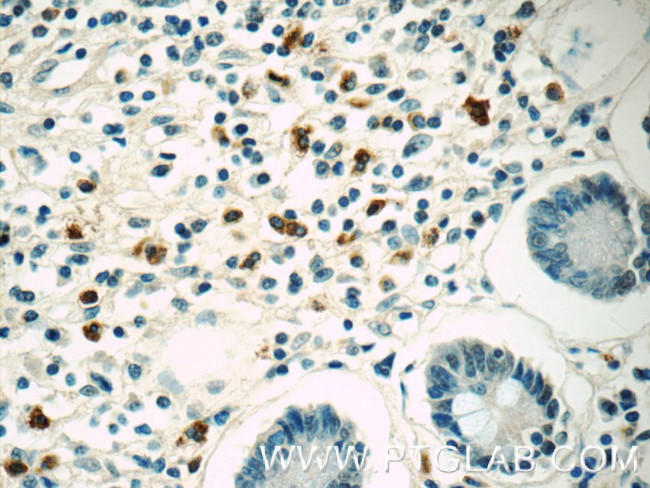
          IL-28A Antibody (60270-1-IG) in IHC (P)

          Immunohistochemistry of paraffin-embedded human small intestine tissue slide using 60270-1-Ig (IL-28A antibody at dilution of 1:50 (under 40x lens). {{ $ctrl.currentElement.advancedVerification.fullName }} 验证信息 View more
          已发表图片由___提供 benchsci-logo
          PMID: {{$ctrl.currentElement.benchSciPubmedId}}
          查看产品

          {{$ctrl.videoDesc}}

          {{$ctrl.videoLongDesc}}

          IL-28A Antibody in Immunohistochemistry (Paraffin) (IHC (P))
          IL-28A Antibody in Immunohistochemistry (Paraffin) (IHC (P))
          IL-28A Antibody in Immunohistochemistry (Paraffin) (IHC (P))
          IL-28A Antibody in Immunohistochemistry (Paraffin) (IHC (P))
          IL-28A Antibody in Immunohistochemistry (PFA fixed) (IHC (PFA))
          IL-28A Antibody in Immunohistochemistry (PFA fixed) (IHC (PFA))
          IL-28A Antibody in Western Blot (WB)
          IL-28A Monoclonal Antibody (3B4A1)

          产品信息

          60270-1-IG

          应用
          建议稀释比
          已发表文章

          免疫印迹 (WB)

          1:5,000-1:50,000
          -

          免疫组化(石蜡) (IHC (P))

          1:20-1:200
          -

          免疫组织化学(多聚甲醛固定) (IHC (PFA))

          1:50
          -
          产品规格

          种属反应

          Human

          宿主/亚型

          Mouse / IgG1

          分类

          Monoclonal

          类型

          Antibody

          克隆号

          3B4A1

          抗原

          IL-28A Fusion Protein Ag18525 (21-91 aa encoded by BC113583)
          3D表位/免疫原

          偶联物

          Unconjugated Unconjugated Unconjugated
          • CoraLite 594
          • CoraLite Plus 488
          • Request custom conjugation

          形式

          Liquid

          浓度

          1.3 mg/mL

          规格

          195 µg

          纯化类型

          Protein G

          保存液

          PBS, pH 7.3, with 50% glycerol

          内含物

          0.02% sodium azide

          保存条件

          -20°C

          运输条件

          Wet ice (domestic); Dry ice (international)

          产品详细信息

          Immunogen sequence: TVTGAVPVA RLHGALPDAR GCHIAQFKSL SPQELQAFKR AKDALEESLL LKDCRCHSRL FPRTWDLRQL QV (21-91 aa encoded by BC113583)

          靶标信息

          IL-28A belongs to the IFN lambda family, a novel family of cytokines within the IL-10 superfamily. The three members of this family are IL-29 (IFN lambda 1), IL-28A (IFN lambda 2), and IL-28B (IFN lambda 3), and are also known as the type III Interferons.The IFN lambdas signal through a heterodimeric receptor of which one subunit, IL-10R2, is shared with other members of the superfamily. The second subunit, IFN lambda R1 or IL-28R alpha, is unique to the IFN lambdas. Signaling occurs through the Jak/STAT pathway in a similar manner as the type I IFN (IFN alpha/beta) and activates many of the same genes despite low sequence homology between the cytokines and receptors in the two families. Both IFN families display antiviral activity through the induction of antiviral protein production in target cells and the upregulation of MHC class I expression. These proteins also exhibit antiproliferative and antitumor effects, making them a possible alternative to IFN alpha cancer therapies. Unlike the type I IFN, which are able to stimulate most cells, response to IFN lambda stimulation appears to be limited to dendritic and some tumor cells due to the limited expression of IFN lambda R1. Another notable difference is the ability of the IFN lambda stimulation to drive dendritic cells towards the production of CD4+CD25+FoxP3+ regulatory T cells, suggesting a possible immunoregulatory role

          仅用于科研。不用于诊断过程。未经明确授权不得转售。

          篇参考文献 (0)

          您是否在文献中引用过该产品?请点击下方按钮邮件告知我们。
          引用该产品

          生物信息学

          蛋白别名: cytokine; Cytokine Zcyto20; IFN-lambda-2; IFN-lambda2; cytokine; IL-28A; ILN; Interferon lambda-2; Interleukin; interleukin 28A (interferon, lambda 2); Interleukin-28A

          查看更多 收起

          基因别名: IFNL2; IFNL2a; IFNL3a; IL-28A; IL28A; ZCYTO20

          查看更多 收起

          UniProt ID: (Human) Q8IZJ0

          查看更多 收起

          Entrez Gene ID: (Human) 282616

          查看更多 收起

          功能
          receptor binding cytokine activity
          参与通路
          mucosal immune response JAK-STAT cascade type III interferon-mediated signaling pathway innate immune response positive regulation of immune response defense response to virus cellular response to virus
          It has to be done as per old AB suggested Products section.

          Disclaimer

          Close

          Clicking the images or links will redirect you to a website hosted by BenchSci that provides third-party scientific content. Neither the content nor the BenchSci technology and processes for selection have been evaluated by us; we are providing them as-is and without warranty of any kind, including for use or application of the Thermo Fisher Scientific products presented.

          guarantee_icon

          性能保障

          只要您发现Invitrogen抗体在实验中的表现与网站或说明书的所述内容不符,您即可享受免费退换货服务。*

          了解更多
          help_icon

          随时为您服务

          获取常见问题的专家解答,或者直接联系我们的技术专家,咨询应用、设备、常规产品使用问题。

          联系技术支持
          订购 Plus Icon Minus Icon
          • 订单状态查询
          • 订单支持
          • 货号直购
          • 现货供应中心
          • 电子采购
          支持 Plus Icon Minus Icon
          • 帮助&支持
          • 联系我们 - 400 820 8982
          • 技术支持中心
          • 查找文件&证书
          • 报告网站问题
          资源 Plus Icon Minus Icon
          • 学习中心
          • 促销
          • 活动&研讨会
          • 社交媒体
          关于赛默飞 Plus Icon Minus Icon
          • 关于我们
          • 招聘 招聘
          • 投资者关系 投资者关系
          • 新闻 新闻
          • 社会责任 社会责任
          • 商标
          • 政策和通知
          品牌 Plus Icon Minus Icon
          • Thermo Scientific
          • Applied Biosystems
          • Invitrogen
          • Gibco
          • Ion Torrent
          • Unity Lab Services
          • Patheon
          • PPD
          • 服务条款
          • 隐私政策
          • 定价和运输保险政策
          © 2006-2026 Thermo Fisher Scientific Inc. All rights reserved. All trademarks are the property of Thermo Fisher Scientific and its subsidiaries unless otherwise specified.
          China flag icon
          China
          本网站销售的所有产品均不得用于人类或动物之临床诊断或治疗,仅可用于工业或者科研等非医疗目的。
             电子营业执照 | 经营证照公示 | ICP备案号:沪ICP备11003924号 | 沪公网安备 31011502006935号

          Your items have has been added!


          Host server : magellan-search-green-6479c7f679-46l5g:80/100.66.76.236:80.
          git-commit: b70c0dceb888abc3b0dcebb5bc3a5b8753e7e816
          git-url: https://github.com/thermofisher/magellan-search
          git-branch: release/2.50.0-Offline