Hamburger Menu Button
Thermo Fisher Scientific Logo
登录
没有账号?建立账号 注册
  • 产品
    • 抗体
    • 引物合成
    • GeneArt Gene Synthesis Instant Designer
    • TaqMan Assay and Array Search
    • PCR 设备和耗材
    • 色谱柱和纯化柱
    • 实验室离心机
    • 分子生物学试剂和试剂盒
    • 实验室塑料耗材及用品
    • 查看所有产品分类
  • 应用和技术
    • 色谱
    • 细胞转染和培养
    • 实时荧光定量PCR
    • 质谱
    • 实验室塑料耗材及用品
    • 电子显微镜
    • 蛋白质生物学
    • PCR
    • RNAi
    • 环境
    • 查看所有应用和技术
  • 服务
    • 定制服务
    • 企业级实验室信息化服务
    • 企业服务
    • 金融&租赁服务
    • 仪器服务
    • OEM和商业供应
    • 培训服务
    • 360° CDMO 和 CRO 服务
    • CDMO 服务
    • 临床试验 CRO 服务
    • 查看所有帮助和支持
  • 帮助和支持
    • 学习中心
    • 联系我们
    • 更改国家或地区
    • 查看所有帮助和支持
  • 热门产品
    • TaqMan Real-Time PCR Assays
      TaqMan 实时荧光定量 PCR 试剂盒
    • Antibodies
      抗体
    • Oligos, Primers & Probes
      寡核苷酸、引物、探针
    • GeneArt Gene Synthesis
      GeneArt 基因合成
    • Cell Culture Plastics
      细胞培养耗材
  • 联系我们
  • 货号直购
  • 订单查询
  • 查找文件&证书
Thermo Fisher Scientific Logo

Search

搜索全部或下列指定分类
Search button
          • 联系我们
          • 货号直购
          • 登录
            登录
            没有账号?建立账号 注册
            • 我的账号
            • 订单
            • 账单及发票查询
            • 定制产品及项目

          Disclaimer

          Clicking the images or links will redirect you to a website hosted by BenchSci that provides third-party scientific content. Neither the content nor the BenchSci technology and processes for selection have been evaluated by us; we are providing them as-is and without warranty of any kind, including for use or application of the Thermo Fisher Scientific products presented.

          • Primary Antibodies ›
          • IRAK4 Antibodies

          Invitrogen

          IRAK4 Monoclonal Antibody (2H9)

          高级验证
          12个已发表图片
          5 篇参考文献
          查看其他29个IRAK4抗体

          {{$productOrderCtrl.translations['antibody.pdp.commerceCard.promotion.promotions']}}

          {{$productOrderCtrl.translations['antibody.pdp.commerceCard.promotion.viewpromo']}}

          {{$productOrderCtrl.translations['antibody.pdp.commerceCard.promotion.promocode']}}: {{promo.promoCode}} {{promo.promoTitle}} {{promo.promoDescription}}. {{$productOrderCtrl.translations['antibody.pdp.commerceCard.promotion.learnmore']}}

          说明书
          实验方案
          问题与答案
          技术支持
          说明书
          实验方案
          问题与答案
          技术支持
          说明书
          实验方案
          问题与答案
          技术支持

          Cite IRAK4 Monoclonal Antibody (2H9)

          • 抗体检测数据 (5)
          • 已发表图片 (12)
          • 高级验证 (1)
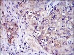
          IRAK4 Antibody in Immunohistochemistry (Paraffin) (IHC (P))
          Group 53 Created with Sketch.
          IRAK4 Antibody in Immunohistochemistry (Paraffin) (IHC (P))
          Group 53 Created with Sketch.

          图: 1 / 18

          {{ $ctrl.currentElement.advancedVerification.fullName }}
          {{ $ctrl.currentElement.advancedVerification.text }}

          IRAK4 Antibody (MA5-15883) in IHC (P)

          Immunohistochemical analysis of paraffin-embedded human kidney cancer tissues using IRAK4 monoclonal antibody (Product # MA5-15883) followed with DAB staining. {{ $ctrl.currentElement.advancedVerification.fullName }} 验证信息 View more
          已发表图片由___提供 benchsci-logo
          PMID: {{$ctrl.currentElement.benchSciPubmedId}}
          查看产品

          {{$ctrl.videoDesc}}

          {{$ctrl.videoLongDesc}}

          IRAK4 Antibody in Immunohistochemistry (Paraffin) (IHC (P))
          IRAK4 Antibody in Immunohistochemistry (Paraffin) (IHC (P))
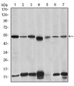
          IRAK4 Antibody in Western Blot (WB)
          IRAK4 Antibody in Western Blot (WB)
          IRAK4 Antibody in Flow Cytometry (Flow)
          IRAK4 Antibody in Western Blot (WB)
          IRAK4 Antibody in Western Blot (WB)
          IRAK4 Antibody in Western Blot (WB)
          IRAK4 Antibody in Western Blot (WB)
          IRAK4 Antibody in Western Blot (WB)
          IRAK4 Antibody in Western Blot (WB)
          IRAK4 Antibody in Western Blot (WB)
          IRAK4 Antibody in Western Blot (WB)
          IRAK4 Antibody in Western Blot (WB)
          IRAK4 Antibody in Western Blot (WB)
          IRAK4 Antibody in Western Blot (WB)
          IRAK4 Antibody in Western Blot (WB)
          IRAK4 Antibody

          产品信息

          MA5-15883

          应用
          建议稀释比
          已发表文章

          免疫印迹 (WB)

          1:500-1:2,000
          查看4篇已发表文章 4篇已发表文章

          免疫组化(石蜡) (IHC (P))

          1:200-1:1,000
          -

          流式细胞分析 (Flow)

          1:200-1:400
          -

          酶联免疫吸附实验 (ELISA)

          1:10,000
          -

          亲和纯化 (AP)

          -
          查看1篇已发表文章 1篇已发表文章
          产品规格

          种属反应

          Human, Mouse, Non-human primate

          已发表种属

          C. elegans, Human

          宿主/亚型

          Mouse / IgG1

          分类

          Monoclonal

          类型

          Antibody

          克隆号

          2H9

          抗原

          Purified recombinant fragment of human IRAK4 expressed in E. Coli.

          偶联物

          Unconjugated Unconjugated Unconjugated

          形式

          Liquid

          浓度

          Conc. Not Determined

          保存液

          ascites

          内含物

          0.03% sodium azide

          保存条件

          Store at 4°C short term. For long term storage, store at -20°C, avoiding freeze/thaw cycles.

          运输条件

          Ambient (domestic); Wet ice (international)

          RRID

          AB_11154205

          产品详细信息

          MA5-15883 targets IRAK4 in indirect ELISA, FACS, IHC, and WB applications and shows reactivity with Human, mouse, and Non-human primate samples.

          The MA5-15883 immunogen is purified recombinant fragment of human IRAK4 expressed in E. Coli. .

          MA5-15883 detects IRAK4 which has a predicted molecular weight of approximately 52kDa.

          靶标信息

          IL-1 receptor associated kinases (IRAKs) are serine/threonine kinases involved in signaling via Toll/IL-1 pathways. Overexpression of IRAK-4 activates NF-kappa-B and MAPK pathways. IRAK-4 interacts with and phosphorylates IRAK-1. IRAK-4-deficient animals are completely resistant to the challenge with LPS. Animals and humans lacking IRAK-4 are impaired in their responses to viral and bacterial challenges. Members in IRAK/Pelle family play a central role in IL-1R/TLR mediated inflammatory responses and in innate immunity.

          仅用于科研。不用于诊断过程。未经明确授权不得转售。

          生物信息学

          蛋白别名: interleukin-1; Interleukin-1 receptor-associated kinase 4; IRAK-4; Renal carcinoma antigen NY-REN-64

          查看更多 收起

          基因别名: 8430405M07Rik; 9330209D03Rik; IPD1; IRAK-4; IRAK4; NY-REN-64; REN64

          查看更多 收起

          UniProt ID: (Human) Q9NWZ3, (Mouse) Q8R4K2

          查看更多 收起

          Entrez Gene ID: (Human) 51135, (Mouse) 266632

          查看更多 收起

          功能
          magnesium ion binding protein kinase activity protein serine/threonine kinase activity interleukin-1 receptor binding protein binding ATP binding nucleotide binding kinase activity transferase activity transferase activity, transferring phosphorus-containing groups
          参与通路
          cytokine production toll-like receptor signaling pathway neutrophil mediated immunity MyD88-dependent toll-like receptor signaling pathway JNK cascade cytokine-mediated signaling pathway toll-like receptor 9 signaling pathway positive regulation of I-kappaB kinase/NF-kappaB signaling innate immune response positive regulation of smooth muscle cell proliferation neutrophil migration immune system process protein phosphorylation signal transduction phosphorylation intracellular signal transduction
          It has to be done as per old AB suggested Products section.
          guarantee_icon

          性能保障

          只要您发现Invitrogen抗体在实验中的表现与网站或说明书的所述内容不符,您即可享受免费退换货服务。*

          了解更多
          help_icon

          随时为您服务

          获取常见问题的专家解答,或者直接联系我们的技术专家,咨询应用、设备、常规产品使用问题。

          联系技术支持
          订购 Plus Icon Minus Icon
          • 订单状态查询
          • 订单支持
          • 货号直购
          • 现货供应中心
          • 电子采购
          支持 Plus Icon Minus Icon
          • 帮助&支持
          • 联系我们 - 400 820 8982
          • 技术支持中心
          • 查找文件&证书
          • 报告网站问题
          资源 Plus Icon Minus Icon
          • 学习中心
          • 促销
          • 活动&研讨会
          • 社交媒体
          关于赛默飞 Plus Icon Minus Icon
          • 关于我们
          • 招聘 招聘
          • 投资者关系 投资者关系
          • 新闻 新闻
          • 社会责任 社会责任
          • 商标
          • 政策和通知
          品牌 Plus Icon Minus Icon
          • Thermo Scientific
          • Applied Biosystems
          • Invitrogen
          • Gibco
          • Ion Torrent
          • Patheon
          • PPD
          • 服务条款
          • 隐私政策
          • 定价和运输保险政策
          © 2006-2025 Thermo Fisher Scientific Inc. All rights reserved. All trademarks are the property of Thermo Fisher Scientific and its subsidiaries unless otherwise specified.
          China flag icon
          China
          本网站销售的所有产品均不得用于人类或动物之临床诊断或治疗,仅可用于工业或者科研等非医疗目的。
             电子营业执照 | 经营证照公示 | ICP备案号:沪ICP备11003924号 | 沪公网安备 31011502006935号

          Your items have has been added!


          Host server : magellan-search-green-55658555d6-rpvtt:80/100.66.75.127:80.
          git-commit: ec8e7df5f8fec8d765bd419205f1b5046a016d37
          git-url: https://github.com/thermofisher/magellan-search
          git-branch: release/2.41.0-Offline