Hamburger Menu Button
Thermo Fisher Scientific Logo
登录
没有账号?建立账号 注册
  • 产品
    • 抗体
    • 引物合成
    • GeneArt Gene Synthesis Instant Designer
    • TaqMan Assay and Array Search
    • PCR 设备和耗材
    • 色谱柱和纯化柱
    • 实验室离心机
    • 分子生物学试剂和试剂盒
    • 实验室塑料耗材及用品
    • 查看所有产品分类
  • 应用和技术
    • 色谱
    • 细胞转染和培养
    • 实时荧光定量PCR
    • 质谱
    • 实验室塑料耗材及用品
    • 电子显微镜
    • 蛋白质生物学
    • PCR
    • RNAi
    • 环境
    • 查看所有应用和技术
  • 服务
    • 定制服务
    • 企业级实验室信息化服务
    • 企业服务
    • 金融&租赁服务
    • 仪器服务
    • OEM和商业供应
    • 培训服务
    • 360° CDMO 和 CRO 服务
    • CDMO 服务
    • 临床试验 CRO 服务
    • 查看所有帮助和支持
  • 帮助和支持
    • 学习中心
    • 联系我们
    • 更改国家或地区
    • 查看所有帮助和支持
  • 热门产品
    • TaqMan Real-Time PCR Assays
      TaqMan 实时荧光定量 PCR 试剂盒
    • Antibodies
      抗体
    • Oligos, Primers & Probes
      寡核苷酸、引物、探针
    • GeneArt Gene Synthesis
      GeneArt 基因合成
    • Cell Culture Plastics
      细胞培养耗材
  • 联系我们
  • 货号直购
  • 订单查询
  • 查找文件&证书
Thermo Fisher Scientific Logo

Search

搜索全部或下列指定分类
Search button
          • 联系我们
          • 货号直购
          • 登录
            登录
            没有账号?建立账号 注册
            • 我的账号
            • 订单
            • 账单及发票查询
            • 定制产品及项目

          Disclaimer

          Clicking the images or links will redirect you to a website hosted by BenchSci that provides third-party scientific content. Neither the content nor the BenchSci technology and processes for selection have been evaluated by us; we are providing them as-is and without warranty of any kind, including for use or application of the Thermo Fisher Scientific products presented.

          • Primary Antibodies ›
          • IRF3 Antibodies

          NeoBiotechnologies

          IRF3 (Transcription Factor) Monoclonal Antibody (PCRP-IRF3-4D7)

          查看其他51个IRF3抗体

          {{$productOrderCtrl.translations['antibody.pdp.commerceCard.promotion.promotions']}}

          {{$productOrderCtrl.translations['antibody.pdp.commerceCard.promotion.viewpromo']}}

          {{$productOrderCtrl.translations['antibody.pdp.commerceCard.promotion.promocode']}}: {{promo.promoCode}} {{promo.promoTitle}} {{promo.promoDescription}}. {{$productOrderCtrl.translations['antibody.pdp.commerceCard.promotion.learnmore']}}

          说明书
          证书
          实验方案
          问题与答案
          技术支持
          说明书
          证书
          实验方案
          问题与答案
          技术支持
          说明书
          证书
          实验方案
          问题与答案
          技术支持

          Cite IRF3 (Transcription Factor) Monoclonal Antibody (PCRP-IRF3-4D7)

          • 抗体检测数据 (2)
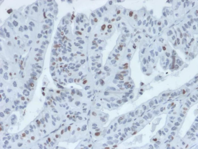
          IRF3 (Transcription Factor) Antibody in Immunohistochemistry (Paraffin) (IHC (P))
          Group 53 Created with Sketch.
          IRF3 (Transcription Factor) Antibody in Immunohistochemistry (Paraffin) (IHC (P))
          Group 53 Created with Sketch.

          图: 1 / 2

          {{ $ctrl.currentElement.advancedVerification.fullName }}
          {{ $ctrl.currentElement.advancedVerification.text }}

          IRF3 (Transcription Factor) Antibody (3661-MSM5-P1) in IHC (P)

          Formalin-fixed, paraffin-embedded human tumor of unknown origin stained with IRF3 Mouse Monoclonal Antibody (PCRP-IRF3-4D7). {{ $ctrl.currentElement.advancedVerification.fullName }} 验证信息 View more
          已发表图片由___提供 benchsci-logo
          PMID: {{$ctrl.currentElement.benchSciPubmedId}}
          查看产品

          {{$ctrl.videoDesc}}

          {{$ctrl.videoLongDesc}}

          IRF3 (Transcription Factor) Antibody in Immunohistochemistry (Paraffin) (IHC (P))
          IRF3 (Transcription Factor) Antibody in Flow Cytometry (Flow)
          IRF3 (Transcription Factor) Monoclonal Antibody (PCRP-IRF3-4D7)

          产品信息

          3661-MSM5-P1

          应用
          建议稀释比
          已发表文章

          免疫组化(石蜡) (IHC (P))

          1-2 µg/mL
          -

          流式细胞分析 (Flow)

          1-2 µg/mL
          -

          肽阵列 (Array)

          Assay-dependent
          -
          产品规格

          种属反应

          Human

          宿主/亚型

          Mouse / IgG1

          分类

          Monoclonal

          类型

          Antibody

          克隆号

          PCRP-IRF3-4D7

          抗原

          Recombinant full-length human IRF3 protein
          查看免疫原

          偶联物

          Unconjugated Unconjugated Unconjugated

          形式

          Liquid

          浓度

          200 µg/mL

          纯化类型

          Protein A/G

          保存液

          PBS with 0.05% BSA

          内含物

          0.05% sodium azide

          保存条件

          4°C

          运输条件

          Ambient (domestic); Wet ice (international)

          产品详细信息

          Positive Control: HeLa U87 or Ramos cells.

          Cellular Location: Cytoplasm. Nucleus. Shuttles between cytoplasmic and nuclear compartments; IRF3 interaction with CREBBP prevents its export to the cytoplasm.; with export being the prevailing effect. When activated

          靶标信息

          IFR3 (interferon regulatory factor 3) is a key transcriptional regulator of type I interferon (IFN)-dependent immune responses. It plays a critical role in the innate immune response against DNA and RNA viruses. IFR3 regulates the transcription of type I IFN genes (IFN-alpha and IFN-beta) and IFN-stimulated genes (ISG) by binding to an interferon-stimulated response element (ISRE) in their promoters. It acts as a more potent activator of the IFN-beta gene than the IFN-alpha gene and plays a critical role in both the early and late phases of the IFNA/B gene induction. IFR3 is found in an inactive form in the cytoplasm of uninfected cells and following viral infection, double-stranded RNA, or toll-like receptor signaling. It is phosphorylated by IKBKE and TBK1 kinases. This induces a conformational change, leading to its dimerization and nuclear localization and association with CREB binding protein to form dsRNA-activated factor 1 (DRAF1), a complex which activates the transcription of the type I IFN and ISG genes. Mutations in the gene can result in encephalopathy, acute, infection-induced, herpes-specific 7.

          仅用于科研。不用于诊断过程。未经明确授权不得转售。

          篇参考文献 (0)

          您是否在文献中引用过该产品?请点击下方按钮邮件告知我们。
          引用该产品

          生物信息学

          蛋白别名: Interferon regulatory factor 3; IRF-3; IRF3 (phospho S386); IRF3 (pS386); IRF3 (pSer386); IRF3 phospho; IRF3 phospho S386; IRF3 phospho Ser386; phospho IRF3

          查看更多 收起

          基因别名: IIAE7; IRF3

          查看更多 收起

          UniProt ID: (Human) Q14653

          查看更多 收起

          Entrez Gene ID: (Human) 3661

          查看更多 收起

          功能
          RNA polymerase II core promoter proximal region sequence-specific DNA binding transcriptional repressor activity, RNA polymerase II core promoter proximal region sequence-specific binding DNA binding transcription cofactor activity protein binding identical protein binding protein homodimerization activity winged helix/forkhead transcription factor
          参与通路
          negative regulation of transcription from RNA polymerase II promoter transcription from RNA polymerase II promoter apoptotic process cellular response to DNA damage stimulus lipopolysaccharide-mediated signaling pathway negative regulation of type I interferon production positive regulation of type I interferon production positive regulation of interferon-alpha production positive regulation of interferon-beta production TRIF-dependent toll-like receptor signaling pathway MDA-5 signaling pathway positive regulation of I-kappaB kinase/NF-kappaB signaling response to exogenous dsRNA type I interferon biosynthetic process positive regulation of cytokine secretion defense response to virus interferon-gamma-mediated signaling pathway type I interferon signaling pathway positive regulation of type I interferon-mediated signaling pathway cellular response to dsRNA macrophage apoptotic process programmed necrotic cell death
          It has to be done as per old AB suggested Products section.
          guarantee_icon

          性能保障

          只要您发现Invitrogen抗体在实验中的表现与网站或说明书的所述内容不符,您即可享受免费退换货服务。*

          了解更多
          help_icon

          随时为您服务

          获取常见问题的专家解答,或者直接联系我们的技术专家,咨询应用、设备、常规产品使用问题。

          联系技术支持
          订购 Plus Icon Minus Icon
          • 订单状态查询
          • 订单支持
          • 货号直购
          • 现货供应中心
          • 电子采购
          支持 Plus Icon Minus Icon
          • 帮助&支持
          • 联系我们 - 400 820 8982
          • 技术支持中心
          • 查找文件&证书
          • 报告网站问题
          资源 Plus Icon Minus Icon
          • 学习中心
          • 促销
          • 活动&研讨会
          • 社交媒体
          关于赛默飞 Plus Icon Minus Icon
          • 关于我们
          • 招聘 招聘
          • 投资者关系 投资者关系
          • 新闻 新闻
          • 社会责任 社会责任
          • 商标
          • 政策和通知
          品牌 Plus Icon Minus Icon
          • Thermo Scientific
          • Applied Biosystems
          • Invitrogen
          • Gibco
          • Ion Torrent
          • Patheon
          • PPD
          • 服务条款
          • 隐私政策
          • 定价和运输保险政策
          © 2006-2026 Thermo Fisher Scientific Inc. All rights reserved. All trademarks are the property of Thermo Fisher Scientific and its subsidiaries unless otherwise specified.
          China flag icon
          China
          本网站销售的所有产品均不得用于人类或动物之临床诊断或治疗,仅可用于工业或者科研等非医疗目的。
             电子营业执照 | 经营证照公示 | ICP备案号:沪ICP备11003924号 | 沪公网安备 31011502006935号

          Your items have has been added!


          Host server : magellan-search-blue-55ff9ddd88-49ts5:80/100.66.72.225:80.
          git-commit: d366ff9721d93504b2ac26a183b2b3e3d0e7d9ec
          git-url: https://github.com/thermofisher/magellan-search
          git-branch: release/2.42.0-2026.01.03-1.0