Hamburger Menu Button
Thermo Fisher Scientific Logo
登录
没有账号?建立账号 注册
  • 产品
    • 抗体
    • 引物合成
    • GeneArt Gene Synthesis Instant Designer
    • TaqMan Assay and Array Search
    • PCR 设备和耗材
    • 色谱柱和纯化柱
    • 实验室离心机
    • 分子生物学试剂和试剂盒
    • 实验室塑料耗材及用品
    • 查看所有产品分类
  • 应用和技术
    • 色谱
    • 细胞转染和培养
    • 实时荧光定量PCR
    • 质谱
    • 实验室塑料耗材及用品
    • 电子显微镜
    • 蛋白质生物学
    • PCR
    • RNAi
    • 环境
    • 查看所有应用和技术
  • 服务
    • 定制服务
    • 企业级实验室信息化服务
    • 企业服务
    • 金融&租赁服务
    • 仪器服务
    • OEM和商业供应
    • 培训服务
    • 360° CDMO 和 CRO 服务
    • CDMO 服务
    • 临床试验 CRO 服务
    • 查看所有帮助和支持
  • 帮助和支持
    • 学习中心
    • 联系我们
    • 更改国家或地区
    • 查看所有帮助和支持
  • 热门产品
    • TaqMan Real-Time PCR Assays
      TaqMan 实时荧光定量 PCR 试剂盒
    • Antibodies
      抗体
    • Oligos, Primers & Probes
      寡核苷酸、引物、探针
    • GeneArt Gene Synthesis
      GeneArt 基因合成
    • Cell Culture Plastics
      细胞培养耗材
  • 联系我们
  • 货号直购
  • 订单查询
  • 查找文件&证书
Thermo Fisher Scientific Logo

Search

搜索全部或下列指定分类
Search button
          • 联系我们
          • 货号直购
          • 登录
            登录
            没有账号?建立账号 注册
            • 我的账号
            • 订单
            • 账单及发票查询
            • 定制产品及项目

          Disclaimer

          Clicking the images or links will redirect you to a website hosted by BenchSci that provides third-party scientific content. Neither the content nor the BenchSci technology and processes for selection have been evaluated by us; we are providing them as-is and without warranty of any kind, including for use or application of the Thermo Fisher Scientific products presented.

          • Primary Antibodies ›
          • Activin A Antibodies

          Proteintech

          Inhibin beta A Monoclonal Antibody (1F8D8)

          查看其他19个Activin A抗体

          {{$productOrderCtrl.translations['antibody.pdp.commerceCard.promotion.promotions']}}

          {{$productOrderCtrl.translations['antibody.pdp.commerceCard.promotion.viewpromo']}}

          {{$productOrderCtrl.translations['antibody.pdp.commerceCard.promotion.promocode']}}: {{promo.promoCode}} {{promo.promoTitle}} {{promo.promoDescription}}. {{$productOrderCtrl.translations['antibody.pdp.commerceCard.promotion.learnmore']}}

          说明书
          证书
          实验方案
          问题与答案
          技术支持
          说明书
          证书
          实验方案
          问题与答案
          技术支持
          说明书
          证书
          实验方案
          问题与答案
          技术支持

          Cite Inhibin beta A Monoclonal Antibody (1F8D8)

          • 抗体检测数据 (10)
          Inhibin beta A Antibody in Immunohistochemistry (Paraffin) (IHC (P))
          Group 53 Created with Sketch.
          Inhibin beta A Antibody in Immunohistochemistry (Paraffin) (IHC (P))
          Group 53 Created with Sketch.

          图: 1 / 10

          {{ $ctrl.currentElement.advancedVerification.fullName }}
          {{ $ctrl.currentElement.advancedVerification.text }}

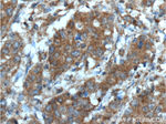
          Inhibin beta A Antibody (60352-1-IG) in IHC (P)

          Immunohistochemistry of paraffin-embedded human oesophagus cancer tissue slide using 60352-1-Ig (INHBA-Specific Antibody) at dilution of 1:150 (under 40x lens). Heat mediated antigen retrieved with Tris-EDTA buffer (pH 9). {{ $ctrl.currentElement.advancedVerification.fullName }} 验证信息 View more
          已发表图片由___提供 benchsci-logo
          PMID: {{$ctrl.currentElement.benchSciPubmedId}}
          查看产品

          {{$ctrl.videoDesc}}

          {{$ctrl.videoLongDesc}}

          Inhibin beta A Antibody in Immunohistochemistry (Paraffin) (IHC (P))
          Inhibin beta A Antibody in Immunohistochemistry (Paraffin) (IHC (P))
          Inhibin beta A Antibody in Immunohistochemistry (Paraffin) (IHC (P))
          Inhibin beta A Antibody in Immunohistochemistry (Paraffin) (IHC (P))
          Inhibin beta A Antibody in Immunohistochemistry (Paraffin) (IHC (P))
          Inhibin beta A Antibody in Immunohistochemistry (Paraffin) (IHC (P))
          Inhibin beta A Antibody in Western Blot (WB)
          Inhibin beta A Antibody in Western Blot (WB)
          Inhibin beta A Antibody in Western Blot (WB)
          Inhibin beta A Antibody in Western Blot (WB)

          产品信息

          60352-1-IG

          应用
          建议稀释比
          已发表文章

          免疫印迹 (WB)

          1:500-1:2,000
          -

          免疫组化(石蜡) (IHC (P))

          1:50-1:500
          -
          产品规格

          种属反应

          Human, Pig

          宿主/亚型

          Mouse / IgG1

          分类

          Monoclonal

          类型

          Antibody

          克隆号

          1F8D8

          抗原

          Peptide

          偶联物

          Unconjugated Unconjugated Unconjugated

          形式

          Liquid

          浓度

          1 mg/mL

          纯化类型

          Protein G

          保存液

          PBS, pH 7.3, with 50% glycerol

          内含物

          0.02% sodium azide

          保存条件

          -20°C

          运输条件

          Wet ice (domestic); Dry ice (international)

          靶标信息

          Activins are dimeric growth and differentiation factors which belong to the transforming growth factor-beta (TGF-beta) superfamily of structurally related signaling proteins. Activins signal through a heteromeric complex of receptor serine kinases which include at least two type I ( I and IB) and two type II (II and IIB) receptors. These receptors are all transmembrane proteins, composed of a ligand-binding extracellular domain with cysteine-rich region, a transmembrane domain, and a cytoplasmic domain with predicted serine/threonine specificity. Type I receptors are essential for signaling; and type II receptors are required for binding ligands and for expression of type I receptors. Type I and II receptors form a stable complex after ligand binding, resulting in phosphorylation of type I receptors by type II receptors. Activin A mutations are associated with fibrodysplasia ossificans progressive.

          仅用于科研。不用于诊断过程。未经明确授权不得转售。

          篇参考文献 (0)

          您是否在文献中引用过该产品?请点击下方按钮邮件告知我们。
          引用该产品

          生物信息学

          蛋白别名: Activin beta-A chain; EDF; erythroid differentiation factor; Erythroid differentiation protein; follicle-stimulating hormone-releasing protein; FSH-releasing protein; Inhibin beta A chain; inhibin beta A subunit; inhibin beta-subunit; inhibin, beta A (activin A, activin AB alpha polypeptide); Inhibin, beta-1; unnamed protein product

          查看更多 收起

          基因别名: EDF; FRP; INHBA

          查看更多 收起

          UniProt ID: (Human) P08476, (Pig) P03970

          查看更多 收起

          Entrez Gene ID: (Human) 3624, (Pig) 397093

          查看更多 收起

          功能
          cytokine activity transforming growth factor beta receptor binding hormone activity protein binding growth factor activity peptide hormone binding inhibin binding identical protein binding protein heterodimerization activity type II activin receptor binding growth factor
          参与通路
          G1/S transition of mitotic cell cycle ovarian follicle development hair follicle development hematopoietic progenitor cell differentiation regulation of transcription from RNA polymerase II promoter defense response cell cycle arrest cell surface receptor signaling pathway cell-cell signaling nervous system development negative regulation of cell proliferation male gonad development positive regulation of gene expression positive regulation of pathway-restricted SMAD protein phosphorylation striatal medium spiny neuron differentiation cell differentiation erythrocyte differentiation negative regulation of cell growth positive regulation of cellular protein metabolic process activin receptor signaling pathway endodermal cell differentiation growth negative regulation of phosphorylation odontogenesis response to drug hemoglobin biosynthetic process progesterone secretion regulation of MAPK cascade negative regulation of interferon-gamma biosynthetic process negative regulation of B cell differentiation positive regulation of erythrocyte differentiation negative regulation of macrophage differentiation negative regulation of cell cycle positive regulation of transcription, DNA-templated positive regulation of transcription from RNA polymerase II promoter regulation of follicle-stimulating hormone secretion positive regulation of follicle-stimulating hormone secretion negative regulation of follicle-stimulating hormone secretion mesodermal cell differentiation cell development palate development positive regulation of ovulation SMAD protein signal transduction eyelid development in camera-type eye cellular response to follicle-stimulating hormone stimulus cellular response to cholesterol GABAergic neuron differentiation extrinsic apoptotic signaling pathway positive regulation of extrinsic apoptotic signaling pathway in absence of ligand negative regulation of hair follicle development
          It has to be done as per old AB suggested Products section.
          guarantee_icon

          性能保障

          只要您发现Invitrogen抗体在实验中的表现与网站或说明书的所述内容不符,您即可享受免费退换货服务。*

          了解更多
          help_icon

          随时为您服务

          获取常见问题的专家解答,或者直接联系我们的技术专家,咨询应用、设备、常规产品使用问题。

          联系技术支持
          订购 Plus Icon Minus Icon
          • 订单状态查询
          • 订单支持
          • 货号直购
          • 现货供应中心
          • 电子采购
          支持 Plus Icon Minus Icon
          • 帮助&支持
          • 联系我们 - 400 820 8982
          • 技术支持中心
          • 查找文件&证书
          • 报告网站问题
          资源 Plus Icon Minus Icon
          • 学习中心
          • 促销
          • 活动&研讨会
          • 社交媒体
          关于赛默飞 Plus Icon Minus Icon
          • 关于我们
          • 招聘 招聘
          • 投资者关系 投资者关系
          • 新闻 新闻
          • 社会责任 社会责任
          • 商标
          • 政策和通知
          品牌 Plus Icon Minus Icon
          • Thermo Scientific
          • Applied Biosystems
          • Invitrogen
          • Gibco
          • Ion Torrent
          • Patheon
          • PPD
          • 服务条款
          • 隐私政策
          • 定价和运输保险政策
          © 2006-2026 Thermo Fisher Scientific Inc. All rights reserved. All trademarks are the property of Thermo Fisher Scientific and its subsidiaries unless otherwise specified.
          China flag icon
          China
          本网站销售的所有产品均不得用于人类或动物之临床诊断或治疗,仅可用于工业或者科研等非医疗目的。
             电子营业执照 | 经营证照公示 | ICP备案号:沪ICP备11003924号 | 沪公网安备 31011502006935号

          Your items have has been added!


          Host server : magellan-search-blue-55ff9ddd88-7xnfb:80/100.66.78.110:80.
          git-commit: d366ff9721d93504b2ac26a183b2b3e3d0e7d9ec
          git-url: https://github.com/thermofisher/magellan-search
          git-branch: release/2.42.0-2026.01.03-1.0