Hamburger Menu Button
Thermo Fisher Scientific Logo
登录
没有账号?建立账号 注册
  • 产品
    • 抗体
    • 引物合成
    • GeneArt Gene Synthesis Instant Designer
    • TaqMan Assay and Array Search
    • PCR 设备和耗材
    • 色谱柱和纯化柱
    • 实验室离心机
    • 分子生物学试剂和试剂盒
    • 实验室塑料耗材及用品
    • 查看所有产品分类
  • 应用和技术
    • 色谱
    • 细胞转染和培养
    • 实时荧光定量PCR
    • 质谱
    • 实验室塑料耗材及用品
    • 电子显微镜
    • 蛋白质生物学
    • PCR
    • RNAi
    • 环境
    • 查看所有应用和技术
  • 服务
    • 定制服务
    • 企业级实验室信息化服务
    • 金融&租赁服务
    • 仪器服务
    • OEM和商业供应
    • 培训服务
    • 360° CDMO 和 CRO 服务
    • CDMO 服务
    • 临床试验 CRO 服务
    • Unity Lab Services
    • 查看所有帮助和支持
  • 帮助和支持
    • 学习中心
    • 联系我们
    • 更改国家或地区
    • 查看所有帮助和支持
  • 热门产品
    • TaqMan Real-Time PCR Assays
      TaqMan 实时荧光定量 PCR 试剂盒
    • Antibodies
      抗体
    • Oligos, Primers & Probes
      寡核苷酸、引物、探针
    • GeneArt Gene Synthesis
      GeneArt 基因合成
    • Cell Culture Plastics
      细胞培养耗材
  • Who We Serve
    • 抗体治疗解决方案
    • 细胞与基因治疗解决方案
    • 学术科研
    • 工业与应用
  • 联系我们
  • 货号直购
  • 订单查询
  • 查找文件&证书
Thermo Fisher Scientific Logo

Search

搜索全部或下列指定分类
Search button
          • 联系我们
          • 货号直购
          • 登录
            登录
            没有账号?建立账号 注册
            • 我的账号
            • 订单
            • 会员中心
            • 账单及发票查询
            • 定制产品及项目
          • Primary Antibodies ›
          • Integrin beta 1 (CD29) Antibodies

          Huabio

          Integrin beta 1 Monoclonal Antibody (B10-A5)

          查看其他97个Integrin beta 1 (CD29)抗体

          {{$productOrderCtrl.translations['antibody.pdp.commerceCard.promotion.promotions']}}

          {{$productOrderCtrl.translations['antibody.pdp.commerceCard.promotion.viewpromo']}}

          {{$productOrderCtrl.translations['antibody.pdp.commerceCard.promotion.promocode']}}: {{promo.promoCode}} {{promo.promoTitle}} {{promo.promoDescription}}. {{$productOrderCtrl.translations['antibody.pdp.commerceCard.promotion.learnmore']}}

          说明书
          证书
          实验方案
          问题与答案
          技术支持
          说明书
          证书
          实验方案
          问题与答案
          技术支持
          说明书
          证书
          实验方案
          问题与答案
          技术支持

          Cite Integrin beta 1 Monoclonal Antibody (B10-A5)

          Additional Information:
          {{banner.description}}
          {{$ctrl.isSkuNotesCollapsed ? 'View more' : 'View less'}}
          • 抗体检测数据 (4)
          Integrin beta 1 Antibody in Immunohistochemistry (Paraffin) (IHC (P))
          Group 53 Created with Sketch.
          Integrin beta 1 Antibody in Immunohistochemistry (Paraffin) (IHC (P))
          Group 53 Created with Sketch.

          图: 1 / 4

          {{ $ctrl.currentElement.advancedVerification.fullName }}
          {{ $ctrl.currentElement.advancedVerification.text }}

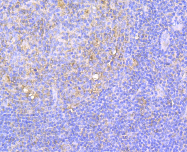
          Integrin beta 1 Antibody (EM1901-77) in IHC (P)

          Immunohistochemical analysis of paraffin-embedded human tonsil tissue using anti-Integrin beta 1 antibody. The section was pre-treated using heat mediated antigen retrieval with Tris-EDTA buffer (pH 8.0-8.4) for 20 minutes. The tissues were blocked in 5% BSA for 30 minutes at room temperature, washed with ddH2O and PBS, and then probed with the antibody (EM1901-77) at 1:200 dilution, for 30 minutes at room ... View More {{ $ctrl.currentElement.advancedVerification.fullName }} 验证信息 View more
          已发表图片由___提供 benchsci-logo
          PMID: {{$ctrl.currentElement.benchSciPubmedId}}
          查看产品

          {{$ctrl.videoDesc}}

          {{$ctrl.videoLongDesc}}

          Integrin beta 1 Antibody in Immunohistochemistry (Paraffin) (IHC (P))
          Integrin beta 1 Antibody in Immunohistochemistry (Paraffin) (IHC (P))
          Integrin beta 1 Antibody in Western Blot (WB)
          Integrin beta 1 Antibody in Flow Cytometry (Flow)
          Integrin beta 1 Monoclonal Antibody (B10-A5)

          产品信息

          EM1901-77

          应用
          建议稀释比
          已发表文章

          免疫印迹 (WB)

          1:1,000-1:5,000
          -

          免疫组化(石蜡) (IHC (P))

          1:50-1:200
          -

          流式细胞分析 (Flow)

          1:50-1:100
          -
          产品规格

          种属反应

          Human, Mouse

          宿主/亚型

          Mouse / IgM

          分类

          Monoclonal

          类型

          Antibody

          克隆号

          B10-A5

          抗原

          Synthetic peptide of the C-terminal Human Integrin beta 1.
          3D表位/免疫原

          偶联物

          Unconjugated Unconjugated Unconjugated

          形式

          Liquid

          浓度

          2 mg/mL

          规格

          200 µg

          纯化类型

          Protein A

          保存液

          PBS, pH 7.4, with 0.2% BSA, 50% glycerol

          内含物

          0.05% sodium azide

          保存条件

          Store at 4°C short term. For long term storage, store at -20°C, avoiding freeze/thaw cycles.

          运输条件

          Ambient (domestic); Wet ice (international)

          靶标信息

          CD29, also known as ITGB1 or Integrin Subunit Beta 1, is a 110 kDa cell surface glycoprotein widely expressed by various cells, including all leukocytes. It forms non-covalently linked heterodimers with at least six different alpha integrins (CD49a-f), creating VLA-1 through VLA-6 complexes, as well as with CD51. These alpha-beta integrin heterodimers mediate a range of cellular responses, including adhesion, trafficking, proliferation, and differentiation. CD29-containing integrins bind to extracellular matrix proteins such as collagen, laminin, fibronectin, and vitronectin. Some integrins also interact with cellular receptors like VCAM-1 and MadCAM-1. CD29 plays a crucial role in immune cell trafficking from blood to tissue, particularly during leukocyte emigration and extravascular migration. It is involved in regulating tissue damage and disease symptoms related to inflammatory bowel disease. In the presence of anti-tumor drugs, decreased expression of ITGB1 correlates with multidrug resistance in tumor cells. ITGB1-dependent mechanisms enhance cytokine secretion in human airway smooth muscle in response to IL-1beta, facilitated by fibronectin and type I collagen. More than eight beta subunits with numerous splice variant isoforms have been identified in mammals, including two major forms: beta1A and beta1D. Beta1A is present in all tissues except cardiac and skeletal muscle, which express the beta1D variant.

          仅用于科研。不用于诊断过程。未经明确授权不得转售。

          篇参考文献 (0)

          您是否在文献中引用过该产品?请点击下方按钮邮件告知我们。
          引用该产品

          生物信息学

          蛋白别名: CD29; Fibronectin receptor subunit beta; Glycoprotein IIa; GPIIA; integrin beta 1; Integrin beta-1; integrin beta-1 subunit (cytoplasmic domain); Integrin beta1; integrin VLA-4 beta subunit; integrin, beta 1 (fibronectin receptor, beta polypeptide, antigen CD29 includes MDF2, MSK12); ITBG1D; unnamed protein product; very late activation protein, beta polypeptide; VLA-4 subunit beta

          查看更多 收起

          基因别名: 4633401G24Rik; AA409975; AA960159; CD29; ENSMUSG00000051907; FNRB; Gm9863; GPIIA; ITGB1; MDF2; MSK12; VLA-BETA; VLAB

          查看更多 收起

          UniProt ID: (Human) P05556, (Mouse) P09055

          查看更多 收起

          Entrez Gene ID: (Human) 3688, (Mouse) 16412

          查看更多 收起

          功能
          magnesium ion binding virus receptor activity fibronectin binding protease binding actin binding integrin binding calcium ion binding protein binding coreceptor activity protein kinase binding C-X3-C chemokine binding signaling receptor activity laminin binding macromolecular complex binding cadherin binding metal ion binding protein heterodimerization activity cell adhesion molecule binding collagen binding involved in cell-matrix adhesion integrin binding involved in cell-matrix adhesion protein tyrosine kinase binding glycoprotein binding receptor activity receptor binding collagen binding kinase binding protein domain specific binding protein complex binding peptide binding alpha-actinin binding integrin
          参与通路
          G1/S transition of mitotic cell cycle establishment of mitotic spindle orientation angiogenesis in utero embryonic development cell migration involved in sprouting angiogenesis positive regulation of neuroblast proliferation phagocytosis cellular defense response cell adhesion homophilic cell adhesion via plasma membrane adhesion molecules leukocyte cell-cell adhesion cell-matrix adhesion calcium-independent cell-matrix adhesion transforming growth factor beta receptor signaling pathway integrin-mediated signaling pathway neuroblast proliferation muscle organ development myoblast fusion cell proliferation germ cell migration visual learning regulation of collagen catabolic process positive regulation of fibroblast migration response to muscle activity cell migration formation of radial glial scaffolds central nervous system neuron differentiation CD40 signaling pathway cell projection organization lamellipodium assembly B cell differentiation extracellular matrix organization positive regulation of cell migration neuron projection development cell-substrate adhesion receptor internalization cell adhesion mediated by integrin cell-cell adhesion mediated by integrin heterotypic cell-cell adhesion negative regulation of Rho protein signal transduction wound healing, spreading of epidermal cells maintenance of blood-brain barrier positive regulation of apoptotic process stress fiber assembly positive regulation of GTPase activity sarcomere organization myoblast differentiation negative regulation of neuron differentiation positive regulation of fibroblast growth factor receptor signaling pathway positive regulation of angiogenesis negative regulation of vasoconstriction viral entry into host cell mesodermal cell differentiation myoblast fate specification axon extension dendrite morphogenesis regulation of developmental process modulation of synaptic transmission leukocyte tethering or rolling regulation of cell cycle positive regulation of protein kinase B signaling positive regulation of glutamate uptake involved in transmission of nerve impulse cardiac muscle cell differentiation cardiac muscle cell myoblast differentiation cardiac cell fate specification regulation of biological quality cellular response to low-density lipoprotein particle stimulus basement membrane organization positive regulation of wound healing cell-cell adhesion regulation of spontaneous synaptic transmission reactive gliosis positive regulation of vascular endothelial growth factor signaling pathway positive regulation of protein localization to plasma membrane regulation of synapse pruning negative regulation of anoikis cell fate specification tissue homeostasis cellular calcium ion homeostasis regulation of G-protein coupled receptor protein signaling pathway positive regulation of cell proliferation negative regulation of cell proliferation positive regulation of cell-substrate adhesion positive regulation of neuron projection development negative regulation of cell projection organization protein transport within lipid bilayer positive regulation of MAPK cascade negative regulation of cell differentiation positive regulation of neuron differentiation positive regulation of endocytosis cardiac muscle tissue development positive regulation of peptidyl-tyrosine phosphorylation bicellular tight junction assembly positive regulation of establishment of protein localization to plasma membrane
          It has to be done as per old AB suggested Products section.

          Disclaimer

          Close

          Clicking the images or links will redirect you to a website hosted by BenchSci that provides third-party scientific content. Neither the content nor the BenchSci technology and processes for selection have been evaluated by us; we are providing them as-is and without warranty of any kind, including for use or application of the Thermo Fisher Scientific products presented.

          guarantee_icon

          性能保障

          只要您发现Invitrogen抗体在实验中的表现与网站或说明书的所述内容不符,您即可享受免费退换货服务。*

          了解更多
          help_icon

          随时为您服务

          获取常见问题的专家解答,或者直接联系我们的技术专家,咨询应用、设备、常规产品使用问题。

          联系技术支持
          订购 Plus Icon Minus Icon
          • 订单状态查询
          • 订单支持
          • 货号直购
          • 现货供应中心
          • 电子采购
          支持 Plus Icon Minus Icon
          • 帮助&支持
          • 联系我们 - 400 820 8982
          • 技术支持中心
          • 查找文件&证书
          • 报告网站问题
          资源 Plus Icon Minus Icon
          • 学习中心
          • 促销
          • 活动&研讨会
          • 社交媒体
          关于赛默飞 Plus Icon Minus Icon
          • 关于我们
          • 招聘 招聘
          • 投资者关系 投资者关系
          • 新闻 新闻
          • 社会责任 社会责任
          • 商标
          • 政策和通知
          品牌 Plus Icon Minus Icon
          • Thermo Scientific
          • Applied Biosystems
          • Invitrogen
          • Gibco
          • Ion Torrent
          • Unity Lab Services
          • Patheon
          • PPD
          • 服务条款
          • 隐私政策
          • 定价和运输保险政策
          © 2006-2026 Thermo Fisher Scientific Inc. All rights reserved. All trademarks are the property of Thermo Fisher Scientific and its subsidiaries unless otherwise specified.
          China flag icon
          China
          本网站销售的所有产品均不得用于人类或动物之临床诊断或治疗,仅可用于工业或者科研等非医疗目的。
             电子营业执照 | 经营证照公示 | ICP备案号:沪ICP备11003924号 | 沪公网安备 31011502006935号

          Your items have has been added!


          Host server : magellan-search-green-6479c7f679-zb4k5:80/100.66.74.142:80.
          git-commit: b70c0dceb888abc3b0dcebb5bc3a5b8753e7e816
          git-url: https://github.com/thermofisher/magellan-search
          git-branch: release/2.50.0-Offline