Hamburger Menu Button
Thermo Fisher Scientific Logo
登录
没有账号?建立账号 注册
  • 产品
    • 抗体
    • 引物合成
    • GeneArt Gene Synthesis Instant Designer
    • TaqMan Assay and Array Search
    • PCR 设备和耗材
    • 色谱柱和纯化柱
    • 实验室离心机
    • 分子生物学试剂和试剂盒
    • 实验室塑料耗材及用品
    • 查看所有产品分类
  • 应用和技术
    • 色谱
    • 细胞转染和培养
    • 实时荧光定量PCR
    • 质谱
    • 实验室塑料耗材及用品
    • 电子显微镜
    • 蛋白质生物学
    • PCR
    • RNAi
    • 环境
    • 查看所有应用和技术
  • 服务
    • 定制服务
    • 企业级实验室信息化服务
    • 企业服务
    • 金融&租赁服务
    • 仪器服务
    • OEM和商业供应
    • 培训服务
    • 360° CDMO 和 CRO 服务
    • CDMO 服务
    • 临床试验 CRO 服务
    • 查看所有帮助和支持
  • 帮助和支持
    • 学习中心
    • 联系我们
    • 更改国家或地区
    • 查看所有帮助和支持
  • 热门产品
    • TaqMan Real-Time PCR Assays
      TaqMan 实时荧光定量 PCR 试剂盒
    • Antibodies
      抗体
    • Oligos, Primers & Probes
      寡核苷酸、引物、探针
    • GeneArt Gene Synthesis
      GeneArt 基因合成
    • Cell Culture Plastics
      细胞培养耗材
  • 联系我们
  • 货号直购
  • 订单查询
  • 查找文件&证书
Thermo Fisher Scientific Logo

Search

搜索全部或下列指定分类
Search button
          • 联系我们
          • 货号直购
          • 登录
            登录
            没有账号?建立账号 注册
            • 我的账号
            • 订单
            • 账单及发票查询
            • 定制产品及项目

          Disclaimer

          Clicking the images or links will redirect you to a website hosted by BenchSci that provides third-party scientific content. Neither the content nor the BenchSci technology and processes for selection have been evaluated by us; we are providing them as-is and without warranty of any kind, including for use or application of the Thermo Fisher Scientific products presented.

          • Primary Antibodies ›
          • IFN alpha Antibodies

          NeoBiotechnologies

          Interferon alpha Monoclonal Antibody (IFNA/6689)

          查看其他34个IFN alpha抗体

          {{$productOrderCtrl.translations['antibody.pdp.commerceCard.promotion.promotions']}}

          {{$productOrderCtrl.translations['antibody.pdp.commerceCard.promotion.viewpromo']}}

          {{$productOrderCtrl.translations['antibody.pdp.commerceCard.promotion.promocode']}}: {{promo.promoCode}} {{promo.promoTitle}} {{promo.promoDescription}}. {{$productOrderCtrl.translations['antibody.pdp.commerceCard.promotion.learnmore']}}

          说明书
          证书
          实验方案
          问题与答案
          技术支持
          说明书
          证书
          实验方案
          问题与答案
          技术支持
          说明书
          证书
          实验方案
          问题与答案
          技术支持

          Cite Interferon alpha Monoclonal Antibody (IFNA/6689)

          Additional Information:
          {{banner.description}}
          {{$ctrl.isSkuNotesCollapsed ? 'View more' : 'View less'}}
          • 抗体检测数据 (2)
          Interferon alpha Antibody in Immunohistochemistry (Paraffin) (IHC (P))
          Group 53 Created with Sketch.
          Interferon alpha Antibody in Immunohistochemistry (Paraffin) (IHC (P))
          Group 53 Created with Sketch.

          图: 1 / 2

          {{ $ctrl.currentElement.advancedVerification.fullName }}
          {{ $ctrl.currentElement.advancedVerification.text }}

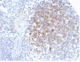
          Interferon alpha Antibody (3439-MSM7-P1) in IHC (P)

          Formalin-fixed, paraffin-embedded human spleen stained with Interferon alpha 1 Mouse Monoclonal Antibody (IFNA/6689) at 2 µg/mL. Inset: PBS instead of primary antibody; secondary only negative control. {{ $ctrl.currentElement.advancedVerification.fullName }} 验证信息 View more
          已发表图片由___提供 benchsci-logo
          PMID: {{$ctrl.currentElement.benchSciPubmedId}}
          查看产品

          {{$ctrl.videoDesc}}

          {{$ctrl.videoLongDesc}}

          Interferon alpha Antibody in Immunohistochemistry (Paraffin) (IHC (P))
          Interferon alpha Antibody in Immunohistochemistry (Paraffin) (IHC (P))

          产品信息

          3439-MSM7-P1

          应用
          建议稀释比
          已发表文章

          免疫印迹 (WB)

          1-2 µg/mL
          -

          免疫组化(石蜡) (IHC (P))

          1-2 µg/mL
          -
          产品规格

          种属反应

          Human

          宿主/亚型

          Mouse / IgG1, kappa

          分类

          Monoclonal

          类型

          Antibody

          克隆号

          IFNA/6689

          抗原

          Recombinant human IFNA1 protein

          偶联物

          Unconjugated Unconjugated Unconjugated

          形式

          Liquid

          浓度

          200 µg/mL

          纯化类型

          Protein A/G

          保存液

          PBS with 0.05% BSA

          内含物

          0.05% sodium azide

          保存条件

          4°C

          运输条件

          Ambient (domestic); Wet ice (international)

          产品详细信息

          Antibody is stable for 24 months.

          Positive Control: Stimulated human peripheral blood mononuclear cells Cellular Localization: Cytoplasm. Secreted.

          Specificity Comments: This MAb is specific for human interferon alpha 1 and does not cross react with human interferon alpha 2. Interferons are widely used therapeutic agents because of their anti-tumor and anti-viral effects and because of their modulatory effects on the immune system. These cytokines produce their effects by binding to the Type 1 Interferon- Receptor (IFNAR1). Down regulation of this receptor plays a key role in determining the magnitude and duration of cytokine signaling. This down regulation is influenced by phosphorylation of Serine 535 and 539 in the IFNAR1.Produced by macrophages, IFN-alphas have antiviral activities. Interferon stimulates the production of two enzymes: a protein kinase and an oligoadenylate synthetase

          靶标信息

          IFN alpha (Interferon alpha) is a Type I interferon belonging to a family of structurally related, species-specific proteins exclusive to vertebrates. The interaction of IFN-alpha with its receptor component result in the activation of a number of signaling pathways which are mainly involved in innate immune response against viral infection. In humans, the gene for IFN alpha is located on on chromosome 9. The type I interferons consist of 14 different alpha isoforms (subtypes with slightly different specificities), and single beta, omega, epsilon and kappa isoforms. Homologous molecules are found in many species, including rats and mice (and most mammals), and have been identified in birds, reptiles and fish species. IFN alpha is produced primarily by plasmacytoid dendritic cells, is a potent component of the anti-viral innate immune response and modulates adaptive immunity. Diseases associated with the dysfunction of IFN alpha include Hepatitis C and Hepatitis.

          仅用于科研。不用于诊断过程。未经明确授权不得转售。

          篇参考文献 (0)

          您是否在文献中引用过该产品?请点击下方按钮邮件告知我们。
          引用该产品

          生物信息学

          蛋白别名: alpha-2a interferon; ifa; IFN alpha 1/13; IFN alpha 1b; IFN α; IFN-alpha 1b; IFN-alpha-1/13; IFN-alpha-2; IFNAalphaIFN-alpha-1/13; IFNalpha; IFNα; Interferon alpha 13 (IFNA13); interferon alpha 1b; interferon alpha 2a; interferon alpha 2b; interferon alpha A; Interferon alpha leukocyte (IFL); Interferon alpha-1/13; Interferon alpha-1/13 (IFN-alpha-1/13); Interferon alpha-2; Interferon alpha-A; Interferon alpha-D; Interferon alpha-D (IFN alphaD); Interferon alpha1 (IFNA1); interferon, alpha 1; interferon, alpha 2; interferon-alpha1; LeIF A; LeIF D; MGC138207; MGC138505; MGC138507

          查看更多 收起

          基因别名: IFL; IFN; IFN-ALPHA; IFN-alphaA; IFN-alphaD; IFNA; IFNA1; IFNA13; IFNA2; IFNA2A; IFNA2B; IFNA2C; IFNA@; INFA2

          查看更多 收起

          UniProt ID: (Human) P01562, (Human) P01563

          查看更多 收起

          Entrez Gene ID: (Human) 3439, (Human) 3440

          查看更多 收起

          功能
          cytokine activity type I interferon receptor binding protein binding interferon superfamily
          参与通路
          adaptive immune response T cell activation involved in immune response natural killer cell activation involved in immune response humoral immune response blood coagulation cytokine-mediated signaling pathway B cell differentiation positive regulation of peptidyl-serine phosphorylation of STAT protein B cell proliferation response to exogenous dsRNA innate immune response defense response to virus type I interferon signaling pathway regulation of type I interferon-mediated signaling pathway apoptotic process inflammatory response cell surface receptor signaling pathway cell-cell signaling negative regulation of gene expression positive regulation of phosphorylation positive regulation of tyrosine phosphorylation of Stat3 protein negative regulation of T cell differentiation negative regulation of transcription, DNA-templated positive regulation of transcription, DNA-templated negative regulation of viral entry into host cell negative regulation of T-helper 2 cell cytokine production negative regulation of interleukin-5 secretion negative regulation of interleukin-13 secretion
          It has to be done as per old AB suggested Products section.
          guarantee_icon

          性能保障

          只要您发现Invitrogen抗体在实验中的表现与网站或说明书的所述内容不符,您即可享受免费退换货服务。*

          了解更多
          help_icon

          随时为您服务

          获取常见问题的专家解答,或者直接联系我们的技术专家,咨询应用、设备、常规产品使用问题。

          联系技术支持
          订购 Plus Icon Minus Icon
          • 订单状态查询
          • 订单支持
          • 货号直购
          • 现货供应中心
          • 电子采购
          支持 Plus Icon Minus Icon
          • 帮助&支持
          • 联系我们 - 400 820 8982
          • 技术支持中心
          • 查找文件&证书
          • 报告网站问题
          资源 Plus Icon Minus Icon
          • 学习中心
          • 促销
          • 活动&研讨会
          • 社交媒体
          关于赛默飞 Plus Icon Minus Icon
          • 关于我们
          • 招聘 招聘
          • 投资者关系 投资者关系
          • 新闻 新闻
          • 社会责任 社会责任
          • 商标
          • 政策和通知
          品牌 Plus Icon Minus Icon
          • Thermo Scientific
          • Applied Biosystems
          • Invitrogen
          • Gibco
          • Ion Torrent
          • Patheon
          • PPD
          • 服务条款
          • 隐私政策
          • 定价和运输保险政策
          © 2006-2026 Thermo Fisher Scientific Inc. All rights reserved. All trademarks are the property of Thermo Fisher Scientific and its subsidiaries unless otherwise specified.
          China flag icon
          China
          本网站销售的所有产品均不得用于人类或动物之临床诊断或治疗,仅可用于工业或者科研等非医疗目的。
             电子营业执照 | 经营证照公示 | ICP备案号:沪ICP备11003924号 | 沪公网安备 31011502006935号

          Your items have has been added!


          Host server : magellan-search-blue-55ff9ddd88-ctdjb:80/100.66.76.55:80.
          git-commit: d366ff9721d93504b2ac26a183b2b3e3d0e7d9ec
          git-url: https://github.com/thermofisher/magellan-search
          git-branch: release/2.42.0-2026.01.03-1.0