Hamburger Menu Button
Thermo Fisher Scientific Logo
登录
没有账号?建立账号 注册
  • 产品
    • 抗体
    • 引物合成
    • GeneArt Gene Synthesis Instant Designer
    • TaqMan Assay and Array Search
    • PCR 设备和耗材
    • 色谱柱和纯化柱
    • 实验室离心机
    • 分子生物学试剂和试剂盒
    • 实验室塑料耗材及用品
    • 查看所有产品分类
  • 应用和技术
    • 色谱
    • 细胞转染和培养
    • 实时荧光定量PCR
    • 质谱
    • 实验室塑料耗材及用品
    • 电子显微镜
    • 蛋白质生物学
    • PCR
    • RNAi
    • 环境
    • 查看所有应用和技术
  • 服务
    • 定制服务
    • 企业级实验室信息化服务
    • 企业服务
    • 金融&租赁服务
    • 仪器服务
    • OEM和商业供应
    • 培训服务
    • 360° CDMO 和 CRO 服务
    • CDMO 服务
    • 临床试验 CRO 服务
    • 查看所有帮助和支持
  • 帮助和支持
    • 学习中心
    • 联系我们
    • 更改国家或地区
    • 查看所有帮助和支持
  • 热门产品
    • TaqMan Real-Time PCR Assays
      TaqMan 实时荧光定量 PCR 试剂盒
    • Antibodies
      抗体
    • Oligos, Primers & Probes
      寡核苷酸、引物、探针
    • GeneArt Gene Synthesis
      GeneArt 基因合成
    • Cell Culture Plastics
      细胞培养耗材
  • 联系我们
  • 货号直购
  • 订单查询
  • 查找文件&证书
Thermo Fisher Scientific Logo

Search

搜索全部或下列指定分类
Search button
          • 联系我们
          • 货号直购
          • 登录
            登录
            没有账号?建立账号 注册
            • 我的账号
            • 订单
            • 账单及发票查询
            • 定制产品及项目

          Disclaimer

          Clicking the images or links will redirect you to a website hosted by BenchSci that provides third-party scientific content. Neither the content nor the BenchSci technology and processes for selection have been evaluated by us; we are providing them as-is and without warranty of any kind, including for use or application of the Thermo Fisher Scientific products presented.

          • Primary Antibodies ›
          • JAK3 Antibodies

          Proteintech

          JAK3 Recombinant Rabbit Monoclonal Antibody (3N1)

          查看其他26个JAK3抗体

          {{$productOrderCtrl.translations['antibody.pdp.commerceCard.promotion.promotions']}}

          {{$productOrderCtrl.translations['antibody.pdp.commerceCard.promotion.viewpromo']}}

          {{$productOrderCtrl.translations['antibody.pdp.commerceCard.promotion.promocode']}}: {{promo.promoCode}} {{promo.promoTitle}} {{promo.promoDescription}}. {{$productOrderCtrl.translations['antibody.pdp.commerceCard.promotion.learnmore']}}

          说明书
          证书
          实验方案
          问题与答案
          技术支持
          说明书
          证书
          实验方案
          问题与答案
          技术支持
          说明书
          证书
          实验方案
          问题与答案
          技术支持

          Cite JAK3 Recombinant Rabbit Monoclonal Antibody (3N1)

          Additional Information:
          {{banner.description}}
          {{$ctrl.isSkuNotesCollapsed ? 'View more' : 'View less'}}
          • 抗体检测数据 (3)
          JAK3 Antibody in Immunohistochemistry (Paraffin) (IHC (P))
          Group 53 Created with Sketch.
          JAK3 Antibody in Immunohistochemistry (Paraffin) (IHC (P))
          Group 53 Created with Sketch.

          图: 1 / 3

          {{ $ctrl.currentElement.advancedVerification.fullName }}
          {{ $ctrl.currentElement.advancedVerification.text }}

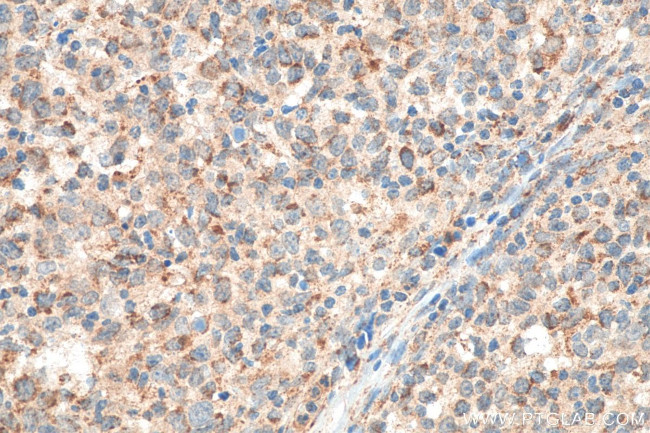
          JAK3 Antibody (80331-1-RR100UL) in IHC (P)

          Immunohistochemical analysis of paraffin-embedded human lymphoma tissue slide using (Product # 80331-1-RR100UL) (JAK3 antibody) at dilution of 1:200 (under 40x lens). Heat mediated antigen retrieval with Tris-EDTA buffer (pH 9.0). {{ $ctrl.currentElement.advancedVerification.fullName }} 验证信息 View more
          已发表图片由___提供 benchsci-logo
          PMID: {{$ctrl.currentElement.benchSciPubmedId}}
          查看产品

          {{$ctrl.videoDesc}}

          {{$ctrl.videoLongDesc}}

          JAK3 Antibody in Immunohistochemistry (Paraffin) (IHC (P))
          JAK3 Antibody in Immunohistochemistry (Paraffin) (IHC (P))
          JAK3 Antibody in Western Blot (WB)
          JAK3 Recombinant Rabbit Monoclonal Antibody (3N1)

          产品信息

          80331-1-RR100UL

          应用
          建议稀释比
          已发表文章

          免疫印迹 (WB)

          1:2,000-1:10,000
          -

          免疫组化(石蜡) (IHC (P))

          1:50-1:500
          -
          产品规格

          种属反应

          Human

          宿主/亚型

          Rabbit / IgG

          Expression System

          proprietary

          分类

          Recombinant Monoclonal

          类型

          Antibody

          克隆号

          3N1

          偶联物

          Unconjugated Unconjugated Unconjugated

          形式

          Liquid

          浓度

          1 mg/mL

          纯化类型

          Protein A

          保存液

          PBS, pH 7.3, with 50% glycerol

          内含物

          0.02% sodium azide

          保存条件

          -20°C

          运输条件

          Wet ice

          靶标信息

          Janus kinase 3 (JAK3) phosphorylates members of the STAT (signal transduction and activators of transcription) family. JAK3 is predominantly expressed in immune cells and transduces a signal in response to activation of interleukin receptors. In response to a varitety of cytokine or related factors (e.g., interferon, interleukins), JAKs are activated via phosphorylation at 2 adjacent tyrosine residues. The activation of JAKs can lead to the phosphorylation of STAT (signal transducers and activatiors of transcription) proteins, which dimerize and translocate to the nucleus. Once translocated to the nucleus, the STAT proteins can modify transcription of numerous genes, including interferon-stimulated genes. JAK2 is required for the IFN gamma-receptor complex initiation and JAK1 functions as an amplifier. However, active JAK1 may be required for complex responses. Some studies have suggested that the role of JAK2 might be performed by Tyk2 and JAK3, if they were positioned correctly within the IFN gamma-receptor complex.

          仅用于科研。不用于诊断过程。未经明确授权不得转售。

          篇参考文献 (0)

          您是否在文献中引用过该产品?请点击下方按钮邮件告知我们。
          引用该产品

          生物信息学

          蛋白别名: Breast-JAK3; JAK-3; JAK3B; Janus kinase 3; Janus kinase 3 (a protein tyrosine kinase, leukocyte); L JAK; L-JAK; Leukocyte janus kinase; Tyrosine-protein kinase JAK3

          查看更多 收起

          基因别名: JAK-3; JAK3; JAK3_HUMAN; JAKL; L-JAK; LJAK

          查看更多 收起

          UniProt ID: (Human) P52333

          查看更多 收起

          Entrez Gene ID: (Human) 3718

          查看更多 收起

          功能
          protein tyrosine kinase activity non-membrane spanning protein tyrosine kinase activity Ras guanyl-nucleotide exchange factor activity receptor binding protein binding ATP binding protein phosphatase binding
          参与通路
          MAPK cascade adaptive immune response negative regulation of dendritic cell cytokine production protein phosphorylation enzyme linked receptor protein signaling pathway positive regulation of cytosolic calcium ion concentration tyrosine phosphorylation of STAT protein STAT protein import into nucleus cell migration peptidyl-tyrosine phosphorylation B cell differentiation negative regulation of interleukin-10 production negative regulation of interleukin-12 production intracellular signal transduction interleukin-4-mediated signaling pathway peptidyl-tyrosine autophosphorylation positive regulation of T cell proliferation positive regulation of activated T cell proliferation tyrosine phosphorylation of Stat5 protein T cell homeostasis positive regulation of GTPase activity innate immune response negative regulation of FasL biosynthetic process negative regulation of T-helper 1 cell differentiation positive regulation of immune response negative regulation of T cell activation positive regulation of calcium ion transport JAK-STAT cascade involved in growth hormone signaling pathway regulation of T cell apoptotic process negative regulation of thymocyte apoptotic process response to interleukin-2 response to interleukin-4 response to interleukin-15 response to interleukin-9
          It has to be done as per old AB suggested Products section.
          guarantee_icon

          性能保障

          只要您发现Invitrogen抗体在实验中的表现与网站或说明书的所述内容不符,您即可享受免费退换货服务。*

          了解更多
          help_icon

          随时为您服务

          获取常见问题的专家解答,或者直接联系我们的技术专家,咨询应用、设备、常规产品使用问题。

          联系技术支持
          订购 Plus Icon Minus Icon
          • 订单状态查询
          • 订单支持
          • 货号直购
          • 现货供应中心
          • 电子采购
          支持 Plus Icon Minus Icon
          • 帮助&支持
          • 联系我们 - 400 820 8982
          • 技术支持中心
          • 查找文件&证书
          • 报告网站问题
          资源 Plus Icon Minus Icon
          • 学习中心
          • 促销
          • 活动&研讨会
          • 社交媒体
          关于赛默飞 Plus Icon Minus Icon
          • 关于我们
          • 招聘 招聘
          • 投资者关系 投资者关系
          • 新闻 新闻
          • 社会责任 社会责任
          • 商标
          • 政策和通知
          品牌 Plus Icon Minus Icon
          • Thermo Scientific
          • Applied Biosystems
          • Invitrogen
          • Gibco
          • Ion Torrent
          • Patheon
          • PPD
          • 服务条款
          • 隐私政策
          • 定价和运输保险政策
          © 2006-2026 Thermo Fisher Scientific Inc. All rights reserved. All trademarks are the property of Thermo Fisher Scientific and its subsidiaries unless otherwise specified.
          China flag icon
          China
          本网站销售的所有产品均不得用于人类或动物之临床诊断或治疗,仅可用于工业或者科研等非医疗目的。
             电子营业执照 | 经营证照公示 | ICP备案号:沪ICP备11003924号 | 沪公网安备 31011502006935号

          Your items have has been added!


          Host server : magellan-search-blue-55ff9ddd88-ctdjb:80/100.66.76.55:80.
          git-commit: d366ff9721d93504b2ac26a183b2b3e3d0e7d9ec
          git-url: https://github.com/thermofisher/magellan-search
          git-branch: release/2.42.0-2026.01.03-1.0