Hamburger Menu Button
Thermo Fisher Scientific Logo
登录
没有账号?建立账号 注册
  • 产品
    • 抗体
    • 引物合成
    • GeneArt Gene Synthesis Instant Designer
    • TaqMan Assay and Array Search
    • PCR 设备和耗材
    • 色谱柱和纯化柱
    • 实验室离心机
    • 分子生物学试剂和试剂盒
    • 实验室塑料耗材及用品
    • 查看所有产品分类
  • 应用和技术
    • 色谱
    • 细胞转染和培养
    • 实时荧光定量PCR
    • 质谱
    • 实验室塑料耗材及用品
    • 电子显微镜
    • 蛋白质生物学
    • PCR
    • RNAi
    • 环境
    • 查看所有应用和技术
  • 服务
    • 定制服务
    • 企业级实验室信息化服务
    • 金融&租赁服务
    • 仪器服务
    • OEM和商业供应
    • 培训服务
    • 360° CDMO 和 CRO 服务
    • CDMO 服务
    • 临床试验 CRO 服务
    • Unity Lab Services
    • 查看所有帮助和支持
  • 帮助和支持
    • 学习中心
    • 联系我们
    • 更改国家或地区
    • 查看所有帮助和支持
  • 热门产品
    • TaqMan Real-Time PCR Assays
      TaqMan 实时荧光定量 PCR 试剂盒
    • Antibodies
      抗体
    • Oligos, Primers & Probes
      寡核苷酸、引物、探针
    • GeneArt Gene Synthesis
      GeneArt 基因合成
    • Cell Culture Plastics
      细胞培养耗材
  • Who We Serve
    • 抗体治疗解决方案
    • 细胞与基因治疗解决方案
    • 学术科研
    • 工业与应用
  • 联系我们
  • 货号直购
  • 订单查询
  • 查找文件&证书
Thermo Fisher Scientific Logo

Search

搜索全部或下列指定分类
Search button
          • 联系我们
          • 货号直购
          • 登录
            登录
            没有账号?建立账号 注册
            • 我的账号
            • 订单
            • 会员中心
            • 账单及发票查询
            • 定制产品及项目
          • Primary Antibodies ›
          • JNK1/JNK2/JNK3 Antibodies

          Invitrogen

          JNK1/JNK2/JNK3 Polyclonal Antibody

          查看其他22个JNK1/JNK2/JNK3抗体

          {{$productOrderCtrl.translations['antibody.pdp.commerceCard.promotion.promotions']}}

          {{$productOrderCtrl.translations['antibody.pdp.commerceCard.promotion.viewpromo']}}

          {{$productOrderCtrl.translations['antibody.pdp.commerceCard.promotion.promocode']}}: {{promo.promoCode}} {{promo.promoTitle}} {{promo.promoDescription}}. {{$productOrderCtrl.translations['antibody.pdp.commerceCard.promotion.learnmore']}}

          说明书
          证书
          实验方案
          问题与答案
          技术支持
          说明书
          证书
          实验方案
          问题与答案
          技术支持
          说明书
          证书
          实验方案
          问题与答案
          技术支持

          Cite JNK1/JNK2/JNK3 Polyclonal Antibody

          Additional Information:
          {{banner.description}}
          {{$ctrl.isSkuNotesCollapsed ? 'View more' : 'View less'}}
          • 抗体检测数据 (4)
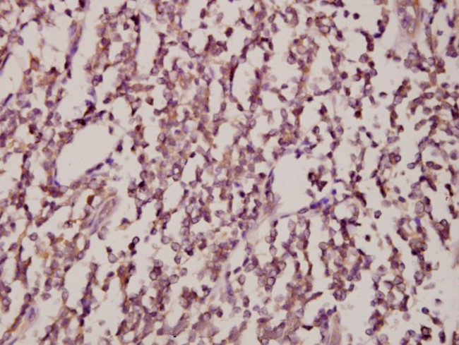
          JNK1/JNK2/JNK3 Antibody in Immunohistochemistry (Paraffin) (IHC (P))
          Group 53 Created with Sketch.
          JNK1/JNK2/JNK3 Antibody in Immunohistochemistry (Paraffin) (IHC (P))
          Group 53 Created with Sketch.

          图: 1 / 4

          {{ $ctrl.currentElement.advancedVerification.fullName }}
          {{ $ctrl.currentElement.advancedVerification.text }}

          JNK1/JNK2/JNK3 Antibody (PA5-36035) in IHC (P)

          Immunohistochemistry analysis of JNK1/JNK2/JNK3 in paraffin-embedded human tonsil carcinoma tissue. Samples were incubated with JNK1/JNK2/JNK3 polyclonal antibody (Product # PA5-36035) at a dilution of 1:50. {{ $ctrl.currentElement.advancedVerification.fullName }} 验证信息 View more
          已发表图片由___提供 benchsci-logo
          PMID: {{$ctrl.currentElement.benchSciPubmedId}}
          查看产品

          {{$ctrl.videoDesc}}

          {{$ctrl.videoLongDesc}}

          JNK1/JNK2/JNK3 Antibody in Immunohistochemistry (Paraffin) (IHC (P))
          JNK1/JNK2/JNK3 Antibody in Western Blot (WB)
          JNK1/JNK2/JNK3 Antibody in Western Blot (WB)
          JNK1/JNK2/JNK3 Antibody in Western Blot (WB)
          JNK1/JNK2/JNK3 Polyclonal Antibody

          产品信息

          PA5-36035

          应用
          建议稀释比
          已发表文章

          免疫印迹 (WB)

          1:500-1:1,000
          -

          免疫组化(石蜡) (IHC (P))

          1:50-1:200
          -
          产品规格

          种属反应

          Human, Mouse, Rat

          宿主/亚型

          Rabbit / IgG

          分类

          Polyclonal

          类型

          Antibody

          抗原

          Synthetic peptide corresponding to amino acids 150-200 of human JNK1
          3D表位/免疫原

          偶联物

          Unconjugated Unconjugated Unconjugated

          形式

          Liquid

          浓度

          1 mg/mL

          规格

          100 µg

          纯化类型

          Antigen affinity chromatography

          保存液

          PBS, pH 7.2, with 50% glycerol

          内含物

          0.02% sodium azide

          保存条件

          Store at 4°C short term. For long term storage, store at -20°C, avoiding freeze/thaw cycles.

          运输条件

          Ambient (domestic); Wet ice (international)

          RRID

          AB_2553334

          产品详细信息

          This antibody detects endogenous protein at a molecular weight of 46 and 54 kDa.

          Purity is >95% by SDS-PAGE.

          靶标信息

          C-Jun N-terminal Kinase (JNK) is also known as Mitogen-activated protein kinase (MAPK8). It belongs to the MAPK superfamily of stress-activated protein kinases. MAPKs are Serine-threonine protein kinases that are activated in response to a variety of extracellular stimuli, and mediate signal transduction from the cell surface to the nucleus. JNK is involved in a wide variety of cellular processes such as proliferation, differentiation, transcription regulation and development. JNK pathways are activated by stress and inflammatory signals. JNK is expressed as ten different isoforms due to differential mRNA splicing. The predominant forms are JNK1 and JNK2.

          仅用于科研。不用于诊断过程。未经明确授权不得转售。

          篇参考文献 (0)

          您是否在文献中引用过该产品?请点击下方按钮邮件告知我们。
          引用该产品

          生物信息学

          蛋白别名: c-Jun kinase 2; c-Jun N-terminal kinase 1; c-Jun N-terminal kinase 2; c-Jun N-terminal kinase 3; FLJ12099; FLJ33785; JNK 46; JNK 55; JNK-46; JNK-55; JNK/SAPK alpha; JNK1 beta1 protein kinase; JNK3 alpha protein kinase; JNK3 beta1 protein kinase; JNK3 beta2 protein kinase; Jun kinase; JUN N-terminal kinase; MAP kinase 10; MAP kinase 8; MAP kinase 9; MAP kinase p49 3F12; MAPK 10; MAPK 8; MAPK 9; MAPK8; MAPK9; MGC50974; Mi; mitogen activated protein kinase 10; mitogen activated protein kinase 8; mitogen activated protein kinase 9; Mitogen-activated protein kinase 10; Mitogen-activated protein kinase 8; Mitogen-activated protein kinase 9; MK10; p54 gamma; p54-alpha; p54-beta; Phospho-JNK; protein kinase mitogen-activated 8; protein kinase, mitogen-activated 9; SAPK gamma; SAPK-alpha; SAPK-beta; SAPK/Erk/kinase 2; SAPK1a; SAPK1b; SAPK1c; stress activated protein kinase alpha II; Stress activated protein kinase beta; stress-activated protein kinase 1; Stress-activated protein kinase 1a; Stress-activated protein kinase 1b; Stress-activated protein kinase 1c; Stress-activated protein kinase JNK1; Stress-activated protein kinase JNK2; Stress-activated protein kinase JNK3; unnamed protein product

          查看更多 收起

          基因别名: AI849689; AI851083; C230008H04Rik; JNK; JNK-46; JNK-55; JNK1; JNK1A2; JNK2; JNK21B1/2; JNK2A; JNK2ALPHA; JNK2B; JNK2BETA; JNK3; JNK3A; JNK3B1; JNK3B2; MAPK10; MAPK8; MAPK9; p493F12; p54a; p54aSAPK; p54bSAPK; PRKM10; PRKM8; PRKM9; SAPb; SAPK; SAPK(beta); SAPK1; SAPK1A; SAPK1B; SAPK1C; SAPKC; Serk2

          查看更多 收起

          UniProt ID: (Human) P53779, (Human) P45983, (Human) P45984, (Mouse) Q61831, (Rat) P49187, (Rat) P49185, (Mouse) Q91Y86, (Rat) P49186, (Mouse) Q9WTU6

          查看更多 收起

          Entrez Gene ID: (Human) 5602, (Human) 5599, (Human) 5601, (Mouse) 26414, (Rat) 25272, (Rat) 116554, (Mouse) 26419, (Rat) 50658, (Mouse) 26420

          查看更多 收起

          功能
          nucleotide binding protein kinase activity protein serine/threonine kinase activity JUN kinase activity MAP kinase activity MAP kinase kinase activity protein binding ATP binding kinase activity transferase activity protein serine kinase activity enzyme binding protein phosphatase binding histone deacetylase regulator activity histone deacetylase binding protein serine/threonine kinase binding protein serine/threonine/tyrosine kinase activity transferase activity, transferring phosphorus-containing groups transcription factor binding cysteine-type endopeptidase activator activity involved in apoptotic process mitogen-activated protein kinase kinase kinase binding non-receptor serine/threonine protein kinase
          参与通路
          MAPK cascade protein phosphorylation signal transduction JNK cascade response to light stimulus Fc-epsilon receptor signaling pathway regulation of circadian rhythm rhythmic process cellular senescence double-strand break repair response to oxidative stress JUN phosphorylation response to UV response to mechanical stimulus positive regulation of gene expression regulation of macroautophagy peptidyl-serine phosphorylation peptidyl-threonine phosphorylation positive regulation of cyclase activity positive regulation of cell killing negative regulation of protein binding regulation of protein localization cellular response to amino acid starvation cellular response to oxidative stress cellular response to reactive oxygen species positive regulation of apoptotic process negative regulation of apoptotic process regulation of mRNA stability NLRP3 inflammasome complex assembly positive regulation of protein metabolic process stress-activated MAPK cascade mRNA destabilization protein poly-ADP-ribosylation cellular response to lipopolysaccharide cellular response to mechanical stimulus energy homeostasis positive regulation of NLRP3 inflammasome complex assembly positive regulation of establishment of protein localization to mitochondrion protein localization to site of double-strand break positive regulation of macrophage derived foam cell differentiation positive regulation of protein ubiquitination positive regulation of proteasomal ubiquitin-dependent protein catabolic process response to cadmium ion modulation of synaptic transmission protein localization to tricellular tight junction positive regulation of podosome assembly inflammatory response to wounding apoptotic signaling pathway positive regulation of cytokine production involved in inflammatory response positive regulation of apoptotic signaling pathway negative regulation of transcription from RNA polymerase II promoter phosphorylation locomotor rhythm ossification regulation of transcription, DNA-templated inflammatory response response to osmotic stress response to heat regulation of gene expression positive regulation of cell migration regulation of histone deacetylation positive regulation of microtubule polymerization neuron projection development response to hydrogen peroxide positive regulation of DNA replication determination of dorsal identity cellular response to hydrogen peroxide cellular response to nitric oxide positive regulation of deacetylase activity type B pancreatic cell apoptotic process neuronal stem cell population maintenance programmed necrotic cell death positive regulation of determination of dorsal identity release of cytochrome c from mitochondria positive regulation of protein phosphorylation protein targeting to mitochondrion activation of cysteine-type endopeptidase activity involved in apoptotic process central nervous system development response to toxic substance response to organic substance positive regulation of cell morphogenesis involved in differentiation response to amine positive regulation of prostaglandin biosynthetic process regulation of protein ubiquitination positive regulation of prostaglandin secretion positive regulation of chemokine production cellular response to UV response to drug positive regulation of cysteine-type endopeptidase activity involved in apoptotic process positive regulation of nitric oxide biosynthetic process positive regulation of transcription, DNA-templated regulation of JNK cascade positive regulation of nitric-oxide synthase biosynthetic process cellular response to interleukin-1 cellular response to tumor necrosis factor cellular response to growth factor stimulus
          It has to be done as per old AB suggested Products section.

          Disclaimer

          Close

          Clicking the images or links will redirect you to a website hosted by BenchSci that provides third-party scientific content. Neither the content nor the BenchSci technology and processes for selection have been evaluated by us; we are providing them as-is and without warranty of any kind, including for use or application of the Thermo Fisher Scientific products presented.

          guarantee_icon

          性能保障

          只要您发现Invitrogen抗体在实验中的表现与网站或说明书的所述内容不符,您即可享受免费退换货服务。*

          了解更多
          help_icon

          随时为您服务

          获取常见问题的专家解答,或者直接联系我们的技术专家,咨询应用、设备、常规产品使用问题。

          联系技术支持
          订购 Plus Icon Minus Icon
          • 订单状态查询
          • 订单支持
          • 货号直购
          • 现货供应中心
          • 电子采购
          支持 Plus Icon Minus Icon
          • 帮助&支持
          • 联系我们 - 400 820 8982
          • 技术支持中心
          • 查找文件&证书
          • 报告网站问题
          资源 Plus Icon Minus Icon
          • 学习中心
          • 促销
          • 活动&研讨会
          • 社交媒体
          关于赛默飞 Plus Icon Minus Icon
          • 关于我们
          • 招聘 招聘
          • 投资者关系 投资者关系
          • 新闻 新闻
          • 社会责任 社会责任
          • 商标
          • 政策和通知
          品牌 Plus Icon Minus Icon
          • Thermo Scientific
          • Applied Biosystems
          • Invitrogen
          • Gibco
          • Ion Torrent
          • Unity Lab Services
          • Patheon
          • PPD
          • 服务条款
          • 隐私政策
          • 定价和运输保险政策
          © 2006-2026 Thermo Fisher Scientific Inc. All rights reserved. All trademarks are the property of Thermo Fisher Scientific and its subsidiaries unless otherwise specified.
          China flag icon
          China
          本网站销售的所有产品均不得用于人类或动物之临床诊断或治疗,仅可用于工业或者科研等非医疗目的。
             电子营业执照 | 经营证照公示 | ICP备案号:沪ICP备11003924号 | 沪公网安备 31011502006935号

          Your items have has been added!


          Host server : magellan-search-green-6479c7f679-zb4k5:80/100.66.74.142:80.
          git-commit: b70c0dceb888abc3b0dcebb5bc3a5b8753e7e816
          git-url: https://github.com/thermofisher/magellan-search
          git-branch: release/2.50.0-Offline