Hamburger Menu Button
Thermo Fisher Scientific Logo
登录
没有账号?建立账号 注册
  • 产品
    • 抗体
    • 引物合成
    • GeneArt Gene Synthesis Instant Designer
    • TaqMan Assay and Array Search
    • PCR 设备和耗材
    • 色谱柱和纯化柱
    • 实验室离心机
    • 分子生物学试剂和试剂盒
    • 实验室塑料耗材及用品
    • 查看所有产品分类
  • 应用和技术
    • 色谱
    • 细胞转染和培养
    • 实时荧光定量PCR
    • 质谱
    • 实验室塑料耗材及用品
    • 电子显微镜
    • 蛋白质生物学
    • PCR
    • RNAi
    • 环境
    • 查看所有应用和技术
  • 服务
    • 定制服务
    • 企业级实验室信息化服务
    • 金融&租赁服务
    • 仪器服务
    • OEM和商业供应
    • 培训服务
    • 360° CDMO 和 CRO 服务
    • CDMO 服务
    • 临床试验 CRO 服务
    • Unity Lab Services
    • 查看所有帮助和支持
  • 帮助和支持
    • 学习中心
    • 联系我们
    • 更改国家或地区
    • 查看所有帮助和支持
  • 热门产品
    • TaqMan Real-Time PCR Assays
      TaqMan 实时荧光定量 PCR 试剂盒
    • Antibodies
      抗体
    • Oligos, Primers & Probes
      寡核苷酸、引物、探针
    • GeneArt Gene Synthesis
      GeneArt 基因合成
    • Cell Culture Plastics
      细胞培养耗材
  • Who We Serve
    • 抗体治疗解决方案
    • 细胞与基因治疗解决方案
    • 学术科研
    • 工业与应用
  • 联系我们
  • 货号直购
  • 订单查询
  • 查找文件&证书
Thermo Fisher Scientific Logo

Search

搜索全部或下列指定分类
Search button
          • 联系我们
          • 货号直购
          • 登录
            登录
            没有账号?建立账号 注册
            • 我的账号
            • 订单
            • 会员中心
            • 账单及发票查询
            • 定制产品及项目
          • Primary Antibodies ›
          • TRIM28 Antibodies

          Bethyl Laboratories

          KAP-1 Polyclonal Antibody

          查看其他44个TRIM28抗体

          {{$productOrderCtrl.translations['antibody.pdp.commerceCard.promotion.promotions']}}

          {{$productOrderCtrl.translations['antibody.pdp.commerceCard.promotion.viewpromo']}}

          {{$productOrderCtrl.translations['antibody.pdp.commerceCard.promotion.promocode']}}: {{promo.promoCode}} {{promo.promoTitle}} {{promo.promoDescription}}. {{$productOrderCtrl.translations['antibody.pdp.commerceCard.promotion.learnmore']}}

          说明书
          证书
          实验方案
          问题与答案
          技术支持
          说明书
          证书
          实验方案
          问题与答案
          技术支持
          说明书
          证书
          实验方案
          问题与答案
          技术支持

          Cite KAP-1 Polyclonal Antibody

          Additional Information:
          {{banner.description}}
          {{$ctrl.isSkuNotesCollapsed ? 'View more' : 'View less'}}
          • 抗体检测数据 (3)
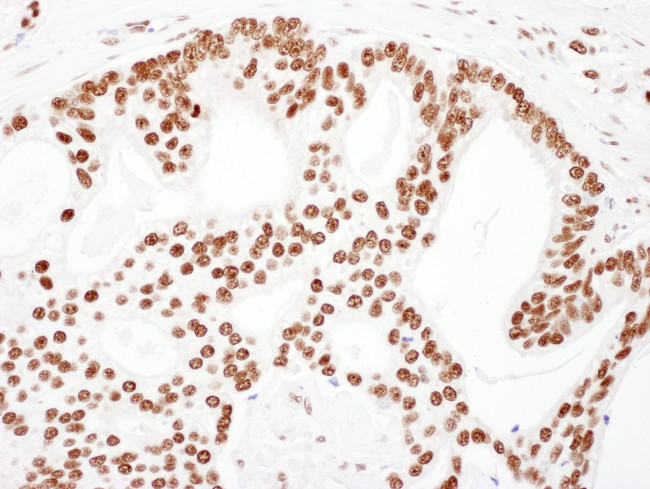
          KAP-1 Antibody in Immunohistochemistry (Paraffin) (IHC (P))
          Group 53 Created with Sketch.
          KAP-1 Antibody in Immunohistochemistry (Paraffin) (IHC (P))
          Group 53 Created with Sketch.

          图: 1 / 3

          {{ $ctrl.currentElement.advancedVerification.fullName }}
          {{ $ctrl.currentElement.advancedVerification.text }}

          KAP-1 Antibody (A303-838A) in IHC (P)

          Detection of human KAP-1 by immunohistochemistry. Sample: FFPE section of human breast carcinoma. Antibody: Affinity purified goat anti-KAP-1 (Product # A303-838A) (Lot 1) used at a dilution of 1:1,000 (1 µg/mL). Detection: DAB. {{ $ctrl.currentElement.advancedVerification.fullName }} 验证信息 View more
          已发表图片由___提供 benchsci-logo
          PMID: {{$ctrl.currentElement.benchSciPubmedId}}
          查看产品

          {{$ctrl.videoDesc}}

          {{$ctrl.videoLongDesc}}

          KAP-1 Antibody in Immunohistochemistry (Paraffin) (IHC (P))
          KAP-1 Antibody in Western Blot (WB)
          KAP-1 Antibody in Immunoprecipitation (IP)
          KAP-1 Polyclonal Antibody

          产品信息

          A303-838A

          应用
          建议稀释比
          已发表文章

          免疫印迹 (WB)

          1:2,000-1:10,000
          -

          免疫组化 (IHC)

          1:1,000-1:5,000
          -

          免疫组化(石蜡) (IHC (P))

          1:1,000-1:5,000
          -

          免疫沉淀 (IP)

          2-10 µg/mg lysate
          -
          产品规格

          种属反应

          Human

          宿主/亚型

          Goat / IgG

          分类

          Polyclonal

          类型

          Antibody

          抗原

          Region between residue 1 and 50 of human KRAB-Associated Protein 1.
          3D表位/免疫原

          偶联物

          Unconjugated Unconjugated Unconjugated

          形式

          Liquid

          浓度

          1 mg/mL

          规格

          100 µg

          纯化类型

          Antigen affinity chromatography

          保存液

          phosphate/tris citrate, pH 7-8

          内含物

          0.09% sodium azide

          保存条件

          4°C

          运输条件

          Ambient (domestic); Wet ice (international)

          产品详细信息

          The recommended shelf life for this product is 1 year from date of receipt.

          Application Note: For IHC, epitope retrieval with citrate buffer pH 6.0 is recommended for FFPE tissue sections.

          靶标信息

          The KRAB (Kruppel-associated box) domain is about 45 amino acids in length and is a transcriptional repression domain found in numerous transcription factors. There have been identified over 220 KRAB-zinc finger protein (KRAB-ZFP) genes in the human genome. These proteins functionally repress transcription via specific interactions with KAP-1 (KRAB-associated protein 1). KAP-1 is an 835 amino acid polypeptide that contains a RING finger, B boxes, and a PHD finger. KAP-1 has been shown to form complexes with KRAB-domain transcription factors and increase the efficiency with which they mediate repression. KAP-1 has also been shown to directly interact with HP1 (heterochromatin protein 1) and KRAZ1 (Kruppel-associated box-containing zinc finger protein 1). KAP-1 directly targets KRAZ1 to the foci of centromeric heterochromatin containing HP1alpha, thus helping to regulate transcriptional repression. Studies have shown that KAP-1 mutants with the ability to bind KRAB but unable to bind HP1 leads to random distribution of KRAZ1 and strong transcriptional activation.

          仅用于科研。不用于诊断过程。未经明确授权不得转售。

          篇参考文献 (0)

          您是否在文献中引用过该产品?请点击下方按钮邮件告知我们。
          引用该产品

          生物信息学

          蛋白别名: E3 SUMO-protein ligase TRIM28; KAP-1; KRAB [Kruppel-associated box domain]-associated protein 1; KRAB-associated protein 1; KRAB-interacting p; KRAB-interacting protein 1; KRIP-1; Nuclear corepressor KAP-1; protein phosphatase 1, regulatory subunit 157; RING finger protein 96; RING-type E3 ubiquitin transferase TIF1-beta; tif1 beta; TIF1-beta; Transcription intermediary factor 1-beta; transcriptional intermediary factor 1-beta; tripartite motif; Tripartite motif-containing protein 28; unnamed protein product

          查看更多 收起

          基因别名: KAP1; PPP1R157; RNF96; TF1B; TIF1B; TIF1beta; TRIM28

          查看更多 收起

          UniProt ID: (Human) Q13263

          查看更多 收起

          Entrez Gene ID: (Human) 10155

          查看更多 收起

          功能
          DNA binding chromatin binding transcription cofactor activity transcription coactivator activity transcription corepressor activity RNA binding protein kinase activity ubiquitin-protein transferase activity protein binding zinc ion binding transferase activity SUMO transferase activity ubiquitin protein ligase binding Krueppel-associated box domain binding metal ion binding ubiquitin protein ligase activity ubiquitin-like protein ligase activity chromo shadow domain binding promoter-specific chromatin binding
          参与通路
          negative regulation of transcription from RNA polymerase II promoter in utero embryonic development epithelial to mesenchymal transition DNA repair chromatin organization methylation-dependent chromatin silencing embryo implantation positive regulation of macromolecule metabolic process protein sumoylation positive regulation of protein import into nucleus DNA methylation involved in embryo development proteasome-mediated ubiquitin-dependent protein catabolic process negative regulation by host of viral release from host cell innate immune response positive regulation of DNA repair negative regulation of single stranded viral RNA replication via double stranded DNA intermediate negative regulation of transcription, DNA-templated positive regulation of transcription, DNA-templated positive regulation of nucleobase-containing compound metabolic process convergent extension involved in axis elongation embryonic placenta morphogenesis genetic imprinting
          It has to be done as per old AB suggested Products section.

          Disclaimer

          Close

          Clicking the images or links will redirect you to a website hosted by BenchSci that provides third-party scientific content. Neither the content nor the BenchSci technology and processes for selection have been evaluated by us; we are providing them as-is and without warranty of any kind, including for use or application of the Thermo Fisher Scientific products presented.

          guarantee_icon

          性能保障

          只要您发现Invitrogen抗体在实验中的表现与网站或说明书的所述内容不符,您即可享受免费退换货服务。*

          了解更多
          help_icon

          随时为您服务

          获取常见问题的专家解答,或者直接联系我们的技术专家,咨询应用、设备、常规产品使用问题。

          联系技术支持
          订购 Plus Icon Minus Icon
          • 订单状态查询
          • 订单支持
          • 货号直购
          • 现货供应中心
          • 电子采购
          支持 Plus Icon Minus Icon
          • 帮助&支持
          • 联系我们 - 400 820 8982
          • 技术支持中心
          • 查找文件&证书
          • 报告网站问题
          资源 Plus Icon Minus Icon
          • 学习中心
          • 促销
          • 活动&研讨会
          • 社交媒体
          关于赛默飞 Plus Icon Minus Icon
          • 关于我们
          • 招聘 招聘
          • 投资者关系 投资者关系
          • 新闻 新闻
          • 社会责任 社会责任
          • 商标
          • 政策和通知
          品牌 Plus Icon Minus Icon
          • Thermo Scientific
          • Applied Biosystems
          • Invitrogen
          • Gibco
          • Ion Torrent
          • Unity Lab Services
          • Patheon
          • PPD
          • 服务条款
          • 隐私政策
          • 定价和运输保险政策
          © 2006-2026 Thermo Fisher Scientific Inc. All rights reserved. All trademarks are the property of Thermo Fisher Scientific and its subsidiaries unless otherwise specified.
          China flag icon
          China
          本网站销售的所有产品均不得用于人类或动物之临床诊断或治疗,仅可用于工业或者科研等非医疗目的。
             电子营业执照 | 经营证照公示 | ICP备案号:沪ICP备11003924号 | 沪公网安备 31011502006935号

          Your items have has been added!


          Host server : magellan-search-blue-7c59b9b899-49tpj:80/100.66.77.222:80.
          git-commit: 8ef7cf686e3c81d28b13492708ce56d167b2f995
          git-url: https://github.com/thermofisher/magellan-search
          git-branch: release/2.49.0-Offline