Hamburger Menu Button
Thermo Fisher Scientific Logo
登录
没有账号?建立账号 注册
  • 产品
    • 抗体
    • 引物合成
    • GeneArt Gene Synthesis Instant Designer
    • TaqMan Assay and Array Search
    • PCR 设备和耗材
    • 色谱柱和纯化柱
    • 实验室离心机
    • 分子生物学试剂和试剂盒
    • 实验室塑料耗材及用品
    • 查看所有产品分类
  • 应用和技术
    • 色谱
    • 细胞转染和培养
    • 实时荧光定量PCR
    • 质谱
    • 实验室塑料耗材及用品
    • 电子显微镜
    • 蛋白质生物学
    • PCR
    • RNAi
    • 环境
    • 查看所有应用和技术
  • 服务
    • 定制服务
    • 企业级实验室信息化服务
    • 金融&租赁服务
    • 仪器服务
    • OEM和商业供应
    • 培训服务
    • 360° CDMO 和 CRO 服务
    • CDMO 服务
    • 临床试验 CRO 服务
    • Unity Lab Services
    • 查看所有帮助和支持
  • 帮助和支持
    • 学习中心
    • 联系我们
    • 更改国家或地区
    • 查看所有帮助和支持
  • 热门产品
    • TaqMan Real-Time PCR Assays
      TaqMan 实时荧光定量 PCR 试剂盒
    • Antibodies
      抗体
    • Oligos, Primers & Probes
      寡核苷酸、引物、探针
    • GeneArt Gene Synthesis
      GeneArt 基因合成
    • Cell Culture Plastics
      细胞培养耗材
  • Who We Serve
    • 抗体治疗解决方案
    • 细胞与基因治疗解决方案
    • 学术科研
    • 工业与应用
  • 联系我们
  • 货号直购
  • 订单查询
  • 查找文件&证书
Thermo Fisher Scientific Logo

Search

搜索全部或下列指定分类
Search button
          • 联系我们
          • 货号直购
          • 登录
            登录
            没有账号?建立账号 注册
            • 我的账号
            • 订单
            • 账单及发票查询
            • 定制产品及项目
          • Primary Antibodies ›
          • KLF2/KLF4 Antibodies

          Bioss

          KLF2/4 Polyclonal Antibody

          {{$productOrderCtrl.translations['antibody.pdp.commerceCard.promotion.promotions']}}

          {{$productOrderCtrl.translations['antibody.pdp.commerceCard.promotion.viewpromo']}}

          {{$productOrderCtrl.translations['antibody.pdp.commerceCard.promotion.promocode']}}: {{promo.promoCode}} {{promo.promoTitle}} {{promo.promoDescription}}. {{$productOrderCtrl.translations['antibody.pdp.commerceCard.promotion.learnmore']}}

          说明书
          证书
          实验方案
          问题与答案
          技术支持
          说明书
          证书
          实验方案
          问题与答案
          技术支持
          说明书
          证书
          实验方案
          问题与答案
          技术支持

          Cite KLF2/4 Polyclonal Antibody

          Additional Information:
          {{banner.description}}
          {{$ctrl.isSkuNotesCollapsed ? 'View more' : 'View less'}}
          • 抗体检测数据 (2)
          KLF2/4 Antibody in Immunohistochemistry (Paraffin) (IHC (P))
          Group 53 Created with Sketch.
          KLF2/4 Antibody in Immunohistochemistry (Paraffin) (IHC (P))
          Group 53 Created with Sketch.

          图: 1 / 2

          {{ $ctrl.currentElement.advancedVerification.fullName }}
          {{ $ctrl.currentElement.advancedVerification.text }}

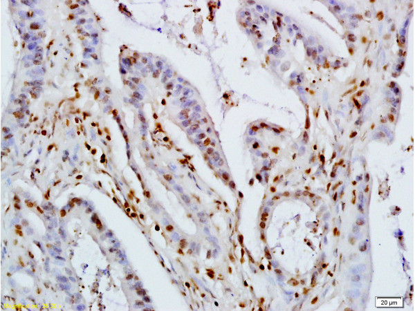
          KLF2/4 Antibody (BS-1064R) in IHC (P)

          Formalin-fixed and paraffin embedded human colon carcinoma labeled with Rabbit Anti KLF4 Polyclonal Antibody, Unconjugated (bs-1064R) at 1:200 followed by conjugation to the secondary antibody and DAB staining. {{ $ctrl.currentElement.advancedVerification.fullName }} 验证信息 View more
          已发表图片由___提供 benchsci-logo
          PMID: {{$ctrl.currentElement.benchSciPubmedId}}
          查看产品

          {{$ctrl.videoDesc}}

          {{$ctrl.videoLongDesc}}

          KLF2/4 Antibody in Immunohistochemistry (Paraffin) (IHC (P))
          KLF2/4 Antibody in Western Blot (WB)

          产品信息

          BS-1064R

          应用
          建议稀释比
          已发表文章

          免疫印迹 (WB)

          1:200
          -

          免疫组化(石蜡) (IHC (P))

          1:200
          -

          免疫组化(冰冻) (IHC (F))

          1:100-1:500
          -

          免疫细胞化学 (ICC/IF)

          1:50-1:200
          -

          流式细胞分析 (Flow)

          1:20-1:100
          -

          酶联免疫吸附实验 (ELISA)

          1:500-1:1,000
          -
          产品规格

          种属反应

          Human, Mouse, Rat

          宿主/亚型

          Rabbit / IgG

          分类

          Polyclonal

          类型

          Antibody

          抗原

          KLH conjugated synthetic peptide derived from human KLF4.

          偶联物

          Unconjugated Unconjugated Unconjugated

          形式

          Liquid

          浓度

          1 mg/mL

          规格

          100 µg

          纯化类型

          Protein A

          保存液

          0.01M TBS, pH 7.4, with 1% BSA, 50% glycerol

          内含物

          0.02% ProClin 300

          保存条件

          -20°C

          运输条件

          Ambient (domestic); Wet ice (international)

          靶标信息

          Transcription factor; can act both as activator and as repressor. Binds the 5'-CACCC-3' core sequence. Binds to the promoter region of its own gene and can activate its own transcription. Regulates the expression of key transcription factors during embryonic development. Plays an important role in maintaining embryonic stem cells, and in preventing their differentiation. Required for establishing the barrier function of the skin and for postnatal maturation and maintenance of the ocular surface. Involved in the differentiation of epithelial cells and may also function in skeletal and kidney development. Contributes to the down-regulation of p53/TP53 transcription.

          仅用于科研。不用于诊断过程。未经明确授权不得转售。

          篇参考文献 (0)

          您是否在文献中引用过该产品?请点击下方按钮邮件告知我们。
          引用该产品

          生物信息学

          蛋白别名: endothelial Kruppel-like zinc finger protein; Epithelial zinc finger protein EZF; gut Kruppel-like factor; Gut-enriched krueppel-like factor; Krueppel-like factor 2; Krueppel-like factor 4; Kruppel like factor 2; Kruppel like factor 4; Kruppel-like factor 2 (lung); Kruppel-like factor 4 (Gut enriched kruppel-like factor) (Epithelial zinc-finger protein EZF); Kruppel-like factor 4 (gut); Kruppel-like factor LKLF; Kruppel-like zinc finger protein; Lung krueppel-like factor; lung Kruppel-like factor; lung Kruppel-like zinc finger transcription factor; transcription factor; unnamed protein product; zinc finger protein; LKLF

          查看更多 收起

          基因别名: EZF; GKLF; KLF2; KLF4; LKLF; Zie

          查看更多 收起

          UniProt ID: (Human) Q9Y5W3, (Human) O43474, (Mouse) Q60843, (Rat) Q9ET58, (Mouse) Q60793

          查看更多 收起

          Entrez Gene ID: (Human) 10365, (Human) 9314, (Mouse) 16598, (Rat) 306330, (Mouse) 16600, (Rat) 114505

          查看更多 收起

          功能
          RNA polymerase II core promoter proximal region sequence-specific DNA binding RNA polymerase II transcription factor activity, sequence-specific DNA binding DNA binding transcription factor activity, sequence-specific DNA binding protein binding zinc ion binding metal ion binding sequence-specific double-stranded DNA binding transcription regulatory region sequence-specific DNA binding transcription factor activity, sequence-specific DNA binding transcription factor recruiting transcription cofactor binding transcriptional activator activity, RNA polymerase II transcription regulatory region sequence-specific binding double-stranded DNA binding beta-catenin binding chromatin DNA binding phosphatidylinositol 3-kinase regulator activity histone deacetylase binding sequence-specific DNA binding RNA polymerase II sequence-specific DNA binding transcription factor binding lncRNA binding promoter-specific chromatin binding nucleic acid binding core promoter proximal region sequence-specific DNA binding core promoter binding transcriptional activator activity, RNA polymerase II core promoter proximal region sequence-specific binding RNA polymerase II transcription factor binding transcriptional activator activity, RNA polymerase II transcription factor binding transcription factor binding transcription regulatory region DNA binding C2H2 zinc finger transcription factor
          参与通路
          negative regulation of transcription from RNA polymerase II promoter cell morphogenesis in utero embryonic development regulation of transcription from RNA polymerase II promoter negative regulation of interleukin-6 production erythrocyte homeostasis response to laminar fluid shear stress multicellular organism growth regulation of gene expression, epigenetic vasodilation erythrocyte maturation positive regulation of nitric oxide biosynthetic process positive regulation of transcription, DNA-templated positive regulation of transcription from RNA polymerase II promoter positive regulation of retinoic acid receptor signaling pathway positive regulation of protein metabolic process Type I pneumocyte differentiation cellular response to hydrogen peroxide cellular response to interleukin-1 cellular response to tumor necrosis factor cellular response to fluid shear stress cellular response to laminar fluid shear stress cellular stress response to acid chemical negative regulation of sprouting angiogenesis cellular response to endothelin defense response to tumor cell transcription, DNA-templated transcription from RNA polymerase II promoter mesodermal cell fate determination negative regulation of cell proliferation epidermis development epidermal cell differentiation gene expression positive regulation of gene expression negative regulation of gene expression negative regulation of muscle hyperplasia negative regulation of angiogenesis stem cell population maintenance negative regulation of cell migration epithelial cell differentiation post-embryonic camera-type eye development positive regulation of telomere maintenance response to retinoic acid negative regulation of interleukin-8 production negative regulation of heterotypic cell-cell adhesion somatic stem cell population maintenance post-embryonic hemopoiesis regulation of cell proliferation negative regulation of I-kappaB kinase/NF-kappaB signaling fat cell differentiation regulation of cell differentiation negative regulation of transcription, DNA-templated positive regulation of hemoglobin biosynthetic process negative regulation of smooth muscle cell proliferation regulation of axon regeneration epidermis morphogenesis negative regulation of inflammatory response negative regulation of protein kinase B signaling canonical Wnt signaling pathway negative regulation of response to cytokine stimulus establishment of skin barrier negative regulation of ERK1 and ERK2 cascade cellular response to retinoic acid cellular response to growth factor stimulus negative regulation of cell migration involved in sprouting angiogenesis regulation of blastocyst development positive regulation of pri-miRNA transcription from RNA polymerase II promoter positive regulation of sprouting angiogenesis negative regulation of leukocyte adhesion to arterial endothelial cell cellular response to leukemia inhibitory factor negative regulation of G1/S transition of mitotic cell cycle negative regulation of chemokine (C-X-C motif) ligand 2 production negative regulation of extrinsic apoptotic signaling pathway in absence of ligand regulation of transcription, DNA-templated positive regulation of transcription from RNA polymerase II promoter in response to stress cellular response to organic cyclic compound cellular response to cycloheximide cellular response to peptide response to organic substance negative regulation of phosphatidylinositol 3-kinase signaling cell differentiation negative regulation of NF-kappaB transcription factor activity positive regulation of cellular protein metabolic process negative regulation of cysteine-type endopeptidase activity involved in apoptotic process regulation of phosphatidylinositol 3-kinase activity negative regulation of interleukin-8 biosynthetic process positive regulation of telomerase activity
          It has to be done as per old AB suggested Products section.

          Disclaimer

          Close

          Clicking the images or links will redirect you to a website hosted by BenchSci that provides third-party scientific content. Neither the content nor the BenchSci technology and processes for selection have been evaluated by us; we are providing them as-is and without warranty of any kind, including for use or application of the Thermo Fisher Scientific products presented.

          guarantee_icon

          性能保障

          只要您发现Invitrogen抗体在实验中的表现与网站或说明书的所述内容不符,您即可享受免费退换货服务。*

          了解更多
          help_icon

          随时为您服务

          获取常见问题的专家解答,或者直接联系我们的技术专家,咨询应用、设备、常规产品使用问题。

          联系技术支持
          订购 Plus Icon Minus Icon
          • 订单状态查询
          • 订单支持
          • 货号直购
          • 现货供应中心
          • 电子采购
          支持 Plus Icon Minus Icon
          • 帮助&支持
          • 联系我们 - 400 820 8982
          • 技术支持中心
          • 查找文件&证书
          • 报告网站问题
          资源 Plus Icon Minus Icon
          • 学习中心
          • 促销
          • 活动&研讨会
          • 社交媒体
          关于赛默飞 Plus Icon Minus Icon
          • 关于我们
          • 招聘 招聘
          • 投资者关系 投资者关系
          • 新闻 新闻
          • 社会责任 社会责任
          • 商标
          • 政策和通知
          品牌 Plus Icon Minus Icon
          • Thermo Scientific
          • Applied Biosystems
          • Invitrogen
          • Gibco
          • Ion Torrent
          • Unity Lab Services
          • Patheon
          • PPD
          • 服务条款
          • 隐私政策
          • 定价和运输保险政策
          © 2006-2026 Thermo Fisher Scientific Inc. All rights reserved. All trademarks are the property of Thermo Fisher Scientific and its subsidiaries unless otherwise specified.
          China flag icon
          China
          本网站销售的所有产品均不得用于人类或动物之临床诊断或治疗,仅可用于工业或者科研等非医疗目的。
             电子营业执照 | 经营证照公示 | ICP备案号:沪ICP备11003924号 | 沪公网安备 31011502006935号

          Your items have has been added!


          Host server : magellan-search-green-6b469b8bb7-b97mm:80/100.66.72.101:80.
          git-commit: a334af76dff23450325448aedefe62379591458a
          git-url: https://github.com/thermofisher/magellan-search
          git-branch: release/2.48.1-2026.04.16-1.0