Hamburger Menu Button
Thermo Fisher Scientific Logo
登录
没有账号?建立账号 注册
  • 产品
    • 抗体
    • 引物合成
    • GeneArt Gene Synthesis Instant Designer
    • TaqMan Assay and Array Search
    • PCR 设备和耗材
    • 色谱柱和纯化柱
    • 实验室离心机
    • 分子生物学试剂和试剂盒
    • 实验室塑料耗材及用品
    • 查看所有产品分类
  • 应用和技术
    • 色谱
    • 细胞转染和培养
    • 实时荧光定量PCR
    • 质谱
    • 实验室塑料耗材及用品
    • 电子显微镜
    • 蛋白质生物学
    • PCR
    • RNAi
    • 环境
    • 查看所有应用和技术
  • 服务
    • 定制服务
    • 企业级实验室信息化服务
    • 金融&租赁服务
    • 仪器服务
    • OEM和商业供应
    • 培训服务
    • 360° CDMO 和 CRO 服务
    • CDMO 服务
    • 临床试验 CRO 服务
    • Unity Lab Services
    • 查看所有帮助和支持
  • 帮助和支持
    • 学习中心
    • 联系我们
    • 更改国家或地区
    • 查看所有帮助和支持
  • 热门产品
    • TaqMan Real-Time PCR Assays
      TaqMan 实时荧光定量 PCR 试剂盒
    • Antibodies
      抗体
    • Oligos, Primers & Probes
      寡核苷酸、引物、探针
    • GeneArt Gene Synthesis
      GeneArt 基因合成
    • Cell Culture Plastics
      细胞培养耗材
  • Who We Serve
    • 抗体治疗解决方案
    • 细胞与基因治疗解决方案
    • 学术科研
    • 工业与应用
  • 联系我们
  • 货号直购
  • 订单查询
  • 查找文件&证书
Thermo Fisher Scientific Logo

Search

搜索全部或下列指定分类
Search button
          • 联系我们
          • 货号直购
          • 登录
            登录
            没有账号?建立账号 注册
            • 我的账号
            • 订单
            • 会员中心
            • 账单及发票查询
            • 定制产品及项目
          • Primary Antibodies ›
          • KLF4 Antibodies

          Huabio

          KLF4 Polyclonal Antibody

          查看其他22个KLF4抗体

          {{$productOrderCtrl.translations['antibody.pdp.commerceCard.promotion.promotions']}}

          {{$productOrderCtrl.translations['antibody.pdp.commerceCard.promotion.viewpromo']}}

          {{$productOrderCtrl.translations['antibody.pdp.commerceCard.promotion.promocode']}}: {{promo.promoCode}} {{promo.promoTitle}} {{promo.promoDescription}}. {{$productOrderCtrl.translations['antibody.pdp.commerceCard.promotion.learnmore']}}

          说明书
          证书
          实验方案
          问题与答案
          技术支持
          说明书
          证书
          实验方案
          问题与答案
          技术支持
          说明书
          证书
          实验方案
          问题与答案
          技术支持

          Cite KLF4 Polyclonal Antibody

          Additional Information:
          {{banner.description}}
          {{$ctrl.isSkuNotesCollapsed ? 'View more' : 'View less'}}
          • 抗体检测数据 (3)
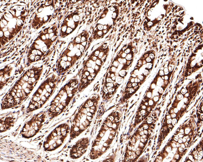
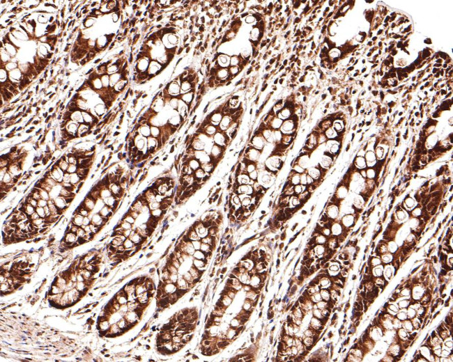
          KLF4 Antibody in Immunohistochemistry (Paraffin) (IHC (P))
          Group 53 Created with Sketch.
          KLF4 Antibody in Immunohistochemistry (Paraffin) (IHC (P))
          Group 53 Created with Sketch.

          图: 1 / 3

          {{ $ctrl.currentElement.advancedVerification.fullName }}
          {{ $ctrl.currentElement.advancedVerification.text }}

          KLF4 Antibody (R1308-1) in IHC (P)

          Immunohistochemical analysis of paraffin-embedded human colon tissue with Rabbit anti-KLF4 antibody (R1308-1) at 1:1,500 dilution. The section was pre-treated using heat mediated antigen retrieval with sodium citrate buffer (pH 6.0) for 2 minutes. The tissues were blocked in 1% BSA for 20 minutes at room temperature, washed with ddH2O and PBS, and then probed with the primary antibody (R1308-1) at 1:1,500 d... View More {{ $ctrl.currentElement.advancedVerification.fullName }} 验证信息 View more
          已发表图片由___提供 benchsci-logo
          PMID: {{$ctrl.currentElement.benchSciPubmedId}}
          查看产品

          {{$ctrl.videoDesc}}

          {{$ctrl.videoLongDesc}}

          KLF4 Antibody in Immunohistochemistry (Paraffin) (IHC (P))
          KLF4 Antibody in Immunohistochemistry (Paraffin) (IHC (P))
          KLF4 Antibody in Western Blot (WB)
          KLF4 Polyclonal Antibody

          产品信息

          R1308-1

          应用
          建议稀释比
          已发表文章

          免疫印迹 (WB)

          1:500
          -

          免疫组化(石蜡) (IHC (P))

          1:200-1:1,500
          -

          流式细胞分析 (Flow)

          1:100
          -
          产品规格

          种属反应

          Human, Mouse, Rat

          宿主/亚型

          Rabbit / IgG

          分类

          Polyclonal

          类型

          Antibody

          抗原

          Synthetic peptide within human KLF4 aa 406-458.
          3D表位/免疫原

          偶联物

          Unconjugated Unconjugated Unconjugated

          形式

          Liquid

          浓度

          1 mg/mL

          规格

          100 µg

          纯化类型

          Antigen affinity chromatography

          保存液

          PBS, pH 7.4, with 0.2% BSA, 40% glycerol

          内含物

          0.05% sodium azide

          保存条件

          Store at 4°C short term. For long term storage, store at -20°C, avoiding freeze/thaw cycles.

          运输条件

          Ambient (domestic); Wet ice (international)

          靶标信息

          Kruppel like factor 4 (KLF4) protein is encoded by the KLF4 gene located on chromosome 9 in humans. It is also known as gut-enriched Kruppel-like factor (GKLF) or epithelial zinc-finger protein (EZF) and belongs to a family of conserved Kruppel-like factor family of DNA binding zinc finger transcription factors. KLF4 exerts its functional relevance across varied cellular pathways. As one of the four Yamanaka factors, it plays a key role in reprogramming differentiated cells into pluripotent stem cells. Most studies have focused on its specific role in endothelial cell signaling, adipogenesis, differentiation, embryogenesis and cell cycle control. Localization plays an important role in the biological significance of this protein wherein nuclear localization is associated with its function as an oncogene and cytosolic localization with tumor suppression specific effect.

          仅用于科研。不用于诊断过程。未经明确授权不得转售。

          篇参考文献 (0)

          您是否在文献中引用过该产品?请点击下方按钮邮件告知我们。
          引用该产品

          生物信息学

          蛋白别名: endothelial Kruppel-like zinc finger protein; Epithelial zinc finger protein EZF; gut Kruppel-like factor; Gut-enriched krueppel-like factor; Krueppel-like factor 4; Kruppel like factor 4; Kruppel-like factor 4 (Gut enriched kruppel-like factor) (Epithelial zinc-finger protein EZF); Kruppel-like factor 4 (gut); Kruppel-like zinc finger protein; RP11-150J11.1; transcription factor; unnamed protein product

          查看更多 收起

          基因别名: EZF; GKLF; KLF4; Zie

          查看更多 收起

          UniProt ID: (Human) O43474, (Mouse) Q60793

          查看更多 收起

          Entrez Gene ID: (Human) 9314, (Mouse) 16600, (Rat) 114505

          查看更多 收起

          功能
          transcription regulatory region sequence-specific DNA binding RNA polymerase II core promoter proximal region sequence-specific DNA binding RNA polymerase II transcription factor activity, sequence-specific DNA binding transcription factor activity, sequence-specific DNA binding transcription factor recruiting transcription cofactor binding transcriptional activator activity, RNA polymerase II transcription regulatory region sequence-specific binding DNA binding double-stranded DNA binding transcription factor activity, sequence-specific DNA binding protein binding beta-catenin binding zinc ion binding chromatin DNA binding phosphatidylinositol 3-kinase regulator activity histone deacetylase binding sequence-specific DNA binding metal ion binding RNA polymerase II sequence-specific DNA binding transcription factor binding lncRNA binding sequence-specific double-stranded DNA binding promoter-specific chromatin binding core promoter proximal region sequence-specific DNA binding core promoter binding transcriptional activator activity, RNA polymerase II core promoter proximal region sequence-specific binding RNA polymerase II transcription factor binding transcriptional activator activity, RNA polymerase II transcription factor binding nucleic acid binding transcription factor binding transcription regulatory region DNA binding C2H2 zinc finger transcription factor
          参与通路
          negative regulation of transcription from RNA polymerase II promoter defense response to tumor cell transcription, DNA-templated regulation of transcription from RNA polymerase II promoter transcription from RNA polymerase II promoter mesodermal cell fate determination negative regulation of cell proliferation epidermis development epidermal cell differentiation gene expression positive regulation of gene expression negative regulation of gene expression negative regulation of muscle hyperplasia negative regulation of angiogenesis stem cell population maintenance negative regulation of cell migration epithelial cell differentiation post-embryonic camera-type eye development positive regulation of telomere maintenance response to retinoic acid negative regulation of interleukin-8 production negative regulation of heterotypic cell-cell adhesion somatic stem cell population maintenance post-embryonic hemopoiesis regulation of cell proliferation negative regulation of I-kappaB kinase/NF-kappaB signaling positive regulation of nitric oxide biosynthetic process fat cell differentiation regulation of cell differentiation negative regulation of transcription, DNA-templated positive regulation of transcription, DNA-templated positive regulation of transcription from RNA polymerase II promoter positive regulation of hemoglobin biosynthetic process negative regulation of smooth muscle cell proliferation regulation of axon regeneration epidermis morphogenesis negative regulation of inflammatory response positive regulation of protein metabolic process negative regulation of protein kinase B signaling canonical Wnt signaling pathway negative regulation of response to cytokine stimulus establishment of skin barrier cellular response to hydrogen peroxide negative regulation of ERK1 and ERK2 cascade cellular response to retinoic acid cellular response to growth factor stimulus cellular response to laminar fluid shear stress negative regulation of cell migration involved in sprouting angiogenesis regulation of blastocyst development positive regulation of pri-miRNA transcription from RNA polymerase II promoter positive regulation of sprouting angiogenesis negative regulation of leukocyte adhesion to arterial endothelial cell cellular response to leukemia inhibitory factor cellular response to endothelin negative regulation of G1/S transition of mitotic cell cycle negative regulation of chemokine (C-X-C motif) ligand 2 production negative regulation of extrinsic apoptotic signaling pathway in absence of ligand regulation of transcription, DNA-templated response to organic substance negative regulation of phosphatidylinositol 3-kinase signaling cell differentiation negative regulation of NF-kappaB transcription factor activity positive regulation of cellular protein metabolic process negative regulation of cysteine-type endopeptidase activity involved in apoptotic process regulation of phosphatidylinositol 3-kinase activity negative regulation of interleukin-8 biosynthetic process positive regulation of telomerase activity cellular response to organic cyclic compound cellular response to cycloheximide cellular response to peptide
          It has to be done as per old AB suggested Products section.

          Disclaimer

          Close

          Clicking the images or links will redirect you to a website hosted by BenchSci that provides third-party scientific content. Neither the content nor the BenchSci technology and processes for selection have been evaluated by us; we are providing them as-is and without warranty of any kind, including for use or application of the Thermo Fisher Scientific products presented.

          guarantee_icon

          性能保障

          只要您发现Invitrogen抗体在实验中的表现与网站或说明书的所述内容不符,您即可享受免费退换货服务。*

          了解更多
          help_icon

          随时为您服务

          获取常见问题的专家解答,或者直接联系我们的技术专家,咨询应用、设备、常规产品使用问题。

          联系技术支持
          订购 Plus Icon Minus Icon
          • 订单状态查询
          • 订单支持
          • 货号直购
          • 现货供应中心
          • 电子采购
          支持 Plus Icon Minus Icon
          • 帮助&支持
          • 联系我们 - 400 820 8982
          • 技术支持中心
          • 查找文件&证书
          • 报告网站问题
          资源 Plus Icon Minus Icon
          • 学习中心
          • 促销
          • 活动&研讨会
          • 社交媒体
          关于赛默飞 Plus Icon Minus Icon
          • 关于我们
          • 招聘 招聘
          • 投资者关系 投资者关系
          • 新闻 新闻
          • 社会责任 社会责任
          • 商标
          • 政策和通知
          品牌 Plus Icon Minus Icon
          • Thermo Scientific
          • Applied Biosystems
          • Invitrogen
          • Gibco
          • Ion Torrent
          • Unity Lab Services
          • Patheon
          • PPD
          • 服务条款
          • 隐私政策
          • 定价和运输保险政策
          © 2006-2026 Thermo Fisher Scientific Inc. All rights reserved. All trademarks are the property of Thermo Fisher Scientific and its subsidiaries unless otherwise specified.
          China flag icon
          China
          本网站销售的所有产品均不得用于人类或动物之临床诊断或治疗,仅可用于工业或者科研等非医疗目的。
             电子营业执照 | 经营证照公示 | ICP备案号:沪ICP备11003924号 | 沪公网安备 31011502006935号

          Your items have has been added!


          Host server : magellan-search-blue-7c59b9b899-49tpj:80/100.66.77.222:80.
          git-commit: 8ef7cf686e3c81d28b13492708ce56d167b2f995
          git-url: https://github.com/thermofisher/magellan-search
          git-branch: release/2.49.0-Offline