Hamburger Menu Button
Thermo Fisher Scientific Logo
登录
没有账号?建立账号 注册
  • 产品
    • 抗体
    • 引物合成
    • GeneArt Gene Synthesis Instant Designer
    • TaqMan Assay and Array Search
    • PCR 设备和耗材
    • 色谱柱和纯化柱
    • 实验室离心机
    • 分子生物学试剂和试剂盒
    • 实验室塑料耗材及用品
    • 查看所有产品分类
  • 应用和技术
    • 色谱
    • 细胞转染和培养
    • 实时荧光定量PCR
    • 质谱
    • 实验室塑料耗材及用品
    • 电子显微镜
    • 蛋白质生物学
    • PCR
    • RNAi
    • 环境
    • 查看所有应用和技术
  • 服务
    • 定制服务
    • 企业级实验室信息化服务
    • 金融&租赁服务
    • 仪器服务
    • OEM和商业供应
    • 培训服务
    • 360° CDMO 和 CRO 服务
    • CDMO 服务
    • 临床试验 CRO 服务
    • Unity Lab Services
    • 查看所有帮助和支持
  • 帮助和支持
    • 学习中心
    • 联系我们
    • 更改国家或地区
    • 查看所有帮助和支持
  • 热门产品
    • TaqMan Real-Time PCR Assays
      TaqMan 实时荧光定量 PCR 试剂盒
    • Antibodies
      抗体
    • Oligos, Primers & Probes
      寡核苷酸、引物、探针
    • GeneArt Gene Synthesis
      GeneArt 基因合成
    • Cell Culture Plastics
      细胞培养耗材
  • Who We Serve
    • 抗体治疗解决方案
    • 细胞与基因治疗解决方案
    • 学术科研
    • 工业与应用
  • 联系我们
  • 货号直购
  • 订单查询
  • 查找文件&证书
Thermo Fisher Scientific Logo

Search

搜索全部或下列指定分类
Search button
          • 联系我们
          • 货号直购
          • 登录
            登录
            没有账号?建立账号 注册
            • 我的账号
            • 订单
            • 会员中心
            • 账单及发票查询
            • 定制产品及项目
          • Primary Antibodies ›
          • LAT Antibodies

          Invitrogen

          LAT Monoclonal Antibody (LAT.10-17 (10-17)), eBioscience™

          高级验证
          1 篇参考文献
          查看其他37个LAT抗体

          {{$productOrderCtrl.translations['antibody.pdp.commerceCard.promotion.promotions']}}

          {{$productOrderCtrl.translations['antibody.pdp.commerceCard.promotion.viewpromo']}}

          {{$productOrderCtrl.translations['antibody.pdp.commerceCard.promotion.promocode']}}: {{promo.promoCode}} {{promo.promoTitle}} {{promo.promoDescription}}. {{$productOrderCtrl.translations['antibody.pdp.commerceCard.promotion.learnmore']}}

          说明书
          证书
          实验方案
          问题与答案
          技术支持
          说明书
          证书
          实验方案
          问题与答案
          技术支持
          说明书
          证书
          实验方案
          问题与答案
          技术支持

          Cite LAT Monoclonal Antibody (LAT.10-17 (10-17)), eBioscience™

          Additional Information:
          {{banner.description}}
          {{$ctrl.isSkuNotesCollapsed ? 'View more' : 'View less'}}
          • 抗体检测数据 (2)
          • 高级验证 (1)
          LAT Antibody in Western Blot (WB)
          Group 53 Created with Sketch.
          LAT Antibody in Western Blot (WB)
          Group 53 Created with Sketch.

          图: 1 / 3

          {{ $ctrl.currentElement.advancedVerification.fullName }}
          {{ $ctrl.currentElement.advancedVerification.text }}

          LAT Antibody (14-9967-82) in WB

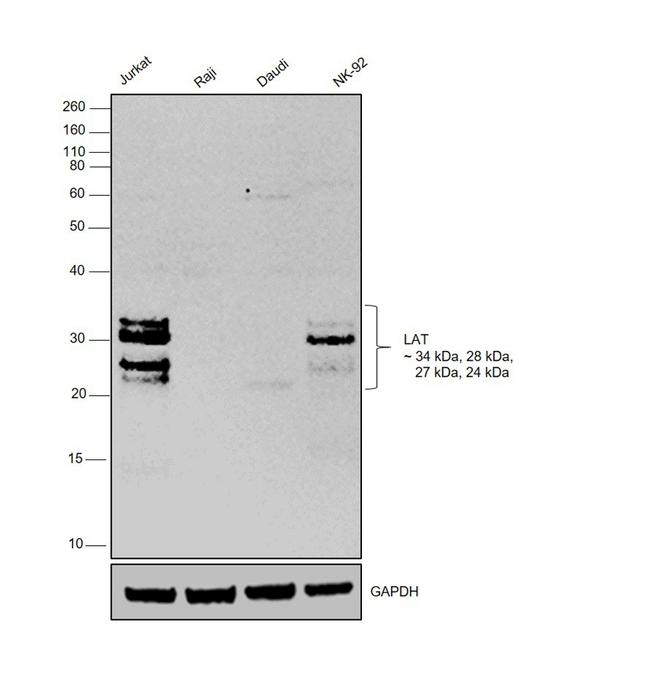
          Western blot was performed using Anti-LAT Monoclonal Antibody (LAT.10-17 (10-17)), eBioscience™ (Product # 14-9967-82) and 34kDa, 28kDa, 27kDa and 24kDa bands corresponding to LAT was observed in T cell line, Jurkat, and Natural Killer cells, NK-92, but not in B-cells (Raji and Daudi). Whole Cell Extracts (30 µg lysate) of Jurkat (Lane 1), Raji (Lane 2), Daudi (Lane 3) and NK-92 (Lane 4) were electrophoresed using NuPAGE™ 12% Bis-Tris Protein Gel (Product # NP0341BOX). Resolved proteins were then transferred onto a Nitrocellulose membrane ... View More {{ $ctrl.currentElement.advancedVerification.fullName }} 验证信息 View more
          已发表图片由___提供 benchsci-logo
          PMID: {{$ctrl.currentElement.benchSciPubmedId}}
          查看产品

          {{$ctrl.videoDesc}}

          {{$ctrl.videoLongDesc}}

          LAT Antibody in Western Blot (WB)
          LAT Antibody in Western Blot (WB)
          LAT Antibody

          产品信息

          14-9967-82

          应用
          建议稀释比
          已发表文章

          免疫印迹 (WB)

          1.5-5 µg/mL
          查看1篇已发表文章 1篇已发表文章

          免疫沉淀 (IP)

          5 µg/mL
          -
          产品规格

          种属反应

          Human

          已发表种属

          Mouse

          宿主/亚型

          Mouse / IgG1, kappa

          分类

          Monoclonal

          类型

          Antibody

          克隆号

          LAT.10-17 (10-17)

          偶联物

          Unconjugated Unconjugated Unconjugated

          形式

          Liquid

          浓度

          0.5 mg/mL

          规格

          100 µg

          纯化类型

          Affinity chromatography

          保存液

          PBS, pH 7.2

          内含物

          0.09% sodium azide

          保存条件

          4°C

          运输条件

          Ambient (domestic); Wet ice (international)

          RRID

          AB_1235011

          产品详细信息

          Description: This LAT.10-17 (10-17) monoclonal antibody reacts with human Linker for Activation of T cells (LAT), which is essential for T cell receptor (TCR)-mediated signal transduction. Characterized as an integral transmembrane protein, this ~37-kDa molecule does not possess a true extracellular domain. Upon TCR/CD3 engagement, LAT localizes to lipid rafts and is tyrosine phosphorylated by ZAP-70, leading to the recruitment and activation of other downstream signaling molecules such as Grb-2, PLCgamma, and PI3K. This adapter molecule has been shown to be required for T cell activation, as well as thymocyte and T regulatory cell development. In humans, LAT is expressed on peripheral blood lymphocytes, lymph nodes, and tonsil. Studies in mice have shown that LAT is expressed in thymocytes, T cells, mast cells, natural killer cells, megakaryocytes, platelets, and early B cells. This antibody does not crossreact with the mouse antigen.

          Applications Reported: This LAT.10-17 (10-17) antibody has been reported for use in immunoblotting (WB) and immunoprecipitation (IP).

          Applications Tested: LAT.10-17 (10-17) was tested by western blot and immunoprecipitation on lysates prepared from human peripheral blood cells, Jurkat cells, and C57BL/6 splenocytes. This antibody can be used at 5 µg/mL. It is recommended that the antibody be carefully titrated for optimal performance in the assay of interest.

          Purity: Greater than 90%, as determined by SDS-PAGE.

          Aggregation: Less than 10%, as determined by HPLC.

          Filtration: 0.2 µm post-manufacturing filtered.

          靶标信息

          LAT (Linker for Activation of T cells) is a 36-38 kDa double-palmitoylated transmembrane adaptor protein expressed by T cells, pre-B cells, NK cells, mast cells and platelets. After immunoreceptor triggering, LAT becomes multiply tyrosine-phosphorylated by Syk-, Src-, or Tec-family kinases, providing docking sites for downstream signaling molecules. LAT is essential for TCR-dependent T cell- and FcepsilonRI-dependent mast cell activation, as well as for maturation of early thymocytes. It is also involved in NK cell signaling and platelet activation.

          仅用于科研。不用于诊断过程。未经明确授权不得转售。

          生物信息学

          蛋白别名: 36 kDa phospho-tyrosine adapter protein; 36 kDa phospho-tyrosine adaptor protein; 36 kDa phosphotyrosine adapter protein; linker for activation of T cells, transmembrane adaptor; Linker for activation of T-cells family member 1; p36-38; pp36; tyrosine kinase substrate

          查看更多 收起

          基因别名: IMD52; LAT; LAT1; pp36

          查看更多 收起

          UniProt ID: (Human) O43561

          查看更多 收起

          Entrez Gene ID: (Human) 27040

          查看更多 收起

          功能
          protein binding protein kinase binding receptor signaling complex scaffold activity signaling adaptor activity molecular condensate scaffold activity
          参与通路
          adaptive immune response lymphocyte homeostasis immune system process inflammatory response immune response signal transduction integrin-mediated signaling pathway Ras protein signal transduction gene expression calcium-mediated signaling membrane raft distribution intracellular signal transduction T cell activation mast cell degranulation positive regulation of MAPK cascade positive regulation of protein kinase activity homeostasis of number of cells T cell receptor signaling pathway regulation of T cell activation
          It has to be done as per old AB suggested Products section.

          Disclaimer

          Close

          Clicking the images or links will redirect you to a website hosted by BenchSci that provides third-party scientific content. Neither the content nor the BenchSci technology and processes for selection have been evaluated by us; we are providing them as-is and without warranty of any kind, including for use or application of the Thermo Fisher Scientific products presented.

          guarantee_icon

          性能保障

          只要您发现Invitrogen抗体在实验中的表现与网站或说明书的所述内容不符,您即可享受免费退换货服务。*

          了解更多
          help_icon

          随时为您服务

          获取常见问题的专家解答,或者直接联系我们的技术专家,咨询应用、设备、常规产品使用问题。

          联系技术支持
          订购 Plus Icon Minus Icon
          • 订单状态查询
          • 订单支持
          • 货号直购
          • 现货供应中心
          • 电子采购
          支持 Plus Icon Minus Icon
          • 帮助&支持
          • 联系我们 - 400 820 8982
          • 技术支持中心
          • 查找文件&证书
          • 报告网站问题
          资源 Plus Icon Minus Icon
          • 学习中心
          • 促销
          • 活动&研讨会
          • 社交媒体
          关于赛默飞 Plus Icon Minus Icon
          • 关于我们
          • 招聘 招聘
          • 投资者关系 投资者关系
          • 新闻 新闻
          • 社会责任 社会责任
          • 商标
          • 政策和通知
          品牌 Plus Icon Minus Icon
          • Thermo Scientific
          • Applied Biosystems
          • Invitrogen
          • Gibco
          • Ion Torrent
          • Unity Lab Services
          • Patheon
          • PPD
          • 服务条款
          • 隐私政策
          • 定价和运输保险政策
          © 2006-2026 Thermo Fisher Scientific Inc. All rights reserved. All trademarks are the property of Thermo Fisher Scientific and its subsidiaries unless otherwise specified.
          China flag icon
          China
          本网站销售的所有产品均不得用于人类或动物之临床诊断或治疗,仅可用于工业或者科研等非医疗目的。
             电子营业执照 | 经营证照公示 | ICP备案号:沪ICP备11003924号 | 沪公网安备 31011502006935号

          Your items have has been added!


          Host server : magellan-search-green-6479c7f679-2z78h:80/100.66.76.236:80.
          git-commit: b70c0dceb888abc3b0dcebb5bc3a5b8753e7e816
          git-url: https://github.com/thermofisher/magellan-search
          git-branch: release/2.50.0-Offline