Hamburger Menu Button
Thermo Fisher Scientific Logo
登录
没有账号?建立账号 注册
  • 产品
    • 抗体
    • 引物合成
    • GeneArt Gene Synthesis Instant Designer
    • TaqMan Assay and Array Search
    • PCR 设备和耗材
    • 色谱柱和纯化柱
    • 实验室离心机
    • 分子生物学试剂和试剂盒
    • 实验室塑料耗材及用品
    • 查看所有产品分类
  • 应用和技术
    • 色谱
    • 细胞转染和培养
    • 实时荧光定量PCR
    • 质谱
    • 实验室塑料耗材及用品
    • 电子显微镜
    • 蛋白质生物学
    • PCR
    • RNAi
    • 环境
    • 查看所有应用和技术
  • 服务
    • 定制服务
    • 企业级实验室信息化服务
    • 金融&租赁服务
    • 仪器服务
    • OEM和商业供应
    • 培训服务
    • 360° CDMO 和 CRO 服务
    • CDMO 服务
    • 临床试验 CRO 服务
    • Unity Lab Services
    • 查看所有帮助和支持
  • 帮助和支持
    • 学习中心
    • 联系我们
    • 更改国家或地区
    • 查看所有帮助和支持
  • 热门产品
    • TaqMan Real-Time PCR Assays
      TaqMan 实时荧光定量 PCR 试剂盒
    • Antibodies
      抗体
    • Oligos, Primers & Probes
      寡核苷酸、引物、探针
    • GeneArt Gene Synthesis
      GeneArt 基因合成
    • Cell Culture Plastics
      细胞培养耗材
  • Who We Serve
    • 抗体治疗解决方案
    • 细胞与基因治疗解决方案
    • 学术科研
    • 工业与应用
  • 联系我们
  • 货号直购
  • 订单查询
  • 查找文件&证书
Thermo Fisher Scientific Logo

Search

搜索全部或下列指定分类
Search button
          • 联系我们
          • 货号直购
          • 登录
            登录
            没有账号?建立账号 注册
            • 我的账号
            • 订单
            • 会员中心
            • 账单及发票查询
            • 定制产品及项目
          • Primary Antibodies ›
          • LCK Antibodies

          Invitrogen

          LCK Polyclonal Antibody

          高级验证
          查看其他44个LCK抗体

          {{$productOrderCtrl.translations['antibody.pdp.commerceCard.promotion.promotions']}}

          {{$productOrderCtrl.translations['antibody.pdp.commerceCard.promotion.viewpromo']}}

          {{$productOrderCtrl.translations['antibody.pdp.commerceCard.promotion.promocode']}}: {{promo.promoCode}} {{promo.promoTitle}} {{promo.promoDescription}}. {{$productOrderCtrl.translations['antibody.pdp.commerceCard.promotion.learnmore']}}

          说明书
          证书
          实验方案
          问题与答案
          技术支持
          说明书
          证书
          实验方案
          问题与答案
          技术支持
          说明书
          证书
          实验方案
          问题与答案
          技术支持

          Cite LCK Polyclonal Antibody

          Additional Information:
          {{banner.description}}
          {{$ctrl.isSkuNotesCollapsed ? 'View more' : 'View less'}}
          • 抗体检测数据 (5)
          • 高级验证 (1)
          LCK Antibody in Immunocytochemistry (ICC/IF)
          Group 53 Created with Sketch.
          LCK Antibody in Immunocytochemistry (ICC/IF)
          Group 53 Created with Sketch.

          图: 1 / 6

          {{ $ctrl.currentElement.advancedVerification.fullName }}
          {{ $ctrl.currentElement.advancedVerification.text }}

          LCK Antibody (PA5-78039) in ICC/IF

          Immunofluorescence analysis of LCK was performed using Jurkat cells. The cells were fixed with 4% paraformaldehyde for 10 minutes, permeabilized with 0.1% Triton™ X-100 for 15 minutes, and blocked with 2% BSA for 1 hour at room temperature. The cells were labeled with LCK Polyclonal Antibody (Product # PA5-78039) at 5 microgram/mL concentration in 0.1% BSA, incubated at 4 degree celsius overnight and then labeled with Goat anti-Rabbit IgG (Heavy Chain) Superclonal™ Recombinant Secondary Antibody, Alexa Fluor® 488 (Product # A27034) for 45 ... View More {{ $ctrl.currentElement.advancedVerification.fullName }} 验证信息 View more
          已发表图片由___提供 benchsci-logo
          PMID: {{$ctrl.currentElement.benchSciPubmedId}}
          查看产品

          {{$ctrl.videoDesc}}

          {{$ctrl.videoLongDesc}}

          LCK Antibody in Immunocytochemistry (ICC/IF)
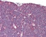
          LCK Antibody in Immunohistochemistry (Paraffin) (IHC (P))
          LCK Antibody in Western Blot (WB)
          LCK Antibody in Western Blot (WB)
          LCK Antibody in Western Blot (WB)
          LCK Antibody

          产品信息

          PA5-78039

          应用
          建议稀释比
          已发表文章

          免疫印迹 (WB)

          1:500-1:3,000
          -

          免疫组化(石蜡) (IHC (P))

          1:100-1:1,000
          -

          免疫细胞化学 (ICC/IF)

          5 µg/mL
          -
          产品规格

          种属反应

          Human, Mouse

          宿主/亚型

          Rabbit / IgG

          分类

          Polyclonal

          类型

          Antibody

          抗原

          Recombinant protein encompassing a sequence within the center region of human Lck. The exact sequence is proprietary.

          偶联物

          Unconjugated Unconjugated Unconjugated

          形式

          Liquid

          浓度

          1 mg/mL

          规格

          100 µg

          纯化类型

          Antigen affinity chromatography

          保存液

          0.1M tris glycine, pH 7, with 10% glycerol

          内含物

          0.01% thimerosal

          保存条件

          Store at 4°C short term. For long term storage, store at -20°C, avoiding freeze/thaw cycles.

          运输条件

          Ambient (domestic); Wet ice (international)

          RRID

          AB_2736085

          产品详细信息

          Positive Control: Molt-4

          Predicted Reactivity: Mouse (96%), Rat (96%), Pig (95%), Sheep (95%), Bovine (95%)

          Store product as a concentrated solution. Centrifuge briefly prior to opening the vial.

          靶标信息

          LCK is a member of the Src-family tyrosine kinase, which are essential for signaling through the T-cell receptor (TCR) complex. Upon TCR triggering, LCK phosphorylates the ITAM motives in its zeta subunits establishing binding sites for the SH2 domains of the tyrosine kinase ZAP70, which is also phosphorylated by LCK and activated to generate subsequent signaling platforms by phosphorylation of adaptor LAT. The majority of LCK is localized to the plasma membrane, however, there is also a significant fraction associated with the Golgi apparatus which may contribute to Raf activation under conditions of weak stimulation through the TCR. LCK contains N-terminal sites for myristylation and palmitylation, a PTK domain, and SH2 and SH3 domains which are involved in mediating protein-protein interactions with phosphotyrosine-containing and proline-rich motifs, respectively. LCK is also involved in the regulation of apoptosis induced by various stimuli, but not by the death receptors. Diseases associated with LCK include Immunodeficiency 22 and CD45 deficiency. Alternatively splice variants of the LCK gene encoding different isoforms of the protein have been found.

          ⚠WARNING: This product can expose you to chemicals including mercury, which is known to the State of California to cause birth defects or other reproductive harm. For more information go to www.P65Warnings.ca.gov.

          仅用于科研。不用于诊断过程。未经明确授权不得转售。

          篇参考文献 (0)

          您是否在文献中引用过该产品?请点击下方按钮邮件告知我们。
          引用该产品

          生物信息学

          蛋白别名: EC 2.7.10.2; kinase Lck; Leukocyte C-terminal Src kinase; LSK; Lymphocyte cell-specific protein-tyrosine kinase; OTTHUMP00000008640; OTTHUMP00000008740; OTTHUMP00000008741; p56(LSTRA) protein-tyrosine kinase; p56-LCK; Protein YT16; Proto-oncogene Lck; Proto-oncogene tyrosine-protein kinase LCK; RP4-675E8.4; T cell-specific protein-tyrosine kinase; T-lymphocyte specific protein tyrosine kinase p56lck; tyr; Tyrosine-protein kinase Lck; unnamed protein product

          查看更多 收起

          基因别名: Hck-3; IMD22; LCK; LSK; Lsk-t; Lskt; p56; p56Lck; pp58lck; YT16

          查看更多 收起

          UniProt ID: (Human) P06239, (Mouse) P06240

          查看更多 收起

          Entrez Gene ID: (Human) 3932, (Mouse) 16818

          查看更多 收起

          功能
          nucleotide binding phosphotyrosine binding protein kinase activity protein tyrosine kinase activity non-membrane spanning protein tyrosine kinase activity protein serine/threonine phosphatase activity receptor binding protein binding ATP binding phospholipase activator activity kinase activity transferase activity protein kinase binding protein phosphatase binding SH2 domain binding T cell receptor binding CD4 receptor binding CD8 receptor binding identical protein binding phospholipase binding phosphatidylinositol 3-kinase binding ATPase binding protein antigen binding glycoprotein binding antigen binding protein C-terminus binding transferase activity, transferring phosphorus-containing groups protein complex binding
          参与通路
          protein phosphorylation activation of cysteine-type endopeptidase activity involved in apoptotic process cell surface receptor signaling pathway transmembrane receptor protein tyrosine kinase signaling pathway response to mechanical stimulus response to metal ion positive regulation of gene expression phosphorylation dephosphorylation peptidyl-tyrosine phosphorylation T cell differentiation peptidyl-tyrosine autophosphorylation regulation of cell proliferation response to drug positive regulation of tyrosine phosphorylation of Stat5 protein response to hydrogen peroxide regulation of apoptotic process innate immune response positive regulation of gamma-delta T cell differentiation protein autophosphorylation B cell receptor signaling pathway regulation of T cell receptor signaling pathway positive regulation of T cell activation release of sequestered calcium ion into cytosol positive regulation of uterine smooth muscle contraction cellular response to peptide hormone stimulus positive regulation of intrinsic apoptotic signaling pathway immune response-activating cell surface receptor signaling pathway cellular zinc ion homeostasis response to xenobiotic stimulus hemopoiesis platelet activation T cell costimulation positive regulation of heterotypic cell-cell adhesion intracellular signal transduction Fc-gamma receptor signaling pathway T cell activation gamma-delta T cell differentiation positive regulation of MAPK cascade regulation of regulatory T cell differentiation T cell receptor signaling pathway positive regulation of T cell receptor signaling pathway leukocyte migration positive regulation of multicellular organismal process regulation of lymphocyte activation CD27 signaling pathway positive regulation of leukocyte cell-cell adhesion
          It has to be done as per old AB suggested Products section.

          Disclaimer

          Close

          Clicking the images or links will redirect you to a website hosted by BenchSci that provides third-party scientific content. Neither the content nor the BenchSci technology and processes for selection have been evaluated by us; we are providing them as-is and without warranty of any kind, including for use or application of the Thermo Fisher Scientific products presented.

          guarantee_icon

          性能保障

          只要您发现Invitrogen抗体在实验中的表现与网站或说明书的所述内容不符,您即可享受免费退换货服务。*

          了解更多
          help_icon

          随时为您服务

          获取常见问题的专家解答,或者直接联系我们的技术专家,咨询应用、设备、常规产品使用问题。

          联系技术支持
          订购 Plus Icon Minus Icon
          • 订单状态查询
          • 订单支持
          • 货号直购
          • 现货供应中心
          • 电子采购
          支持 Plus Icon Minus Icon
          • 帮助&支持
          • 联系我们 - 400 820 8982
          • 技术支持中心
          • 查找文件&证书
          • 报告网站问题
          资源 Plus Icon Minus Icon
          • 学习中心
          • 促销
          • 活动&研讨会
          • 社交媒体
          关于赛默飞 Plus Icon Minus Icon
          • 关于我们
          • 招聘 招聘
          • 投资者关系 投资者关系
          • 新闻 新闻
          • 社会责任 社会责任
          • 商标
          • 政策和通知
          品牌 Plus Icon Minus Icon
          • Thermo Scientific
          • Applied Biosystems
          • Invitrogen
          • Gibco
          • Ion Torrent
          • Unity Lab Services
          • Patheon
          • PPD
          • 服务条款
          • 隐私政策
          • 定价和运输保险政策
          © 2006-2026 Thermo Fisher Scientific Inc. All rights reserved. All trademarks are the property of Thermo Fisher Scientific and its subsidiaries unless otherwise specified.
          China flag icon
          China
          本网站销售的所有产品均不得用于人类或动物之临床诊断或治疗,仅可用于工业或者科研等非医疗目的。
             电子营业执照 | 经营证照公示 | ICP备案号:沪ICP备11003924号 | 沪公网安备 31011502006935号

          Your items have has been added!


          Host server : magellan-search-green-6479c7f679-v472f:80/100.66.78.195:80.
          git-commit: b70c0dceb888abc3b0dcebb5bc3a5b8753e7e816
          git-url: https://github.com/thermofisher/magellan-search
          git-branch: release/2.50.0-Offline