Hamburger Menu Button
Thermo Fisher Scientific Logo
登录
没有账号?建立账号 注册
  • 产品
    • 抗体
    • 引物合成
    • GeneArt Gene Synthesis Instant Designer
    • TaqMan Assay and Array Search
    • PCR 设备和耗材
    • 色谱柱和纯化柱
    • 实验室离心机
    • 分子生物学试剂和试剂盒
    • 实验室塑料耗材及用品
    • 查看所有产品分类
  • 应用和技术
    • 色谱
    • 细胞转染和培养
    • 实时荧光定量PCR
    • 质谱
    • 实验室塑料耗材及用品
    • 电子显微镜
    • 蛋白质生物学
    • PCR
    • RNAi
    • 环境
    • 查看所有应用和技术
  • 服务
    • 定制服务
    • 企业级实验室信息化服务
    • 企业服务
    • 金融&租赁服务
    • 仪器服务
    • OEM和商业供应
    • 培训服务
    • 360° CDMO 和 CRO 服务
    • CDMO 服务
    • 临床试验 CRO 服务
    • 查看所有帮助和支持
  • 帮助和支持
    • 学习中心
    • 联系我们
    • 更改国家或地区
    • 查看所有帮助和支持
  • 热门产品
    • TaqMan Real-Time PCR Assays
      TaqMan 实时荧光定量 PCR 试剂盒
    • Antibodies
      抗体
    • Oligos, Primers & Probes
      寡核苷酸、引物、探针
    • GeneArt Gene Synthesis
      GeneArt 基因合成
    • Cell Culture Plastics
      细胞培养耗材
  • 联系我们
  • 货号直购
  • 订单查询
  • 查找文件&证书
Thermo Fisher Scientific Logo

Search

搜索全部或下列指定分类
Search button
          • 联系我们
          • 货号直购
          • 登录
            登录
            没有账号?建立账号 注册
            • 我的账号
            • 订单
            • 账单及发票查询
            • 定制产品及项目

          Disclaimer

          Clicking the images or links will redirect you to a website hosted by BenchSci that provides third-party scientific content. Neither the content nor the BenchSci technology and processes for selection have been evaluated by us; we are providing them as-is and without warranty of any kind, including for use or application of the Thermo Fisher Scientific products presented.

          • Primary Antibodies ›
          • LIPC Antibodies

          Invitrogen

          LIPC Polyclonal Antibody

          查看其他4个LIPC抗体

          {{$productOrderCtrl.translations['antibody.pdp.commerceCard.promotion.promotions']}}

          {{$productOrderCtrl.translations['antibody.pdp.commerceCard.promotion.viewpromo']}}

          {{$productOrderCtrl.translations['antibody.pdp.commerceCard.promotion.promocode']}}: {{promo.promoCode}} {{promo.promoTitle}} {{promo.promoDescription}}. {{$productOrderCtrl.translations['antibody.pdp.commerceCard.promotion.learnmore']}}

          说明书
          证书
          实验方案
          问题与答案
          技术支持
          说明书
          证书
          实验方案
          问题与答案
          技术支持
          说明书
          证书
          实验方案
          问题与答案
          技术支持

          Cite LIPC Polyclonal Antibody

          Additional Information:
          {{banner.description}}
          {{$ctrl.isSkuNotesCollapsed ? 'View more' : 'View less'}}
          • 抗体检测数据 (2)
          LIPC Antibody in Immunohistochemistry (Paraffin) (IHC (P))
          Group 53 Created with Sketch.
          LIPC Antibody in Immunohistochemistry (Paraffin) (IHC (P))
          Group 53 Created with Sketch.

          图: 1 / 2

          {{ $ctrl.currentElement.advancedVerification.fullName }}
          {{ $ctrl.currentElement.advancedVerification.text }}

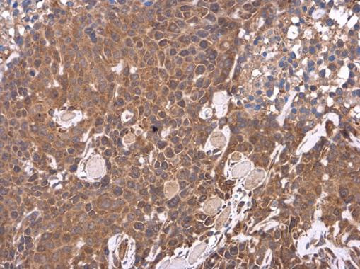
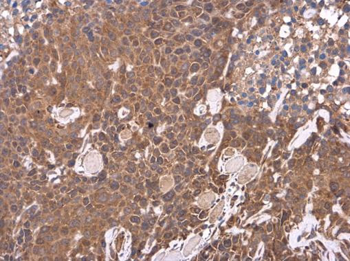
          LIPC Antibody (PA5-78040) in IHC (P)

          LIPC Polyclonal Antibody detects Hepatic lipase protein at cytoplasm in Hep G2 xenograft by immunohistochemical analysis. Sample: Paraffin-embedded Hep G2 xenograft. LIPC Polyclonal Antibody (Product # PA5-78040) diluted at 1:500. Antigen Retrieval: Citrate buffer, pH 6.0, 15 min. {{ $ctrl.currentElement.advancedVerification.fullName }} 验证信息 View more
          已发表图片由___提供 benchsci-logo
          PMID: {{$ctrl.currentElement.benchSciPubmedId}}
          查看产品

          {{$ctrl.videoDesc}}

          {{$ctrl.videoLongDesc}}

          LIPC Antibody in Immunohistochemistry (Paraffin) (IHC (P))
          LIPC Antibody in Western Blot (WB)

          产品信息

          PA5-78040

          应用
          建议稀释比
          已发表文章

          免疫印迹 (WB)

          1:500-1:3,000
          -

          免疫组化(石蜡) (IHC (P))

          1:100-1:1,000
          -
          产品规格

          种属反应

          Human

          宿主/亚型

          Rabbit / IgG

          分类

          Polyclonal

          类型

          Antibody

          抗原

          Recombinant protein encompassing a sequence within the center region of human Hepatic lipase. The exact sequence is proprietary.

          偶联物

          Unconjugated Unconjugated Unconjugated

          形式

          Liquid

          浓度

          1 mg/mL

          纯化类型

          Antigen affinity chromatography

          保存液

          0.1M tris glycine, pH 7, with 10% glycerol

          内含物

          0.01% thimerosal

          保存条件

          Store at 4°C short term. For long term storage, store at -20°C, avoiding freeze/thaw cycles.

          运输条件

          Ambient (domestic); Wet ice (international)

          RRID

          AB_2736091

          产品详细信息

          Positive Control: HepG2

          Predicted Reactivity: Mouse (81%), Dog (82%), Pig (80%), Rabbit (82%)

          Store product as a concentrated solution. Centrifuge briefly prior to opening the vial.

          靶标信息

          The Lipase family belongs to one of the most robust genetic superfamilies found in living organisms that includes esterases and thioesterases. Lipase gene products are related by tertiary structure rather than primary amino acid sequence. Balancing the composition and the transport of lipoproteins in human plasma is essential for normal body function and is mediated in part by Hepatic Lipase, also known as HL or LIPC. Rare deficiencies in Hepatic Lipase have been identified in humans which lead to pathologic levels of circulating lipoprotein particles; this condition is associated with coronary artery disease (CAD). Hepatic Lipase is regulated by thyroid hormones and has a dual function as a triglyceride hydrolase and a ligand/bridging factor for receptor-mediated lipoprotein uptake. Hepatic Lipase localizes to the endothelial surfaces of extrahepatic tissues.

          ⚠WARNING: This product can expose you to chemicals including mercury, which is known to the State of California to cause birth defects or other reproductive harm. For more information go to www.P65Warnings.ca.gov.

          仅用于科研。不用于诊断过程。未经明确授权不得转售。

          篇参考文献 (0)

          您是否在文献中引用过该产品?请点击下方按钮邮件告知我们。
          引用该产品

          生物信息学

          蛋白别名: hepatic lipase; Hepatic triacylglycerol lipase; HL; Lipase member C; lipase, hepatic; Lysophospholipase; Phospholipase A1; Triacylglycerol lipase

          查看更多 收起

          基因别名: HDLCQ12; HL; HTGL; LIPC; LIPH

          查看更多 收起

          UniProt ID: (Human) P11150

          查看更多 收起

          Entrez Gene ID: (Human) 3990

          查看更多 收起

          功能
          phospholipase activity lysophospholipase activity triglyceride lipase activity heparin binding lipid binding phosphatidylcholine 1-acylhydrolase activity transferase activity, transferring acyl groups low-density lipoprotein particle binding apolipoprotein binding heparan sulfate proteoglycan binding acylglycerol lipase activity lipase
          参与通路
          response to hypoxia liver development fatty acid biosynthetic process phosphatidylserine metabolic process circadian rhythm cholesterol metabolic process response to carbohydrate response to acetate heparan sulfate proteoglycan biosynthetic process triglyceride catabolic process response to nutrient levels response to magnesium ion cellular response to hormone stimulus chylomicron remodeling very-low-density lipoprotein particle remodeling intermediate-density lipoprotein particle remodeling low-density lipoprotein particle remodeling high-density lipoprotein particle remodeling chylomicron remnant clearance low-density lipoprotein particle clearance phosphatidylcholine catabolic process response to drug cholesterol homeostasis response to amino acid response to peptide hormone reverse cholesterol transport lipid digestion phosphatidylethanolamine metabolic process phosphatidic acid metabolic process glycerophospholipid catabolic process response to copper ion developmental growth protein oligomerization response to glucocorticoid response to calcium ion triglyceride homeostasis response to fatty acid
          It has to be done as per old AB suggested Products section.
          guarantee_icon

          性能保障

          只要您发现Invitrogen抗体在实验中的表现与网站或说明书的所述内容不符,您即可享受免费退换货服务。*

          了解更多
          help_icon

          随时为您服务

          获取常见问题的专家解答,或者直接联系我们的技术专家,咨询应用、设备、常规产品使用问题。

          联系技术支持
          订购 Plus Icon Minus Icon
          • 订单状态查询
          • 订单支持
          • 货号直购
          • 现货供应中心
          • 电子采购
          支持 Plus Icon Minus Icon
          • 帮助&支持
          • 联系我们 - 400 820 8982
          • 技术支持中心
          • 查找文件&证书
          • 报告网站问题
          资源 Plus Icon Minus Icon
          • 学习中心
          • 促销
          • 活动&研讨会
          • 社交媒体
          关于赛默飞 Plus Icon Minus Icon
          • 关于我们
          • 招聘 招聘
          • 投资者关系 投资者关系
          • 新闻 新闻
          • 社会责任 社会责任
          • 商标
          • 政策和通知
          品牌 Plus Icon Minus Icon
          • Thermo Scientific
          • Applied Biosystems
          • Invitrogen
          • Gibco
          • Ion Torrent
          • Patheon
          • PPD
          • 服务条款
          • 隐私政策
          • 定价和运输保险政策
          © 2006-2026 Thermo Fisher Scientific Inc. All rights reserved. All trademarks are the property of Thermo Fisher Scientific and its subsidiaries unless otherwise specified.
          China flag icon
          China
          本网站销售的所有产品均不得用于人类或动物之临床诊断或治疗,仅可用于工业或者科研等非医疗目的。
             电子营业执照 | 经营证照公示 | ICP备案号:沪ICP备11003924号 | 沪公网安备 31011502006935号

          Your items have has been added!


          Host server : magellan-search-blue-55ff9ddd88-ctdjb:80/100.66.76.55:80.
          git-commit: d366ff9721d93504b2ac26a183b2b3e3d0e7d9ec
          git-url: https://github.com/thermofisher/magellan-search
          git-branch: release/2.42.0-2026.01.03-1.0