Hamburger Menu Button
Thermo Fisher Scientific Logo
登录
没有账号?建立账号 注册
  • 产品
    • 抗体
    • 引物合成
    • GeneArt Gene Synthesis Instant Designer
    • TaqMan Assay and Array Search
    • PCR 设备和耗材
    • 色谱柱和纯化柱
    • 实验室离心机
    • 分子生物学试剂和试剂盒
    • 实验室塑料耗材及用品
    • 查看所有产品分类
  • 应用和技术
    • 色谱
    • 细胞转染和培养
    • 实时荧光定量PCR
    • 质谱
    • 实验室塑料耗材及用品
    • 电子显微镜
    • 蛋白质生物学
    • PCR
    • RNAi
    • 环境
    • 查看所有应用和技术
  • 服务
    • 定制服务
    • 企业级实验室信息化服务
    • 企业服务
    • 金融&租赁服务
    • 仪器服务
    • OEM和商业供应
    • 培训服务
    • 360° CDMO 和 CRO 服务
    • CDMO 服务
    • 临床试验 CRO 服务
    • 查看所有帮助和支持
  • 帮助和支持
    • 学习中心
    • 联系我们
    • 更改国家或地区
    • 查看所有帮助和支持
  • 热门产品
    • TaqMan Real-Time PCR Assays
      TaqMan 实时荧光定量 PCR 试剂盒
    • Antibodies
      抗体
    • Oligos, Primers & Probes
      寡核苷酸、引物、探针
    • GeneArt Gene Synthesis
      GeneArt 基因合成
    • Cell Culture Plastics
      细胞培养耗材
  • 联系我们
  • 货号直购
  • 订单查询
  • 查找文件&证书
Thermo Fisher Scientific Logo

Search

搜索全部或下列指定分类
Search button
          • 联系我们
          • 货号直购
          • 登录
            登录
            没有账号?建立账号 注册
            • 我的账号
            • 订单
            • 账单及发票查询
            • 定制产品及项目

          Disclaimer

          Clicking the images or links will redirect you to a website hosted by BenchSci that provides third-party scientific content. Neither the content nor the BenchSci technology and processes for selection have been evaluated by us; we are providing them as-is and without warranty of any kind, including for use or application of the Thermo Fisher Scientific products presented.

          • Primary Antibodies ›
          • LRP6 Antibodies

          Invitrogen

          LRP6 Monoclonal Antibody (A5E7)

          查看其他22个LRP6抗体

          {{$productOrderCtrl.translations['antibody.pdp.commerceCard.promotion.promotions']}}

          {{$productOrderCtrl.translations['antibody.pdp.commerceCard.promotion.viewpromo']}}

          {{$productOrderCtrl.translations['antibody.pdp.commerceCard.promotion.promocode']}}: {{promo.promoCode}} {{promo.promoTitle}} {{promo.promoDescription}}. {{$productOrderCtrl.translations['antibody.pdp.commerceCard.promotion.learnmore']}}

          说明书
          实验方案
          问题与答案
          技术支持
          说明书
          实验方案
          问题与答案
          技术支持
          说明书
          实验方案
          问题与答案
          技术支持

          Cite LRP6 Monoclonal Antibody (A5E7)

          • 抗体检测数据 (2)
          LRP6 Antibody in Immunohistochemistry (Paraffin) (IHC (P))
          Group 53 Created with Sketch.
          LRP6 Antibody in Immunohistochemistry (Paraffin) (IHC (P))
          Group 53 Created with Sketch.

          图: 1 / 2

          {{ $ctrl.currentElement.advancedVerification.fullName }}
          {{ $ctrl.currentElement.advancedVerification.text }}

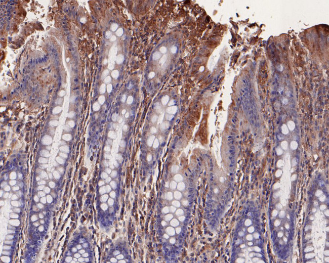
          LRP6 Antibody (MA5-42555) in IHC (P)

          Immunohistochemistry (Paraffin) analysis of paraffin-embedded human colon tissue using LRP6 Monoclonal Antibody (Product # MA5-42555). The section was pre-treated using heat mediated antigen retrieval with Tris-EDTA buffer (pH 9.0) for 20 minutes. The tissues were blocked in 1% BSA for 30 minutes at room temperature, washed with ddH2O and PBS, and then probed with the LRP6 antibody at a dilution of 1:100 fo... View More {{ $ctrl.currentElement.advancedVerification.fullName }} 验证信息 View more
          已发表图片由___提供 benchsci-logo
          PMID: {{$ctrl.currentElement.benchSciPubmedId}}
          查看产品

          {{$ctrl.videoDesc}}

          {{$ctrl.videoLongDesc}}

          LRP6 Antibody in Immunohistochemistry (Paraffin) (IHC (P))
          LRP6 Antibody in Western Blot (WB)
          LRP6 Monoclonal Antibody (A5E7)

          产品信息

          MA5-42555

          应用
          建议稀释比
          已发表文章

          免疫印迹 (WB)

          1:500-1:2,000
          -

          免疫组化(石蜡) (IHC (P))

          1:50-1:200
          -
          产品规格

          种属反应

          Human

          宿主/亚型

          Mouse / IgG2b

          分类

          Monoclonal

          类型

          Antibody

          克隆号

          A5E7

          抗原

          Recombinant protein within human LRP6 aa 100-300/1613
          查看免疫原

          偶联物

          Unconjugated Unconjugated Unconjugated

          形式

          Liquid

          浓度

          2 mg/mL

          纯化类型

          Protein G

          保存液

          TBS, pH 7.4, with 50% glycerol, 0.2% BSA

          内含物

          0.05% sodium azide

          保存条件

          Store at 4°C short term. For long term storage, store at -20°C, avoiding freeze/thaw cycles.

          运输条件

          Ambient (domestic); Wet ice (international)

          RRID

          AB_2911696

          产品详细信息

          Positive Control: Hela cell lysates, human colon tissue.

          Subcellular Location: Endoplasmic reticulum, Cell membrane, Membrane raft.

          靶标信息

          LRP6 is essential for the Wnt/beta catenin signaling pathway, probably by acting as a coreceptor together with Frizzled for Wnt. It is a specific, high-affinity receptor for DKK1 and DKK2, but not DKK3. The interaction with DKK1 blocks LRP6-mediated Wnt/beta catenin signaling via LRP6 removal via Kremen proteins-mediated endocytosis.

          仅用于科研。不用于诊断过程。未经明确授权不得转售。

          篇参考文献 (0)

          您是否在文献中引用过该产品?请点击下方按钮邮件告知我们。
          引用该产品

          生物信息学

          蛋白别名: FLJ90062; FLJ90421; low density lipoprotein receptor-related protein 6; Low-density lipoprotein receptor-related protein 6; lpr6; LRP-6

          查看更多 收起

          基因别名: ADCAD2; LRP6; STHAG7

          查看更多 收起

          UniProt ID: (Human) O75581

          查看更多 收起

          Entrez Gene ID: (Human) 4040

          查看更多 收起

          功能
          low-density lipoprotein receptor activity receptor binding frizzled binding protein binding Wnt-protein binding kinase inhibitor activity toxin transporter activity apolipoprotein binding identical protein binding protein homodimerization activity Wnt-activated receptor activity coreceptor activity involved in Wnt signaling pathway coreceptor activity involved in canonical Wnt signaling pathway apolipoprotein
          参与通路
          neural tube closure negative regulation of protein phosphorylation pericardium morphogenesis negative regulation of protein kinase activity positive regulation of cytosolic calcium ion concentration chemical synaptic transmission embryonic pattern specification neural crest formation neural crest cell differentiation Wnt signaling pathway single organismal cell-cell adhesion cerebellum morphogenesis thalamus development cerebral cortex development midbrain-hindbrain boundary development negative regulation of smooth muscle cell apoptotic process external genitalia morphogenesis odontogenesis of dentin-containing tooth response to peptide hormone Wnt signaling pathway involved in dorsal/ventral axis specification canonical Wnt signaling pathway involved in neural crest cell differentiation canonical Wnt signaling pathway involved in regulation of cell proliferation positive regulation of cell cycle positive regulation of transcription, DNA-templated positive regulation of transcription from RNA polymerase II promoter positive regulation of sequence-specific DNA binding transcription factor activity palate development convergent extension embryonic retina morphogenesis in camera-type eye canonical Wnt signaling pathway face morphogenesis trachea cartilage morphogenesis cellular response to cholesterol dopaminergic neuron differentiation negative regulation of protein serine/threonine kinase activity protein localization to plasma membrane primitive streak formation negative regulation of canonical Wnt signaling pathway receptor-mediated endocytosis of low-density lipoprotein particle involved in cholesterol transport Wnt signaling pathway involved in somitogenesis axis elongation involved in somitogenesis positive regulation of canonical Wnt signaling pathway toxin transport beta-catenin destruction complex disassembly midbrain dopaminergic neuron differentiation Wnt signaling pathway involved in midbrain dopaminergic neuron differentiation positive regulation of Wnt signaling pathway involved in dorsal/ventral axis specification
          It has to be done as per old AB suggested Products section.
          guarantee_icon

          性能保障

          只要您发现Invitrogen抗体在实验中的表现与网站或说明书的所述内容不符,您即可享受免费退换货服务。*

          了解更多
          help_icon

          随时为您服务

          获取常见问题的专家解答,或者直接联系我们的技术专家,咨询应用、设备、常规产品使用问题。

          联系技术支持
          订购 Plus Icon Minus Icon
          • 订单状态查询
          • 订单支持
          • 货号直购
          • 现货供应中心
          • 电子采购
          支持 Plus Icon Minus Icon
          • 帮助&支持
          • 联系我们 - 400 820 8982
          • 技术支持中心
          • 查找文件&证书
          • 报告网站问题
          资源 Plus Icon Minus Icon
          • 学习中心
          • 促销
          • 活动&研讨会
          • 社交媒体
          关于赛默飞 Plus Icon Minus Icon
          • 关于我们
          • 招聘 招聘
          • 投资者关系 投资者关系
          • 新闻 新闻
          • 社会责任 社会责任
          • 商标
          • 政策和通知
          品牌 Plus Icon Minus Icon
          • Thermo Scientific
          • Applied Biosystems
          • Invitrogen
          • Gibco
          • Ion Torrent
          • Patheon
          • PPD
          • 服务条款
          • 隐私政策
          • 定价和运输保险政策
          © 2006-2026 Thermo Fisher Scientific Inc. All rights reserved. All trademarks are the property of Thermo Fisher Scientific and its subsidiaries unless otherwise specified.
          China flag icon
          China
          本网站销售的所有产品均不得用于人类或动物之临床诊断或治疗,仅可用于工业或者科研等非医疗目的。
             电子营业执照 | 经营证照公示 | ICP备案号:沪ICP备11003924号 | 沪公网安备 31011502006935号

          Your items have has been added!


          Host server : magellan-search-green-55658555d6-lgjf9:80/100.66.79.224:80.
          git-commit: ec8e7df5f8fec8d765bd419205f1b5046a016d37
          git-url: https://github.com/thermofisher/magellan-search
          git-branch: release/2.41.0-Offline