Hamburger Menu Button
Thermo Fisher Scientific Logo
登录
没有账号?建立账号 注册
  • 产品
    • 抗体
    • 引物合成
    • GeneArt Gene Synthesis Instant Designer
    • TaqMan Assay and Array Search
    • PCR 设备和耗材
    • 色谱柱和纯化柱
    • 实验室离心机
    • 分子生物学试剂和试剂盒
    • 实验室塑料耗材及用品
    • 查看所有产品分类
  • 应用和技术
    • 色谱
    • 细胞转染和培养
    • 实时荧光定量PCR
    • 质谱
    • 实验室塑料耗材及用品
    • 电子显微镜
    • 蛋白质生物学
    • PCR
    • RNAi
    • 环境
    • 查看所有应用和技术
  • 服务
    • 定制服务
    • 企业级实验室信息化服务
    • 企业服务
    • 金融&租赁服务
    • 仪器服务
    • OEM和商业供应
    • 培训服务
    • 360° CDMO 和 CRO 服务
    • CDMO 服务
    • 临床试验 CRO 服务
    • 查看所有帮助和支持
  • 帮助和支持
    • 学习中心
    • 联系我们
    • 更改国家或地区
    • 查看所有帮助和支持
  • 热门产品
    • TaqMan Real-Time PCR Assays
      TaqMan 实时荧光定量 PCR 试剂盒
    • Antibodies
      抗体
    • Oligos, Primers & Probes
      寡核苷酸、引物、探针
    • GeneArt Gene Synthesis
      GeneArt 基因合成
    • Cell Culture Plastics
      细胞培养耗材
  • 联系我们
  • 货号直购
  • 订单查询
  • 查找文件&证书
Thermo Fisher Scientific Logo

Search

搜索全部或下列指定分类
Search button
          • 联系我们
          • 货号直购
          • 登录
            登录
            没有账号?建立账号 注册
            • 我的账号
            • 订单
            • 账单及发票查询
            • 定制产品及项目

          Disclaimer

          Clicking the images or links will redirect you to a website hosted by BenchSci that provides third-party scientific content. Neither the content nor the BenchSci technology and processes for selection have been evaluated by us; we are providing them as-is and without warranty of any kind, including for use or application of the Thermo Fisher Scientific products presented.

          • Primary Antibodies ›
          • LYVE1 Antibodies

          Invitrogen

          LYVE1 Monoclonal Antibody (ALY7), Alexa Fluor™ 488, eBioscience™

          36个已发表图片
          59 篇参考文献
          查看其他30个LYVE1抗体

          {{$productOrderCtrl.translations['antibody.pdp.commerceCard.promotion.promotions']}}

          {{$productOrderCtrl.translations['antibody.pdp.commerceCard.promotion.viewpromo']}}

          {{$productOrderCtrl.translations['antibody.pdp.commerceCard.promotion.promocode']}}: {{promo.promoCode}} {{promo.promoTitle}} {{promo.promoDescription}}. {{$productOrderCtrl.translations['antibody.pdp.commerceCard.promotion.learnmore']}}

          说明书
          实验方案
          问题与答案
          技术支持
          说明书
          实验方案
          问题与答案
          技术支持
          说明书
          实验方案
          问题与答案
          技术支持

          Cite LYVE1 Monoclonal Antibody (ALY7), Alexa Fluor™ 488, eBioscience™

          • 抗体检测数据 (1)
          • 已发表图片 (36)
          LYVE1 Antibody in Flow Cytometry (Flow)
          Group 53 Created with Sketch.
          LYVE1 Antibody in Flow Cytometry (Flow)
          Group 53 Created with Sketch.

          图: 1 / 37

          {{ $ctrl.currentElement.advancedVerification.fullName }}
          {{ $ctrl.currentElement.advancedVerification.text }}

          LYVE1 Antibody (53-0443-82) in Flow

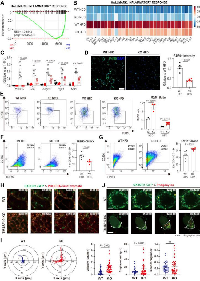
          Nature communications 2024 - Fig. 5 TM4SF19 deletion reduces HFD-induced inflammatory responses of adipose tissue. A GSEA showing enrichment in inflammatory response (NES = -1.916643, adjusted p -value = 1.556454e-03) by genes significantly contributed to all cells of GWAT of WT HFD and TM4SF19 KO HFD mice. Among the variable genes ordered according to WT HFD and TM4SF19 KO HFD group loading, genes associated with the inflammatory resp... View More {{ $ctrl.currentElement.advancedVerification.fullName }} 验证信息 View more
          已发表图片由___提供 benchsci-logo
          PMID: {{$ctrl.currentElement.benchSciPubmedId}}
          查看产品

          {{$ctrl.videoDesc}}

          {{$ctrl.videoLongDesc}}

          LYVE1 Antibody in Immunohistochemistry (Frozen) (IHC (F))
          LYVE1 Antibody in Immunohistochemistry (IHC)
          LYVE1 Antibody in Immunocytochemistry (ICC/IF)
          LYVE1 Antibody in Immunocytochemistry (ICC/IF)
          LYVE1 Antibody in Immunocytochemistry (ICC/IF)
          LYVE1 Antibody in Immunocytochemistry (ICC/IF)
          LYVE1 Antibody in Immunohistochemistry, Immunocytochemistry (IHC, ICC/IF)
          LYVE1 Antibody in Immunohistochemistry, Immunocytochemistry (IHC, ICC/IF)
          LYVE1 Antibody in Immunohistochemistry, Immunocytochemistry (IHC, ICC/IF)
          LYVE1 Antibody in Immunohistochemistry (IHC)
          LYVE1 Antibody in Immunohistochemistry (IHC)
          LYVE1 Antibody in Immunohistochemistry (IHC)
          LYVE1 Antibody in Immunohistochemistry (IHC)
          LYVE1 Antibody in Immunohistochemistry (IHC)
          LYVE1 Antibody in Immunohistochemistry (IHC)
          LYVE1 Antibody in Immunohistochemistry (IHC)
          LYVE1 Antibody in Immunohistochemistry (IHC)
          LYVE1 Antibody in Immunohistochemistry, Flow Cytometry (IHC, Flow)
          LYVE1 Antibody in Immunohistochemistry (IHC)
          LYVE1 Antibody in Immunohistochemistry (IHC)
          LYVE1 Antibody in Immunohistochemistry (IHC)
          LYVE1 Antibody in Immunohistochemistry (IHC)
          LYVE1 Antibody in Immunohistochemistry (IHC)
          LYVE1 Antibody in Immunohistochemistry (IHC)
          LYVE1 Antibody in Immunohistochemistry (IHC)
          LYVE1 Antibody in Immunohistochemistry (IHC)
          LYVE1 Antibody in Western Blot (WB)
          LYVE1 Antibody in Flow Cytometry (Flow)
          LYVE1 Antibody in Flow Cytometry (Flow)
          LYVE1 Antibody in Flow Cytometry (Flow)
          LYVE1 Antibody in Flow Cytometry (Flow)
          LYVE1 Antibody in Flow Cytometry (Flow)
          LYVE1 Antibody in Flow Cytometry (Flow)
          LYVE1 Antibody in Flow Cytometry (Flow)
          LYVE1 Antibody in Flow Cytometry (Flow)
          LYVE1 Antibody in Flow Cytometry (Flow)
          LYVE1 Antibody in Flow Cytometry (Flow)

          产品信息

          53-0443-82

          应用
          建议稀释比
          已发表文章

          免疫印迹 (WB)

          -
          查看1篇已发表文章 1篇已发表文章

          免疫组化 (IHC)

          -
          查看27篇已发表文章 27篇已发表文章

          免疫组化(冰冻) (IHC (F))

          Assay-Dependent
          查看4篇已发表文章 4篇已发表文章

          免疫细胞化学 (ICC/IF)

          Assay-Dependent
          查看8篇已发表文章 8篇已发表文章

          流式细胞分析 (Flow)

          Assay-Dependent
          查看19篇已发表文章 19篇已发表文章
          产品规格

          种属反应

          Mouse

          已发表种属

          C. elegans, Mouse

          宿主/亚型

          Rat / IgG1, kappa

          推荐的同型对照

          Rat IgG1 kappa Isotype Control (eBRG1), Alexa Fluor™ 488, eBioscience™

          分类

          Monoclonal

          类型

          Antibody

          克隆号

          ALY7

          偶联物

          Alexa Fluor™ 488 Alexa Fluor™ 488 Alexa Fluor™ 488
          • Unconjugated
          • Biotin 
          • eFluor 450
          • eFluor 570
          • eFluor 615
          • eFluor 660
          • PE 
          • PE-Cyanine7
          • Request custom conjugation

          激发/发射光谱

          499/520 nm 查看光谱 spectra

          形式

          Liquid

          浓度

          0.5 mg/mL

          纯化类型

          Affinity chromatography

          保存液

          PBS, pH 7.2

          内含物

          0.09% sodium azide

          保存条件

          4°C, store in dark, DO NOT FREEZE!

          运输条件

          Ambient (domestic); Wet ice (international)

          RRID

          AB_1633415

          产品详细信息

          Description: The monoclonal antibody ALY7 recognizes mouse LYVE-1, a transmembrane glycoprotein with similarity to CD44. The extracellular domain contains a conserved hyaluronan binding domain also found in CD44. Expression is found on lymphatic and liver endothelial cells and some populations of macrophages. The lymphatic system is responsible for transporting proteins and cells (especially dendritic cells) to tissues throughout the body, thereby acting as immune surveyors. LYVE-1 is one characteristic protein, along with podoplanin, PROX-1, Tie-2 and VEGFR-3, that is expressed on lymphatic endothelial cells (LECS). The ligand for LYVE-1 is hyaluronan, a large mucopolysaccharide. Although LYVE-1 can bind hyaluronan in vitro, the site for ligand binding in vivo is masked by sialyated O-linked glycan chains. It is postulated that binding to ligand requires modification/unmasking to expose the binding site. The development and remodeling of the endothelium after injury is an area of extensive study. When transplanted, hematopoietic stem cells (HSCs) can give rise to LECs that integrate into the endothelium in normal and metastatic tissue.

          Applications Reported: This ALY7 antibody has been reported for use in flow cytometric analysis and immunohistologic staining of frozen tissue sections.

          Applications Tested: This ALY7 antibody has been tested by immunofluorescence microscopy on mouse intestine. This can be used at less than or equal to 2 µg/mL. It is recommended that the antibody be carefully titrated for optimal performance in the assay of interest.

          Excitation: 488 nm; Emission: 519 nm; Laser: Blue Laser.

          Filtration: 0.2 µm post-manufacturing filtered.

          靶标信息

          LYVE1 has been identified as a major receptor for HA (extracellular matrix glycosaminoglycan hyaluronan) on the lymph vessel wall. The deduced amino acid sequence of LYVE1 predicts a 322-residue type I integral membrane polypeptide 41% similar to the CD44 HA receptor with a 212-residue extracellular domain containing a single Link module, the prototypic HA binding domain of the Link protein superfamily. Like CD44, the LYVE1 molecule binds both soluble and immobilized HA. However, unlike CD44, the LYVE1 molecule colocalizes with HA on the luminal face of the lymph vessel wall and is completely absent from blood vessels. Hence, LYVE1 is the first lymph-specific HA receptor to be characterized and is a uniquely powerful marker for lymph vessels themselves. LYVE1 is a type I integral membrane glycoprotein. LYVE-1 is expressed primarily on lymphatic vessel endothelium and is likely to be involved in regulating the traffic of leucocytes and tumor cells to lymph nodes. The lymphatic vasculature forms a second circulatory system that drains extracellular fluid from the tissues and provides an exclusive environment in which immune cells can encounter and respond to foreign antigen. A number of molecules have been identified as markers for lymphatic endothelium which include LYVE1, PALE, VEGFR3, and podoplanin. Diseases associated with LYVE1 dysfunction includes Complete Androgen Insensitivity Syndrome.

          仅用于科研。不用于诊断过程。未经明确授权不得转售。

          How to use the Panel Builder

          Watch the video to learn how to use the Invitrogen Flow Cytometry Panel Builder to build your next flow cytometry panel in 5 easy steps.

          生物信息学

          蛋白别名: cell surface retention sequence binding protein-1; Cell surface retention sequence-binding protein 1; CRSBP-1; extra cellular link domain-containing 1; Extracellular link domain-containing protein 1; lymphatic vessel endothelial HA receptor-1; lymphatic vessel endothelial HA recptor-1; Lymphatic vessel endothelial hyaluronic acid receptor 1; LYVE-1; sLyve 1; sLyve1; soluble LYVE 1; soluble LYVE1

          查看更多 收起

          基因别名: 1200012G08Rik; Crsbp-1; Crsbp1; Lyve-1; Lyve1; Xlkd1

          查看更多 收起

          UniProt ID: (Mouse) Q8BHC0

          查看更多 收起

          Entrez Gene ID: (Mouse) 114332

          查看更多 收起

          功能
          transmembrane signaling receptor activity hyaluronic acid binding transmembrane signal receptor
          参与通路
          glycosaminoglycan catabolic process transport cell adhesion signal transduction
          It has to be done as per old AB suggested Products section.
          guarantee_icon

          性能保障

          只要您发现Invitrogen抗体在实验中的表现与网站或说明书的所述内容不符,您即可享受免费退换货服务。*

          了解更多
          help_icon

          随时为您服务

          获取常见问题的专家解答,或者直接联系我们的技术专家,咨询应用、设备、常规产品使用问题。

          联系技术支持
          订购 Plus Icon Minus Icon
          • 订单状态查询
          • 订单支持
          • 货号直购
          • 现货供应中心
          • 电子采购
          支持 Plus Icon Minus Icon
          • 帮助&支持
          • 联系我们 - 400 820 8982
          • 技术支持中心
          • 查找文件&证书
          • 报告网站问题
          资源 Plus Icon Minus Icon
          • 学习中心
          • 促销
          • 活动&研讨会
          • 社交媒体
          关于赛默飞 Plus Icon Minus Icon
          • 关于我们
          • 招聘 招聘
          • 投资者关系 投资者关系
          • 新闻 新闻
          • 社会责任 社会责任
          • 商标
          • 政策和通知
          品牌 Plus Icon Minus Icon
          • Thermo Scientific
          • Applied Biosystems
          • Invitrogen
          • Gibco
          • Ion Torrent
          • Patheon
          • PPD
          • 服务条款
          • 隐私政策
          • 定价和运输保险政策
          © 2006-2025 Thermo Fisher Scientific Inc. All rights reserved. All trademarks are the property of Thermo Fisher Scientific and its subsidiaries unless otherwise specified.
          China flag icon
          China
          本网站销售的所有产品均不得用于人类或动物之临床诊断或治疗,仅可用于工业或者科研等非医疗目的。
             电子营业执照 | 经营证照公示 | ICP备案号:沪ICP备11003924号 | 沪公网安备 31011502006935号

          Your items have has been added!


          Host server : magellan-search-green-55658555d6-72rkq:80/100.66.79.224:80.
          git-commit: ec8e7df5f8fec8d765bd419205f1b5046a016d37
          git-url: https://github.com/thermofisher/magellan-search
          git-branch: release/2.41.0-Offline