Hamburger Menu Button
Thermo Fisher Scientific Logo
登录
没有账号?建立账号 注册
  • 产品
    • 抗体
    • 引物合成
    • GeneArt Gene Synthesis Instant Designer
    • TaqMan Assay and Array Search
    • PCR 设备和耗材
    • 色谱柱和纯化柱
    • 实验室离心机
    • 分子生物学试剂和试剂盒
    • 实验室塑料耗材及用品
    • 查看所有产品分类
  • 应用和技术
    • 色谱
    • 细胞转染和培养
    • 实时荧光定量PCR
    • 质谱
    • 实验室塑料耗材及用品
    • 电子显微镜
    • 蛋白质生物学
    • PCR
    • RNAi
    • 环境
    • 查看所有应用和技术
  • 服务
    • 定制服务
    • 企业级实验室信息化服务
    • 金融&租赁服务
    • 仪器服务
    • OEM和商业供应
    • 培训服务
    • 360° CDMO 和 CRO 服务
    • CDMO 服务
    • 临床试验 CRO 服务
    • Unity Lab Services
    • 查看所有帮助和支持
  • 帮助和支持
    • 学习中心
    • 联系我们
    • 更改国家或地区
    • 查看所有帮助和支持
  • 热门产品
    • TaqMan Real-Time PCR Assays
      TaqMan 实时荧光定量 PCR 试剂盒
    • Antibodies
      抗体
    • Oligos, Primers & Probes
      寡核苷酸、引物、探针
    • GeneArt Gene Synthesis
      GeneArt 基因合成
    • Cell Culture Plastics
      细胞培养耗材
  • Who We Serve
    • 抗体治疗解决方案
    • 细胞与基因治疗解决方案
    • 学术科研
    • 工业与应用
  • 联系我们
  • 货号直购
  • 订单查询
  • 查找文件&证书
Thermo Fisher Scientific Logo

Search

搜索全部或下列指定分类
Search button
          • 联系我们
          • 货号直购
          • 登录
            登录
            没有账号?建立账号 注册
            • 我的账号
            • 订单
            • 会员中心
            • 账单及发票查询
            • 定制产品及项目
          • Primary Antibodies ›
          • Laminin gamma-2 Antibodies

          Invitrogen

          Laminin gamma-2 Recombinant Rabbit Monoclonal Antibody (PSH07-27)

          高级验证
          查看其他10个Laminin gamma-2抗体

          {{$productOrderCtrl.translations['antibody.pdp.commerceCard.promotion.promotions']}}

          {{$productOrderCtrl.translations['antibody.pdp.commerceCard.promotion.viewpromo']}}

          {{$productOrderCtrl.translations['antibody.pdp.commerceCard.promotion.promocode']}}: {{promo.promoCode}} {{promo.promoTitle}} {{promo.promoDescription}}. {{$productOrderCtrl.translations['antibody.pdp.commerceCard.promotion.learnmore']}}

          说明书
          证书
          实验方案
          问题与答案
          技术支持
          说明书
          证书
          实验方案
          问题与答案
          技术支持
          说明书
          证书
          实验方案
          问题与答案
          技术支持

          Cite Laminin gamma-2 Recombinant Rabbit Monoclonal Antibody (PSH07-27)

          Additional Information:
          {{banner.description}}
          {{$ctrl.isSkuNotesCollapsed ? 'View more' : 'View less'}}
          • 抗体检测数据 (13)
          • 高级验证 (6)
          Laminin gamma-2 Antibody in Immunocytochemistry (ICC/IF)
          Group 53 Created with Sketch.
          Laminin gamma-2 Antibody in Immunocytochemistry (ICC/IF)
          Group 53 Created with Sketch.

          图: 1 / 19

          {{ $ctrl.currentElement.advancedVerification.fullName }}
          {{ $ctrl.currentElement.advancedVerification.text }}

          Laminin gamma-2 Antibody (MA5-60183) in ICC/IF

          Immunofluorescence analysis of Laminin gamma-2 (LAMC2) was performed using 70% confluent log phase A-431 and SH-SY5Y cells. The cells were fixed with 4% paraformaldehyde for 10 minutes, permeabilized with 0.1% Triton™ X-100 for 15 minutes, and blocked with 2% BSA for 1 hour at room temperature. The cells were labeled with Laminin gamma-2 Recombinant Rabbit Monoclonal Antibody (PSH07-27) (Product # MA5-60183... View More {{ $ctrl.currentElement.advancedVerification.fullName }} 验证信息 View more
          已发表图片由___提供 benchsci-logo
          PMID: {{$ctrl.currentElement.benchSciPubmedId}}
          查看产品

          {{$ctrl.videoDesc}}

          {{$ctrl.videoLongDesc}}

          Laminin gamma-2 Antibody in Immunocytochemistry (ICC/IF)
          Laminin gamma-2 Antibody in Immunocytochemistry (ICC/IF)
          Laminin gamma-2 Antibody in Immunocytochemistry (ICC/IF)
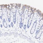
          Laminin gamma-2 Antibody in Immunohistochemistry (Paraffin) (IHC (P))
          Laminin gamma-2 Antibody in Immunohistochemistry (Paraffin) (IHC (P))
          Laminin gamma-2 Antibody in Immunohistochemistry (Paraffin) (IHC (P))
          Laminin gamma-2 Antibody in Immunohistochemistry (Paraffin) (IHC (P))
          Laminin gamma-2 Antibody in Immunohistochemistry (Paraffin) (IHC (P))
          Laminin gamma-2 Antibody in Western Blot (WB)
          Laminin gamma-2 Antibody in Western Blot (WB)
          Laminin gamma-2 Antibody in Western Blot (WB)
          Laminin gamma-2 Antibody in Western Blot (WB)
          Laminin gamma-2 Antibody in Flow Cytometry (Flow)
          Laminin gamma-2 Antibody
          Laminin gamma-2 Antibody
          Laminin gamma-2 Antibody
          Laminin gamma-2 Antibody
          Laminin gamma-2 Antibody
          Laminin gamma-2 Antibody
          Laminin gamma-2 Recombinant Rabbit Monoclonal Antibody (PSH07-27)

          产品信息

          MA5-60183

          应用
          建议稀释比
          已发表文章

          免疫印迹 (WB)

          1:5,000
          -

          免疫组化(石蜡) (IHC (P))

          1:200
          -

          免疫细胞化学 (ICC/IF)

          1:100
          -

          流式细胞分析 (Flow)

          1:5,000
          -
          产品规格

          种属反应

          Human, Mouse, Rat

          宿主/亚型

          Rabbit / IgG

          Expression System

          HEK293 cells

          分类

          Recombinant Monoclonal

          类型

          Antibody

          克隆号

          PSH07-27

          抗原

          Recombinant protein within human LAMC2 aa 550-1,193.
          3D表位/免疫原

          偶联物

          Unconjugated Unconjugated Unconjugated

          形式

          Liquid

          浓度

          1 mg/mL

          规格

          100 µg

          纯化类型

          Protein A

          保存液

          PBS, pH 7.4, with 0.1% BSA, 40% glycerol

          内含物

          0.05% sodium azide

          保存条件

          Store at 4°C short term. For long term storage, store at -20°C, avoiding freeze/thaw cycles.

          运输条件

          Ambient (domestic); Dry ice (international)

          RRID

          AB_3683085

          产品详细信息

          Positive Control: A431 cell lysate, A549 cell lysate, HaCaT cell lysate, NCI-H441 cell lysate, Mouse skin tissue lysate, Mouse stomach tissue lysate, Rat skin tissue lysate, Rat stomach tissue lysate, human colon tissue, mouse colon tissue, rat colon tissue, A431.

          Tissue Specificity: Tissue enhanced (urinary).

          Subcellular Location: Secreted, extracellular space, extracellular matrix, basement membrane.

          Sequence Similarities: 78% Mouse/Rat.

          Predicted band size: 131 kDa.

          靶标信息

          Laminins, a family of extracellular matrix glycoproteins, are the major noncollagenous constituent of basement membranes. They have been implicated in a wide variety of biological processes including cell adhesion, differentiation, migration, signaling, neurite outgrowth and metastasis. Laminins are composed of 3 non identical chains: laminin alpha, beta and gamma (formerly A, B1, and B2, respectively) and they form a cruciform structure consisting of 3 short arms, each formed by a different chain, and a long arm composed of all 3 chains. Each laminin chain is a multidomain protein encoded by a distinct gene. Several isoforms of each chain have been described. Different alpha, beta and gamma chain isomers combine to give rise to different heterotrimeric laminin isoforms which are designated by Arabic numerals in the order of their discovery, i.e. alpha1beta1gamma1 heterotrimer is laminin 1. The biological functions of the different chains and trimer molecules are largely unknown, but some of the chains have been shown to differ with respect to their tissue distribution, presumably reflecting diverse functions in vivo. This gene encodes the gamma chain isoform laminin, gamma 2. The gamma 2 chain, formerly thought to be a truncated version of beta chain (B2t), is highly homologous to the gamma 1 chain; however, it lacks domain VI, and domains V, IV and III are shorter. It is expressed in several fetal tissues but differently from gamma 1, and is specifically localized to epithelial cells in skin, lung and kidney. The gamma 2 chain together with alpha 3 and beta 3 chains constitute laminin 5 (earlier known as kalinin), which is an integral part of the anchoring filaments that connect epithelial cells to the underlying basement membrane. The epithelium-specific expression of the gamma 2 chain implied its role as an epithelium attachment molecule, and mutations in this gene have been associated with junctional epidermolysis bullosa, a skin disease characterized by blisters due to disruption of the epidermal-dermal junction. Two transcript variants resulting from alternative splicing of the 3' terminal exon, and encoding different isoforms of gamma 2 chain, have been described. The two variants are differentially expressed in embryonic tissues, however, the biological significance of the two forms is not known. Transcript variants utilizing alternative polyA_signal have also been noted in literature.

          仅用于科研。不用于诊断过程。未经明确授权不得转售。

          篇参考文献 (0)

          您是否在文献中引用过该产品?请点击下方按钮邮件告知我们。
          引用该产品

          生物信息学

          蛋白别名: BM600-100kDa; Cell-scattering factor 140 kDa subunit; CSF 140 kDa subunit; Epiligrin subunit gamma; Kalinin subunit gamma; Kalinin/nicein/epiligrin 100 kDa subunit; Ladsin 140 kDa subunit; LAM LAMNB2; lamimin, gamma 2; Laminin B2t chain; laminin gamma2 chain; Laminin subunit gamma-2; laminin, gamma 2; Laminin-5 subunit gamma; Large adhesive scatter factor 140 kDa subunit; Nicein subunit gamma; nicein, 100kD; nicein, 100kDa; unnamed protein product

          查看更多 收起

          基因别名: AA589349; B2T; BM600; CSF; EBR2; EBR2A; JEB3A; JEB3B; LAMB2T; LAMC2; LAMNB2

          查看更多 收起

          UniProt ID: (Human) Q13753

          查看更多 收起

          Entrez Gene ID: (Human) 3918, (Mouse) 16782, (Rat) 192362

          查看更多 收起

          功能
          extracellular matrix structural constituent heparin binding protein binding molecular_function extracellular matrix protein
          参与通路
          cell adhesion positive regulation of cell proliferation epidermis development positive regulation of cell migration biological_process
          It has to be done as per old AB suggested Products section.

          Disclaimer

          Close

          Clicking the images or links will redirect you to a website hosted by BenchSci that provides third-party scientific content. Neither the content nor the BenchSci technology and processes for selection have been evaluated by us; we are providing them as-is and without warranty of any kind, including for use or application of the Thermo Fisher Scientific products presented.

          guarantee_icon

          性能保障

          只要您发现Invitrogen抗体在实验中的表现与网站或说明书的所述内容不符,您即可享受免费退换货服务。*

          了解更多
          help_icon

          随时为您服务

          获取常见问题的专家解答,或者直接联系我们的技术专家,咨询应用、设备、常规产品使用问题。

          联系技术支持
          订购 Plus Icon Minus Icon
          • 订单状态查询
          • 订单支持
          • 货号直购
          • 现货供应中心
          • 电子采购
          支持 Plus Icon Minus Icon
          • 帮助&支持
          • 联系我们 - 400 820 8982
          • 技术支持中心
          • 查找文件&证书
          • 报告网站问题
          资源 Plus Icon Minus Icon
          • 学习中心
          • 促销
          • 活动&研讨会
          • 社交媒体
          关于赛默飞 Plus Icon Minus Icon
          • 关于我们
          • 招聘 招聘
          • 投资者关系 投资者关系
          • 新闻 新闻
          • 社会责任 社会责任
          • 商标
          • 政策和通知
          品牌 Plus Icon Minus Icon
          • Thermo Scientific
          • Applied Biosystems
          • Invitrogen
          • Gibco
          • Ion Torrent
          • Unity Lab Services
          • Patheon
          • PPD
          • 服务条款
          • 隐私政策
          • 定价和运输保险政策
          © 2006-2026 Thermo Fisher Scientific Inc. All rights reserved. All trademarks are the property of Thermo Fisher Scientific and its subsidiaries unless otherwise specified.
          China flag icon
          China
          本网站销售的所有产品均不得用于人类或动物之临床诊断或治疗,仅可用于工业或者科研等非医疗目的。
             电子营业执照 | 经营证照公示 | ICP备案号:沪ICP备11003924号 | 沪公网安备 31011502006935号

          Your items have has been added!


          Host server : magellan-search-green-6479c7f679-sz4vp:80/100.66.76.236:80.
          git-commit: b70c0dceb888abc3b0dcebb5bc3a5b8753e7e816
          git-url: https://github.com/thermofisher/magellan-search
          git-branch: release/2.50.0-Offline