Hamburger Menu Button
Thermo Fisher Scientific Logo
登录
没有账号?建立账号 注册
  • 产品
    • 抗体
    • 引物合成
    • GeneArt Gene Synthesis Instant Designer
    • TaqMan Assay and Array Search
    • PCR 设备和耗材
    • 色谱柱和纯化柱
    • 实验室离心机
    • 分子生物学试剂和试剂盒
    • 实验室塑料耗材及用品
    • 查看所有产品分类
  • 应用和技术
    • 色谱
    • 细胞转染和培养
    • 实时荧光定量PCR
    • 质谱
    • 实验室塑料耗材及用品
    • 电子显微镜
    • 蛋白质生物学
    • PCR
    • RNAi
    • 环境
    • 查看所有应用和技术
  • 服务
    • 定制服务
    • 企业级实验室信息化服务
    • 金融&租赁服务
    • 仪器服务
    • OEM和商业供应
    • 培训服务
    • 360° CDMO 和 CRO 服务
    • CDMO 服务
    • 临床试验 CRO 服务
    • Unity Lab Services
    • 查看所有帮助和支持
  • 帮助和支持
    • 学习中心
    • 联系我们
    • 更改国家或地区
    • 查看所有帮助和支持
  • 热门产品
    • TaqMan Real-Time PCR Assays
      TaqMan 实时荧光定量 PCR 试剂盒
    • Antibodies
      抗体
    • Oligos, Primers & Probes
      寡核苷酸、引物、探针
    • GeneArt Gene Synthesis
      GeneArt 基因合成
    • Cell Culture Plastics
      细胞培养耗材
  • Who We Serve
    • 抗体治疗解决方案
    • 细胞与基因治疗解决方案
    • 学术科研
    • 工业与应用
  • 联系我们
  • 货号直购
  • 订单查询
  • 查找文件&证书
Thermo Fisher Scientific Logo

Search

搜索全部或下列指定分类
Search button
          • 联系我们
          • 货号直购
          • 登录
            登录
            没有账号?建立账号 注册
            • 我的账号
            • 订单
            • 会员中心
            • 账单及发票查询
            • 定制产品及项目
          • Primary Antibodies ›
          • Lyn Antibodies

          Invitrogen

          Lyn Polyclonal Antibody

          查看其他37个Lyn抗体

          {{$productOrderCtrl.translations['antibody.pdp.commerceCard.promotion.promotions']}}

          {{$productOrderCtrl.translations['antibody.pdp.commerceCard.promotion.viewpromo']}}

          {{$productOrderCtrl.translations['antibody.pdp.commerceCard.promotion.promocode']}}: {{promo.promoCode}} {{promo.promoTitle}} {{promo.promoDescription}}. {{$productOrderCtrl.translations['antibody.pdp.commerceCard.promotion.learnmore']}}

          说明书
          证书
          实验方案
          问题与答案
          技术支持
          说明书
          证书
          实验方案
          问题与答案
          技术支持
          说明书
          证书
          实验方案
          问题与答案
          技术支持

          Cite Lyn Polyclonal Antibody

          Additional Information:
          {{banner.description}}
          {{$ctrl.isSkuNotesCollapsed ? 'View more' : 'View less'}}
          • 抗体检测数据 (2)
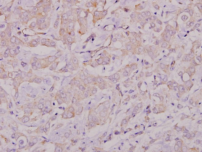
          Lyn Antibody in Immunohistochemistry (Paraffin) (IHC (P))
          Group 53 Created with Sketch.
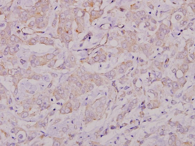
          Lyn Antibody in Immunohistochemistry (Paraffin) (IHC (P))
          Group 53 Created with Sketch.

          图: 1 / 2

          {{ $ctrl.currentElement.advancedVerification.fullName }}
          {{ $ctrl.currentElement.advancedVerification.text }}

          Lyn Antibody (PA5-86230) in IHC (P)

          Immunohistochemical analysis of Lyn in paraffin-embedded human breast carcinoma tissue. Sample was incubated with polyclonal Lyn antibody (Product # PA5-86230) using a 1:100 dilution. {{ $ctrl.currentElement.advancedVerification.fullName }} 验证信息 View more
          已发表图片由___提供 benchsci-logo
          PMID: {{$ctrl.currentElement.benchSciPubmedId}}
          查看产品

          {{$ctrl.videoDesc}}

          {{$ctrl.videoLongDesc}}

          Lyn Antibody in Immunohistochemistry (Paraffin) (IHC (P))
          Lyn Antibody in Western Blot (WB)
          Lyn Polyclonal Antibody

          产品信息

          PA5-86230

          应用
          建议稀释比
          已发表文章

          免疫印迹 (WB)

          1:500-1:1,000
          -

          免疫组化(石蜡) (IHC (P))

          1:50-1:200
          -
          产品规格

          种属反应

          Human, Mouse, Rat

          宿主/亚型

          Rabbit / IgG

          分类

          Polyclonal

          类型

          Antibody

          抗原

          Synthetic peptide, corresponding to amino acids 461-510 of Human Lyn.
          3D表位/免疫原

          偶联物

          Unconjugated Unconjugated Unconjugated

          形式

          Liquid

          浓度

          1 mg/mL

          规格

          100 µg

          纯化类型

          Antigen affinity chromatography

          保存液

          PBS, pH 7.2, with 50% glycerol

          内含物

          0.02% sodium azide

          保存条件

          Store at 4°C short term. For long term storage, store at -20°C, avoiding freeze/thaw cycles.

          运输条件

          Ambient (domestic); Wet ice (international)

          RRID

          AB_2803021

          产品详细信息

          Purity is > 95% by SDS-PAGE.

          靶标信息

          Lyn proto oncogene (Lcl/Yes related novel protein tyrosine kinase) is encoded by the Lyn gene located on chromosome 8 in humans and belongs to the Src family kinase. It is a non-receptor tyrosine kinase that acts as a mediator in transducing cellular signaling. The most well studied expression of Lyn is in hematopoietic cell types, both lymphoid and myeloid cells with exclusion in T lymphocytes. It has also been observed that Lyn plays diverse roles such as in regulation of B cell receptor signaling, mast cell signaling and Epithelial - Mesenchymal Transition (EMT).

          仅用于科研。不用于诊断过程。未经明确授权不得转售。

          篇参考文献 (0)

          您是否在文献中引用过该产品?请点击下方按钮邮件告知我们。
          引用该产品

          生物信息学

          蛋白别名: FLJ26625; Lck/Yes-related novel protein tyrosine kinase; lyn protein non-receptor kinase; lyn tyrosine kinase; p53Lyn; p56Lyn; Tyrosine-protein kinase Lyn; unnamed protein product; V-yes-1 Yamaguchi sarcoma viral related oncogene homolog; Yamaguchi sarcoma viral (v-yes-1) oncogene homolog

          查看更多 收起

          基因别名: AA407514; Hck-2; JTK8; LYN; p53Lyn; p56Lyn; SAIDV

          查看更多 收起

          UniProt ID: (Human) P07948, (Mouse) P25911, (Rat) Q07014

          查看更多 收起

          Entrez Gene ID: (Human) 4067, (Mouse) 17096, (Rat) 81515

          查看更多 收起

          功能
          nucleotide binding protein kinase activity protein tyrosine kinase activity non-membrane spanning protein tyrosine kinase activity receptor binding platelet-derived growth factor receptor binding integrin binding protein binding ATP binding kinase activity transferase activity SH3 domain binding enzyme binding receptor activator activity ubiquitin protein ligase binding gamma-tubulin binding glycosphingolipid binding ion channel binding macromolecular complex binding ephrin receptor binding phosphoprotein binding scaffold protein binding phosphorylation-dependent protein binding phosphatidylinositol 3-kinase activator activity erythropoietin receptor binding transferase activity, transferring phosphorus-containing groups protein complex binding
          参与通路
          B cell homeostasis regulation of cytokine production negative regulation of protein phosphorylation immune system process Fc receptor mediated stimulatory signaling pathway tolerance induction to self antigen histamine secretion by mast cell platelet degranulation negative regulation of myeloid leukocyte differentiation immune response-regulating cell surface receptor signaling pathway Fc receptor mediated inhibitory signaling pathway regulation of B cell apoptotic process protein phosphorylation inflammatory response cellular response to DNA damage stimulus signal transduction transmembrane receptor protein tyrosine kinase signaling pathway positive regulation of cell proliferation negative regulation of cell proliferation response to hormone positive regulation of neuron projection development phosphorylation peptidyl-tyrosine phosphorylation hemopoiesis erythrocyte differentiation positive regulation of cell migration negative regulation of B cell proliferation neuron projection development lipopolysaccharide-mediated signaling pathway regulation of mast cell activation regulation of cell adhesion mediated by integrin negative regulation of toll-like receptor 2 signaling pathway negative regulation of toll-like receptor 4 signaling pathway intracellular signal transduction peptidyl-tyrosine autophosphorylation positive regulation of phosphorylation positive regulation of tyrosine phosphorylation of STAT protein hemoglobin biosynthetic process regulation of mast cell degranulation negative regulation of MAP kinase activity positive regulation of phosphatidylinositol 3-kinase activity innate immune response regulation of erythrocyte differentiation protein autophosphorylation cytokine secretion regulation of cytokine secretion regulation of inflammatory response positive regulation of peptidyl-tyrosine phosphorylation B cell receptor signaling pathway regulation of B cell receptor signaling pathway positive regulation of B cell receptor signaling pathway positive regulation of cellular component movement regulation of release of sequestered calcium ion into cytosol positive regulation of glial cell proliferation positive regulation of Fc receptor mediated stimulatory signaling pathway positive regulation of stress-activated protein kinase signaling cascade regulation of ERK1 and ERK2 cascade negative regulation of ERK1 and ERK2 cascade positive regulation of oligodendrocyte progenitor proliferation negative regulation of mast cell proliferation positive regulation of mast cell proliferation cellular response to retinoic acid cellular response to peptide hormone stimulus regulation of monocyte chemotaxis regulation of platelet aggregation dendritic cell differentiation negative regulation of intracellular signal transduction positive regulation of dendritic cell apoptotic process DNA damage checkpoint cell morphogenesis regulation of protein phosphorylation stimulatory C-type lectin receptor signaling pathway hematopoietic progenitor cell differentiation adaptive immune response innate immune response-activating signal transduction negative regulation of inflammatory response to antigenic stimulus autophagy response to stress response to sterol depletion response to xenobiotic stimulus response to toxic substance response to carbohydrate oligodendrocyte development fatty acid transport eosinophil differentiation T cell costimulation response to insulin toll-like receptor 4 signaling pathway cellular response to heat interleukin-5-mediated signaling pathway Fc-epsilon receptor signaling pathway Fc-gamma receptor signaling pathway involved in phagocytosis C-X-C chemokine receptor CXCR4 signaling pathway B cell proliferation response to amino acid positive regulation of MAPK cascade response to peptide hormone ephrin receptor signaling pathway response to axon injury negative regulation of immune response negative regulation of B cell receptor signaling pathway leukocyte migration JAK-STAT cascade involved in growth hormone signaling pathway cellular response to lipid neuroinflammatory response positive regulation of amyloid precursor protein catabolic process positive regulation of protein localization to plasma membrane chemotaxis response to organic cyclic compound cell migration cellular response to extracellular stimulus response to drug
          It has to be done as per old AB suggested Products section.

          Disclaimer

          Close

          Clicking the images or links will redirect you to a website hosted by BenchSci that provides third-party scientific content. Neither the content nor the BenchSci technology and processes for selection have been evaluated by us; we are providing them as-is and without warranty of any kind, including for use or application of the Thermo Fisher Scientific products presented.

          guarantee_icon

          性能保障

          只要您发现Invitrogen抗体在实验中的表现与网站或说明书的所述内容不符,您即可享受免费退换货服务。*

          了解更多
          help_icon

          随时为您服务

          获取常见问题的专家解答,或者直接联系我们的技术专家,咨询应用、设备、常规产品使用问题。

          联系技术支持
          订购 Plus Icon Minus Icon
          • 订单状态查询
          • 订单支持
          • 货号直购
          • 现货供应中心
          • 电子采购
          支持 Plus Icon Minus Icon
          • 帮助&支持
          • 联系我们 - 400 820 8982
          • 技术支持中心
          • 查找文件&证书
          • 报告网站问题
          资源 Plus Icon Minus Icon
          • 学习中心
          • 促销
          • 活动&研讨会
          • 社交媒体
          关于赛默飞 Plus Icon Minus Icon
          • 关于我们
          • 招聘 招聘
          • 投资者关系 投资者关系
          • 新闻 新闻
          • 社会责任 社会责任
          • 商标
          • 政策和通知
          品牌 Plus Icon Minus Icon
          • Thermo Scientific
          • Applied Biosystems
          • Invitrogen
          • Gibco
          • Ion Torrent
          • Unity Lab Services
          • Patheon
          • PPD
          • 服务条款
          • 隐私政策
          • 定价和运输保险政策
          © 2006-2026 Thermo Fisher Scientific Inc. All rights reserved. All trademarks are the property of Thermo Fisher Scientific and its subsidiaries unless otherwise specified.
          China flag icon
          China
          本网站销售的所有产品均不得用于人类或动物之临床诊断或治疗,仅可用于工业或者科研等非医疗目的。
             电子营业执照 | 经营证照公示 | ICP备案号:沪ICP备11003924号 | 沪公网安备 31011502006935号

          Your items have has been added!


          Host server : magellan-search-green-6479c7f679-l2s7p:80/100.66.76.236:80.
          git-commit: b70c0dceb888abc3b0dcebb5bc3a5b8753e7e816
          git-url: https://github.com/thermofisher/magellan-search
          git-branch: release/2.50.0-Offline