Hamburger Menu Button
Thermo Fisher Scientific Logo
登录
没有账号?建立账号 注册
  • 产品
    • 抗体
    • 引物合成
    • GeneArt Gene Synthesis Instant Designer
    • TaqMan Assay and Array Search
    • PCR 设备和耗材
    • 色谱柱和纯化柱
    • 实验室离心机
    • 分子生物学试剂和试剂盒
    • 实验室塑料耗材及用品
    • 查看所有产品分类
  • 应用和技术
    • 色谱
    • 细胞转染和培养
    • 实时荧光定量PCR
    • 质谱
    • 实验室塑料耗材及用品
    • 电子显微镜
    • 蛋白质生物学
    • PCR
    • RNAi
    • 环境
    • 查看所有应用和技术
  • 服务
    • 定制服务
    • 企业级实验室信息化服务
    • 金融&租赁服务
    • 仪器服务
    • OEM和商业供应
    • 培训服务
    • 360° CDMO 和 CRO 服务
    • CDMO 服务
    • 临床试验 CRO 服务
    • Unity Lab Services
    • 查看所有帮助和支持
  • 帮助和支持
    • 学习中心
    • 联系我们
    • 更改国家或地区
    • 查看所有帮助和支持
  • 热门产品
    • TaqMan Real-Time PCR Assays
      TaqMan 实时荧光定量 PCR 试剂盒
    • Antibodies
      抗体
    • Oligos, Primers & Probes
      寡核苷酸、引物、探针
    • GeneArt Gene Synthesis
      GeneArt 基因合成
    • Cell Culture Plastics
      细胞培养耗材
  • Who We Serve
    • 抗体治疗解决方案
    • 细胞与基因治疗解决方案
    • 学术科研
    • 工业与应用
  • 联系我们
  • 货号直购
  • 订单查询
  • 查找文件&证书
Thermo Fisher Scientific Logo

Search

搜索全部或下列指定分类
Search button
          • 联系我们
          • 货号直购
          • 登录
            登录
            没有账号?建立账号 注册
            • 我的账号
            • 订单
            • 会员中心
            • 账单及发票查询
            • 定制产品及项目
          • Primary Antibodies ›
          • MCL-1 Antibodies

          Invitrogen

          MCL-1 Polyclonal Antibody

          1 篇参考文献
          查看其他38个MCL-1抗体

          {{$productOrderCtrl.translations['antibody.pdp.commerceCard.promotion.promotions']}}

          {{$productOrderCtrl.translations['antibody.pdp.commerceCard.promotion.viewpromo']}}

          {{$productOrderCtrl.translations['antibody.pdp.commerceCard.promotion.promocode']}}: {{promo.promoCode}} {{promo.promoTitle}} {{promo.promoDescription}}. {{$productOrderCtrl.translations['antibody.pdp.commerceCard.promotion.learnmore']}}

          说明书
          证书
          实验方案
          问题与答案
          技术支持
          说明书
          证书
          实验方案
          问题与答案
          技术支持
          说明书
          证书
          实验方案
          问题与答案
          技术支持

          Cite MCL-1 Polyclonal Antibody

          Additional Information:
          {{banner.description}}
          {{$ctrl.isSkuNotesCollapsed ? 'View more' : 'View less'}}
          • 抗体检测数据 (4)
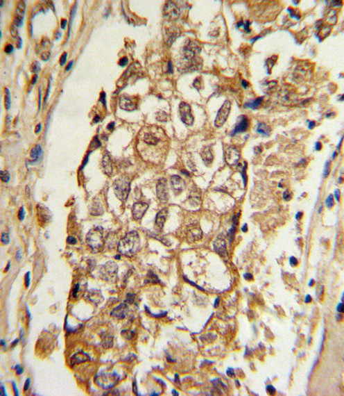
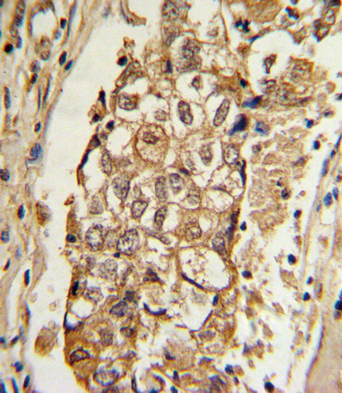
          MCL-1 Antibody in Immunohistochemistry (Paraffin) (IHC (P))
          Group 53 Created with Sketch.
          MCL-1 Antibody in Immunohistochemistry (Paraffin) (IHC (P))
          Group 53 Created with Sketch.

          图: 1 / 4

          {{ $ctrl.currentElement.advancedVerification.fullName }}
          {{ $ctrl.currentElement.advancedVerification.text }}

          MCL-1 Antibody (PA5-11389) in IHC (P)

          Immunohistochemistry analysis of MCL-1 in formalin-fixed and paraffin-embedded human breast carcinoma. Samples were incubated with MCL-1 polyclonal antibody (Product # PA5-11389) which was peroxidase-conjugated to the secondary antibody, followed by DAB staining. This data demonstrates the use of this antibody for immunohistochemistry; clinical relevance has not been evaluated. {{ $ctrl.currentElement.advancedVerification.fullName }} 验证信息 View more
          已发表图片由___提供 benchsci-logo
          PMID: {{$ctrl.currentElement.benchSciPubmedId}}
          查看产品

          {{$ctrl.videoDesc}}

          {{$ctrl.videoLongDesc}}

          MCL-1 Antibody in Immunohistochemistry (Paraffin) (IHC (P))
          MCL-1 Antibody in Western Blot (WB)
          MCL-1 Antibody in Western Blot (WB)
          MCL-1 Antibody in Flow Cytometry (Flow)
          MCL-1 Polyclonal Antibody

          产品信息

          PA5-11389

          应用
          建议稀释比
          已发表文章

          免疫印迹 (WB)

          1:2,000
          -

          免疫组化 (IHC)

          -
          查看1篇已发表文章 1篇已发表文章

          免疫组化(石蜡) (IHC (P))

          1:10-1:50
          -

          流式细胞分析 (Flow)

          1:10-1:50
          -
          产品规格

          种属反应

          Human, Mouse, Rat

          已发表种属

          Human

          宿主/亚型

          Rabbit / IgG

          分类

          Polyclonal

          类型

          Antibody

          抗原

          KLH conjugated synthetic peptide between 191-226 amino acids from human MCL1
          3D表位/免疫原

          偶联物

          Unconjugated Unconjugated Unconjugated

          形式

          Liquid

          浓度

          0.5 mg/mL

          规格

          200 µg

          纯化类型

          Antigen affinity chromatography, Protein A

          保存液

          PBS, pH 7.4

          内含物

          0.09% sodium azide

          保存条件

          Store at 4°C short term. For long term storage, store at -20°C, avoiding freeze/thaw cycles.

          运输条件

          Ambient (domestic); Wet ice (international)

          RRID

          AB_2250656

          靶标信息

          MCL1 (Myeloid cell leukemia-1) belongs to the Bcl-2 family and is involved in programing, differentiation and concomitant maintenance of cell viability, but not of proliferation. Isoform 1 of MCL1 inhibits apoptosis while isoform 2 promotes it. The carboxy terminal of MCL1 and bcl-2 share significant sequence homology. Expression of MCL1 is increased upon exposure of ML-1 cells to various types of DNA damaging agents (e.g. ionizing radiation, ultraviolet radiation, and alkylating drugs) along with increases in GADD45 and Bax and a decrease in bcl-2. Enhanced expression of MCL1, prominently associated with mitochondria, complements the continued expression of bcl-2 in ML-1 cells undergoing differentiation. Like bcl-2, MCL1 has the capacity to promote cell viability under conditions that otherwise cause apoptosis. While the mechanism by which MCL1 inhibits apoptosis is not known, it is thought that it may heterodimerize and neutralize pro-apoptotic members of the Bcl-2 family such as Bim or Bak. MCL1 was originally identified in differentiating myeloid cells, but has since been shown to be expressed in multiple cell types. MCL1 is essential for embryogenesis and for the development and maintenance of B and T lymphocytes in animals. MCL1 exists as at least two distinct isoforms designated MCL1L and MCL1S. In marked contrast to the larger isoform of MCL1, overexpression of MCL1S promotes cell death.

          仅用于科研。不用于诊断过程。未经明确授权不得转售。

          生物信息学

          蛋白别名: anti-apoptotic; Bcl-2-like protein 3; Bcl-2-related protein EAT/mcl1; BCL2 family apoptosis regulator; Bcl2-L-3; Induced myeloid leukemia cell differentiation protein Mcl-1; Induced myeloid leukemia cell differentiation protein Mcl-1 homolog; MCL-1ES; MCL-1S; Mcl-1S; Bcl-2 family protein; proapoptotic protein; MCL1, BCL2 family apoptosis regulator; mcl1/EAT; MGC104264; MGC1839; myeloid cell leukemia 1; myeloid cell leukemia ES; myeloid cell leukemia sequence 1 (BCL2-related); unnamed protein product

          查看更多 收起

          基因别名: AW556805; bcl2-L-3; BCL2L3; EAT; Mcl-1; MCL1; MCL1-ES; mcl1/EAT; MCL1L; MCL1S; TM

          查看更多 收起

          UniProt ID: (Human) Q07820, (Mouse) P97287, (Rat) Q9Z1P3

          查看更多 收起

          Entrez Gene ID: (Human) 4170, (Mouse) 17210, (Rat) 60430

          查看更多 收起

          功能
          protein binding protein transmembrane transporter activity channel activity protein heterodimerization activity BH domain binding BH3 domain binding protein homodimerization activity protein dimerization activity
          参与通路
          apoptotic process multicellular organism development intrinsic apoptotic signaling pathway in response to DNA damage apoptotic mitochondrial changes cell differentiation response to cytokine regulation of apoptotic process negative regulation of apoptotic process extrinsic apoptotic signaling pathway in absence of ligand positive regulation of oxidative stress-induced neuron intrinsic apoptotic signaling pathway negative regulation of anoikis regulation of response to DNA damage stimulus negative regulation of extrinsic apoptotic signaling pathway in absence of ligand negative regulation of intrinsic apoptotic signaling pathway cell fate determination release of cytochrome c from mitochondria cellular response to DNA damage stimulus mitochondrial fusion negative regulation of autophagy cellular homeostasis positive regulation of apoptotic process positive regulation of neuron apoptotic process transmembrane transport protein transmembrane transport regulation of intracellular signal transduction regulation of apoptotic signaling pathway
          It has to be done as per old AB suggested Products section.

          Disclaimer

          Close

          Clicking the images or links will redirect you to a website hosted by BenchSci that provides third-party scientific content. Neither the content nor the BenchSci technology and processes for selection have been evaluated by us; we are providing them as-is and without warranty of any kind, including for use or application of the Thermo Fisher Scientific products presented.

          guarantee_icon

          性能保障

          只要您发现Invitrogen抗体在实验中的表现与网站或说明书的所述内容不符,您即可享受免费退换货服务。*

          了解更多
          help_icon

          随时为您服务

          获取常见问题的专家解答,或者直接联系我们的技术专家,咨询应用、设备、常规产品使用问题。

          联系技术支持
          订购 Plus Icon Minus Icon
          • 订单状态查询
          • 订单支持
          • 货号直购
          • 现货供应中心
          • 电子采购
          支持 Plus Icon Minus Icon
          • 帮助&支持
          • 联系我们 - 400 820 8982
          • 技术支持中心
          • 查找文件&证书
          • 报告网站问题
          资源 Plus Icon Minus Icon
          • 学习中心
          • 促销
          • 活动&研讨会
          • 社交媒体
          关于赛默飞 Plus Icon Minus Icon
          • 关于我们
          • 招聘 招聘
          • 投资者关系 投资者关系
          • 新闻 新闻
          • 社会责任 社会责任
          • 商标
          • 政策和通知
          品牌 Plus Icon Minus Icon
          • Thermo Scientific
          • Applied Biosystems
          • Invitrogen
          • Gibco
          • Ion Torrent
          • Unity Lab Services
          • Patheon
          • PPD
          • 服务条款
          • 隐私政策
          • 定价和运输保险政策
          © 2006-2026 Thermo Fisher Scientific Inc. All rights reserved. All trademarks are the property of Thermo Fisher Scientific and its subsidiaries unless otherwise specified.
          China flag icon
          China
          本网站销售的所有产品均不得用于人类或动物之临床诊断或治疗,仅可用于工业或者科研等非医疗目的。
             电子营业执照 | 经营证照公示 | ICP备案号:沪ICP备11003924号 | 沪公网安备 31011502006935号

          Your items have has been added!


          Host server : magellan-search-blue-7c59b9b899-49tpj:80/100.66.77.222:80.
          git-commit: 8ef7cf686e3c81d28b13492708ce56d167b2f995
          git-url: https://github.com/thermofisher/magellan-search
          git-branch: release/2.49.0-Offline