Hamburger Menu Button
Thermo Fisher Scientific Logo
登录
没有账号?建立账号 注册
  • 产品
    • 抗体
    • 引物合成
    • GeneArt Gene Synthesis Instant Designer
    • TaqMan Assay and Array Search
    • PCR 设备和耗材
    • 色谱柱和纯化柱
    • 实验室离心机
    • 分子生物学试剂和试剂盒
    • 实验室塑料耗材及用品
    • 查看所有产品分类
  • 应用和技术
    • 色谱
    • 细胞转染和培养
    • 实时荧光定量PCR
    • 质谱
    • 实验室塑料耗材及用品
    • 电子显微镜
    • 蛋白质生物学
    • PCR
    • RNAi
    • 环境
    • 查看所有应用和技术
  • 服务
    • 定制服务
    • 企业级实验室信息化服务
    • 企业服务
    • 金融&租赁服务
    • 仪器服务
    • OEM和商业供应
    • 培训服务
    • 360° CDMO 和 CRO 服务
    • CDMO 服务
    • 临床试验 CRO 服务
    • 查看所有帮助和支持
  • 帮助和支持
    • 学习中心
    • 联系我们
    • 更改国家或地区
    • 查看所有帮助和支持
  • 热门产品
    • TaqMan Real-Time PCR Assays
      TaqMan 实时荧光定量 PCR 试剂盒
    • Antibodies
      抗体
    • Oligos, Primers & Probes
      寡核苷酸、引物、探针
    • GeneArt Gene Synthesis
      GeneArt 基因合成
    • Cell Culture Plastics
      细胞培养耗材
  • 联系我们
  • 货号直购
  • 订单查询
  • 查找文件&证书
Thermo Fisher Scientific Logo

Search

搜索全部或下列指定分类
Search button
          • 联系我们
          • 货号直购
          • 登录
            登录
            没有账号?建立账号 注册
            • 我的账号
            • 订单
            • 账单及发票查询
            • 定制产品及项目

          Disclaimer

          Clicking the images or links will redirect you to a website hosted by BenchSci that provides third-party scientific content. Neither the content nor the BenchSci technology and processes for selection have been evaluated by us; we are providing them as-is and without warranty of any kind, including for use or application of the Thermo Fisher Scientific products presented.

          • Primary Antibodies ›
          • CCL2 (MCP-1) Antibodies

          Proteintech

          MCP-1 Recombinant Rabbit Monoclonal Antibody (240341G3)

          查看其他57个CCL2 (MCP-1)抗体

          {{$productOrderCtrl.translations['antibody.pdp.commerceCard.promotion.promotions']}}

          {{$productOrderCtrl.translations['antibody.pdp.commerceCard.promotion.viewpromo']}}

          {{$productOrderCtrl.translations['antibody.pdp.commerceCard.promotion.promocode']}}: {{promo.promoCode}} {{promo.promoTitle}} {{promo.promoDescription}}. {{$productOrderCtrl.translations['antibody.pdp.commerceCard.promotion.learnmore']}}

          说明书
          实验方案
          问题与答案
          技术支持
          说明书
          实验方案
          问题与答案
          技术支持
          说明书
          实验方案
          问题与答案
          技术支持

          Cite MCP-1 Recombinant Rabbit Monoclonal Antibody (240341G3)

          • 抗体检测数据 (2)
          MCP-1 Antibody in Western Blot (WB)
          Group 53 Created with Sketch.
          MCP-1 Antibody in Western Blot (WB)
          Group 53 Created with Sketch.

          图: 1 / 2

          {{ $ctrl.currentElement.advancedVerification.fullName }}
          {{ $ctrl.currentElement.advancedVerification.text }}

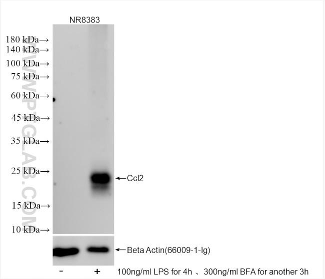
          MCP-1 Antibody (83370-2-RR) in WB

          Untreated, LPS and Brefeldin A treated NR8383 cells were subjected to SDS PAGE followed by western blot with 83370-2-RR (Ccl2 antibody) at dilution of 1:10,000 incubated at room temperature for 1.5 hours. {{ $ctrl.currentElement.advancedVerification.fullName }} 验证信息 View more
          已发表图片由___提供 benchsci-logo
          PMID: {{$ctrl.currentElement.benchSciPubmedId}}
          查看产品

          {{$ctrl.videoDesc}}

          {{$ctrl.videoLongDesc}}

          MCP-1 Antibody in Western Blot (WB)
          MCP-1 Antibody in Surface plasmon resonance (SPR)

          产品信息

          83370-2-RR

          应用
          建议稀释比
          已发表文章

          免疫印迹 (WB)

          1:5,000-1:50,000
          -

          酶联免疫吸附实验 (ELISA)

          Assay-dependent
          -

          Surface plasmon resonance (SPR)

          Assay-dependent
          -
          产品规格

          种属反应

          Rat

          宿主/亚型

          Rabbit / IgG

          Expression System

          HEK293F

          分类

          Recombinant Monoclonal

          类型

          Antibody

          克隆号

          240341G3

          抗原

          Fusion Protein

          偶联物

          Unconjugated Unconjugated Unconjugated

          形式

          Liquid

          浓度

          1 mg/mL

          纯化类型

          Protein A

          保存液

          PBS, pH 7.3, with 50% glycerol

          内含物

          0.02% sodium azide

          保存条件

          -20°C

          运输条件

          Wet ice

          靶标信息

          This gene is one of several cytokine genes clustered on the q-arm of chromosome 17. Cytokines are a family of secreted proteins involved in immunoregulatory and inflammatory processes. The protein encoded by this gene is structurally related to the CXC subfamily of cytokines. Members of this subfamily are characterized by two cysteines separated by a single amino acid. This cytokine displays chemotactic activity for monocytes and basophils but not for neutrophils or eosinophils. It has been implicated in the pathogenesis of diseases characterized by monocytic infiltrates, like psoriasis, rheumatoid arthritis and atherosclerosis. It binds to chemokine receptors CCR2 and CCR4.

          仅用于科研。不用于诊断过程。未经明确授权不得转售。

          篇参考文献 (0)

          您是否在文献中引用过该产品?请点击下方按钮邮件告知我们。
          引用该产品

          生物信息学

          蛋白别名: C-C motif chemokine 2; H-MCP-1; immediate-early serum-responsive JE protein; Immediate-early serum-responsive protein JE; MCP-1; MGC9434; Monocyte chemoattractant protein 1; monocyte chemoattractant protein-1; Monocyte chemotactic protein 1; RP23-350G1.3; small inducible cytokine A2; small inducible gene JE; Small-inducible cytokine A2

          查看更多 收起

          基因别名: Ccl2; Je; MCP-1; Mcp1; Scya2; Sigje

          查看更多 收起

          UniProt ID: (Rat) P14844

          查看更多 收起

          Entrez Gene ID: (Rat) 24770

          查看更多 收起

          功能
          G-protein coupled receptor binding chemokine activity heparin binding CCR2 chemokine receptor binding cytokine intercellular signal molecule
          参与通路
          MAPK cascade response to hypoxia positive regulation of leukocyte mediated cytotoxicity positive regulation of endothelial cell proliferation leukocyte migration involved in inflammatory response monocyte chemotaxis positive regulation of leukocyte migration positive regulation of cellular extravasation cellular calcium ion homeostasis inflammatory response cytoskeleton organization transforming growth factor beta receptor signaling pathway aging glial cell migration regulation of cell shape response to heat response to wounding response to mechanical stimulus response to bacterium response to gamma radiation regulation of vascular endothelial growth factor production positive regulation of macrophage chemotaxis response to activity negative regulation of angiogenesis cytokine-mediated signaling pathway positive regulation of cell-cell adhesion neutrophil chemotaxis organ regeneration lipopolysaccharide-mediated signaling pathway response to lipopolysaccharide response to progesterone positive regulation of tumor necrosis factor production cellular response to insulin stimulus positive regulation of collagen biosynthetic process response to vitamin B3 negative regulation of glial cell apoptotic process helper T cell extravasation cellular response to drug cellular response to macrophage colony-stimulating factor stimulus cellular response to platelet-derived growth factor stimulus chemokinesis response to drug response to amino acid protein kinase B signaling negative regulation of neuron apoptotic process astrocyte cell migration cellular response to fibroblast growth factor stimulus response to ethanol positive regulation of cell adhesion response to antibiotic vascular endothelial growth factor receptor signaling pathway macrophage chemotaxis lymphocyte chemotaxis positive regulation of synaptic transmission positive regulation of T cell activation response to glucocorticoid positive regulation of nitric-oxide synthase biosynthetic process maternal process involved in female pregnancy maternal process involved in parturition chemokine-mediated signaling pathway cellular response to lipopolysaccharide cellular response to retinoic acid cellular response to ATP cellular response to interferon-gamma cellular response to interleukin-1 cellular response to interleukin-6 cellular response to tumor necrosis factor cellular response to lipoprotein particle stimulus cellular response to high density lipoprotein particle stimulus cellular response to organic cyclic compound cellular response to dexamethasone stimulus positive regulation of monocyte chemotaxis positive regulation of immune complex clearance by monocytes and macrophages positive regulation of calcium ion import positive regulation of protein targeting to membrane positive regulation of apoptotic cell clearance negative regulation of natural killer cell chemotaxis
          It has to be done as per old AB suggested Products section.
          guarantee_icon

          性能保障

          只要您发现Invitrogen抗体在实验中的表现与网站或说明书的所述内容不符,您即可享受免费退换货服务。*

          了解更多
          help_icon

          随时为您服务

          获取常见问题的专家解答,或者直接联系我们的技术专家,咨询应用、设备、常规产品使用问题。

          联系技术支持
          订购 Plus Icon Minus Icon
          • 订单状态查询
          • 订单支持
          • 货号直购
          • 现货供应中心
          • 电子采购
          支持 Plus Icon Minus Icon
          • 帮助&支持
          • 联系我们 - 400 820 8982
          • 技术支持中心
          • 查找文件&证书
          • 报告网站问题
          资源 Plus Icon Minus Icon
          • 学习中心
          • 促销
          • 活动&研讨会
          • 社交媒体
          关于赛默飞 Plus Icon Minus Icon
          • 关于我们
          • 招聘 招聘
          • 投资者关系 投资者关系
          • 新闻 新闻
          • 社会责任 社会责任
          • 商标
          • 政策和通知
          品牌 Plus Icon Minus Icon
          • Thermo Scientific
          • Applied Biosystems
          • Invitrogen
          • Gibco
          • Ion Torrent
          • Patheon
          • PPD
          • 服务条款
          • 隐私政策
          • 定价和运输保险政策
          © 2006-2026 Thermo Fisher Scientific Inc. All rights reserved. All trademarks are the property of Thermo Fisher Scientific and its subsidiaries unless otherwise specified.
          China flag icon
          China
          本网站销售的所有产品均不得用于人类或动物之临床诊断或治疗,仅可用于工业或者科研等非医疗目的。
             电子营业执照 | 经营证照公示 | ICP备案号:沪ICP备11003924号 | 沪公网安备 31011502006935号

          Your items have has been added!


          Host server : magellan-search-green-55658555d6-n5f6t:80/100.66.79.224:80.
          git-commit: ec8e7df5f8fec8d765bd419205f1b5046a016d37
          git-url: https://github.com/thermofisher/magellan-search
          git-branch: release/2.41.0-Offline