Hamburger Menu Button
Thermo Fisher Scientific Logo
登录
没有账号?建立账号 注册
  • 产品
    • 抗体
    • 引物合成
    • GeneArt Gene Synthesis Instant Designer
    • TaqMan Assay and Array Search
    • PCR 设备和耗材
    • 色谱柱和纯化柱
    • 实验室离心机
    • 分子生物学试剂和试剂盒
    • 实验室塑料耗材及用品
    • 查看所有产品分类
  • 应用和技术
    • 色谱
    • 细胞转染和培养
    • 实时荧光定量PCR
    • 质谱
    • 实验室塑料耗材及用品
    • 电子显微镜
    • 蛋白质生物学
    • PCR
    • RNAi
    • 环境
    • 查看所有应用和技术
  • 服务
    • 定制服务
    • 企业级实验室信息化服务
    • 金融&租赁服务
    • 仪器服务
    • OEM和商业供应
    • 培训服务
    • 360° CDMO 和 CRO 服务
    • CDMO 服务
    • 临床试验 CRO 服务
    • Unity Lab Services
    • 查看所有帮助和支持
  • 帮助和支持
    • 学习中心
    • 联系我们
    • 更改国家或地区
    • 查看所有帮助和支持
  • 热门产品
    • TaqMan Real-Time PCR Assays
      TaqMan 实时荧光定量 PCR 试剂盒
    • Antibodies
      抗体
    • Oligos, Primers & Probes
      寡核苷酸、引物、探针
    • GeneArt Gene Synthesis
      GeneArt 基因合成
    • Cell Culture Plastics
      细胞培养耗材
  • Who We Serve
    • 抗体治疗解决方案
    • 细胞与基因治疗解决方案
    • 学术科研
    • 工业与应用
  • 联系我们
  • 货号直购
  • 订单查询
  • 查找文件&证书
Thermo Fisher Scientific Logo

Search

搜索全部或下列指定分类
Search button
          • 联系我们
          • 货号直购
          • 登录
            登录
            没有账号?建立账号 注册
            • 我的账号
            • 订单
            • 会员中心
            • 账单及发票查询
            • 定制产品及项目
          • Primary Antibodies ›
          • CCL2 (MCP-1) Antibodies

          Invitrogen

          MCP-1 Monoclonal Antibody (2D8)

          22个已发表图片
          38 篇参考文献
          查看其他58个CCL2 (MCP-1)抗体

          {{$productOrderCtrl.translations['antibody.pdp.commerceCard.promotion.promotions']}}

          {{$productOrderCtrl.translations['antibody.pdp.commerceCard.promotion.viewpromo']}}

          {{$productOrderCtrl.translations['antibody.pdp.commerceCard.promotion.promocode']}}: {{promo.promoCode}} {{promo.promoTitle}} {{promo.promoDescription}}. {{$productOrderCtrl.translations['antibody.pdp.commerceCard.promotion.learnmore']}}

          说明书
          证书
          实验方案
          问题与答案
          技术支持
          说明书
          证书
          实验方案
          问题与答案
          技术支持
          说明书
          证书
          实验方案
          问题与答案
          技术支持

          Cite MCP-1 Monoclonal Antibody (2D8)

          Additional Information:
          {{banner.description}}
          {{$ctrl.isSkuNotesCollapsed ? 'View more' : 'View less'}}
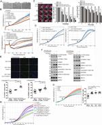
          • 抗体检测数据 (6)
          • 已发表图片 (22)
          MCP-1 Antibody in Immunocytochemistry (ICC/IF)
          Group 53 Created with Sketch.
          MCP-1 Antibody in Immunocytochemistry (ICC/IF)
          Group 53 Created with Sketch.

          图: 1 / 28

          {{ $ctrl.currentElement.advancedVerification.fullName }}
          {{ $ctrl.currentElement.advancedVerification.text }}

          MCP-1 Antibody (MA5-17040) in ICC/IF

          Immunofluorescence analysis of HepG2 cells using CCL2 monoclonal antibody (Product # MA5-17040) (Green). Blue: DRAQ5 fluorescent DNA dye. Red: actin filaments have been labeled with phalloidin. {{ $ctrl.currentElement.advancedVerification.fullName }} 验证信息 View more
          已发表图片由___提供 benchsci-logo
          PMID: {{$ctrl.currentElement.benchSciPubmedId}}
          查看产品

          {{$ctrl.videoDesc}}

          {{$ctrl.videoLongDesc}}

          MCP-1 Antibody in Immunocytochemistry (ICC/IF)
          MCP-1 Antibody in Immunocytochemistry (ICC/IF)
          MCP-1 Antibody in Immunohistochemistry (Paraffin) (IHC (P))
          MCP-1 Antibody in Western Blot (WB)
          MCP-1 Antibody in Western Blot (WB)
          MCP-1 Antibody in Flow Cytometry (Flow)
          MCP-1 Antibody in Immunocytochemistry (ICC/IF)
          MCP-1 Antibody in Immunohistochemistry (Paraffin) (IHC (P))
          MCP-1 Antibody in Western Blot (WB)
          MCP-1 Antibody in Immunocytochemistry (ICC/IF)
          MCP-1 Antibody in Immunocytochemistry (ICC/IF)
          MCP-1 Antibody in Immunohistochemistry (Paraffin) (IHC (P))
          MCP-1 Antibody in Immunohistochemistry (IHC)
          MCP-1 Antibody in Immunohistochemistry (IHC)
          MCP-1 Antibody in Immunohistochemistry (IHC)
          MCP-1 Antibody in Immunohistochemistry (IHC)
          MCP-1 Antibody in Immunohistochemistry (IHC)
          MCP-1 Antibody in Immunohistochemistry (IHC)
          MCP-1 Antibody in Western Blot (WB)
          MCP-1 Antibody in Western Blot (WB)
          MCP-1 Antibody in Western Blot (WB)
          MCP-1 Antibody in Western Blot (WB)
          MCP-1 Antibody in Western Blot (WB)
          MCP-1 Antibody in Western Blot (WB)
          MCP-1 Antibody in Flow Cytometry (Flow)
          MCP-1 Antibody in Neutralization (Neu)
          MCP-1 Antibody in Neutralization (Neu)
          MCP-1 Antibody in Neutralization (Neu)

          产品信息

          MA5-17040

          应用
          建议稀释比
          已发表文章

          免疫印迹 (WB)

          1:500-1:2,000
          查看9篇已发表文章 9篇已发表文章

          免疫组化 (IHC)

          -
          查看16篇已发表文章 16篇已发表文章

          免疫组化(石蜡) (IHC (P))

          1:200-1:1,000
          查看2篇已发表文章 2篇已发表文章

          免疫组化(冰冻) (IHC (F))

          -
          查看1篇已发表文章 1篇已发表文章

          免疫细胞化学 (ICC/IF)

          1:200-1:1,000
          查看4篇已发表文章 4篇已发表文章

          流式细胞分析 (Flow)

          1:200-1:400
          查看2篇已发表文章 2篇已发表文章

          酶联免疫吸附实验 (ELISA)

          1:10,000
          查看2篇已发表文章 2篇已发表文章

          中和实验 (Neu)

          -
          查看2篇已发表文章 2篇已发表文章
          产品规格

          种属反应

          Human, Mouse, Non-human primate

          已发表种属

          Human, Mouse, Rat

          宿主/亚型

          Mouse / IgG1

          分类

          Monoclonal

          类型

          Antibody

          克隆号

          2D8

          抗原

          Purified recombinant fragment of human CCL2 expressed in E. Coli.

          偶联物

          Unconjugated Unconjugated Unconjugated

          形式

          Liquid

          浓度

          1 mg/mL

          规格

          100 µg

          纯化类型

          Protein G

          保存液

          PBS

          内含物

          0.05% sodium azide

          保存条件

          Store at 4°C short term. For long term storage, store at -20°C, avoiding freeze/thaw cycles.

          运输条件

          Ambient (domestic); Wet ice (international)

          RRID

          AB_2538512

          产品详细信息

          MA5-17040 targets CCL2 in indirect ELISA, FACS, ICC, IHC, IF and WB applications and shows reactivity with Human, Mouse, and Non-human primate samples.

          The MA5-17040 immunogen is purified recombinant fragment of human CCL2 expressed in E. Coli.

          MA5-17040 detects CCL2 which has a predicted molecular weight of approximately 11kDa.

          靶标信息

          This gene is one of several cytokine genes clustered on the q-arm of chromosome 17. Cytokines are a family of secreted proteins involved in immunoregulatory and inflammatory processes. The protein encoded by this gene is structurally related to the CXC subfamily of cytokines. Members of this subfamily are characterized by two cysteines separated by a single amino acid. This cytokine displays chemotactic activity for monocytes and basophils but not for neutrophils or eosinophils. It has been implicated in the pathogenesis of diseases characterized by monocytic infiltrates, like psoriasis, rheumatoid arthritis and atherosclerosis. It binds to chemokine receptors CCR2 and CCR4.

          仅用于科研。不用于诊断过程。未经明确授权不得转售。

          生物信息学

          蛋白别名: C-C motif chemokine 2; chemokine (C-C motif) ligand 2; chemotactic and activating factor precursor; Genbank Staff Annotation: The small inducible cytokine A2 (SWISS-PROT ACC P13500) is encoded in this mRNA, although it is interrupted and partial, perhaps indicating that this CDS is not the true product of the gamma.1 gene.; H-MCP-1; HC11; MCAF; MCP-1; MGC9434; Monocyte chemoattractant protein 1; monocyte chemoattractant protein-1; Monocyte chemotactic and activating factor; monocyte chemotactic protein; Monocyte chemotactic protein 1; Monocyte secretory protein JE; Mutations: 171:OK; Platelet-derived growth factor-inducible protein JE; RP23-350G1.3; small inducible cytokine A2; small inducible cytokine A2 (monocyte chemotactic protein 1, homologous to mouse Sig-je); small inducible cytokine subfamily A (Cys-Cys), member 2; Small-inducible cytokine A2; unnamed protein product

          查看更多 收起

          基因别名: AI323594; CCL2; GDCF-2; HC11; HSMCR30; JE; MCAF; MCP-1; MCP1; SCYA2; Sigje; SMC-CF

          查看更多 收起

          UniProt ID: (Human) P13500, (Mouse) P10148

          查看更多 收起

          Entrez Gene ID: (Human) 6347, (Mouse) 20296

          查看更多 收起

          功能
          protein kinase activity receptor binding cytokine activity protein binding chemokine activity CCR2 chemokine receptor binding chemoattractant activity CCR chemokine receptor binding G-protein coupled receptor binding heparin binding cytokine intercellular signal molecule
          参与通路
          angiogenesis monocyte chemotaxis protein phosphorylation chemotaxis inflammatory response immune response humoral immune response cytoskeleton organization cell adhesion signal transduction cell surface receptor signaling pathway G-protein coupled receptor signaling pathway G-protein coupled receptor signaling pathway, coupled to cyclic nucleotide second messenger JAK-STAT cascade regulation of cell shape response to bacterium organ morphogenesis positive regulation of gene expression positive regulation of macrophage chemotaxis viral genome replication cytokine-mediated signaling pathway sensory perception of pain cellular homeostasis positive regulation of cell migration negative regulation of glial cell apoptotic process helper T cell extravasation chemokine (C-C motif) ligand 2 signaling pathway negative regulation of neuron apoptotic process astrocyte cell migration cellular response to fibroblast growth factor stimulus eosinophil chemotaxis macrophage chemotaxis positive regulation of T cell activation positive chemotaxis positive regulation of synaptic transmission, glutamatergic antimicrobial humoral immune response mediated by antimicrobial peptide chemokine-mediated signaling pathway cellular response to lipopolysaccharide cellular response to interferon-gamma cellular response to interleukin-1 cellular response to tumor necrosis factor positive regulation of calcium ion import positive regulation of glutamate receptor signaling pathway negative regulation of vascular endothelial cell proliferation negative regulation of G1/S transition of mitotic cell cycle positive regulation of endothelial cell apoptotic process positive regulation of apoptotic cell clearance negative regulation of natural killer cell chemotaxis positive regulation of leukocyte mediated cytotoxicity positive regulation of endothelial cell proliferation leukocyte migration involved in inflammatory response positive regulation of leukocyte migration positive regulation of cellular extravasation cellular calcium ion homeostasis transforming growth factor beta receptor signaling pathway glial cell migration response to heat response to wounding regulation of vascular endothelial growth factor production negative regulation of angiogenesis positive regulation of cell-cell adhesion neutrophil chemotaxis positive regulation of tumor necrosis factor production positive regulation of collagen biosynthetic process monocyte homeostasis positive regulation of cell adhesion vascular endothelial growth factor receptor signaling pathway lymphocyte chemotaxis positive regulation of synaptic transmission positive regulation of nitric-oxide synthase biosynthetic process positive regulation of monocyte chemotaxis positive regulation of immune complex clearance by monocytes and macrophages positive regulation of protein targeting to membrane
          It has to be done as per old AB suggested Products section.

          Disclaimer

          Close

          Clicking the images or links will redirect you to a website hosted by BenchSci that provides third-party scientific content. Neither the content nor the BenchSci technology and processes for selection have been evaluated by us; we are providing them as-is and without warranty of any kind, including for use or application of the Thermo Fisher Scientific products presented.

          guarantee_icon

          性能保障

          只要您发现Invitrogen抗体在实验中的表现与网站或说明书的所述内容不符,您即可享受免费退换货服务。*

          了解更多
          help_icon

          随时为您服务

          获取常见问题的专家解答,或者直接联系我们的技术专家,咨询应用、设备、常规产品使用问题。

          联系技术支持
          订购 Plus Icon Minus Icon
          • 订单状态查询
          • 订单支持
          • 货号直购
          • 现货供应中心
          • 电子采购
          支持 Plus Icon Minus Icon
          • 帮助&支持
          • 联系我们 - 400 820 8982
          • 技术支持中心
          • 查找文件&证书
          • 报告网站问题
          资源 Plus Icon Minus Icon
          • 学习中心
          • 促销
          • 活动&研讨会
          • 社交媒体
          关于赛默飞 Plus Icon Minus Icon
          • 关于我们
          • 招聘 招聘
          • 投资者关系 投资者关系
          • 新闻 新闻
          • 社会责任 社会责任
          • 商标
          • 政策和通知
          品牌 Plus Icon Minus Icon
          • Thermo Scientific
          • Applied Biosystems
          • Invitrogen
          • Gibco
          • Ion Torrent
          • Unity Lab Services
          • Patheon
          • PPD
          • 服务条款
          • 隐私政策
          • 定价和运输保险政策
          © 2006-2026 Thermo Fisher Scientific Inc. All rights reserved. All trademarks are the property of Thermo Fisher Scientific and its subsidiaries unless otherwise specified.
          China flag icon
          China
          本网站销售的所有产品均不得用于人类或动物之临床诊断或治疗,仅可用于工业或者科研等非医疗目的。
             电子营业执照 | 经营证照公示 | ICP备案号:沪ICP备11003924号 | 沪公网安备 31011502006935号

          Your items have has been added!


          Host server : magellan-search-green-6479c7f679-jmhj8:80/100.66.74.142:80.
          git-commit: b70c0dceb888abc3b0dcebb5bc3a5b8753e7e816
          git-url: https://github.com/thermofisher/magellan-search
          git-branch: release/2.50.0-Offline