Hamburger Menu Button
Thermo Fisher Scientific Logo
登录
没有账号?建立账号 注册
  • 产品
    • 抗体
    • 引物合成
    • GeneArt Gene Synthesis Instant Designer
    • TaqMan Assay and Array Search
    • PCR 设备和耗材
    • 色谱柱和纯化柱
    • 实验室离心机
    • 分子生物学试剂和试剂盒
    • 实验室塑料耗材及用品
    • 查看所有产品分类
  • 应用和技术
    • 色谱
    • 细胞转染和培养
    • 实时荧光定量PCR
    • 质谱
    • 实验室塑料耗材及用品
    • 电子显微镜
    • 蛋白质生物学
    • PCR
    • RNAi
    • 环境
    • 查看所有应用和技术
  • 服务
    • 定制服务
    • 企业级实验室信息化服务
    • 金融&租赁服务
    • 仪器服务
    • OEM和商业供应
    • 培训服务
    • 360° CDMO 和 CRO 服务
    • CDMO 服务
    • 临床试验 CRO 服务
    • Unity Lab Services
    • 查看所有帮助和支持
  • 帮助和支持
    • 学习中心
    • 联系我们
    • 更改国家或地区
    • 查看所有帮助和支持
  • 热门产品
    • TaqMan Real-Time PCR Assays
      TaqMan 实时荧光定量 PCR 试剂盒
    • Antibodies
      抗体
    • Oligos, Primers & Probes
      寡核苷酸、引物、探针
    • GeneArt Gene Synthesis
      GeneArt 基因合成
    • Cell Culture Plastics
      细胞培养耗材
  • Who We Serve
    • 抗体治疗解决方案
    • 细胞与基因治疗解决方案
    • 学术科研
    • 工业与应用
  • 联系我们
  • 货号直购
  • 订单查询
  • 查找文件&证书
Thermo Fisher Scientific Logo

Search

搜索全部或下列指定分类
Search button
          • 联系我们
          • 货号直购
          • 登录
            登录
            没有账号?建立账号 注册
            • 我的账号
            • 订单
            • 会员中心
            • 账单及发票查询
            • 定制产品及项目
          • Primary Antibodies ›
          • TRAP220 Antibodies

          Bethyl Laboratories

          MED1 Recombinant Rabbit Monoclonal Antibody (BLR037F)

          查看其他22个TRAP220抗体

          {{$productOrderCtrl.translations['antibody.pdp.commerceCard.promotion.promotions']}}

          {{$productOrderCtrl.translations['antibody.pdp.commerceCard.promotion.viewpromo']}}

          {{$productOrderCtrl.translations['antibody.pdp.commerceCard.promotion.promocode']}}: {{promo.promoCode}} {{promo.promoTitle}} {{promo.promoDescription}}. {{$productOrderCtrl.translations['antibody.pdp.commerceCard.promotion.learnmore']}}

          说明书
          证书
          实验方案
          问题与答案
          技术支持
          说明书
          证书
          实验方案
          问题与答案
          技术支持
          说明书
          证书
          实验方案
          问题与答案
          技术支持

          Cite MED1 Recombinant Rabbit Monoclonal Antibody (BLR037F)

          Additional Information:
          {{banner.description}}
          {{$ctrl.isSkuNotesCollapsed ? 'View more' : 'View less'}}
          • 抗体检测数据 (8)
          MED1 Antibody in Immunocytochemistry (ICC/IF)
          Group 53 Created with Sketch.
          MED1 Antibody in Immunocytochemistry (ICC/IF)
          Group 53 Created with Sketch.

          图: 1 / 8

          {{ $ctrl.currentElement.advancedVerification.fullName }}
          {{ $ctrl.currentElement.advancedVerification.text }}

          MED1 Antibody (A700-037) in ICC/IF

          Detection of human MED1 in FFPE HCT 116 cells by immunocytochemistry. Antibody: Rabbit anti-MED1 recombinant monoclonal antibody [BLR037F] (Product # A700-037) (lot 2). Secondary: HRP-conjugated goat anti-rabbit IgG (A120-501P). Substrate: DAB. {{ $ctrl.currentElement.advancedVerification.fullName }} 验证信息 View more
          已发表图片由___提供 benchsci-logo
          PMID: {{$ctrl.currentElement.benchSciPubmedId}}
          查看产品

          {{$ctrl.videoDesc}}

          {{$ctrl.videoLongDesc}}

          MED1 Antibody in Immunocytochemistry (ICC/IF)
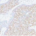
          MED1 Antibody in Immunohistochemistry (Paraffin) (IHC (P))
          MED1 Antibody in Immunohistochemistry (Paraffin) (IHC (P))
          MED1 Antibody in Western Blot (WB)
          MED1 Antibody in Western Blot (WB)
          MED1 Antibody in Flow Cytometry (Flow)
          MED1 Antibody in Flow Cytometry (Flow)
          MED1 Antibody in Immunoprecipitation (IP)
          MED1 Recombinant Rabbit Monoclonal Antibody (BLR037F)

          产品信息

          A700-037

          应用
          建议稀释比
          已发表文章

          免疫印迹 (WB)

          1:1,000
          -

          免疫组化(石蜡) (IHC (P))

          1:100 - 1:500
          -

          免疫细胞化学 (ICC/IF)

          1:100 - 1:500
          -

          流式细胞分析 (Flow)

          1 µL per 1 x 10^6 cells
          -

          免疫沉淀 (IP)

          Assay-dependent
          -
          产品规格

          种属反应

          Human, Mouse

          宿主/亚型

          Rabbit / IgG

          Expression System

          HEK293 cells

          分类

          Recombinant Monoclonal

          类型

          Antibody

          克隆号

          BLR037F

          抗原

          Peptide representing a region between residue 1550 and the C-terminus (residue 1581) of human Mediator complex subunit 1.
          3D表位/免疫原

          偶联物

          Unconjugated Unconjugated Unconjugated

          形式

          Liquid

          浓度

          100 µg/mL

          规格

          10 µg

          纯化类型

          purified

          保存液

          BBS, pH 7.8 to 8.6, with 0.1% BSA

          内含物

          0.09% sodium azide

          保存条件

          4°C

          运输条件

          Ambient (domestic); Wet ice (international)

          靶标信息

          Component of the Mediator complex, a coactivator involved in the regulated transcription of nearly all RNA polymerase II-dependent genes. Mediator functions as a bridge to convey information from gene-specific regulatory proteins to the basal RNA polymerase II transcription machinery. Mediator is recruited to promoters by direct interactions with regulatory proteins and serves as a scaffold for the assembly of a functional preinitiation complex with RNA polymerase II and the general transcription factors.

          仅用于科研。不用于诊断过程。未经明确授权不得转售。

          篇参考文献 (0)

          您是否在文献中引用过该产品?请点击下方按钮邮件告知我们。
          引用该产品

          生物信息学

          蛋白别名: Activator-recruited cofactor 205 kDa component; ARC205; Mediator complex subunit 1; Mediator of RNA polymerase II transcription subunit 1; nuclear receptor interacting protein; p53 regulatory protein RB18A; PBP; peroxisome proliferator activated receptor binding protein; Peroxisome proliferator-activated receptor-binding protein; Ppar binding protein; PPAR-binding protein; PPARG binding protein; PPRB; Thyroid hormone receptor-associated protein complex 220 kDa component; thyroid hormone receptor-associated protein complex component TRAP220; thyroid receptor interacting protein 2; Thyroid receptor-interacting protein 2; TR-interacting protein 2; Trap220; TRIP-2; unnamed protein product; vitamin D receptor-interacting protein 230 kD; Vitamin D receptor-interacting protein complex component DRIP205

          查看更多 收起

          基因别名: AI480703; ARC205; CRSP1; CRSP200; CRSP210; DRIP205; DRIP230; l11Jus15; MED1; PBP; PPARBP; PPARGBP; RB18A; TRAP220; TRIP2

          查看更多 收起

          UniProt ID: (Human) Q15648, (Mouse) Q925J9

          查看更多 收起

          Entrez Gene ID: (Human) 5469, (Mouse) 19014

          查看更多 收起

          功能
          RNA polymerase II core promoter proximal region sequence-specific DNA binding transcription coactivator binding DNA binding chromatin binding transcription cofactor activity transcription coactivator activity transcription corepressor activity protein binding ligand-dependent nuclear receptor binding estrogen receptor binding chromatin DNA binding histone acetyltransferase binding vitamin D receptor binding retinoic acid receptor binding peroxisome proliferator activated receptor binding macromolecular complex binding thyroid hormone receptor binding LBD domain binding RNA polymerase II sequence-specific DNA binding transcription factor binding ubiquitin protein ligase activity general transcription initiation factor binding DNA-binding transcription factor binding promoter-specific chromatin binding RNA polymerase II transcription factor activity, sequence-specific DNA binding core promoter binding RNA polymerase II transcription cofactor activity receptor activity transcription factor binding ligand-dependent nuclear receptor transcription coactivator activity thyroid hormone receptor coactivator activity protein complex binding nuclear hormone receptor binding mediator complex binding RNA metabolism protein nucleic acid metabolism protein general transcription factor
          参与通路
          negative regulation of transcription from RNA polymerase II promoter cell morphogenesis angiogenesis in utero embryonic development liver development embryonic placenta development lens development in camera-type eye thyroid hormone mediated signaling pathway ventricular trabecula myocardium morphogenesis retinal pigment epithelium development regulation of transcription, DNA-templated regulation of transcription from RNA polymerase II promoter thyroid hormone generation protein import into nucleus androgen biosynthetic process brain development heart development lactation positive regulation of cell proliferation organ morphogenesis positive regulation of gene expression negative regulation of keratinocyte proliferation protein ubiquitination keratinocyte differentiation monocyte differentiation intracellular steroid hormone receptor signaling pathway organ regeneration positive regulation of transcription elongation from RNA polymerase II promoter positive regulation of intracellular estrogen receptor signaling pathway mammary gland epithelial cell proliferation embryonic heart tube development embryonic hindlimb morphogenesis embryonic hemopoiesis peroxisome proliferator activated receptor signaling pathway cellular response to hepatocyte growth factor stimulus megakaryocyte development mRNA transcription from RNA polymerase II promoter camera-type eye development negative regulation of apoptotic process G0 to G1 transition fat cell differentiation positive regulation of keratinocyte differentiation positive regulation of erythrocyte differentiation negative regulation of neuron differentiation positive regulation of transcription, DNA-templated positive regulation of transcription from RNA polymerase II promoter erythrocyte development enucleate erythrocyte development RNA polymerase II transcriptional preinitiation complex assembly hematopoietic stem cell differentiation positive regulation of transcription initiation from RNA polymerase II promoter positive regulation of interferon-gamma-mediated signaling pathway mammary gland branching involved in thelarche mammary gland branching involved in pregnancy epithelial cell proliferation involved in mammary gland duct elongation positive regulation of G0 to G1 transition regulation of vitamin D receptor signaling pathway cellular response to epidermal growth factor stimulus cellular response to steroid hormone stimulus cellular response to thyroid hormone stimulus positive regulation of hepatocyte proliferation regulation of RNA biosynthetic process transcription, DNA-templated regulation of transcription from RNA polymerase I promoter transcription from RNA polymerase II promoter transcription initiation from RNA polymerase II promoter multicellular organism development androgen receptor signaling pathway positive regulation of protein import into nucleus, translocation positive regulation of mammary gland epithelial cell proliferation ERK1 and ERK2 cascade positive regulation of receptor activity
          It has to be done as per old AB suggested Products section.

          Disclaimer

          Close

          Clicking the images or links will redirect you to a website hosted by BenchSci that provides third-party scientific content. Neither the content nor the BenchSci technology and processes for selection have been evaluated by us; we are providing them as-is and without warranty of any kind, including for use or application of the Thermo Fisher Scientific products presented.

          guarantee_icon

          性能保障

          只要您发现Invitrogen抗体在实验中的表现与网站或说明书的所述内容不符,您即可享受免费退换货服务。*

          了解更多
          help_icon

          随时为您服务

          获取常见问题的专家解答,或者直接联系我们的技术专家,咨询应用、设备、常规产品使用问题。

          联系技术支持
          订购 Plus Icon Minus Icon
          • 订单状态查询
          • 订单支持
          • 货号直购
          • 现货供应中心
          • 电子采购
          支持 Plus Icon Minus Icon
          • 帮助&支持
          • 联系我们 - 400 820 8982
          • 技术支持中心
          • 查找文件&证书
          • 报告网站问题
          资源 Plus Icon Minus Icon
          • 学习中心
          • 促销
          • 活动&研讨会
          • 社交媒体
          关于赛默飞 Plus Icon Minus Icon
          • 关于我们
          • 招聘 招聘
          • 投资者关系 投资者关系
          • 新闻 新闻
          • 社会责任 社会责任
          • 商标
          • 政策和通知
          品牌 Plus Icon Minus Icon
          • Thermo Scientific
          • Applied Biosystems
          • Invitrogen
          • Gibco
          • Ion Torrent
          • Unity Lab Services
          • Patheon
          • PPD
          • 服务条款
          • 隐私政策
          • 定价和运输保险政策
          © 2006-2026 Thermo Fisher Scientific Inc. All rights reserved. All trademarks are the property of Thermo Fisher Scientific and its subsidiaries unless otherwise specified.
          China flag icon
          China
          本网站销售的所有产品均不得用于人类或动物之临床诊断或治疗,仅可用于工业或者科研等非医疗目的。
             电子营业执照 | 经营证照公示 | ICP备案号:沪ICP备11003924号 | 沪公网安备 31011502006935号

          Your items have has been added!


          Host server : magellan-search-green-6479c7f679-v472f:80/100.66.78.195:80.
          git-commit: b70c0dceb888abc3b0dcebb5bc3a5b8753e7e816
          git-url: https://github.com/thermofisher/magellan-search
          git-branch: release/2.50.0-Offline