Hamburger Menu Button
Thermo Fisher Scientific Logo
登录
没有账号?建立账号 注册
  • 产品
    • 抗体
    • 引物合成
    • GeneArt Gene Synthesis Instant Designer
    • TaqMan Assay and Array Search
    • PCR 设备和耗材
    • 色谱柱和纯化柱
    • 实验室离心机
    • 分子生物学试剂和试剂盒
    • 实验室塑料耗材及用品
    • 查看所有产品分类
  • 应用和技术
    • 色谱
    • 细胞转染和培养
    • 实时荧光定量PCR
    • 质谱
    • 实验室塑料耗材及用品
    • 电子显微镜
    • 蛋白质生物学
    • PCR
    • RNAi
    • 环境
    • 查看所有应用和技术
  • 服务
    • 定制服务
    • 企业级实验室信息化服务
    • 企业服务
    • 金融&租赁服务
    • 仪器服务
    • OEM和商业供应
    • 培训服务
    • 360° CDMO 和 CRO 服务
    • CDMO 服务
    • 临床试验 CRO 服务
    • 查看所有帮助和支持
  • 帮助和支持
    • 学习中心
    • 联系我们
    • 更改国家或地区
    • 查看所有帮助和支持
  • 热门产品
    • TaqMan Real-Time PCR Assays
      TaqMan 实时荧光定量 PCR 试剂盒
    • Antibodies
      抗体
    • Oligos, Primers & Probes
      寡核苷酸、引物、探针
    • GeneArt Gene Synthesis
      GeneArt 基因合成
    • Cell Culture Plastics
      细胞培养耗材
  • 联系我们
  • 货号直购
  • 订单查询
  • 查找文件&证书
Thermo Fisher Scientific Logo

Search

搜索全部或下列指定分类
Search button
          • 联系我们
          • 货号直购
          • 登录
            登录
            没有账号?建立账号 注册
            • 我的账号
            • 订单
            • 账单及发票查询
            • 定制产品及项目

          Disclaimer

          Clicking the images or links will redirect you to a website hosted by BenchSci that provides third-party scientific content. Neither the content nor the BenchSci technology and processes for selection have been evaluated by us; we are providing them as-is and without warranty of any kind, including for use or application of the Thermo Fisher Scientific products presented.

          • Primary Antibodies ›
          • MEF2C Antibodies

          OriGene

          MEF2C Monoclonal Antibody (OTI2B12), TrueMAB™

          查看其他28个MEF2C抗体

          {{$productOrderCtrl.translations['antibody.pdp.commerceCard.promotion.promotions']}}

          {{$productOrderCtrl.translations['antibody.pdp.commerceCard.promotion.viewpromo']}}

          {{$productOrderCtrl.translations['antibody.pdp.commerceCard.promotion.promocode']}}: {{promo.promoCode}} {{promo.promoTitle}} {{promo.promoDescription}}. {{$productOrderCtrl.translations['antibody.pdp.commerceCard.promotion.learnmore']}}

          说明书
          证书
          实验方案
          问题与答案
          技术支持
          说明书
          证书
          实验方案
          问题与答案
          技术支持
          说明书
          证书
          实验方案
          问题与答案
          技术支持

          Cite MEF2C Monoclonal Antibody (OTI2B12), TrueMAB™

          • 抗体检测数据 (5)
          MEF2C Antibody in Immunohistochemistry (Paraffin) (IHC (P))
          Group 53 Created with Sketch.
          MEF2C Antibody in Immunohistochemistry (Paraffin) (IHC (P))
          Group 53 Created with Sketch.

          图: 1 / 5

          {{ $ctrl.currentElement.advancedVerification.fullName }}
          {{ $ctrl.currentElement.advancedVerification.text }}

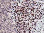
          MEF2C Antibody (CF502502) in IHC (P)

          Immunohistochemical staining of paraffin-embedded human colon tissue within the normal limits using anti-MEF2C mouse monoclonal antibody. (Heat-induced epitope retrieval by 10mM citric buffer, pH6.0, 100°C for 10min, TA502502) {{ $ctrl.currentElement.advancedVerification.fullName }} 验证信息 View more
          已发表图片由___提供 benchsci-logo
          PMID: {{$ctrl.currentElement.benchSciPubmedId}}
          查看产品

          {{$ctrl.videoDesc}}

          {{$ctrl.videoLongDesc}}

          MEF2C Antibody in Immunohistochemistry (Paraffin) (IHC (P))
          MEF2C Antibody in Immunohistochemistry (Paraffin) (IHC (P))
          MEF2C Antibody in Immunohistochemistry (Paraffin) (IHC (P))
          MEF2C Antibody in Immunohistochemistry (Paraffin) (IHC (P))
          MEF2C Antibody in Western Blot (WB)

          产品信息

          CF502502

          应用
          建议稀释比
          已发表文章

          免疫印迹 (WB)

          1:2,000
          -

          免疫组化(石蜡) (IHC (P))

          1:150
          -
          产品规格

          种属反应

          Human

          宿主/亚型

          Mouse / IgG1

          分类

          Monoclonal

          类型

          Antibody

          克隆号

          OTI2B12

          抗原

          full length human recombinant protein of human MEF2C produced in HEK293T cell.

          偶联物

          Unconjugated Unconjugated Unconjugated

          形式

          Lyophilized

          浓度

          1 mg/mL

          纯化类型

          Affinity chromatography

          保存液

          PBS, pH 7.3, with 8% trehalose

          内含物

          no preservative

          保存条件

          -20°C, Avoid Freeze/Thaw Cycles

          运输条件

          Ambient (domestic); Wet ice (international)

          产品详细信息

          For reconstitution, we recommend adding 100 µL distilled water to a final antibody concentration of about 1 mg/mL. To use this carrier-free antibody for conjugation experiments, we strongly recommend performing another round of desalting. (Zeba Spin Desalting Columns, 7KMWCO, 0.5 mL, Product # 89882)

          靶标信息

          MEF2C is a transcription activator which binds specifically to the MEF2 element present in the regulatory regions of many muscle-specific genes. Controls cardiac morphogenesis and myogenesis, and is also involved in vascular development. Plays an essential role in hippocampal-dependent learning and memory by suppressing the number of excitatory synapses and thus regulating basal and evoked synaptic transmission. Crucial for normal neuronal development, distribution, and electrical activity in the neocortex. Necessary for proper development of megakaryocytes and platelets and for bone marrow B lymphopoiesis. Required for B-cell survival and proliferation in response to BCR stimulation, efficient IgG1 antibody responses to T-cell-dependent antigens and for normal induction of germinal center B cells. May also be involved in neurogenesis and in the development of cortical architecture. Isoform 3 and isoform 4, which lack the repressor domain, are more active than isoform 1 and isoform 2.

          仅用于科研。不用于诊断过程。未经明确授权不得转售。

          篇参考文献 (0)

          您是否在文献中引用过该产品?请点击下方按钮邮件告知我们。
          引用该产品

          生物信息学

          蛋白别名: MADS box transcription enhancer factor 2, polypeptide C; Myocyte enhancer factor 2C; Myocyte-specific enhancer factor 2C

          查看更多 收起

          基因别名: C5DELq14.3; DEL5q14.3; MEF2C

          查看更多 收起

          UniProt ID: (Human) Q06413

          查看更多 收起

          Entrez Gene ID: (Human) 4208

          查看更多 收起

          功能
          RNA polymerase II regulatory region sequence-specific DNA binding RNA polymerase II core promoter proximal region sequence-specific DNA binding RNA polymerase II distal enhancer sequence-specific DNA binding RNA polymerase II transcription factor activity, sequence-specific DNA binding transcription factor activity, RNA polymerase II core promoter sequence-specific core promoter sequence-specific DNA binding transcriptional activator activity, RNA polymerase II core promoter proximal region sequence-specific binding transcriptional activator activity, RNA polymerase II distal enhancer sequence-specific binding AT DNA binding chromatin binding transcription factor activity, sequence-specific DNA binding protein binding activating transcription factor binding miRNA binding histone deacetylase binding transcription regulatory region DNA binding protein heterodimerization activity HMG box domain binding
          参与通路
          negative regulation of transcription from RNA polymerase II promoter MAPK cascade blood vessel development osteoblast differentiation neuron migration B cell homeostasis heart looping endochondral ossification blood vessel remodeling chondrocyte differentiation germinal center formation regulation of germinal center formation primary heart field specification secondary heart field specification outflow tract morphogenesis sinoatrial valve morphogenesis cardiac ventricle formation regulation of transcription, DNA-templated transcription from RNA polymerase II promoter apoptotic process humoral immune response nervous system development heart development muscle organ development skeletal muscle tissue development muscle cell fate determination learning or memory response to virus positive regulation of gene expression negative regulation of gene expression positive regulation of alkaline phosphatase activity neural crest cell differentiation cardiac muscle hypertrophy in response to stress myotube differentiation neuron differentiation platelet formation monocyte differentiation negative regulation of ossification melanocyte differentiation positive regulation of bone mineralization positive regulation of B cell proliferation cellular response to drug skeletal muscle cell differentiation cellular response to trichostatin A B cell proliferation regulation of neuron apoptotic process negative regulation of neuron apoptotic process regulation of megakaryocyte differentiation positive regulation of myoblast differentiation positive regulation of neuron differentiation positive regulation of osteoblast differentiation positive regulation of transcription, DNA-templated positive regulation of transcription from RNA polymerase II promoter regulation of neurotransmitter secretion regulation of synaptic plasticity positive regulation of skeletal muscle tissue development neuron development cell morphogenesis involved in neuron differentiation embryonic viscerocranium morphogenesis negative regulation of epithelial cell proliferation B cell receptor signaling pathway smooth muscle cell differentiation positive regulation of muscle cell differentiation regulation of synapse assembly regulation of synaptic transmission, glutamatergic ventricular cardiac muscle cell differentiation palate development regulation of synaptic activity positive regulation of cardiac muscle cell proliferation excitatory postsynaptic potential regulation of sarcomere organization cartilage morphogenesis regulation of dendritic spine development renal tubule morphogenesis cellular response to lipopolysaccharide cellular response to calcium ion cellular response to parathyroid hormone stimulus cellular response to fluid shear stress cellular response to transforming growth factor beta stimulus positive regulation of cell proliferation in bone marrow glomerulus morphogenesis nephron tubule epithelial cell differentiation positive regulation of protein homodimerization activity positive regulation of macrophage apoptotic process regulation of N-methyl-D-aspartate selective glutamate receptor activity regulation of alpha-amino-3-hydroxy-5-methyl-4-isoxazole propionate selective glutamate receptor activity positive regulation of cardiac muscle cell differentiation positive regulation of behavioral fear response epithelial cell proliferation involved in renal tubule morphogenesis positive regulation of skeletal muscle cell differentiation
          It has to be done as per old AB suggested Products section.
          guarantee_icon

          性能保障

          只要您发现Invitrogen抗体在实验中的表现与网站或说明书的所述内容不符,您即可享受免费退换货服务。*

          了解更多
          help_icon

          随时为您服务

          获取常见问题的专家解答,或者直接联系我们的技术专家,咨询应用、设备、常规产品使用问题。

          联系技术支持
          订购 Plus Icon Minus Icon
          • 订单状态查询
          • 订单支持
          • 货号直购
          • 现货供应中心
          • 电子采购
          支持 Plus Icon Minus Icon
          • 帮助&支持
          • 联系我们 - 400 820 8982
          • 技术支持中心
          • 查找文件&证书
          • 报告网站问题
          资源 Plus Icon Minus Icon
          • 学习中心
          • 促销
          • 活动&研讨会
          • 社交媒体
          关于赛默飞 Plus Icon Minus Icon
          • 关于我们
          • 招聘 招聘
          • 投资者关系 投资者关系
          • 新闻 新闻
          • 社会责任 社会责任
          • 商标
          • 政策和通知
          品牌 Plus Icon Minus Icon
          • Thermo Scientific
          • Applied Biosystems
          • Invitrogen
          • Gibco
          • Ion Torrent
          • Patheon
          • PPD
          • 服务条款
          • 隐私政策
          • 定价和运输保险政策
          © 2006-2026 Thermo Fisher Scientific Inc. All rights reserved. All trademarks are the property of Thermo Fisher Scientific and its subsidiaries unless otherwise specified.
          China flag icon
          China
          本网站销售的所有产品均不得用于人类或动物之临床诊断或治疗,仅可用于工业或者科研等非医疗目的。
             电子营业执照 | 经营证照公示 | ICP备案号:沪ICP备11003924号 | 沪公网安备 31011502006935号

          Your items have has been added!


          Host server : magellan-search-blue-55ff9ddd88-phcsm:80/100.66.77.16:80.
          git-commit: d366ff9721d93504b2ac26a183b2b3e3d0e7d9ec
          git-url: https://github.com/thermofisher/magellan-search
          git-branch: release/2.42.0-2026.01.03-1.0