Hamburger Menu Button
Thermo Fisher Scientific Logo
登录
没有账号?建立账号 注册
  • 产品
    • 抗体
    • 引物合成
    • GeneArt Gene Synthesis Instant Designer
    • TaqMan Assay and Array Search
    • PCR 设备和耗材
    • 色谱柱和纯化柱
    • 实验室离心机
    • 分子生物学试剂和试剂盒
    • 实验室塑料耗材及用品
    • 查看所有产品分类
  • 应用和技术
    • 色谱
    • 细胞转染和培养
    • 实时荧光定量PCR
    • 质谱
    • 实验室塑料耗材及用品
    • 电子显微镜
    • 蛋白质生物学
    • PCR
    • RNAi
    • 环境
    • 查看所有应用和技术
  • 服务
    • 定制服务
    • 企业级实验室信息化服务
    • 金融&租赁服务
    • 仪器服务
    • OEM和商业供应
    • 培训服务
    • 360° CDMO 和 CRO 服务
    • CDMO 服务
    • 临床试验 CRO 服务
    • Unity Lab Services
    • 查看所有帮助和支持
  • 帮助和支持
    • 学习中心
    • 联系我们
    • 更改国家或地区
    • 查看所有帮助和支持
  • 热门产品
    • TaqMan Real-Time PCR Assays
      TaqMan 实时荧光定量 PCR 试剂盒
    • Antibodies
      抗体
    • Oligos, Primers & Probes
      寡核苷酸、引物、探针
    • GeneArt Gene Synthesis
      GeneArt 基因合成
    • Cell Culture Plastics
      细胞培养耗材
  • Who We Serve
    • 抗体治疗解决方案
    • 细胞与基因治疗解决方案
    • 学术科研
    • 工业与应用
  • 联系我们
  • 货号直购
  • 订单查询
  • 查找文件&证书
Thermo Fisher Scientific Logo

Search

搜索全部或下列指定分类
Search button
          • 联系我们
          • 货号直购
          • 登录
            登录
            没有账号?建立账号 注册
            • 我的账号
            • 订单
            • 会员中心
            • 账单及发票查询
            • 定制产品及项目
          • Primary Antibodies ›
          • MFSD2A Antibodies

          Invitrogen

          MFSD2A Polyclonal Antibody

          高级验证
          2个已发表图片
          5 篇参考文献
          查看其他5个MFSD2A抗体

          {{$productOrderCtrl.translations['antibody.pdp.commerceCard.promotion.promotions']}}

          {{$productOrderCtrl.translations['antibody.pdp.commerceCard.promotion.viewpromo']}}

          {{$productOrderCtrl.translations['antibody.pdp.commerceCard.promotion.promocode']}}: {{promo.promoCode}} {{promo.promoTitle}} {{promo.promoDescription}}. {{$productOrderCtrl.translations['antibody.pdp.commerceCard.promotion.learnmore']}}

          说明书
          证书
          实验方案
          问题与答案
          技术支持
          说明书
          证书
          实验方案
          问题与答案
          技术支持
          说明书
          证书
          实验方案
          问题与答案
          技术支持

          Cite MFSD2A Polyclonal Antibody

          Additional Information:
          {{banner.description}}
          {{$ctrl.isSkuNotesCollapsed ? 'View more' : 'View less'}}
          • 抗体检测数据 (6)
          • 已发表图片 (2)
          • 高级验证 (1)
          MFSD2A Antibody in Immunocytochemistry (ICC/IF)
          Group 53 Created with Sketch.
          MFSD2A Antibody in Immunocytochemistry (ICC/IF)
          Group 53 Created with Sketch.

          图: 1 / 9

          {{ $ctrl.currentElement.advancedVerification.fullName }}
          {{ $ctrl.currentElement.advancedVerification.text }}

          MFSD2A Antibody (PA5-21049) in ICC/IF

          Immunofluorescence of MFSD2A in Rat Lung cells with MFSD2A Polyclonal Antibody (Product # PA5-21049) at 20 µg/mL. {{ $ctrl.currentElement.advancedVerification.fullName }} 验证信息 View more
          已发表图片由___提供 benchsci-logo
          PMID: {{$ctrl.currentElement.benchSciPubmedId}}
          查看产品

          {{$ctrl.videoDesc}}

          {{$ctrl.videoLongDesc}}

          MFSD2A Antibody in Immunocytochemistry (ICC/IF)
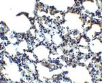
          MFSD2A Antibody in Immunohistochemistry (IHC)
          MFSD2A Antibody in Immunohistochemistry (IHC)
          MFSD2A Antibody in Immunohistochemistry (IHC)
          MFSD2A Antibody in Immunohistochemistry (IHC)
          MFSD2A Antibody in Western Blot (WB)
          MFSD2A Antibody in Western Blot (WB)
          MFSD2A Antibody in Western Blot (WB)
          MFSD2A Antibody
          MFSD2A Polyclonal Antibody

          产品信息

          PA5-21049

          应用
          建议稀释比
          已发表文章

          免疫印迹 (WB)

          1-2 µg/mL
          查看3篇已发表文章 3篇已发表文章

          免疫组化 (IHC)

          2.5-5 µg/mL
          查看1篇已发表文章 1篇已发表文章

          免疫组化(冰冻) (IHC (F))

          -
          查看1篇已发表文章 1篇已发表文章

          免疫细胞化学 (ICC/IF)

          20 µg/mL
          -
          产品规格

          种属反应

          Human, Mouse, Rat

          已发表种属

          Mouse

          宿主/亚型

          Rabbit / IgG

          分类

          Polyclonal

          类型

          Antibody

          抗原

          An 18 amino acid peptide near the carboxy terminus of human MFSD2A.
          3D表位/免疫原

          偶联物

          Unconjugated Unconjugated Unconjugated

          形式

          Liquid

          浓度

          1 mg/mL

          规格

          100 µg

          纯化类型

          Antigen affinity chromatography

          保存液

          PBS

          内含物

          0.02% sodium azide

          保存条件

          4°C

          运输条件

          Ambient (domestic); Wet ice (international)

          RRID

          AB_11152332

          产品详细信息

          A suggested positive control is rat lung tissue lysate.

          PA5-21049 can be used with blocking peptide PEP-1163.

          靶标信息

          Multidrug transporters, such as MFSD2A, are membrane proteins that expel a wide spectrum of cytotoxic compounds from the cell and render cells resistant to multiple drugs. Major Facilitator Superfamily (MFS) members are capable of transporting various substrates such as sugars, polyols, drugs, neurotransmitters, amino acids, peptides, and inorganic anions, although most members are substrate-specific. MFSD2A is a novel lung cancer tumor suppressor gene that regulates cell cycle progression and matrix attachment and has recently been described as the human receptor for syncytin-2, a retrovirus-derived protein mediating fusion of placental trophoblasts. MFSD2A is expressed in many tissues and is highly induced in liver and brown adipose tissue (BAT) during fasting. The activation of the betaAR signaling pathway plays a major role in the induction of MFSD2A expression during adaptive thermogenesis.

          仅用于科研。不用于诊断过程。未经明确授权不得转售。

          生物信息学

          蛋白别名: HsMFSD2A; major facilitator superfamily domain containing 2; major facilitator superfamily domain containing 2A; Major facilitator superfamily domain-containing protein 2A; Mfsd2a; NLS1; sodium-dependent LPC symporter 1; Sodium-dependent lysophosphatidylcholine symporter 1; unnamed protein product; zgc:101615

          查看更多 收起

          基因别名: 1700018O18Rik; HMFN0656; HsMFSD2A; MCPH15; MFSD2; MFSD2A; NEDMISBA; NLS1; PP9177; RGD1310174; SLC59A1; UNQ300/PRO341

          查看更多 收起

          UniProt ID: (Human) Q8NA29, (Mouse) Q9DA75

          查看更多 收起

          Entrez Gene ID: (Human) 84879, (Rat) 298504, (Mouse) 76574

          查看更多 收起

          功能
          long-chain fatty acid transporter activity protein binding phospholipid transporter activity fatty acid transporter activity symporter activity lysophospholipid transporter activity lysophosphatidylcholine flippase activity oleate transmembrane transporter activity
          参与通路
          fatty acid transport phospholipid transport transcytosis transmembrane transport establishment of blood-brain barrier lipid transport across blood brain barrier transport lipid transport retinal pigment epithelium development phosphatidylcholine biosynthetic process brain development photoreceptor cell morphogenesis carbohydrate transport cellular response to starvation positive regulation of triglyceride biosynthetic process long-chain fatty acid transport hippocampus development positive regulation of cell growth negative regulation of fatty acid beta-oxidation lipid translocation very-low-density lipoprotein particle assembly maintenance of blood-brain barrier photoreceptor cell outer segment organization regulation of multicellular organism growth regulation of dendrite development cognition lysophospholipid transport retina morphogenesis in camera-type eye motor behavior energy homeostasis lysophospholipid translocation regulation of neuron projection arborization transport across blood-brain barrier regulation of phosphatidylcholine metabolic process regulation of phosphatidylethanolamine metabolic process regulation of phosphatidylserine metabolic process embryonic brain development establishment of blood-retinal barrier
          It has to be done as per old AB suggested Products section.

          Disclaimer

          Close

          Clicking the images or links will redirect you to a website hosted by BenchSci that provides third-party scientific content. Neither the content nor the BenchSci technology and processes for selection have been evaluated by us; we are providing them as-is and without warranty of any kind, including for use or application of the Thermo Fisher Scientific products presented.

          guarantee_icon

          性能保障

          只要您发现Invitrogen抗体在实验中的表现与网站或说明书的所述内容不符,您即可享受免费退换货服务。*

          了解更多
          help_icon

          随时为您服务

          获取常见问题的专家解答,或者直接联系我们的技术专家,咨询应用、设备、常规产品使用问题。

          联系技术支持
          订购 Plus Icon Minus Icon
          • 订单状态查询
          • 订单支持
          • 货号直购
          • 现货供应中心
          • 电子采购
          支持 Plus Icon Minus Icon
          • 帮助&支持
          • 联系我们 - 400 820 8982
          • 技术支持中心
          • 查找文件&证书
          • 报告网站问题
          资源 Plus Icon Minus Icon
          • 学习中心
          • 促销
          • 活动&研讨会
          • 社交媒体
          关于赛默飞 Plus Icon Minus Icon
          • 关于我们
          • 招聘 招聘
          • 投资者关系 投资者关系
          • 新闻 新闻
          • 社会责任 社会责任
          • 商标
          • 政策和通知
          品牌 Plus Icon Minus Icon
          • Thermo Scientific
          • Applied Biosystems
          • Invitrogen
          • Gibco
          • Ion Torrent
          • Unity Lab Services
          • Patheon
          • PPD
          • 服务条款
          • 隐私政策
          • 定价和运输保险政策
          © 2006-2026 Thermo Fisher Scientific Inc. All rights reserved. All trademarks are the property of Thermo Fisher Scientific and its subsidiaries unless otherwise specified.
          China flag icon
          China
          本网站销售的所有产品均不得用于人类或动物之临床诊断或治疗,仅可用于工业或者科研等非医疗目的。
             电子营业执照 | 经营证照公示 | ICP备案号:沪ICP备11003924号 | 沪公网安备 31011502006935号

          Your items have has been added!


          Host server : magellan-search-blue-7c59b9b899-49tpj:80/100.66.77.222:80.
          git-commit: 8ef7cf686e3c81d28b13492708ce56d167b2f995
          git-url: https://github.com/thermofisher/magellan-search
          git-branch: release/2.49.0-Offline