Hamburger Menu Button
Thermo Fisher Scientific Logo
登录
没有账号?建立账号 注册
  • 产品
    • 抗体
    • 引物合成
    • GeneArt Gene Synthesis Instant Designer
    • TaqMan Assay and Array Search
    • PCR 设备和耗材
    • 色谱柱和纯化柱
    • 实验室离心机
    • 分子生物学试剂和试剂盒
    • 实验室塑料耗材及用品
    • 查看所有产品分类
  • 应用和技术
    • 色谱
    • 细胞转染和培养
    • 实时荧光定量PCR
    • 质谱
    • 实验室塑料耗材及用品
    • 电子显微镜
    • 蛋白质生物学
    • PCR
    • RNAi
    • 环境
    • 查看所有应用和技术
  • 服务
    • 定制服务
    • 企业级实验室信息化服务
    • 金融&租赁服务
    • 仪器服务
    • OEM和商业供应
    • 培训服务
    • 360° CDMO 和 CRO 服务
    • CDMO 服务
    • 临床试验 CRO 服务
    • Unity Lab Services
    • 查看所有帮助和支持
  • 帮助和支持
    • 学习中心
    • 联系我们
    • 更改国家或地区
    • 查看所有帮助和支持
  • 热门产品
    • TaqMan Real-Time PCR Assays
      TaqMan 实时荧光定量 PCR 试剂盒
    • Antibodies
      抗体
    • Oligos, Primers & Probes
      寡核苷酸、引物、探针
    • GeneArt Gene Synthesis
      GeneArt 基因合成
    • Cell Culture Plastics
      细胞培养耗材
  • Who We Serve
    • 抗体治疗解决方案
    • 细胞与基因治疗解决方案
    • 学术科研
    • 工业与应用
  • 联系我们
  • 货号直购
  • 订单查询
  • 查找文件&证书
Thermo Fisher Scientific Logo

Search

搜索全部或下列指定分类
Search button
          • 联系我们
          • 货号直购
          • 登录
            登录
            没有账号?建立账号 注册
            • 我的账号
            • 订单
            • 会员中心
            • 账单及发票查询
            • 定制产品及项目
          • Primary Antibodies ›
          • MICA/MICB Antibodies

          Invitrogen

          MICA/B Monoclonal Antibody (6D4), Functional Grade, eBioscience™

          4个已发表图片
          5 篇参考文献
          查看其他13个MICA/MICB抗体

          {{$productOrderCtrl.translations['antibody.pdp.commerceCard.promotion.promotions']}}

          {{$productOrderCtrl.translations['antibody.pdp.commerceCard.promotion.viewpromo']}}

          {{$productOrderCtrl.translations['antibody.pdp.commerceCard.promotion.promocode']}}: {{promo.promoCode}} {{promo.promoTitle}} {{promo.promoDescription}}. {{$productOrderCtrl.translations['antibody.pdp.commerceCard.promotion.learnmore']}}

          说明书
          证书
          实验方案
          问题与答案
          技术支持
          说明书
          证书
          实验方案
          问题与答案
          技术支持
          说明书
          证书
          实验方案
          问题与答案
          技术支持

          Cite MICA/B Monoclonal Antibody (6D4), Functional Grade, eBioscience™

          Additional Information:
          {{banner.description}}
          {{$ctrl.isSkuNotesCollapsed ? 'View more' : 'View less'}}
          • 已发表图片 (4)
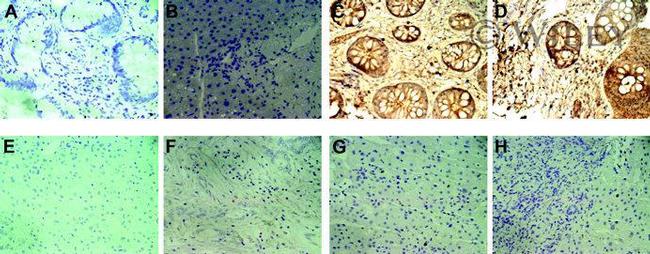
          MICA/B Antibody in Immunohistochemistry (IHC)
          Group 53 Created with Sketch.
          MICA/B Antibody in Immunohistochemistry (IHC)
          Group 53 Created with Sketch.

          图: 1 / 4

          {{ $ctrl.currentElement.advancedVerification.fullName }}
          {{ $ctrl.currentElement.advancedVerification.text }}

          MICA/B Antibody (16-5788-85) in IHC

          Liver transplantation : official publication of the American Association for the Study of Liver Diseases and the International Liver Transplantation Society 2008 - Published figure using MICA/B monoclonal antibody (Product # 16-5788-85) in Immunohistochemistry {{ $ctrl.currentElement.advancedVerification.fullName }} 验证信息 View more
          已发表图片由___提供 benchsci-logo
          PMID: {{$ctrl.currentElement.benchSciPubmedId}}
          查看产品

          {{$ctrl.videoDesc}}

          {{$ctrl.videoLongDesc}}

          MICA/B Antibody in Immunohistochemistry (IHC)
          MICA/B Antibody in Western Blot (WB)
          MICA/B Antibody in Flow Cytometry (Flow)
          MICA/B Antibody in Flow Cytometry (Flow)

          产品信息

          16-5788-85

          应用
          建议稀释比
          已发表文章

          免疫印迹 (WB)

          -
          查看1篇已发表文章 1篇已发表文章

          免疫组化 (IHC)

          Assay-Dependent
          查看1篇已发表文章 1篇已发表文章

          流式细胞分析 (Flow)

          0.25 µg/test
          查看3篇已发表文章 3篇已发表文章

          免疫沉淀 (IP)

          Assay-Dependent
          -

          功能检测 (Functional)

          Assay-Dependent
          -
          产品规格

          种属反应

          Human

          已发表种属

          Human

          宿主/亚型

          Mouse / IgG2a, kappa

          推荐的同型对照

          Mouse IgG2a kappa Isotype Control (eBM2a), Functional Grade, eBioscience™

          分类

          Monoclonal

          类型

          Antibody

          克隆号

          6D4

          偶联物

          Functional Grade Functional Grade Functional Grade
          • Unconjugated
          • Alexa Fluor 488 
          • PE 
          • Request custom conjugation

          形式

          Liquid

          浓度

          1 mg/mL

          规格

          500 µg

          纯化类型

          Affinity chromatography

          保存液

          PBS, pH 7.2

          内含物

          no preservative

          保存条件

          4°C

          运输条件

          Ambient (domestic); Wet ice (international)

          RRID

          AB_494087

          产品详细信息

          Description: The 6D4 monoclonal antibody reacts with the human major histocompatibility complex (MHC) class I chain-related (MIC), MICA and MICB proteins. MICA and MICB are related proteins of 83% amino acid similarity, and show homology with classical human leukocyte antigen (HLA) molecules. The structure of MICA and MICB are similar to classical HLA class I chains, however they do not bind beta2 microglobulin or bind peptide typical of HLA class I. MICA and MICB are expressed on the cell surface of endothelial cells, fibroblasts, gastric epithelium and PHA-stimulated T cells, and act as a ligand for NKGD2 expressed on the surface of NK cells, gammadelta T cells and alpha beta CD8+ T cells. There is evidence to suggest that human cytomegalovirus (HCMV) subverts NK cell detection by inhibiting the function of MICB. Furthermore, MICA and MICB expression has been detected in several epithelial tumours isolated from breast, lung, ovary, prostate, colon and kidney.

          Applications Reported: This 6D4 antibody has been reported for use in flow cytometric analysis, immunoprecipitation, and immunohistochemical staining.

          Applications Tested: This 6D4 antibody has been tested by flow cytometric analysis of HeLa cells. This can be used at less than or equal to 0.25 µg per test. A test is defined as the amount (µg) of antibody that will stain a cell sample in a final volume of 100 µL. Cell number should be determined empirically but can range from 10^5 to 10^8 cells/test. It is recommended that the antibody be carefully titrated for optimal performance in the assay of interest.

          Storage and handling: Use in a sterile environment.

          Filtration: 0.2 µm post-manufacturing filtered.

          Purity: Greater than 90%, as determined by SDS-PAGE.

          Endotoxin Level: Less than 0.001 ng/µg antibody, as determined by LAL assay.

          Aggregation: Less than 10%, as determined by HPLC.

          靶标信息

          MICA encodes the higly polymorphic MHC (HLA) class I chain-related gene A. The protein product is expressed on the cell surface, although unlike canonical class I molecules does not seem to associate with beta-2-microglobulin. It is thought that MICA functions as a stress-induced antigen that is broadly recognized by intestinal epithelial gamma delta T cells.

          仅用于科研。不用于诊断过程。未经明确授权不得转售。

          生物信息学

          蛋白别名: cell stress-regulated membrane protein; HLA class I antigen; ligand to the NKG2D receptor; major histocompatibility complex class I chain-related protein A; MHC class I antigen-related protein B; MHC class I chain-related protein A; MHC class I chain-related protein B; MHC class I mic-B antigen; MHC class I polypeptide-related sequence A; MHC class I polypeptide-related sequence B; MHC class I related chain A; MHC class I related sequence A; MHC class I-like molecule PERB11.2-IMX; MIC-A; MIC-B; sMICA; sMICB; soluble MICA; soluble MICB; stress inducible class I homolog; unnamed protein product

          查看更多 收起

          基因别名: MIC-A; MICA; MICB; PERB11.1; PERB11.2

          查看更多 收起

          UniProt ID: (Human) Q95IY7, (Human) Q29980

          查看更多 收起

          Entrez Gene ID: (Human) 100507436, (Human) 4277

          查看更多 收起

          功能
          protein binding beta-2-microglobulin binding natural killer cell lectin-like receptor binding receptor agonist activity
          参与通路
          T cell mediated cytotoxicity adaptive immune response immune system process immune response to tumor cell immune response cellular response to DNA damage stimulus signal transduction response to heat negative regulation of defense response killing of cells of other organism negative regulation of natural killer cell activation natural killer cell mediated cytotoxicity defense response to bacterium negative regulation of natural killer cell mediated cytotoxicity gamma-delta T cell activation regulation of immune response defense response to virus immune response-activating cell surface receptor signaling pathway response to oxidative stress response to retinoic acid negative regulation of defense response to virus by host
          It has to be done as per old AB suggested Products section.

          Disclaimer

          Close

          Clicking the images or links will redirect you to a website hosted by BenchSci that provides third-party scientific content. Neither the content nor the BenchSci technology and processes for selection have been evaluated by us; we are providing them as-is and without warranty of any kind, including for use or application of the Thermo Fisher Scientific products presented.

          guarantee_icon

          性能保障

          只要您发现Invitrogen抗体在实验中的表现与网站或说明书的所述内容不符,您即可享受免费退换货服务。*

          了解更多
          help_icon

          随时为您服务

          获取常见问题的专家解答,或者直接联系我们的技术专家,咨询应用、设备、常规产品使用问题。

          联系技术支持
          订购 Plus Icon Minus Icon
          • 订单状态查询
          • 订单支持
          • 货号直购
          • 现货供应中心
          • 电子采购
          支持 Plus Icon Minus Icon
          • 帮助&支持
          • 联系我们 - 400 820 8982
          • 技术支持中心
          • 查找文件&证书
          • 报告网站问题
          资源 Plus Icon Minus Icon
          • 学习中心
          • 促销
          • 活动&研讨会
          • 社交媒体
          关于赛默飞 Plus Icon Minus Icon
          • 关于我们
          • 招聘 招聘
          • 投资者关系 投资者关系
          • 新闻 新闻
          • 社会责任 社会责任
          • 商标
          • 政策和通知
          品牌 Plus Icon Minus Icon
          • Thermo Scientific
          • Applied Biosystems
          • Invitrogen
          • Gibco
          • Ion Torrent
          • Unity Lab Services
          • Patheon
          • PPD
          • 服务条款
          • 隐私政策
          • 定价和运输保险政策
          © 2006-2026 Thermo Fisher Scientific Inc. All rights reserved. All trademarks are the property of Thermo Fisher Scientific and its subsidiaries unless otherwise specified.
          China flag icon
          China
          本网站销售的所有产品均不得用于人类或动物之临床诊断或治疗,仅可用于工业或者科研等非医疗目的。
             电子营业执照 | 经营证照公示 | ICP备案号:沪ICP备11003924号 | 沪公网安备 31011502006935号

          Your items have has been added!


          Host server : magellan-search-green-6479c7f679-sz4vp:80/100.66.76.236:80.
          git-commit: b70c0dceb888abc3b0dcebb5bc3a5b8753e7e816
          git-url: https://github.com/thermofisher/magellan-search
          git-branch: release/2.50.0-Offline