Hamburger Menu Button
Thermo Fisher Scientific Logo
登录
没有账号?建立账号 注册
  • 产品
    • 抗体
    • 引物合成
    • GeneArt Gene Synthesis Instant Designer
    • TaqMan Assay and Array Search
    • PCR 设备和耗材
    • 色谱柱和纯化柱
    • 实验室离心机
    • 分子生物学试剂和试剂盒
    • 实验室塑料耗材及用品
    • 查看所有产品分类
  • 应用和技术
    • 色谱
    • 细胞转染和培养
    • 实时荧光定量PCR
    • 质谱
    • 实验室塑料耗材及用品
    • 电子显微镜
    • 蛋白质生物学
    • PCR
    • RNAi
    • 环境
    • 查看所有应用和技术
  • 服务
    • 定制服务
    • 企业级实验室信息化服务
    • 金融&租赁服务
    • 仪器服务
    • OEM和商业供应
    • 培训服务
    • 360° CDMO 和 CRO 服务
    • CDMO 服务
    • 临床试验 CRO 服务
    • Unity Lab Services
    • 查看所有帮助和支持
  • 帮助和支持
    • 学习中心
    • 联系我们
    • 更改国家或地区
    • 查看所有帮助和支持
  • 热门产品
    • TaqMan Real-Time PCR Assays
      TaqMan 实时荧光定量 PCR 试剂盒
    • Antibodies
      抗体
    • Oligos, Primers & Probes
      寡核苷酸、引物、探针
    • GeneArt Gene Synthesis
      GeneArt 基因合成
    • Cell Culture Plastics
      细胞培养耗材
  • Who We Serve
    • 抗体治疗解决方案
    • 细胞与基因治疗解决方案
    • 学术科研
    • 工业与应用
  • 联系我们
  • 货号直购
  • 订单查询
  • 查找文件&证书
Thermo Fisher Scientific Logo

Search

搜索全部或下列指定分类
Search button
          • 联系我们
          • 货号直购
          • 登录
            登录
            没有账号?建立账号 注册
            • 我的账号
            • 订单
            • 会员中心
            • 账单及发票查询
            • 定制产品及项目
          • Primary Antibodies ›
          • MKP-1 Antibodies

          Invitrogen

          MKP-1 Recombinant Rabbit Monoclonal Antibody (JJ0930)

          2个已发表图片
          2 篇参考文献
          查看其他15个MKP-1抗体

          {{$productOrderCtrl.translations['antibody.pdp.commerceCard.promotion.promotions']}}

          {{$productOrderCtrl.translations['antibody.pdp.commerceCard.promotion.viewpromo']}}

          {{$productOrderCtrl.translations['antibody.pdp.commerceCard.promotion.promocode']}}: {{promo.promoCode}} {{promo.promoTitle}} {{promo.promoDescription}}. {{$productOrderCtrl.translations['antibody.pdp.commerceCard.promotion.learnmore']}}

          说明书
          证书
          实验方案
          问题与答案
          技术支持
          说明书
          证书
          实验方案
          问题与答案
          技术支持
          说明书
          证书
          实验方案
          问题与答案
          技术支持

          Cite MKP-1 Recombinant Rabbit Monoclonal Antibody (JJ0930)

          Additional Information:
          {{banner.description}}
          {{$ctrl.isSkuNotesCollapsed ? 'View more' : 'View less'}}
          • 抗体检测数据 (6)
          • 已发表图片 (2)
          MKP-1 Antibody in Immunocytochemistry (ICC/IF)
          Group 53 Created with Sketch.
          MKP-1 Antibody in Immunocytochemistry (ICC/IF)
          Group 53 Created with Sketch.

          图: 1 / 8

          {{ $ctrl.currentElement.advancedVerification.fullName }}
          {{ $ctrl.currentElement.advancedVerification.text }}

          MKP-1 Antibody (MA5-32480) in ICC/IF

          Immunocytochemistry analysis of MKP-1 with NIH/3T3 cells. Cells were fixed in 4% paraformaldehyde (20 min, room temp), permeabilized with 0.1% Triton X-100 in PBS (5 min, room temp), then blocked with 1% BSA in 10% negative goat serum (1 hr, room temp), incubated with recombinant monoclonal MKP-1 (Product # MA5-32480) at a dilution of 1:100 (in 1% BSA in PBST overnight at 4°C), followed by Goat Anti-Rabbit IgG H&L 488 at 1:1,000 dilution (PBS used in control). Nuclear DNA was labelled in blue with DAPI, Beta tubulin (red) at 1/100 dilution... View More {{ $ctrl.currentElement.advancedVerification.fullName }} 验证信息 View more
          已发表图片由___提供 benchsci-logo
          PMID: {{$ctrl.currentElement.benchSciPubmedId}}
          查看产品

          {{$ctrl.videoDesc}}

          {{$ctrl.videoLongDesc}}

          MKP-1 Antibody in Immunocytochemistry (ICC/IF)
          MKP-1 Antibody in Immunocytochemistry (ICC/IF)
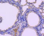
          MKP-1 Antibody in Immunohistochemistry (Paraffin) (IHC (P))
          MKP-1 Antibody in Immunohistochemistry (Paraffin) (IHC (P))
          MKP-1 Antibody in Western Blot (WB)
          MKP-1 Antibody in Flow Cytometry (Flow)
          MKP-1 Antibody in Western Blot (WB)
          MKP-1 Antibody in Western Blot (WB)
          MKP-1 Recombinant Rabbit Monoclonal Antibody (JJ0930)

          产品信息

          MA5-32480

          应用
          建议稀释比
          已发表文章

          免疫印迹 (WB)

          1:1,000-1:2,000
          查看2篇已发表文章 2篇已发表文章

          免疫组化(石蜡) (IHC (P))

          1:1,000
          -

          免疫细胞化学 (ICC/IF)

          1:100
          -

          流式细胞分析 (Flow)

          1:1,000
          -
          产品规格

          种属反应

          Human, Mouse, Rat

          已发表种属

          Rat

          宿主/亚型

          Rabbit / IgG

          Expression System

          HEK293 cells

          分类

          Recombinant Monoclonal

          类型

          Antibody

          克隆号

          JJ0930

          抗原

          Synthetic peptide within Human DUSP1 aa 112-156.
          3D表位/免疫原

          偶联物

          Unconjugated Unconjugated Unconjugated

          形式

          Liquid

          浓度

          1.02 mg/mL

          规格

          102 µg

          纯化类型

          Protein A

          保存液

          TBS, pH 7.4, with 40% Glycerol, 0.05% BSA

          内含物

          0.05% sodium azide

          保存条件

          Store at 4°C short term. For long term storage, store at -20°C, avoiding freeze/thaw cycles.

          运输条件

          Ambient (domestic); Wet ice (international)

          RRID

          AB_2809757

          产品详细信息

          Recombinant rabbit monoclonal antibodies are produced using in vitro expression systems. The expression systems are developed by cloning in the specific antibody DNA sequences from immunoreactive rabbits. Then, individual clones are screened to select the best candidates for production. The advantages of using recombinant rabbit monoclonal antibodies include: better specificity and sensitivity, lot-to-lot consistency, animal origin-free formulations, and broader immunoreactivity to diverse targets due to larger rabbit immune repertoire.

          靶标信息

          The expression of DUSP1 gene is induced in human skin fibroblasts by oxidative/heat stress and growth factors. It specifies a protein with structural features similar to members of the non-receptor-type protein-tyrosine phosphatase family, and which has significant amino-acid sequence similarity to a Tyr/Ser-protein phosphatase encoded by the late gene H1 of vaccinia virus. The bacterially expressed and purified DUSP1 protein has intrinsic phosphatase activity, and specifically inactivates mitogen-activated protein (MAP) kinase in vitro by the concomitant dephosphorylation of both its phosphothreonine and phosphotyrosine residues. Furthermore, it suppresses the activation of MAP kinase by oncogenic ras in extracts of Xenopus oocytes. Thus, DUSP1 may play an important role in the human cellular response to environmental stress as well as in the negative regulation of cellular proliferation.

          仅用于科研。不用于诊断过程。未经明确授权不得转售。

          生物信息学

          蛋白别名: 3CH134/CL100 PTPase; CL 100; Dual specificity protein phosphatase 1; Dual specificity protein phosphatase hVH1; DUS1; EC 3.1.3.16; EC 3.1.3.48; MAP kinase phosphatase 1; MAP kinase phosphatase-1; mitogen-activated protein (MAP) kinase phosphatase-1; Mitogen-activated protein kinase phosphatase 1; mitogen-activated protein kinase phosphatase-1; oxidative stress-inducible protein tyrosine phosphatase; protein tyrosine phosphatase non-receptor type 16; protein tyrosine phosphatase, non-receptor type 16; Protein-tyrosine phosphatase 3CH134; Protein-tyrosine phosphatase CL100; Protein-tyrosine phosphatase ERP; Protein-tyrosine phosphatase non-receptor type 16; serine/threonine specific protein phosphatase; unnamed protein product

          查看更多 收起

          基因别名: 3CH134; CL100; DUSP1; erp; HVH1; MKP-1; MKP1; PTPN10; Ptpn16; U19515; VH1

          查看更多 收起

          UniProt ID: (Human) P28562, (Rat) Q64623, (Mouse) P28563

          查看更多 收起

          Entrez Gene ID: (Human) 1843, (Rat) 114856, (Mouse) 19252

          查看更多 收起

          功能
          phosphoprotein phosphatase activity protein serine/threonine phosphatase activity protein tyrosine phosphatase activity protein binding protein tyrosine/serine/threonine phosphatase activity hydrolase activity MAP kinase tyrosine/serine/threonine phosphatase activity growth factor binding mitogen-activated protein kinase binding protein tyrosine/threonine phosphatase activity phosphatase activity protein phosphatase
          参与通路
          endoderm formation negative regulation of cell adhesion signal transduction negative regulation of cell proliferation response to light stimulus response to estradiol response to retinoic acid cellular response to hormone stimulus response to testosterone peptidyl-tyrosine dephosphorylation intracellular signal transduction peptidyl-threonine dephosphorylation response to hydrogen peroxide positive regulation of apoptotic process negative regulation of apoptotic process negative regulation of MAP kinase activity negative regulation of MAPK cascade response to glucocorticoid negative regulation of meiotic cell cycle response to cAMP response to calcium ion peptidyl-serine dephosphorylation ERK1 and ERK2 cascade negative regulation of ERK1 and ERK2 cascade negative regulation of monocyte chemotaxis regulation of mitotic cell cycle spindle assembly checkpoint negative regulation of p38MAPK cascade cellular response to chemokine negative regulation of DNA biosynthetic process inactivation of MAPK activity protein dephosphorylation response to organic substance mitotic cell cycle arrest cell cycle dephosphorylation regulation of apoptotic process
          It has to be done as per old AB suggested Products section.

          Disclaimer

          Close

          Clicking the images or links will redirect you to a website hosted by BenchSci that provides third-party scientific content. Neither the content nor the BenchSci technology and processes for selection have been evaluated by us; we are providing them as-is and without warranty of any kind, including for use or application of the Thermo Fisher Scientific products presented.

          guarantee_icon

          性能保障

          只要您发现Invitrogen抗体在实验中的表现与网站或说明书的所述内容不符,您即可享受免费退换货服务。*

          了解更多
          help_icon

          随时为您服务

          获取常见问题的专家解答,或者直接联系我们的技术专家,咨询应用、设备、常规产品使用问题。

          联系技术支持
          订购 Plus Icon Minus Icon
          • 订单状态查询
          • 订单支持
          • 货号直购
          • 现货供应中心
          • 电子采购
          支持 Plus Icon Minus Icon
          • 帮助&支持
          • 联系我们 - 400 820 8982
          • 技术支持中心
          • 查找文件&证书
          • 报告网站问题
          资源 Plus Icon Minus Icon
          • 学习中心
          • 促销
          • 活动&研讨会
          • 社交媒体
          关于赛默飞 Plus Icon Minus Icon
          • 关于我们
          • 招聘 招聘
          • 投资者关系 投资者关系
          • 新闻 新闻
          • 社会责任 社会责任
          • 商标
          • 政策和通知
          品牌 Plus Icon Minus Icon
          • Thermo Scientific
          • Applied Biosystems
          • Invitrogen
          • Gibco
          • Ion Torrent
          • Unity Lab Services
          • Patheon
          • PPD
          • 服务条款
          • 隐私政策
          • 定价和运输保险政策
          © 2006-2026 Thermo Fisher Scientific Inc. All rights reserved. All trademarks are the property of Thermo Fisher Scientific and its subsidiaries unless otherwise specified.
          China flag icon
          China
          本网站销售的所有产品均不得用于人类或动物之临床诊断或治疗,仅可用于工业或者科研等非医疗目的。
             电子营业执照 | 经营证照公示 | ICP备案号:沪ICP备11003924号 | 沪公网安备 31011502006935号

          Your items have has been added!


          Host server : magellan-search-green-6479c7f679-zb4k5:80/100.66.74.142:80.
          git-commit: b70c0dceb888abc3b0dcebb5bc3a5b8753e7e816
          git-url: https://github.com/thermofisher/magellan-search
          git-branch: release/2.50.0-Offline