Hamburger Menu Button
Thermo Fisher Scientific Logo
登录
没有账号?建立账号 注册
  • 产品
    • 抗体
    • 引物合成
    • GeneArt Gene Synthesis Instant Designer
    • TaqMan Assay and Array Search
    • PCR 设备和耗材
    • 色谱柱和纯化柱
    • 实验室离心机
    • 分子生物学试剂和试剂盒
    • 实验室塑料耗材及用品
    • 查看所有产品分类
  • 应用和技术
    • 色谱
    • 细胞转染和培养
    • 实时荧光定量PCR
    • 质谱
    • 实验室塑料耗材及用品
    • 电子显微镜
    • 蛋白质生物学
    • PCR
    • RNAi
    • 环境
    • 查看所有应用和技术
  • 服务
    • 定制服务
    • 企业级实验室信息化服务
    • 金融&租赁服务
    • 仪器服务
    • OEM和商业供应
    • 培训服务
    • 360° CDMO 和 CRO 服务
    • CDMO 服务
    • 临床试验 CRO 服务
    • Unity Lab Services
    • 查看所有帮助和支持
  • 帮助和支持
    • 学习中心
    • 联系我们
    • 更改国家或地区
    • 查看所有帮助和支持
  • 热门产品
    • TaqMan Real-Time PCR Assays
      TaqMan 实时荧光定量 PCR 试剂盒
    • Antibodies
      抗体
    • Oligos, Primers & Probes
      寡核苷酸、引物、探针
    • GeneArt Gene Synthesis
      GeneArt 基因合成
    • Cell Culture Plastics
      细胞培养耗材
  • Who We Serve
    • 抗体治疗解决方案
    • 细胞与基因治疗解决方案
    • 学术科研
    • 工业与应用
  • 联系我们
  • 货号直购
  • 订单查询
  • 查找文件&证书
Thermo Fisher Scientific Logo

Search

搜索全部或下列指定分类
Search button
          • 联系我们
          • 货号直购
          • 登录
            登录
            没有账号?建立账号 注册
            • 我的账号
            • 订单
            • 会员中心
            • 账单及发票查询
            • 定制产品及项目
          • Primary Antibodies ›
          • MMP-9 Antibodies

          Invitrogen

          MMP9 Polyclonal Antibody

          查看其他54个MMP-9抗体

          {{$productOrderCtrl.translations['antibody.pdp.commerceCard.promotion.promotions']}}

          {{$productOrderCtrl.translations['antibody.pdp.commerceCard.promotion.viewpromo']}}

          {{$productOrderCtrl.translations['antibody.pdp.commerceCard.promotion.promocode']}}: {{promo.promoCode}} {{promo.promoTitle}} {{promo.promoDescription}}. {{$productOrderCtrl.translations['antibody.pdp.commerceCard.promotion.learnmore']}}

          说明书
          证书
          实验方案
          问题与答案
          技术支持
          说明书
          证书
          实验方案
          问题与答案
          技术支持
          说明书
          证书
          实验方案
          问题与答案
          技术支持

          Cite MMP9 Polyclonal Antibody

          Additional Information:
          {{banner.description}}
          {{$ctrl.isSkuNotesCollapsed ? 'View more' : 'View less'}}
          • 抗体检测数据 (3)
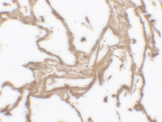
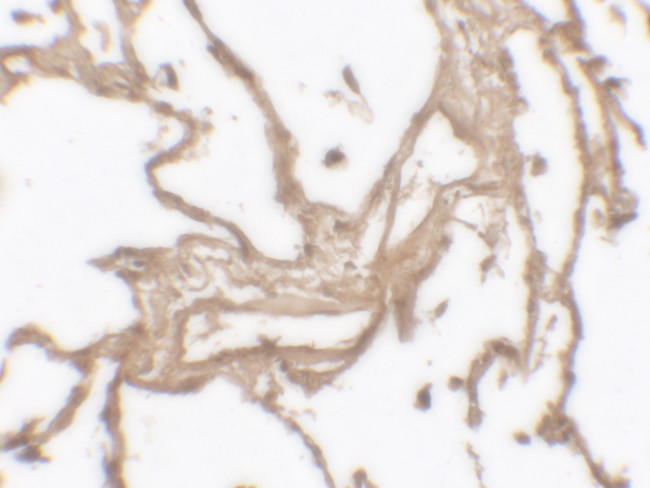
          MMP9 Antibody in Immunohistochemistry (Paraffin) (IHC (P))
          Group 53 Created with Sketch.
          MMP9 Antibody in Immunohistochemistry (Paraffin) (IHC (P))
          Group 53 Created with Sketch.

          图: 1 / 3

          {{ $ctrl.currentElement.advancedVerification.fullName }}
          {{ $ctrl.currentElement.advancedVerification.text }}

          MMP9 Antibody (PA5-114470) in IHC (P)

          Immunohistochemistry of MMP9 in human lung tissue with MMP9 Polyclonal Antibody (Product # PA5-114470) at 2.5 µg/mL. {{ $ctrl.currentElement.advancedVerification.fullName }} 验证信息 View more
          已发表图片由___提供 benchsci-logo
          PMID: {{$ctrl.currentElement.benchSciPubmedId}}
          查看产品

          {{$ctrl.videoDesc}}

          {{$ctrl.videoLongDesc}}

          MMP9 Antibody in Immunohistochemistry (Paraffin) (IHC (P))
          MMP9 Antibody in Immunohistochemistry (Paraffin) (IHC (P))
          MMP9 Antibody in Western Blot (WB)
          MMP9 Polyclonal Antibody

          产品信息

          PA5-114470

          应用
          建议稀释比
          已发表文章

          免疫印迹 (WB)

          1-2 µg/mL
          -

          免疫组化(石蜡) (IHC (P))

          2.5 µg/mL
          -
          产品规格

          种属反应

          Human, Mouse, Rat

          宿主/亚型

          Rabbit / IgG

          分类

          Polyclonal

          类型

          Antibody

          抗原

          MMP9 antibody was raised against a 16 amino acid peptide near the center of human MMP9. The immunogen is located within amino acids 260 - 310 of MMP9.
          3D表位/免疫原

          偶联物

          Unconjugated Unconjugated Unconjugated

          形式

          Liquid

          浓度

          1 mg/mL

          规格

          100 µg

          纯化类型

          Antigen affinity chromatography

          保存液

          PBS

          内含物

          0.02% sodium azide

          保存条件

          4°C

          运输条件

          Ambient (domestic); Wet ice (international)

          RRID

          AB_2890474

          产品详细信息

          Positive controls that may be used include: Mouse Lung Tissue Lysate, Human Lung Tissue Slide

          靶标信息

          MMP9 (matrix metallopeptidase 9, GELB, CLG4B) is a matrix metalloproteinase, a family of zinc and calcium-dependent endopeptidases that degrade extracellular matrix proteins. MMP9 is secreted as a 92kDa zymogen and cleavage of pro-MMP9 results in the active enzyme with a molecular weight of 82kDa. MMP9 has a gelatin-binding domain consisting of three fibronectin type II units, a catalytic domain containing the zinc-binding site, a proline-rich type V collagen-homologous domain and a hemopexin-like domain. MMP9 is produced by monocytes, macrophages, neutrophils, keratinocytes, fibroblasts, osteoclasts and endothelial cells, and is involved in inflammatory responses, tissue remodeling, wound healing, tumor growth and metastasis. MMP9 is supplied by bone marrow-derived cells and contributes to skin carcinogenesis. Further, MMP9 degrades type IV and V collagens. Studies in rhesus monkeys suggest that the enzyme is involved in IL-8-induced mobilization of hematopoietic progenitor cells from bone marrow, and murine studies suggest a role in tumor-associated tissue remodeling. Studies have shown that elevated MMP9 is associated with progression of idiopathic atrial fibrillation and aortic aneurysm.

          仅用于科研。不用于诊断过程。未经明确授权不得转售。

          篇参考文献 (0)

          您是否在文献中引用过该产品?请点击下方按钮邮件告知我们。
          引用该产品

          生物信息学

          蛋白别名: 92 kDa gelatinase; 92 kDa type IV collagenase; 92-kDa type IV collagenase; 92kD gelatinase; 92kD type IV collagenase; 92kDa gelatinase; 92kDa type IV collagenase; collagenase type IVB; Gel B; Gelatinase B; Gelatinase-B; GELB; macrophage gelatinase; matrix metallo protease; matrix metallopeptidase 9 (gelatinase B, 92kDa gelatinase, 92kDa type IV collagenase); matrix metalloproteinase 9; matrix metalloproteinase 9 (gelatinase B 92-kDa type IV collagenase); matrix metalloproteinase 9 (gelatinase B, 92-kDa type IV collagenase); matrix metalloproteinase 9 (gelatinase B, 92kDa gelatinase, 92kDa type IV collagenase); Matrix metalloproteinase-9; Matrix metalloproteinase9; MMP; MMP-9; MMP9; MMPs; type V collagenase; unnamed protein product

          查看更多 收起

          基因别名: AW743869; B/MMP9; CLG4B; GELB; MANDP2; MMP-9; MMP9; pro-MMP-9

          查看更多 收起

          UniProt ID: (Human) P14780, (Rat) P50282, (Mouse) P41245

          查看更多 收起

          Entrez Gene ID: (Human) 4318, (Rat) 81687, (Mouse) 17395

          查看更多 收起

          功能
          endopeptidase activity metalloendopeptidase activity serine-type endopeptidase activity protein binding collagen binding peptidase activity metallopeptidase activity zinc ion binding hydrolase activity identical protein binding metal ion binding fibronectin binding protein complex binding metalloprotease
          参与通路
          skeletal system development positive regulation of protein phosphorylation proteolysis apoptotic process embryo implantation cell migration extracellular matrix disassembly extracellular matrix organization macrophage differentiation collagen catabolic process endodermal cell differentiation positive regulation of apoptotic process negative regulation of apoptotic process positive regulation of DNA binding positive regulation of epidermal growth factor receptor signaling pathway ephrin receptor signaling pathway regulation of multicellular organismal process positive regulation of keratinocyte migration cellular response to lipopolysaccharide cellular response to UV-A positive regulation of release of cytochrome c from mitochondria regulation of neuroinflammatory response negative regulation of cation transmembrane transport response to amyloid-beta positive regulation of vascular smooth muscle cell proliferation negative regulation of epithelial cell differentiation involved in kidney development negative regulation of intrinsic apoptotic signaling pathway ossification response to hypoxia kidney development positive regulation of leukocyte migration response to oxidative stress parturition aging response to nutrient response to radiation response to heat response to mechanical stimulus response to high light intensity response to organic substance response to organic cyclic compound transformation of host cell by virus positive regulation of synaptic plasticity response to estradiol response to lipopolysaccharide response to retinoic acid response to vitamin A response to tumor necrosis factor response to nicotine response to drug response to ethanol positive regulation of angiogenesis negative regulation of fibroblast proliferation tissue remodeling leukocyte migration protein oligomerization response to hyperoxia cellular response to iron(III) ion cellular response to cytokine stimulus cellular response to interleukin-1 cellular response to tumor necrosis factor cellular response to low-density lipoprotein particle stimulus cellular response to cell-matrix adhesion positive regulation of receptor binding negative regulation of cation channel activity negative regulation of cysteine-type endopeptidase activity involved in apoptotic signaling pathway
          It has to be done as per old AB suggested Products section.

          Disclaimer

          Close

          Clicking the images or links will redirect you to a website hosted by BenchSci that provides third-party scientific content. Neither the content nor the BenchSci technology and processes for selection have been evaluated by us; we are providing them as-is and without warranty of any kind, including for use or application of the Thermo Fisher Scientific products presented.

          guarantee_icon

          性能保障

          只要您发现Invitrogen抗体在实验中的表现与网站或说明书的所述内容不符,您即可享受免费退换货服务。*

          了解更多
          help_icon

          随时为您服务

          获取常见问题的专家解答,或者直接联系我们的技术专家,咨询应用、设备、常规产品使用问题。

          联系技术支持
          订购 Plus Icon Minus Icon
          • 订单状态查询
          • 订单支持
          • 货号直购
          • 现货供应中心
          • 电子采购
          支持 Plus Icon Minus Icon
          • 帮助&支持
          • 联系我们 - 400 820 8982
          • 技术支持中心
          • 查找文件&证书
          • 报告网站问题
          资源 Plus Icon Minus Icon
          • 学习中心
          • 促销
          • 活动&研讨会
          • 社交媒体
          关于赛默飞 Plus Icon Minus Icon
          • 关于我们
          • 招聘 招聘
          • 投资者关系 投资者关系
          • 新闻 新闻
          • 社会责任 社会责任
          • 商标
          • 政策和通知
          品牌 Plus Icon Minus Icon
          • Thermo Scientific
          • Applied Biosystems
          • Invitrogen
          • Gibco
          • Ion Torrent
          • Unity Lab Services
          • Patheon
          • PPD
          • 服务条款
          • 隐私政策
          • 定价和运输保险政策
          © 2006-2026 Thermo Fisher Scientific Inc. All rights reserved. All trademarks are the property of Thermo Fisher Scientific and its subsidiaries unless otherwise specified.
          China flag icon
          China
          本网站销售的所有产品均不得用于人类或动物之临床诊断或治疗,仅可用于工业或者科研等非医疗目的。
             电子营业执照 | 经营证照公示 | ICP备案号:沪ICP备11003924号 | 沪公网安备 31011502006935号

          Your items have has been added!


          Host server : magellan-search-green-6479c7f679-sz4vp:80/100.66.76.236:80.
          git-commit: b70c0dceb888abc3b0dcebb5bc3a5b8753e7e816
          git-url: https://github.com/thermofisher/magellan-search
          git-branch: release/2.50.0-Offline