Hamburger Menu Button
Thermo Fisher Scientific Logo
登录
没有账号?建立账号 注册
  • 产品
    • 抗体
    • 引物合成
    • GeneArt Gene Synthesis Instant Designer
    • TaqMan Assay and Array Search
    • PCR 设备和耗材
    • 色谱柱和纯化柱
    • 实验室离心机
    • 分子生物学试剂和试剂盒
    • 实验室塑料耗材及用品
    • 查看所有产品分类
  • 应用和技术
    • 色谱
    • 细胞转染和培养
    • 实时荧光定量PCR
    • 质谱
    • 实验室塑料耗材及用品
    • 电子显微镜
    • 蛋白质生物学
    • PCR
    • RNAi
    • 环境
    • 查看所有应用和技术
  • 服务
    • 定制服务
    • 企业级实验室信息化服务
    • 金融&租赁服务
    • 仪器服务
    • OEM和商业供应
    • 培训服务
    • 360° CDMO 和 CRO 服务
    • CDMO 服务
    • 临床试验 CRO 服务
    • Unity Lab Services
    • 查看所有帮助和支持
  • 帮助和支持
    • 学习中心
    • 联系我们
    • 更改国家或地区
    • 查看所有帮助和支持
  • 热门产品
    • TaqMan Real-Time PCR Assays
      TaqMan 实时荧光定量 PCR 试剂盒
    • Antibodies
      抗体
    • Oligos, Primers & Probes
      寡核苷酸、引物、探针
    • GeneArt Gene Synthesis
      GeneArt 基因合成
    • Cell Culture Plastics
      细胞培养耗材
  • Who We Serve
    • 抗体治疗解决方案
    • 细胞与基因治疗解决方案
    • 学术科研
    • 工业与应用
  • 联系我们
  • 货号直购
  • 订单查询
  • 查找文件&证书
Thermo Fisher Scientific Logo

Search

搜索全部或下列指定分类
Search button
          • 联系我们
          • 货号直购
          • 登录
            登录
            没有账号?建立账号 注册
            • 我的账号
            • 订单
            • 会员中心
            • 账单及发票查询
            • 定制产品及项目
          • Primary Antibodies ›
          • MSX1/MSX2 Antibodies

          Invitrogen

          MSX1/MSX2 Polyclonal Antibody

          {{$productOrderCtrl.translations['antibody.pdp.commerceCard.promotion.promotions']}}

          {{$productOrderCtrl.translations['antibody.pdp.commerceCard.promotion.viewpromo']}}

          {{$productOrderCtrl.translations['antibody.pdp.commerceCard.promotion.promocode']}}: {{promo.promoCode}} {{promo.promoTitle}} {{promo.promoDescription}}. {{$productOrderCtrl.translations['antibody.pdp.commerceCard.promotion.learnmore']}}

          说明书
          证书
          实验方案
          问题与答案
          技术支持
          说明书
          证书
          实验方案
          问题与答案
          技术支持
          说明书
          证书
          实验方案
          问题与答案
          技术支持

          Cite MSX1/MSX2 Polyclonal Antibody

          Additional Information:
          {{banner.description}}
          {{$ctrl.isSkuNotesCollapsed ? 'View more' : 'View less'}}
          • 抗体检测数据 (2)
          MSX1/MSX2 Antibody in Immunocytochemistry (ICC/IF)
          Group 53 Created with Sketch.
          MSX1/MSX2 Antibody in Immunocytochemistry (ICC/IF)
          Group 53 Created with Sketch.

          图: 1 / 2

          {{ $ctrl.currentElement.advancedVerification.fullName }}
          {{ $ctrl.currentElement.advancedVerification.text }}

          MSX1/MSX2 Antibody (PA5-103302) in ICC/IF

          Immunocytochemistry analysis of MSX1/MSX2 in A549 cells. The samples were fixed with PFA and permeabilized in 0.1% Triton X-100, then blocked in 10% serum for 45 minutes at 25°C. Samples were incubated with MSX1/MSX2 polyclonal antibody (Product # PA5-103302) and mouse anti-beta tubulin antibody for 1 hour at 37°C. An AlexaFluor594 conjugated goat anti-rabbit IgG(H+L) (Red) and an AlexaFluor488 conjugated g... View More {{ $ctrl.currentElement.advancedVerification.fullName }} 验证信息 View more
          已发表图片由___提供 benchsci-logo
          PMID: {{$ctrl.currentElement.benchSciPubmedId}}
          查看产品

          {{$ctrl.videoDesc}}

          {{$ctrl.videoLongDesc}}

          MSX1/MSX2 Antibody in Immunocytochemistry (ICC/IF)
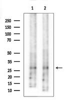
          MSX1/MSX2 Antibody in Western Blot (WB)
          MSX1/MSX2 Polyclonal Antibody

          产品信息

          PA5-103302

          应用
          建议稀释比
          已发表文章

          免疫印迹 (WB)

          1:1,000-1:3,000
          -

          免疫细胞化学 (ICC/IF)

          1:100-1:500
          -
          产品规格

          种属反应

          Human, Mouse, Rat

          宿主/亚型

          Rabbit / IgG

          分类

          Polyclonal

          类型

          Antibody

          抗原

          A synthesized peptide derived from human MSX1(Accession P28360), corresponding to amino acid residues W145-Q195.
          3D表位/免疫原

          偶联物

          Unconjugated Unconjugated Unconjugated

          形式

          Liquid

          浓度

          1 mg/mL

          规格

          100 µg

          纯化类型

          Affinity chromatography

          保存液

          PBS, pH 7.4, with 50% glycerol

          内含物

          0.02% sodium azide

          保存条件

          -20°C

          运输条件

          Ambient (domestic); Wet ice (international)

          RRID

          AB_2852649

          产品详细信息

          Antibody detects endogenous levels of total MSX1/2.

          靶标信息

          Drosophila,muscle segment (msh) homolog 1,homeo domain encoding gene,inhibiting MYOD1 expression,highly expressed in dental mesenchyme during critical bud stage,involved in epithelial-mesenchymal signaling in many organs,and in the pathogenesis of cleft lip and palate,interacting with MSX2 in mouse limb bud patterning .This gene encodes a member of the muscle segment homeobox gene family. The encoded protein functions as a transcriptional repressor during embryogenesis through interactions with components of the core transcription complex and other homeoproteins. It may also have roles in limb-pattern formation, craniofacial development, particularly odontogenesis, and tumor growth inhibition.Tissue specificity: Expressed in the developing nail bed mesenchyme.

          仅用于科研。不用于诊断过程。未经明确授权不得转售。

          篇参考文献 (0)

          您是否在文献中引用过该产品?请点击下方按钮邮件告知我们。
          引用该产品

          生物信息学

          蛋白别名: homeo box, msh-like 1; homeo box, msh-like 2; homeobox 7; homeobox protein; Homeobox protein Hox-7; Homeobox protein Hox-8; Homeobox protein Hox-8-1; Homeobox protein MSX-1; Homeobox protein MSX-2; homeobox, msh-like 1; homeobox, msh-like 2; Hox-7.1; hox-8.1; msh homeo box 1; msh homeo box 2; msh homeo box homolog 2; Msh homeobox 1-like protein; msh homeobox homolog 1; msh homeobox homolog 2; muscle-segment homeobox; unnamed protein product

          查看更多 收起

          基因别名: AA675338; AI324650; BB122635; CRS2; ECTD3; FPP; Hox-7; Hox-8; Hox-8.1; HOX7; Hox7.1; HOX8; Hox8.1; HYD1; MSH; Msx-2; MSX1; MSX2; PFM; PFM1; STHAG1

          查看更多 收起

          UniProt ID: (Human) P28360, (Human) P35548, (Mouse) P13297, (Mouse) Q03358

          查看更多 收起

          Entrez Gene ID: (Human) 4487, (Human) 4488, (Mouse) 17701, (Rat) 81710, (Mouse) 17702, (Rat) 25483

          查看更多 收起

          功能
          transcription regulatory region sequence-specific DNA binding RNA polymerase II regulatory region sequence-specific DNA binding RNA polymerase II transcription factor activity, sequence-specific DNA binding core promoter proximal region sequence-specific DNA binding transcriptional repressor activity, RNA polymerase II transcription regulatory region sequence-specific binding transcriptional activator activity, RNA polymerase II transcription regulatory region sequence-specific binding p53 binding DNA binding protein binding sequence-specific DNA binding sequence-specific double-stranded DNA binding RNA polymerase II core promoter proximal region sequence-specific DNA binding transcription factor activity, RNA polymerase II core promoter proximal region sequence-specific binding molecular_function transcription factor activity, transcription factor binding transcription cofactor activity transcription factor binding transcription regulatory region DNA binding homeodomain transcription factor
          参与通路
          negative regulation of transcription from RNA polymerase II promoter cell morphogenesis in utero embryonic development epithelial to mesenchymal transition heart morphogenesis cardiac conduction system development epithelial to mesenchymal transition involved in endocardial cushion formation regulation of transcription, DNA-templated regulation of transcription from RNA polymerase II promoter transcription from RNA polymerase II promoter heart development muscle organ development negative regulation of cell proliferation organ morphogenesis anterior/posterior pattern specification mesenchymal cell proliferation negative regulation of gene expression pituitary gland development signal transduction involved in regulation of gene expression negative regulation of cell growth embryonic limb morphogenesis BMP signaling pathway positive regulation of BMP signaling pathway forebrain development midbrain development protein localization to nucleus embryonic forelimb morphogenesis embryonic hindlimb morphogenesis embryonic nail plate morphogenesis middle ear morphogenesis odontogenesis of dentin-containing tooth odontogenesis regulation of odontogenesis positive regulation of odontogenesis embryonic digit morphogenesis negative regulation of apoptotic process positive regulation of DNA damage response, signal transduction by p53 class mediator nose development positive regulation of cell cycle negative regulation of transcription, DNA-templated positive regulation of transcription from RNA polymerase II promoter embryonic morphogenesis inner ear development stem cell differentiation protein stabilization negative regulation of striated muscle cell differentiation cartilage development palate development face morphogenesis bone morphogenesis cartilage morphogenesis mammary gland epithelium development cell surface receptor signaling pathway involved in heart development cellular response to nicotine activation of meiosis mesenchymal cell apoptotic process negative regulation of odontoblast differentiation positive regulation of intrinsic apoptotic signaling pathway by p53 class mediator positive regulation of mesenchymal cell apoptotic process ossification osteoblast differentiation chondrocyte development osteoblast development outflow tract septum morphogenesis outflow tract morphogenesis endochondral bone growth wound healing, spreading of epidermal cells wound healing regulation of apoptotic process negative regulation of fat cell differentiation negative regulation of keratinocyte differentiation positive regulation of osteoblast differentiation positive regulation of catagen bone trabecula formation cranial suture morphogenesis frontal suture morphogenesis branching involved in mammary gland duct morphogenesis enamel mineralization cellular response to growth factor stimulus cellular response to estradiol stimulus transcription, DNA-templated multicellular organism development negative regulation of DNA binding BMP signaling pathway involved in heart development negative regulation of transcription regulatory region DNA binding negative regulation of CREB transcription factor activity anagen positive regulation of apoptotic process
          It has to be done as per old AB suggested Products section.

          Disclaimer

          Close

          Clicking the images or links will redirect you to a website hosted by BenchSci that provides third-party scientific content. Neither the content nor the BenchSci technology and processes for selection have been evaluated by us; we are providing them as-is and without warranty of any kind, including for use or application of the Thermo Fisher Scientific products presented.

          guarantee_icon

          性能保障

          只要您发现Invitrogen抗体在实验中的表现与网站或说明书的所述内容不符,您即可享受免费退换货服务。*

          了解更多
          help_icon

          随时为您服务

          获取常见问题的专家解答,或者直接联系我们的技术专家,咨询应用、设备、常规产品使用问题。

          联系技术支持
          订购 Plus Icon Minus Icon
          • 订单状态查询
          • 订单支持
          • 货号直购
          • 现货供应中心
          • 电子采购
          支持 Plus Icon Minus Icon
          • 帮助&支持
          • 联系我们 - 400 820 8982
          • 技术支持中心
          • 查找文件&证书
          • 报告网站问题
          资源 Plus Icon Minus Icon
          • 学习中心
          • 促销
          • 活动&研讨会
          • 社交媒体
          关于赛默飞 Plus Icon Minus Icon
          • 关于我们
          • 招聘 招聘
          • 投资者关系 投资者关系
          • 新闻 新闻
          • 社会责任 社会责任
          • 商标
          • 政策和通知
          品牌 Plus Icon Minus Icon
          • Thermo Scientific
          • Applied Biosystems
          • Invitrogen
          • Gibco
          • Ion Torrent
          • Unity Lab Services
          • Patheon
          • PPD
          • 服务条款
          • 隐私政策
          • 定价和运输保险政策
          © 2006-2026 Thermo Fisher Scientific Inc. All rights reserved. All trademarks are the property of Thermo Fisher Scientific and its subsidiaries unless otherwise specified.
          China flag icon
          China
          本网站销售的所有产品均不得用于人类或动物之临床诊断或治疗,仅可用于工业或者科研等非医疗目的。
             电子营业执照 | 经营证照公示 | ICP备案号:沪ICP备11003924号 | 沪公网安备 31011502006935号

          Your items have has been added!


          Host server : magellan-search-blue-7c59b9b899-49tpj:80/100.66.77.222:80.
          git-commit: 8ef7cf686e3c81d28b13492708ce56d167b2f995
          git-url: https://github.com/thermofisher/magellan-search
          git-branch: release/2.49.0-Offline