Hamburger Menu Button
Thermo Fisher Scientific Logo
登录
没有账号?建立账号 注册
  • 产品
    • 抗体
    • 引物合成
    • GeneArt Gene Synthesis Instant Designer
    • TaqMan Assay and Array Search
    • PCR 设备和耗材
    • 色谱柱和纯化柱
    • 实验室离心机
    • 分子生物学试剂和试剂盒
    • 实验室塑料耗材及用品
    • 查看所有产品分类
  • 应用和技术
    • 色谱
    • 细胞转染和培养
    • 实时荧光定量PCR
    • 质谱
    • 实验室塑料耗材及用品
    • 电子显微镜
    • 蛋白质生物学
    • PCR
    • RNAi
    • 环境
    • 查看所有应用和技术
  • 服务
    • 定制服务
    • 企业级实验室信息化服务
    • 企业服务
    • 金融&租赁服务
    • 仪器服务
    • OEM和商业供应
    • 培训服务
    • 360° CDMO 和 CRO 服务
    • CDMO 服务
    • 临床试验 CRO 服务
    • 查看所有帮助和支持
  • 帮助和支持
    • 学习中心
    • 联系我们
    • 更改国家或地区
    • 查看所有帮助和支持
  • 热门产品
    • TaqMan Real-Time PCR Assays
      TaqMan 实时荧光定量 PCR 试剂盒
    • Antibodies
      抗体
    • Oligos, Primers & Probes
      寡核苷酸、引物、探针
    • GeneArt Gene Synthesis
      GeneArt 基因合成
    • Cell Culture Plastics
      细胞培养耗材
  • 联系我们
  • 货号直购
  • 订单查询
  • 查找文件&证书
Thermo Fisher Scientific Logo

Search

搜索全部或下列指定分类
Search button
          • 联系我们
          • 货号直购
          • 登录
            登录
            没有账号?建立账号 注册
            • 我的账号
            • 订单
            • 账单及发票查询
            • 定制产品及项目

          Disclaimer

          Clicking the images or links will redirect you to a website hosted by BenchSci that provides third-party scientific content. Neither the content nor the BenchSci technology and processes for selection have been evaluated by us; we are providing them as-is and without warranty of any kind, including for use or application of the Thermo Fisher Scientific products presented.

          • Primary Antibodies ›
          • mTOR Antibodies

          OriGene

          MTOR Monoclonal Antibody (OTI5B3), TrueMAB™

          查看其他51个mTOR抗体

          {{$productOrderCtrl.translations['antibody.pdp.commerceCard.promotion.promotions']}}

          {{$productOrderCtrl.translations['antibody.pdp.commerceCard.promotion.viewpromo']}}

          {{$productOrderCtrl.translations['antibody.pdp.commerceCard.promotion.promocode']}}: {{promo.promoCode}} {{promo.promoTitle}} {{promo.promoDescription}}. {{$productOrderCtrl.translations['antibody.pdp.commerceCard.promotion.learnmore']}}

          说明书
          证书
          实验方案
          问题与答案
          技术支持
          说明书
          证书
          实验方案
          问题与答案
          技术支持
          说明书
          证书
          实验方案
          问题与答案
          技术支持

          Cite MTOR Monoclonal Antibody (OTI5B3), TrueMAB™

          • 抗体检测数据 (3)
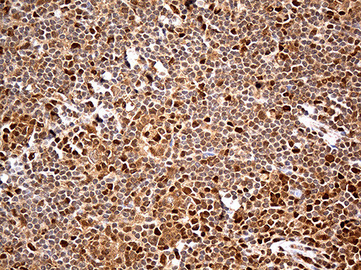
          MTOR Antibody in Immunohistochemistry (Paraffin) (IHC (P))
          Group 53 Created with Sketch.
          MTOR Antibody in Immunohistochemistry (Paraffin) (IHC (P))
          Group 53 Created with Sketch.

          图: 1 / 3

          {{ $ctrl.currentElement.advancedVerification.fullName }}
          {{ $ctrl.currentElement.advancedVerification.text }}

          MTOR Antibody (TA805914) in IHC (P)

          Immunohistochemical staining of paraffin-embedded human lymphoma tissue using anti-MTOR mouse monoclonal antibody. (Heat-induced epitope retrieval by 1mM EDTA in 10mM Tris buffer (pH8.5) at 120°C for 3 min, TA805914)(1:500). {{ $ctrl.currentElement.advancedVerification.fullName }} 验证信息 View more
          已发表图片由___提供 benchsci-logo
          PMID: {{$ctrl.currentElement.benchSciPubmedId}}
          查看产品

          {{$ctrl.videoDesc}}

          {{$ctrl.videoLongDesc}}

          MTOR Antibody in Immunohistochemistry (Paraffin) (IHC (P))
          MTOR Antibody in Immunohistochemistry (Paraffin) (IHC (P))
          MTOR Antibody in Western Blot (WB)
          MTOR Monoclonal Antibody (OTI5B3), TrueMAB™

          产品信息

          TA805914

          应用
          建议稀释比
          已发表文章

          免疫印迹 (WB)

          1:2,000
          -

          免疫组化(石蜡) (IHC (P))

          1:150
          -
          产品规格

          种属反应

          Human

          宿主/亚型

          Mouse / IgG1

          分类

          Monoclonal

          类型

          Antibody

          克隆号

          OTI5B3

          抗原

          Human recombinant protein fragment corresponding to amino acids 1766-2144 of human MTOR produced in E.coli.
          查看免疫原

          偶联物

          Unconjugated Unconjugated Unconjugated

          形式

          Liquid

          浓度

          1 mg/mL

          纯化类型

          Affinity chromatography

          保存液

          PBS with 1% BSA, 50% glycerol

          内含物

          0.02% sodium azide

          保存条件

          -20°C, Avoid Freeze/Thaw Cycles

          运输条件

          Ambient (domestic); Wet ice (international)

          靶标信息

          FRAP1 (mTOR) is a serine/threonine kinase that plays a critical role in cellular growth and proliferation. Perturbations in the mTOR/PI3-kinase/AKT pathway are associated with numerous forms of cancer. FRAP1 is also the target of rapamycin and its analogues, which are currently used as immunosuppressants and cancer therapeutics. Mutations affecting the gene results in Smith-Kingsmore syndrome.

          仅用于科研。不用于诊断过程。未经明确授权不得转售。

          篇参考文献 (0)

          您是否在文献中引用过该产品?请点击下方按钮邮件告知我们。
          引用该产品

          生物信息学

          蛋白别名: FK506 binding protein 12-rapamycin associated protein 2; FK506-binding protein 12-rapamycin complex-associated protein 1; FKBP-rapamycin associated protein; FKBP12-rapamycin complex-associated protein; FKBP12-rapamycin complex-associated protein 1; m-TOR; Mammalian target of rapamycin; Mechanistic target of rapamycin; mechanistic target of rapamycin (serine/threonine kinase); mTOR; mTORC1; Rapamycin and FKBP12 target 1; rapamycin associated protein FRAP2; Rapamycin target protein 1; Serine/threonine-protein kinase mTOR

          查看更多 收起

          基因别名: FRAP; FRAP1; FRAP2; MTOR; RAFT1; RAPT1; SKS

          查看更多 收起

          UniProt ID: (Human) P42345

          查看更多 收起

          Entrez Gene ID: (Human) 2475

          查看更多 收起

          功能
          RNA polymerase III type 1 promoter DNA binding RNA polymerase III type 2 promoter DNA binding RNA polymerase III type 3 promoter DNA binding TFIIIC-class transcription factor binding protein kinase activity protein serine/threonine kinase activity protein binding ATP binding kinase activity protein kinase binding protein domain specific binding ribosome binding phosphoprotein binding non-receptor serine/threonine protein kinase protein modifying enzyme
          参与通路
          negative regulation of protein phosphorylation positive regulation of protein phosphorylation positive regulation of endothelial cell proliferation heart morphogenesis heart valve morphogenesis regulation of glycogen biosynthetic process energy reserve metabolic process 'de novo' pyrimidine nucleobase biosynthetic process DNA repair protein phosphorylation response to stress cell cycle arrest signal transduction germ cell development brain development cell aging response to nutrient long-term memory visual learning post-embryonic development negative regulation of autophagy positive regulation of lamellipodium assembly positive regulation of gene expression positive regulation of myotube differentiation positive regulation of neuron maturation negative regulation of muscle atrophy cell growth macroautophagy negative regulation of macroautophagy phosphorylation peptidyl-serine phosphorylation peptidyl-threonine phosphorylation spinal cord development protein catabolic process positive regulation of actin filament polymerization T cell costimulation negative regulation of protein ubiquitination ruffle organization regulation of myelination cellular response to nutrient levels TOR signaling regulation of fatty acid beta-oxidation regulation of response to food response to insulin regulation of actin cytoskeleton organization social behavior multicellular organism growth growth wound healing response to cocaine regulation of GTPase activity response to amino acid response to morphine regulation of carbohydrate utilization positive regulation of nitric oxide biosynthetic process regulation of osteoclast differentiation positive regulation of translation negative regulation of cell size regulation of protein kinase activity positive regulation of transcription from RNA polymerase III promoter protein autophosphorylation positive regulation of lipid biosynthetic process phosphatidylinositol-mediated signaling mRNA stabilization positive regulation of smooth muscle cell proliferation positive regulation of oligodendrocyte differentiation positive regulation of peptidyl-tyrosine phosphorylation voluntary musculoskeletal movement positive regulation of stress fiber assembly negative regulation of NFAT protein import into nucleus positive regulation of protein kinase B signaling cardiac muscle cell development cardiac muscle contraction maternal process involved in female pregnancy positive regulation of glial cell proliferation positive regulation of dendritic spine development positive regulation of cell growth involved in cardiac muscle cell development cellular response to hypoxia regulation of brown fat cell differentiation regulation of membrane permeability regulation of cellular response to heat positive regulation of neuron death positive regulation of transcription of nuclear large rRNA transcript from RNA polymerase I promoter positive regulation of eating behavior positive regulation of cholangiocyte proliferation positive regulation of sensory perception of pain negative regulation of cholangiocyte apoptotic process positive regulation of granulosa cell proliferation positive regulation of skeletal muscle hypertrophy negative regulation of iodide transmembrane transport
          It has to be done as per old AB suggested Products section.
          guarantee_icon

          性能保障

          只要您发现Invitrogen抗体在实验中的表现与网站或说明书的所述内容不符,您即可享受免费退换货服务。*

          了解更多
          help_icon

          随时为您服务

          获取常见问题的专家解答,或者直接联系我们的技术专家,咨询应用、设备、常规产品使用问题。

          联系技术支持
          订购 Plus Icon Minus Icon
          • 订单状态查询
          • 订单支持
          • 货号直购
          • 现货供应中心
          • 电子采购
          支持 Plus Icon Minus Icon
          • 帮助&支持
          • 联系我们 - 400 820 8982
          • 技术支持中心
          • 查找文件&证书
          • 报告网站问题
          资源 Plus Icon Minus Icon
          • 学习中心
          • 促销
          • 活动&研讨会
          • 社交媒体
          关于赛默飞 Plus Icon Minus Icon
          • 关于我们
          • 招聘 招聘
          • 投资者关系 投资者关系
          • 新闻 新闻
          • 社会责任 社会责任
          • 商标
          • 政策和通知
          品牌 Plus Icon Minus Icon
          • Thermo Scientific
          • Applied Biosystems
          • Invitrogen
          • Gibco
          • Ion Torrent
          • Patheon
          • PPD
          • 服务条款
          • 隐私政策
          • 定价和运输保险政策
          © 2006-2026 Thermo Fisher Scientific Inc. All rights reserved. All trademarks are the property of Thermo Fisher Scientific and its subsidiaries unless otherwise specified.
          China flag icon
          China
          本网站销售的所有产品均不得用于人类或动物之临床诊断或治疗,仅可用于工业或者科研等非医疗目的。
             电子营业执照 | 经营证照公示 | ICP备案号:沪ICP备11003924号 | 沪公网安备 31011502006935号

          Your items have has been added!


          Host server : magellan-search-blue-55ff9ddd88-g6tbm:80/100.66.79.31:80.
          git-commit: d366ff9721d93504b2ac26a183b2b3e3d0e7d9ec
          git-url: https://github.com/thermofisher/magellan-search
          git-branch: release/2.42.0-2026.01.03-1.0