Hamburger Menu Button
Thermo Fisher Scientific Logo
登录
没有账号?建立账号 注册
  • 产品
    • 抗体
    • 引物合成
    • GeneArt Gene Synthesis Instant Designer
    • TaqMan Assay and Array Search
    • PCR 设备和耗材
    • 色谱柱和纯化柱
    • 实验室离心机
    • 分子生物学试剂和试剂盒
    • 实验室塑料耗材及用品
    • 查看所有产品分类
  • 应用和技术
    • 色谱
    • 细胞转染和培养
    • 实时荧光定量PCR
    • 质谱
    • 实验室塑料耗材及用品
    • 电子显微镜
    • 蛋白质生物学
    • PCR
    • RNAi
    • 环境
    • 查看所有应用和技术
  • 服务
    • 定制服务
    • 企业级实验室信息化服务
    • 企业服务
    • 金融&租赁服务
    • 仪器服务
    • OEM和商业供应
    • 培训服务
    • 360° CDMO 和 CRO 服务
    • CDMO 服务
    • 临床试验 CRO 服务
    • 查看所有帮助和支持
  • 帮助和支持
    • 学习中心
    • 联系我们
    • 更改国家或地区
    • 查看所有帮助和支持
  • 热门产品
    • TaqMan Real-Time PCR Assays
      TaqMan 实时荧光定量 PCR 试剂盒
    • Antibodies
      抗体
    • Oligos, Primers & Probes
      寡核苷酸、引物、探针
    • GeneArt Gene Synthesis
      GeneArt 基因合成
    • Cell Culture Plastics
      细胞培养耗材
  • 联系我们
  • 货号直购
  • 订单查询
  • 查找文件&证书
Thermo Fisher Scientific Logo

Search

搜索全部或下列指定分类
Search button
          • 联系我们
          • 货号直购
          • 登录
            登录
            没有账号?建立账号 注册
            • 我的账号
            • 订单
            • 账单及发票查询
            • 定制产品及项目

          Disclaimer

          Clicking the images or links will redirect you to a website hosted by BenchSci that provides third-party scientific content. Neither the content nor the BenchSci technology and processes for selection have been evaluated by us; we are providing them as-is and without warranty of any kind, including for use or application of the Thermo Fisher Scientific products presented.

          • Primary Antibodies ›
          • MUC1 Antibodies

          NeoBiotechnologies

          MUC1/CA15-3/EMA/CD227 (Epithelial Marker) Monoclonal Antibody (SPM492)

          查看其他85个MUC1抗体

          {{$productOrderCtrl.translations['antibody.pdp.commerceCard.promotion.promotions']}}

          {{$productOrderCtrl.translations['antibody.pdp.commerceCard.promotion.viewpromo']}}

          {{$productOrderCtrl.translations['antibody.pdp.commerceCard.promotion.promocode']}}: {{promo.promoCode}} {{promo.promoTitle}} {{promo.promoDescription}}. {{$productOrderCtrl.translations['antibody.pdp.commerceCard.promotion.learnmore']}}

          说明书
          证书
          实验方案
          问题与答案
          技术支持
          说明书
          证书
          实验方案
          问题与答案
          技术支持
          说明书
          证书
          实验方案
          问题与答案
          技术支持

          Cite MUC1/CA15-3/EMA/CD227 (Epithelial Marker) Monoclonal Antibody (SPM492)

          • 抗体检测数据 (1)
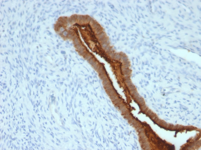
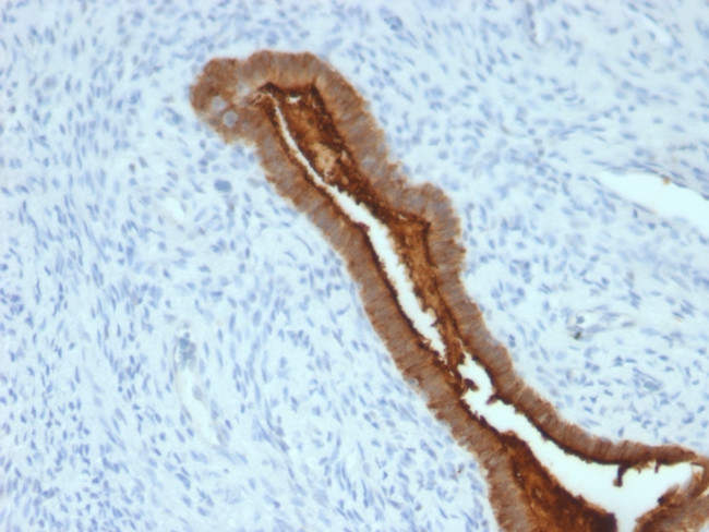
          MUC1/CA15-3/EMA/CD227 (Epithelial Marker) Antibody in Immunohistochemistry (Paraffin) (IHC (P))
          Group 53 Created with Sketch.
          MUC1/CA15-3/EMA/CD227 (Epithelial Marker) Antibody in Immunohistochemistry (Paraffin) (IHC (P))
          Group 53 Created with Sketch.

          图: 1 / 1

          {{ $ctrl.currentElement.advancedVerification.fullName }}
          {{ $ctrl.currentElement.advancedVerification.text }}

          MUC1/CA15-3/EMA/CD227 (Epithelial Marker) Antibody (4582-MSM5X-P0) in IHC (P)

          Formalin-fixed, paraffin-embedded human Endometrial Carcinoma stained with MUC-1/CA15-3/EMA Mouse Monoclonal Antibody (SPM492). {{ $ctrl.currentElement.advancedVerification.fullName }} 验证信息 View more
          已发表图片由___提供 benchsci-logo
          PMID: {{$ctrl.currentElement.benchSciPubmedId}}
          查看产品

          {{$ctrl.videoDesc}}

          {{$ctrl.videoLongDesc}}

          MUC1/CA15-3/EMA/CD227 (Epithelial Marker) Antibody in Immunohistochemistry (Paraffin) (IHC (P))
          MUC1/CA15-3/EMA/CD227 (Epithelial Marker) Monoclonal Antibody (SPM492)

          产品信息

          4582-MSM5X-P0

          应用
          建议稀释比
          已发表文章

          免疫组化(石蜡) (IHC (P))

          Assay-dependent
          -

          免疫组织化学(多聚甲醛固定) (IHC (PFA))

          1-2 µg/mL
          -

          免疫细胞化学 (ICC/IF)

          1-2 µg/mL
          -

          流式细胞分析 (Flow)

          0.25-0.5 µg/10^6 cells
          -

          酶联免疫吸附实验 (ELISA)

          2-5 µg/mL
          -
          产品规格

          种属反应

          Human, Mouse

          宿主/亚型

          Mouse / IgG1, kappa

          分类

          Monoclonal

          类型

          Antibody

          克隆号

          SPM492

          抗原

          Breast Cancer Cell line ZR75-1
          查看免疫原

          偶联物

          Unconjugated Unconjugated Unconjugated

          形式

          Liquid

          浓度

          200 µg/mL

          纯化类型

          Protein A/G

          保存液

          PBS, pH 7.4, with 0.05% BSA

          内含物

          0.05% sodium azide

          保存条件

          4°C, do not freeze

          运输条件

          Ambient (domestic); Wet ice (international)

          靶标信息

          MUC1 (Mucin 1, Episialin, MAM-6, CA 15-3, PEM and EMA) is a large cell surface mucin glycoprotein expressed by most glandular and ductal epithelial cells and some hematopoietic cell lineages. MUC1 is a transmembrane glycoprotein with a large mucin-like extracellular domain that matures through several intermediate forms generated by proteolysis, and sequential addition and processing of numerous O-linked glycans that are heavily sialylated. MUC1 is highly polymorphic and each allele encodes a product that contains a different number of repeats (between 30 and 90) leading to large differences in molecular weight of the protein. MUC1 is expressed on most secretory epithelium, including mammary gland and some hematopoietic cells, and is expressed abundantly in >90% breast carcinomas and metastases. Transgenic MUC1 has been shown to associate with all four cebB receptors and localize with erbB1 (EGFR) in lactating glands. The MUC1 gene contains seven exons and produces several different alternatively spliced variants. Overexpression, aberrant intracellular localization, and changes in glycosylation of the MUC1 protein have been associated with carcinomas. Multiple alternatively spliced transcript variants that encode different isoforms of the MUC1 gene have been reported, but the full-length nature of only some has been determined. Transgenic MUC-1 has been shown to associate with all four cebB receptors and localize with erbB1 (EGFR) in lactating glands.

          仅用于科研。不用于诊断过程。未经明确授权不得转售。

          篇参考文献 (0)

          您是否在文献中引用过该产品?请点击下方按钮邮件告知我们。
          引用该产品

          生物信息学

          蛋白别名: Breast carcinoma-associated antigen DF3; CA 15-3; Cancer antigen 15-3; Carcinoma-associated mucin; CD227; DF3 antigen; EMA; Episialin; H23 antigen; H23AG; J19; KL-6; Krebs von den Lungen-6; Medullary cystic kidney disease, autosomal dominant; MUC-1; MUC1-alpha; mucin 1, transmembrane; Mucin-1; Peanut-reactive urinary mucin; PEM; PEMT; Polymorphic epithelial mucin; PUM; tumor associated epithelial mucin; Tumor-associated epithelial membrane antigen; Tumor-associated mucin

          查看更多 收起

          基因别名: ADMCKD; ADMCKD1; CA 15-3; CD227; EMA; H23AG; KL-6; MAM6; MCD; MCKD; MCKD1; MUC-1; MUC-1/SEC; MUC-1/X; MUC1; MUC1/ZD; PEM; PEMT; PUM

          查看更多 收起

          UniProt ID: (Human) P15941, (Mouse) Q02496

          查看更多 收起

          Entrez Gene ID: (Human) 4582, (Mouse) 17829

          查看更多 收起

          功能
          RNA polymerase II core promoter proximal region sequence-specific DNA binding p53 binding transcription cofactor activity protein binding cell adhesion molecule
          参与通路
          DNA damage response, signal transduction by p53 class mediator resulting in cell cycle arrest DNA damage response, signal transduction by p53 class mediator resulting in transcription of p21 class mediator negative regulation of transcription by competitive promoter binding O-glycan processing negative regulation of cell adhesion mediated by integrin positive regulation of transcription from RNA polymerase II promoter in response to stress regulation of transcription from RNA polymerase II promoter in response to stress positive regulation of histone H4 acetylation negative regulation of intrinsic apoptotic signaling pathway in response to DNA damage by p53 class mediator
          It has to be done as per old AB suggested Products section.
          guarantee_icon

          性能保障

          只要您发现Invitrogen抗体在实验中的表现与网站或说明书的所述内容不符,您即可享受免费退换货服务。*

          了解更多
          help_icon

          随时为您服务

          获取常见问题的专家解答,或者直接联系我们的技术专家,咨询应用、设备、常规产品使用问题。

          联系技术支持
          订购 Plus Icon Minus Icon
          • 订单状态查询
          • 订单支持
          • 货号直购
          • 现货供应中心
          • 电子采购
          支持 Plus Icon Minus Icon
          • 帮助&支持
          • 联系我们 - 400 820 8982
          • 技术支持中心
          • 查找文件&证书
          • 报告网站问题
          资源 Plus Icon Minus Icon
          • 学习中心
          • 促销
          • 活动&研讨会
          • 社交媒体
          关于赛默飞 Plus Icon Minus Icon
          • 关于我们
          • 招聘 招聘
          • 投资者关系 投资者关系
          • 新闻 新闻
          • 社会责任 社会责任
          • 商标
          • 政策和通知
          品牌 Plus Icon Minus Icon
          • Thermo Scientific
          • Applied Biosystems
          • Invitrogen
          • Gibco
          • Ion Torrent
          • Patheon
          • PPD
          • 服务条款
          • 隐私政策
          • 定价和运输保险政策
          © 2006-2026 Thermo Fisher Scientific Inc. All rights reserved. All trademarks are the property of Thermo Fisher Scientific and its subsidiaries unless otherwise specified.
          China flag icon
          China
          本网站销售的所有产品均不得用于人类或动物之临床诊断或治疗,仅可用于工业或者科研等非医疗目的。
             电子营业执照 | 经营证照公示 | ICP备案号:沪ICP备11003924号 | 沪公网安备 31011502006935号

          Your items have has been added!


          Host server : magellan-search-blue-55ff9ddd88-mhgrj:80/100.66.75.204:80.
          git-commit: d366ff9721d93504b2ac26a183b2b3e3d0e7d9ec
          git-url: https://github.com/thermofisher/magellan-search
          git-branch: release/2.42.0-2026.01.03-1.0