Hamburger Menu Button
Thermo Fisher Scientific Logo
登录
没有账号?建立账号 注册
  • 产品
    • 抗体
    • 引物合成
    • GeneArt Gene Synthesis Instant Designer
    • TaqMan Assay and Array Search
    • PCR 设备和耗材
    • 色谱柱和纯化柱
    • 实验室离心机
    • 分子生物学试剂和试剂盒
    • 实验室塑料耗材及用品
    • 查看所有产品分类
  • 应用和技术
    • 色谱
    • 细胞转染和培养
    • 实时荧光定量PCR
    • 质谱
    • 实验室塑料耗材及用品
    • 电子显微镜
    • 蛋白质生物学
    • PCR
    • RNAi
    • 环境
    • 查看所有应用和技术
  • 服务
    • 定制服务
    • 企业级实验室信息化服务
    • 企业服务
    • 金融&租赁服务
    • 仪器服务
    • OEM和商业供应
    • 培训服务
    • 360° CDMO 和 CRO 服务
    • CDMO 服务
    • 临床试验 CRO 服务
    • 查看所有帮助和支持
  • 帮助和支持
    • 学习中心
    • 联系我们
    • 更改国家或地区
    • 查看所有帮助和支持
  • 热门产品
    • TaqMan Real-Time PCR Assays
      TaqMan 实时荧光定量 PCR 试剂盒
    • Antibodies
      抗体
    • Oligos, Primers & Probes
      寡核苷酸、引物、探针
    • GeneArt Gene Synthesis
      GeneArt 基因合成
    • Cell Culture Plastics
      细胞培养耗材
  • 联系我们
  • 货号直购
  • 订单查询
  • 查找文件&证书
Thermo Fisher Scientific Logo

Search

搜索全部或下列指定分类
Search button
          • 联系我们
          • 货号直购
          • 登录
            登录
            没有账号?建立账号 注册
            • 我的账号
            • 订单
            • 账单及发票查询
            • 定制产品及项目

          Disclaimer

          Clicking the images or links will redirect you to a website hosted by BenchSci that provides third-party scientific content. Neither the content nor the BenchSci technology and processes for selection have been evaluated by us; we are providing them as-is and without warranty of any kind, including for use or application of the Thermo Fisher Scientific products presented.

          • Primary Antibodies ›
          • Menin Antibodies

          Invitrogen

          Menin Recombinant Rabbit Monoclonal Antibody (JE30-97)

          查看其他20个Menin抗体

          {{$productOrderCtrl.translations['antibody.pdp.commerceCard.promotion.promotions']}}

          {{$productOrderCtrl.translations['antibody.pdp.commerceCard.promotion.viewpromo']}}

          {{$productOrderCtrl.translations['antibody.pdp.commerceCard.promotion.promocode']}}: {{promo.promoCode}} {{promo.promoTitle}} {{promo.promoDescription}}. {{$productOrderCtrl.translations['antibody.pdp.commerceCard.promotion.learnmore']}}

          说明书
          实验方案
          问题与答案
          技术支持
          说明书
          实验方案
          问题与答案
          技术支持
          说明书
          实验方案
          问题与答案
          技术支持

          Cite Menin Recombinant Rabbit Monoclonal Antibody (JE30-97)

          • 抗体检测数据 (3)
          Menin Antibody in Immunohistochemistry (Paraffin) (IHC (P))
          Group 53 Created with Sketch.
          Menin Antibody in Immunohistochemistry (Paraffin) (IHC (P))
          Group 53 Created with Sketch.

          图: 1 / 3

          {{ $ctrl.currentElement.advancedVerification.fullName }}
          {{ $ctrl.currentElement.advancedVerification.text }}

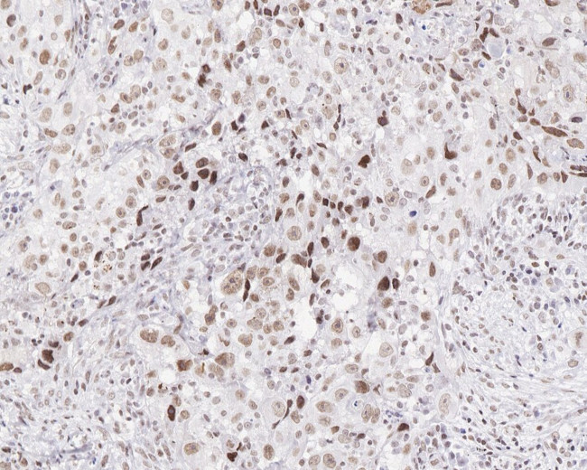
          Menin Antibody (MA5-50803) in IHC (P)

          Immunohistochemistry of Menin in paraffin-embedded human lung cancer tissue. The section was pre-treated using heat mediated antigen retrieval with Tris-EDTA buffer (pH 9.0) for 20 minutes. The tissues were blocked in 1% BSA for 20 minutes at room temperature, washed with ddH2O and PBS, and then probed with Menin recombinant monoclonal antibody (Product # MA5-50803) with a dilution of 1:200 for 1 hour at ro... View More {{ $ctrl.currentElement.advancedVerification.fullName }} 验证信息 View more
          已发表图片由___提供 benchsci-logo
          PMID: {{$ctrl.currentElement.benchSciPubmedId}}
          查看产品

          {{$ctrl.videoDesc}}

          {{$ctrl.videoLongDesc}}

          Menin Antibody in Immunohistochemistry (Paraffin) (IHC (P))
          Menin Antibody in Immunohistochemistry (Paraffin) (IHC (P))
          Menin Antibody in Western Blot (WB)
          Menin Recombinant Rabbit Monoclonal Antibody (JE30-97)

          产品信息

          MA5-50803

          应用
          建议稀释比
          已发表文章

          免疫印迹 (WB)

          1:500-1:1,000
          -

          免疫组化(石蜡) (IHC (P))

          1:200
          -
          产品规格

          种属反应

          Human

          宿主/亚型

          Rabbit / IgG

          Expression System

          HEK293 cells

          分类

          Recombinant Monoclonal

          类型

          Antibody

          克隆号

          JE30-97

          抗原

          Synthetic peptide within Human Menin aa 566-615/615.
          查看免疫原

          偶联物

          Unconjugated Unconjugated Unconjugated

          形式

          Liquid

          浓度

          1 mg/mL

          纯化类型

          Protein A

          保存液

          TBS, pH 7.4, with 0.05% BSA, 40% glycerol

          内含物

          0.05% sodium azide

          保存条件

          Store at 4°C short term. For long term storage, store at -20°C, avoiding freeze/thaw cycles.

          运输条件

          Ambient (domestic); Wet ice (international)

          RRID

          AB_3092990

          产品详细信息

          Positive control: 293 cell lysate, PC-3M cell lysate, Jurkat cell lysate, human lung cancer tissue, human testis tissue.

          Predicted band size: 68 kDa

          Subcellular Location: Nucleus.

          靶标信息

          Potassium channels are a group of ubiquitously expressed proteins that serve numerous functions in excitable and non-excitable cells. One class of integral membrane potassium channels is the large conductance, calcium-activated potassium channel (Maxi K+). Maxi K+ differs from most other potassium channels in that its activation is controlled by both increases in intracellular calcium and by membrane depolarization. Maxi K+ dual activation is possible because of its structure. The core of the channel, which is similar to other potassium channels, is a Maxi K+ alpha homotetramer that contains both a voltage sensor and an intracellular calcium binding domain. In vascular smooth muscle, an auxiliary beta-subunit is found in a 1:1 stoichiometry. The beta-subunit exhibits its effect on the Maxi K+ channel by effectively decreasing by 5- to 10- fold the concentration of calcium required to keep the pore open.

          仅用于科研。不用于诊断过程。未经明确授权不得转售。

          篇参考文献 (0)

          您是否在文献中引用过该产品?请点击下方按钮邮件告知我们。
          引用该产品

          生物信息学

          蛋白别名: Menin; multiple endocrine neoplasia I

          查看更多 收起

          基因别名: MEAI; MEN1; SCG2

          查看更多 收起

          UniProt ID: (Human) O00255

          查看更多 收起

          Entrez Gene ID: (Human) 4221

          查看更多 收起

          功能
          four-way junction DNA binding Y-form DNA binding chromatin binding double-stranded DNA binding protein binding histone-lysine N-methyltransferase activity protein binding, bridging transcription regulatory region DNA binding protein N-terminus binding R-SMAD binding
          参与通路
          negative regulation of transcription from RNA polymerase II promoter MAPK cascade mitotic cell cycle negative regulation of protein phosphorylation osteoblast development type B pancreatic cell differentiation DNA repair transcription, DNA-templated cellular response to DNA damage stimulus brain development negative regulation of cell proliferation response to UV response to gamma radiation negative regulation of cell-substrate adhesion positive regulation of transforming growth factor beta receptor signaling pathway positive regulation of protein binding regulation of activin receptor signaling pathway histone lysine methylation negative regulation of sequence-specific DNA binding transcription factor activity negative regulation of osteoblast differentiation negative regulation of cyclin-dependent protein serine/threonine kinase activity negative regulation of cell cycle negative regulation of transcription, DNA-templated positive regulation of transcription from RNA polymerase II promoter negative regulation of JNK cascade decidualization negative regulation of epithelial cell proliferation negative regulation of telomerase activity regulation of type B pancreatic cell proliferation cellular response to glucose stimulus cellular response to peptide hormone stimulus response to transforming growth factor beta negative regulation of cell cycle G1/S phase transition beta-catenin-TCF complex assembly
          It has to be done as per old AB suggested Products section.
          guarantee_icon

          性能保障

          只要您发现Invitrogen抗体在实验中的表现与网站或说明书的所述内容不符,您即可享受免费退换货服务。*

          了解更多
          help_icon

          随时为您服务

          获取常见问题的专家解答,或者直接联系我们的技术专家,咨询应用、设备、常规产品使用问题。

          联系技术支持
          订购 Plus Icon Minus Icon
          • 订单状态查询
          • 订单支持
          • 货号直购
          • 现货供应中心
          • 电子采购
          支持 Plus Icon Minus Icon
          • 帮助&支持
          • 联系我们 - 400 820 8982
          • 技术支持中心
          • 查找文件&证书
          • 报告网站问题
          资源 Plus Icon Minus Icon
          • 学习中心
          • 促销
          • 活动&研讨会
          • 社交媒体
          关于赛默飞 Plus Icon Minus Icon
          • 关于我们
          • 招聘 招聘
          • 投资者关系 投资者关系
          • 新闻 新闻
          • 社会责任 社会责任
          • 商标
          • 政策和通知
          品牌 Plus Icon Minus Icon
          • Thermo Scientific
          • Applied Biosystems
          • Invitrogen
          • Gibco
          • Ion Torrent
          • Patheon
          • PPD
          • 服务条款
          • 隐私政策
          • 定价和运输保险政策
          © 2006-2026 Thermo Fisher Scientific Inc. All rights reserved. All trademarks are the property of Thermo Fisher Scientific and its subsidiaries unless otherwise specified.
          China flag icon
          China
          本网站销售的所有产品均不得用于人类或动物之临床诊断或治疗,仅可用于工业或者科研等非医疗目的。
             电子营业执照 | 经营证照公示 | ICP备案号:沪ICP备11003924号 | 沪公网安备 31011502006935号

          Your items have has been added!


          Host server : magellan-search-green-55658555d6-qfdf2:80/100.66.76.55:80.
          git-commit: ec8e7df5f8fec8d765bd419205f1b5046a016d37
          git-url: https://github.com/thermofisher/magellan-search
          git-branch: release/2.41.0-Offline