Hamburger Menu Button
Thermo Fisher Scientific Logo
登录
没有账号?建立账号 注册
  • 产品
    • 抗体
    • 引物合成
    • GeneArt Gene Synthesis Instant Designer
    • TaqMan Assay and Array Search
    • PCR 设备和耗材
    • 色谱柱和纯化柱
    • 实验室离心机
    • 分子生物学试剂和试剂盒
    • 实验室塑料耗材及用品
    • 查看所有产品分类
  • 应用和技术
    • 色谱
    • 细胞转染和培养
    • 实时荧光定量PCR
    • 质谱
    • 实验室塑料耗材及用品
    • 电子显微镜
    • 蛋白质生物学
    • PCR
    • RNAi
    • 环境
    • 查看所有应用和技术
  • 服务
    • 定制服务
    • 企业级实验室信息化服务
    • 金融&租赁服务
    • 仪器服务
    • OEM和商业供应
    • 培训服务
    • 360° CDMO 和 CRO 服务
    • CDMO 服务
    • 临床试验 CRO 服务
    • Unity Lab Services
    • 查看所有帮助和支持
  • 帮助和支持
    • 学习中心
    • 联系我们
    • 更改国家或地区
    • 查看所有帮助和支持
  • 热门产品
    • TaqMan Real-Time PCR Assays
      TaqMan 实时荧光定量 PCR 试剂盒
    • Antibodies
      抗体
    • Oligos, Primers & Probes
      寡核苷酸、引物、探针
    • GeneArt Gene Synthesis
      GeneArt 基因合成
    • Cell Culture Plastics
      细胞培养耗材
  • Who We Serve
    • 抗体治疗解决方案
    • 细胞与基因治疗解决方案
    • 学术科研
    • 工业与应用
  • 联系我们
  • 货号直购
  • 订单查询
  • 查找文件&证书
Thermo Fisher Scientific Logo

Search

搜索全部或下列指定分类
Search button
          • 联系我们
          • 货号直购
          • 登录
            登录
            没有账号?建立账号 注册
            • 我的账号
            • 订单
            • 会员中心
            • 账单及发票查询
            • 定制产品及项目
          • Primary Antibodies ›
          • MyD88 Antibodies

          Invitrogen

          MyD88 Polyclonal Antibody

          2个已发表图片
          2 篇参考文献
          查看其他29个MyD88抗体

          {{$productOrderCtrl.translations['antibody.pdp.commerceCard.promotion.promotions']}}

          {{$productOrderCtrl.translations['antibody.pdp.commerceCard.promotion.viewpromo']}}

          {{$productOrderCtrl.translations['antibody.pdp.commerceCard.promotion.promocode']}}: {{promo.promoCode}} {{promo.promoTitle}} {{promo.promoDescription}}. {{$productOrderCtrl.translations['antibody.pdp.commerceCard.promotion.learnmore']}}

          说明书
          证书
          实验方案
          问题与答案
          技术支持
          说明书
          证书
          实验方案
          问题与答案
          技术支持
          说明书
          证书
          实验方案
          问题与答案
          技术支持

          Cite MyD88 Polyclonal Antibody

          Additional Information:
          {{banner.description}}
          {{$ctrl.isSkuNotesCollapsed ? 'View more' : 'View less'}}
          • 抗体检测数据 (7)
          • 已发表图片 (2)
          MyD88 Antibody in Immunocytochemistry (ICC/IF)
          Group 53 Created with Sketch.
          MyD88 Antibody in Immunocytochemistry (ICC/IF)
          Group 53 Created with Sketch.

          图: 1 / 9

          {{ $ctrl.currentElement.advancedVerification.fullName }}
          {{ $ctrl.currentElement.advancedVerification.text }}

          MyD88 Antibody (PA5-19918) in ICC/IF

          Immunofluorescent analysis of 4% paraformaldehyde-fixed K562 cells labeling MyD88 with MyD88 Polyclonal Antibody (Product # PA5-19918) at 10 µg/mL, followed by Goat anti-rabbit IgG secondary antibody at 1:500 dilution (green) and DAPI staining (blue). {{ $ctrl.currentElement.advancedVerification.fullName }} 验证信息 View more
          已发表图片由___提供 benchsci-logo
          PMID: {{$ctrl.currentElement.benchSciPubmedId}}
          查看产品

          {{$ctrl.videoDesc}}

          {{$ctrl.videoLongDesc}}

          MyD88 Antibody in Immunocytochemistry (ICC/IF)
          MyD88 Antibody in Immunohistochemistry (Paraffin) (IHC (P))
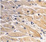
          MyD88 Antibody in Immunohistochemistry (Paraffin) (IHC (P))
          MyD88 Antibody in Western Blot (WB)
          MyD88 Antibody in Western Blot (WB)
          MyD88 Antibody in Western Blot (WB)
          MyD88 Antibody in Western Blot (WB)
          MyD88 Antibody in Western Blot (WB)
          MyD88 Antibody in Western Blot (WB)

          产品信息

          PA5-19918

          应用
          建议稀释比
          已发表文章

          免疫印迹 (WB)

          1-2 µg/mL
          查看2篇已发表文章 2篇已发表文章

          免疫组化(石蜡) (IHC (P))

          2 µg/mL
          -

          免疫细胞化学 (ICC/IF)

          10-20 µg/mL
          -
          产品规格

          种属反应

          Human, Mouse, Rat

          已发表种属

          Mouse, Rat

          宿主/亚型

          Rabbit / IgG

          分类

          Polyclonal

          类型

          Antibody

          抗原

          A 16 amino acid peptide near the center of human MYD88 isoform 1

          偶联物

          Unconjugated Unconjugated Unconjugated

          形式

          Liquid

          浓度

          1.0 mg/mL

          规格

          100 µg

          纯化类型

          Antigen affinity chromatography

          保存液

          PBS

          内含物

          0.02% sodium azide

          保存条件

          Maintain refrigerated at 2-8°C for up to 3 months. For long term storage store at -20°C

          运输条件

          Ambient (domestic); Wet ice (international)

          RRID

          AB_11152014

          产品详细信息

          A suggested positive control is Jurkat cell lysate.

          PA5-19918 can be used with blocking peptide PEP-0044.

          The PA5-19918 The immunogen is located within amino acids 220 - 270 of MYD88.

          Predicted molecular ~ 35kD. In Western blot applications, this antibody has been observed to detect a band at: 35kD

          Predicted species reactivity based on immunogen sequence: Pig: (100%), Sheep: (100%), Bovine: (100%), Chicken: (100%), Rat: (88%), Mouse (88%)

          靶标信息

          Myeloid differentiation Marker 88 (MyD88) is an adaptor molecule for the Toll/IL-1R and is involved in the inflammatory response induced by IL-1, IL-18 and LPS. MyD88 recruits IRAK to IL-1 receptor complex in response to IL-1. This pathway further leads to activation of NF-kB. MyD88 has a wide tissue distribution.

          仅用于科研。不用于诊断过程。未经明确授权不得转售。

          生物信息学

          蛋白别名: mutant myeloid differentiation primary response 88; myeloid differentiation primary response 88; myeloid differentiation primary response gene (88); myeloid differentiation primary response gene 88; Myeloid differentiation primary response protein MyD88; myleoid differentiation primary response protein; TLR adaptor MYD88; unnamed protein product

          查看更多 收起

          基因别名: IMD68; MYD88; MYD88D; WM1

          查看更多 收起

          UniProt ID: (Human) Q99836, (Rat) Q6Y1S1, (Mouse) P22366

          查看更多 收起

          Entrez Gene ID: (Human) 4615, (Rat) 301059, (Mouse) 17874

          查看更多 收起

          功能
          receptor binding Toll binding death receptor binding cytokine receptor binding interleukin-1 receptor binding protein binding Toll-like receptor binding signaling adaptor activity identical protein binding binding, bridging TIR domain binding ATP-dependent histone chaperone activity scaffold/adaptor protein
          参与通路
          response to molecule of fungal origin leukocyte activation involved in inflammatory response neutrophil activation involved in immune response immune system process MyD88-dependent toll-like receptor signaling pathway chromatin organization chromatin remodeling phagocytosis apoptotic process inflammatory response signal transduction cell surface receptor signaling pathway JNK cascade Toll signaling pathway response to virus induced systemic resistance gene expression regulation of gene expression positive regulation of gene expression microglia differentiation response to amine immunoglobulin mediated immune response cytokine-mediated signaling pathway neurogenesis lipopolysaccharide-mediated signaling pathway positive regulation of type I interferon production response to peptidoglycan response to lipopolysaccharide regulation of interleukin-6 production regulation of tumor necrosis factor production positive regulation of chemokine production positive regulation of interleukin-1 beta production positive regulation of interleukin-17 production positive regulation of interleukin-23 production positive regulation of interleukin-6 production positive regulation of interleukin-8 production positive regulation of tumor necrosis factor production toll-like receptor 4 signaling pathway regulation of toll-like receptor 4 signaling pathway toll-like receptor 5 signaling pathway toll-like receptor 8 signaling pathway NIK/NF-kappaB signaling toll-like receptor TLR6:TLR2 signaling pathway interleukin-33-mediated signaling pathway regulation of cell proliferation defense response to bacterium defense response to protozoan positive regulation of I-kappaB kinase/NF-kappaB signaling response to amino acid skin development innate immune response response to ethanol positive regulation of transcription from RNA polymerase II promoter positive regulation of JNK cascade positive regulation of smooth muscle cell proliferation positive regulation of lymphocyte proliferation regulation of inflammatory response defense response to Gram-positive bacterium positive regulation of NF-kappaB transcription factor activity defense response to virus type I interferon signaling pathway positive regulation of macrophage cytokine production interleukin-1-mediated signaling pathway response to interleukin-1 3'-UTR-mediated mRNA stabilization neutrophil mediated killing of bacterium cellular response to lipopolysaccharide cellular response to mechanical stimulus establishment of endothelial intestinal barrier cellular response to oxidised low-density lipoprotein particle stimulus positive regulation of cytokine production involved in inflammatory response positive regulation of NLRP3 inflammasome complex assembly regulation of neutrophil migration regulation of chemokine (C-X-C motif) ligand 1 production regulation of chemokine (C-X-C motif) ligand 2 production negative regulation of growth of symbiont in host positive regulation of chemokine biosynthetic process type I interferon biosynthetic process immune response transmembrane receptor protein serine/threonine kinase signaling pathway
          It has to be done as per old AB suggested Products section.

          Disclaimer

          Close

          Clicking the images or links will redirect you to a website hosted by BenchSci that provides third-party scientific content. Neither the content nor the BenchSci technology and processes for selection have been evaluated by us; we are providing them as-is and without warranty of any kind, including for use or application of the Thermo Fisher Scientific products presented.

          guarantee_icon

          性能保障

          只要您发现Invitrogen抗体在实验中的表现与网站或说明书的所述内容不符,您即可享受免费退换货服务。*

          了解更多
          help_icon

          随时为您服务

          获取常见问题的专家解答,或者直接联系我们的技术专家,咨询应用、设备、常规产品使用问题。

          联系技术支持
          订购 Plus Icon Minus Icon
          • 订单状态查询
          • 订单支持
          • 货号直购
          • 现货供应中心
          • 电子采购
          支持 Plus Icon Minus Icon
          • 帮助&支持
          • 联系我们 - 400 820 8982
          • 技术支持中心
          • 查找文件&证书
          • 报告网站问题
          资源 Plus Icon Minus Icon
          • 学习中心
          • 促销
          • 活动&研讨会
          • 社交媒体
          关于赛默飞 Plus Icon Minus Icon
          • 关于我们
          • 招聘 招聘
          • 投资者关系 投资者关系
          • 新闻 新闻
          • 社会责任 社会责任
          • 商标
          • 政策和通知
          品牌 Plus Icon Minus Icon
          • Thermo Scientific
          • Applied Biosystems
          • Invitrogen
          • Gibco
          • Ion Torrent
          • Unity Lab Services
          • Patheon
          • PPD
          • 服务条款
          • 隐私政策
          • 定价和运输保险政策
          © 2006-2026 Thermo Fisher Scientific Inc. All rights reserved. All trademarks are the property of Thermo Fisher Scientific and its subsidiaries unless otherwise specified.
          China flag icon
          China
          本网站销售的所有产品均不得用于人类或动物之临床诊断或治疗,仅可用于工业或者科研等非医疗目的。
             电子营业执照 | 经营证照公示 | ICP备案号:沪ICP备11003924号 | 沪公网安备 31011502006935号

          Your items have has been added!


          Host server : magellan-search-green-6479c7f679-l2s7p:80/100.66.76.236:80.
          git-commit: b70c0dceb888abc3b0dcebb5bc3a5b8753e7e816
          git-url: https://github.com/thermofisher/magellan-search
          git-branch: release/2.50.0-Offline