Hamburger Menu Button
Thermo Fisher Scientific Logo
登录
没有账号?建立账号 注册
  • 产品
    • 抗体
    • 引物合成
    • GeneArt Gene Synthesis Instant Designer
    • TaqMan Assay and Array Search
    • PCR 设备和耗材
    • 色谱柱和纯化柱
    • 实验室离心机
    • 分子生物学试剂和试剂盒
    • 实验室塑料耗材及用品
    • 查看所有产品分类
  • 应用和技术
    • 色谱
    • 细胞转染和培养
    • 实时荧光定量PCR
    • 质谱
    • 实验室塑料耗材及用品
    • 电子显微镜
    • 蛋白质生物学
    • PCR
    • RNAi
    • 环境
    • 查看所有应用和技术
  • 服务
    • 定制服务
    • 企业级实验室信息化服务
    • 企业服务
    • 金融&租赁服务
    • 仪器服务
    • OEM和商业供应
    • 培训服务
    • 360° CDMO 和 CRO 服务
    • CDMO 服务
    • 临床试验 CRO 服务
    • 查看所有帮助和支持
  • 帮助和支持
    • 学习中心
    • 联系我们
    • 更改国家或地区
    • 查看所有帮助和支持
  • 热门产品
    • TaqMan Real-Time PCR Assays
      TaqMan 实时荧光定量 PCR 试剂盒
    • Antibodies
      抗体
    • Oligos, Primers & Probes
      寡核苷酸、引物、探针
    • GeneArt Gene Synthesis
      GeneArt 基因合成
    • Cell Culture Plastics
      细胞培养耗材
  • 联系我们
  • 货号直购
  • 订单查询
  • 查找文件&证书
Thermo Fisher Scientific Logo

Search

搜索全部或下列指定分类
Search button
          • 联系我们
          • 货号直购
          • 登录
            登录
            没有账号?建立账号 注册
            • 我的账号
            • 订单
            • 账单及发票查询
            • 定制产品及项目

          Disclaimer

          Clicking the images or links will redirect you to a website hosted by BenchSci that provides third-party scientific content. Neither the content nor the BenchSci technology and processes for selection have been evaluated by us; we are providing them as-is and without warranty of any kind, including for use or application of the Thermo Fisher Scientific products presented.

          • Primary Antibodies ›
          • Myosin 4 Antibodies

          Invitrogen

          Myosin 4 Monoclonal Antibody (MF20), Alexa Fluor™ 488, eBioscience™

          高级验证
          15个已发表图片
          32 篇参考文献
          查看其他9个Myosin 4抗体

          {{$productOrderCtrl.translations['antibody.pdp.commerceCard.promotion.promotions']}}

          {{$productOrderCtrl.translations['antibody.pdp.commerceCard.promotion.viewpromo']}}

          {{$productOrderCtrl.translations['antibody.pdp.commerceCard.promotion.promocode']}}: {{promo.promoCode}} {{promo.promoTitle}} {{promo.promoDescription}}. {{$productOrderCtrl.translations['antibody.pdp.commerceCard.promotion.learnmore']}}

          说明书
          证书
          实验方案
          问题与答案
          技术支持
          说明书
          证书
          实验方案
          问题与答案
          技术支持
          说明书
          证书
          实验方案
          问题与答案
          技术支持

          Cite Myosin 4 Monoclonal Antibody (MF20), Alexa Fluor™ 488, eBioscience™

          • 抗体检测数据 (3)
          • 已发表图片 (15)
          • 高级验证 (2)
          Myosin 4 Antibody in Western Blot (WB)
          Group 53 Created with Sketch.
          Myosin 4 Antibody in Western Blot (WB)
          Group 53 Created with Sketch.

          图: 1 / 20

          {{ $ctrl.currentElement.advancedVerification.fullName }}
          {{ $ctrl.currentElement.advancedVerification.text }}

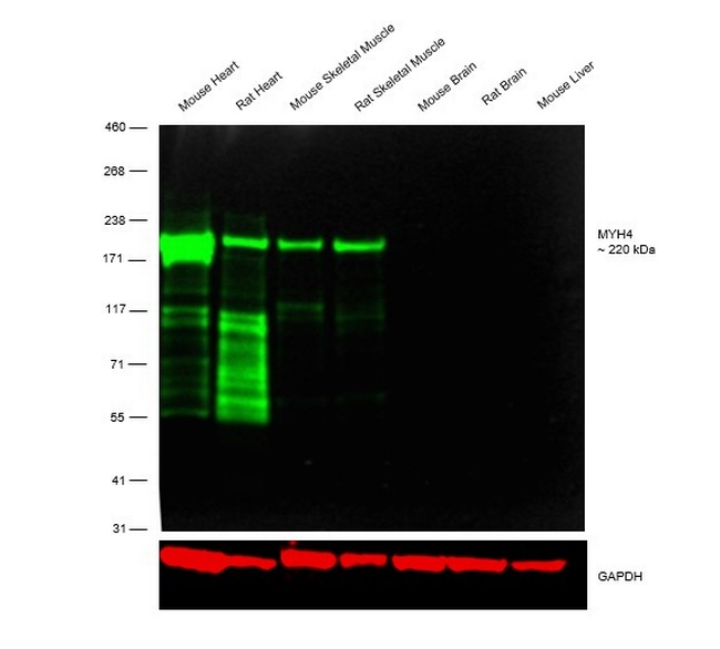
          Myosin 4 Antibody (53-6503-82) in WB

          Antibody specificity was demonstrated by detection of differential basal expression of the target across tissue models owing to their inherent genetic constitution. Relative expression of MYH4 was observed in Mouse Heart, Rat Heart, Mouse Skeletal Muscle, Rat Skeletal Muscle when compared to Mouse Brain, Rat Brain and Mouse Liver which do not express MYH4 using Myosin 4 Monoclonal Antibody (MF20), Alexa Fluor 488, eBioscience™ (Product # 53-6503-82) in Western Blot. {{ $ctrl.currentElement.advancedVerification.fullName }} 验证信息 View more
          已发表图片由___提供 benchsci-logo
          PMID: {{$ctrl.currentElement.benchSciPubmedId}}
          查看产品

          {{$ctrl.videoDesc}}

          {{$ctrl.videoLongDesc}}

          Myosin 4 Antibody in Immunocytochemistry (ICC/IF)
          Myosin 4 Antibody in Immunocytochemistry (ICC/IF)
          Myosin 4 Antibody in Western Blot (WB)
          Myosin 4 Antibody in Immunocytochemistry (ICC/IF)
          Myosin 4 Antibody in Western Blot, Immunocytochemistry (WB, ICC/IF)
          Myosin 4 Antibody in Immunocytochemistry (ICC/IF)
          Myosin 4 Antibody in Immunocytochemistry (ICC/IF)
          Myosin 4 Antibody in Immunocytochemistry (ICC/IF)
          Myosin 4 Antibody in Immunocytochemistry (ICC/IF)
          Myosin 4 Antibody in Immunocytochemistry (ICC/IF)
          Myosin 4 Antibody in Immunocytochemistry (ICC/IF)
          Myosin 4 Antibody in Immunohistochemistry (IHC)
          Myosin 4 Antibody in Western Blot (WB)
          Myosin 4 Antibody in Western Blot (WB)
          Myosin 4 Antibody in Western Blot (WB)
          Myosin 4 Antibody in Western Blot (WB)
          Myosin 4 Antibody in Western Blot (WB)
          Myosin 4 Antibody in Flow Cytometry (Flow)
          Myosin 4 Antibody
          Myosin 4 Antibody

          产品信息

          53-6503-82

          应用
          建议稀释比
          已发表文章

          免疫印迹 (WB)

          1:1,000
          查看5篇已发表文章 5篇已发表文章

          免疫组化 (IHC)

          -
          查看6篇已发表文章 6篇已发表文章

          免疫组化(石蜡) (IHC (P))

          -
          查看1篇已发表文章 1篇已发表文章

          免疫组化(冰冻) (IHC (F))

          Assay-Dependent
          查看1篇已发表文章 1篇已发表文章

          免疫细胞化学 (ICC/IF)

          1:100
          查看16篇已发表文章 16篇已发表文章

          流式细胞分析 (Flow)

          -
          查看2篇已发表文章 2篇已发表文章

          亲和纯化 (AP)

          -
          查看1篇已发表文章 1篇已发表文章
          产品规格

          种属反应

          Bovine, Dog, Chicken, Chimpanzee, Cat, Guinea pig, Human, Mouse, Non-human primate, Rabbit, Rat

          已发表种属

          C. elegans, Human, Mouse

          宿主/亚型

          Mouse / IgG2b, kappa

          推荐的同型对照

          Mouse IgG2b kappa Isotype Control (eBMG2b), Alexa Fluor™ 488, eBioscience™

          分类

          Monoclonal

          类型

          Antibody

          克隆号

          MF20

          偶联物

          Alexa Fluor™ 488 Alexa Fluor™ 488 Alexa Fluor™ 488
          • Unconjugated
          • eFluor 660
          • Request custom conjugation

          激发/发射光谱

          499/520 nm 查看光谱 spectra

          形式

          Liquid

          浓度

          0.5 mg/mL

          纯化类型

          Affinity chromatography

          保存液

          PBS, pH 7.2

          内含物

          0.09% sodium azide

          保存条件

          4°C, store in dark, DO NOT FREEZE!

          运输条件

          Ambient (domestic); Wet ice (international)

          RRID

          AB_10671272

          产品详细信息

          Description: This MF20 monoclonal antibody recognizes the heavy chain of myosin II, specificially the light meromyosin portion, in cardiac and skeletal muscle of vertebrates. Myosin II is composed of two heavy chains and four light chains. The 220-kDa myosin heavy chain exists as four different isoforms due to alternative splicing. Myosins interact with actin and hydrolyze ATP to function in muscle contraction, cytokinesis, and phagocytosis.

          The MF20 has been shown to react to myosin from a variety of mammalian, avian and amphibian species, including rat, mouse, human, chicken, zebrafish, and dog.

          Applications Reported: This MF20 antibody has been reported for use in immunohistochemical staining, immunocytochemistry, and immunohistochemical staining of frozen tissue sections.

          Applications Tested: This MF20 antibody has been tested by immunocytochemistry on fixed and permeabilized C2C12 cells that were differentiated for 2 days in low serum medium prior to staining. Staining can be performed using less than or equal to 5 µg/mL. It is recommended that the antibody be carefully titrated for optimal performance in the assay of interest.

          Excitation: 488 nm; Emission: 519 nm; Laser: Blue Laser.

          Filtration: 0.2 µm post-manufacturing filtered.

          靶标信息

          Target protein includes a fast myosin isoform expressed in skeletal muscle and has function involved in Muscle contraction.

          仅用于科研。不用于诊断过程。未经明确授权不得转售。

          生物信息学

          蛋白别名: 2B myosin heavy chain; fast myosin heavy chain 2B; myh4; MyHC IIb isoform; MyHC-2b; MyHC-IIb; Myosin heavy chain 2b; myosin heavy chain 2X; Myosin heavy chain 4; Myosin heavy chain IIb; myosin heavy chain type IIb; Myosin heavy chain, skeletal muscle; Myosin heavy chain, skeletal muscle, fetal; Myosin heavy chain, skeletal muscle, juvenile; myosin, heavy chain 4, skeletal muscle; myosin, heavy polypeptide 4, skeletal muscle; Myosin-4; unnamed protein product

          查看更多 收起

          基因别名: AI506973; MHC; MHC2B; Minimsc; Minmus; MM; MYH-2B; MYH1; MYH2B; MYH4; MyHC-2B; MyHC-IIb; Myhsf

          查看更多 收起

          UniProt ID: (Human) Q9Y623, (Dog) Q076A5, (Rabbit) Q28641, (Mouse) Q5SX39, (Rat) Q29RW1

          查看更多 收起

          Entrez Gene ID: (Human) 4622, (Bovine) 408020, (Dog) 479502, (Rabbit) 100009548, (Rabbit) 100125991, (Guinea pig) 100726456, (Mouse) 17884, (Rat) 360543

          查看更多 收起

          功能
          microfilament motor activity double-stranded RNA binding actin binding calmodulin binding ATP binding ATPase activity motor activity actin filament binding nucleotide binding molecular_function
          参与通路
          muscle contraction response to activity actin filament-based movement muscle filament sliding ATP metabolic process metabolic process response to gravity response to muscle activity response to muscle stretch muscle structure development
          It has to be done as per old AB suggested Products section.
          guarantee_icon

          性能保障

          只要您发现Invitrogen抗体在实验中的表现与网站或说明书的所述内容不符,您即可享受免费退换货服务。*

          了解更多
          help_icon

          随时为您服务

          获取常见问题的专家解答,或者直接联系我们的技术专家,咨询应用、设备、常规产品使用问题。

          联系技术支持
          订购 Plus Icon Minus Icon
          • 订单状态查询
          • 订单支持
          • 货号直购
          • 现货供应中心
          • 电子采购
          支持 Plus Icon Minus Icon
          • 帮助&支持
          • 联系我们 - 400 820 8982
          • 技术支持中心
          • 查找文件&证书
          • 报告网站问题
          资源 Plus Icon Minus Icon
          • 学习中心
          • 促销
          • 活动&研讨会
          • 社交媒体
          关于赛默飞 Plus Icon Minus Icon
          • 关于我们
          • 招聘 招聘
          • 投资者关系 投资者关系
          • 新闻 新闻
          • 社会责任 社会责任
          • 商标
          • 政策和通知
          品牌 Plus Icon Minus Icon
          • Thermo Scientific
          • Applied Biosystems
          • Invitrogen
          • Gibco
          • Ion Torrent
          • Patheon
          • PPD
          • 服务条款
          • 隐私政策
          • 定价和运输保险政策
          © 2006-2026 Thermo Fisher Scientific Inc. All rights reserved. All trademarks are the property of Thermo Fisher Scientific and its subsidiaries unless otherwise specified.
          China flag icon
          China
          本网站销售的所有产品均不得用于人类或动物之临床诊断或治疗,仅可用于工业或者科研等非医疗目的。
             电子营业执照 | 经营证照公示 | ICP备案号:沪ICP备11003924号 | 沪公网安备 31011502006935号

          Your items have has been added!


          Host server : magellan-search-blue-55ff9ddd88-8bm5m:80/100.66.79.83:80.
          git-commit: d366ff9721d93504b2ac26a183b2b3e3d0e7d9ec
          git-url: https://github.com/thermofisher/magellan-search
          git-branch: release/2.42.0-2026.01.03-1.0