Hamburger Menu Button
Thermo Fisher Scientific Logo
登录
没有账号?建立账号 注册
  • 产品
    • 抗体
    • 引物合成
    • GeneArt Gene Synthesis Instant Designer
    • TaqMan Assay and Array Search
    • PCR 设备和耗材
    • 色谱柱和纯化柱
    • 实验室离心机
    • 分子生物学试剂和试剂盒
    • 实验室塑料耗材及用品
    • 查看所有产品分类
  • 应用和技术
    • 色谱
    • 细胞转染和培养
    • 实时荧光定量PCR
    • 质谱
    • 实验室塑料耗材及用品
    • 电子显微镜
    • 蛋白质生物学
    • PCR
    • RNAi
    • 环境
    • 查看所有应用和技术
  • 服务
    • 定制服务
    • 企业级实验室信息化服务
    • 金融&租赁服务
    • 仪器服务
    • OEM和商业供应
    • 培训服务
    • 360° CDMO 和 CRO 服务
    • CDMO 服务
    • 临床试验 CRO 服务
    • Unity Lab Services
    • 查看所有帮助和支持
  • 帮助和支持
    • 学习中心
    • 联系我们
    • 更改国家或地区
    • 查看所有帮助和支持
  • 热门产品
    • TaqMan Real-Time PCR Assays
      TaqMan 实时荧光定量 PCR 试剂盒
    • Antibodies
      抗体
    • Oligos, Primers & Probes
      寡核苷酸、引物、探针
    • GeneArt Gene Synthesis
      GeneArt 基因合成
    • Cell Culture Plastics
      细胞培养耗材
  • Who We Serve
    • 抗体治疗解决方案
    • 细胞与基因治疗解决方案
    • 学术科研
    • 工业与应用
  • 联系我们
  • 货号直购
  • 订单查询
  • 查找文件&证书
Thermo Fisher Scientific Logo

Search

搜索全部或下列指定分类
Search button
          • 联系我们
          • 货号直购
          • 登录
            登录
            没有账号?建立账号 注册
            • 我的账号
            • 订单
            • 会员中心
            • 账单及发票查询
            • 定制产品及项目
          • Primary Antibodies ›
          • N-cadherin Antibodies

          Invitrogen

          N-cadherin Polyclonal Antibody

          高级验证
          3个已发表图片
          3 篇参考文献
          查看其他93个N-cadherin抗体

          {{$productOrderCtrl.translations['antibody.pdp.commerceCard.promotion.promotions']}}

          {{$productOrderCtrl.translations['antibody.pdp.commerceCard.promotion.viewpromo']}}

          {{$productOrderCtrl.translations['antibody.pdp.commerceCard.promotion.promocode']}}: {{promo.promoCode}} {{promo.promoTitle}} {{promo.promoDescription}}. {{$productOrderCtrl.translations['antibody.pdp.commerceCard.promotion.learnmore']}}

          说明书
          证书
          实验方案
          问题与答案
          技术支持
          说明书
          证书
          实验方案
          问题与答案
          技术支持
          说明书
          证书
          实验方案
          问题与答案
          技术支持

          Cite N-cadherin Polyclonal Antibody

          Additional Information:
          {{banner.description}}
          {{$ctrl.isSkuNotesCollapsed ? 'View more' : 'View less'}}
          • 抗体检测数据 (2)
          • 已发表图片 (3)
          • 高级验证 (1)
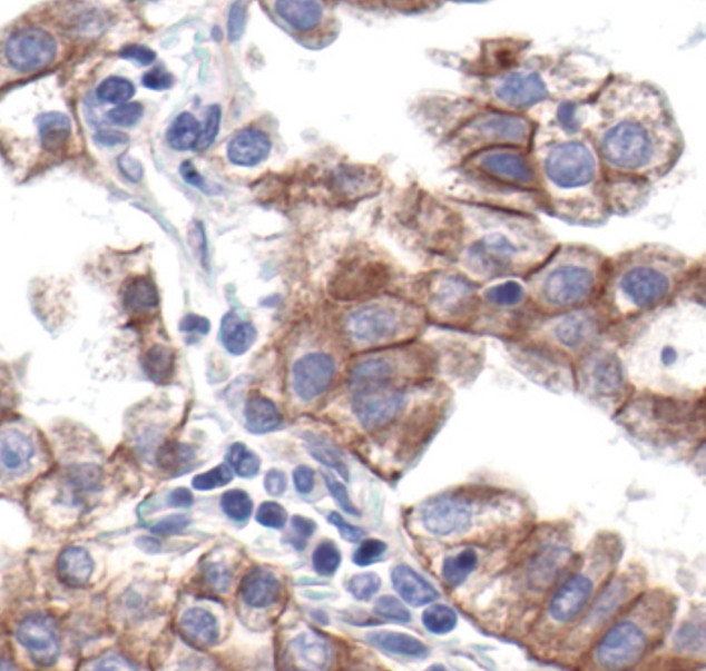
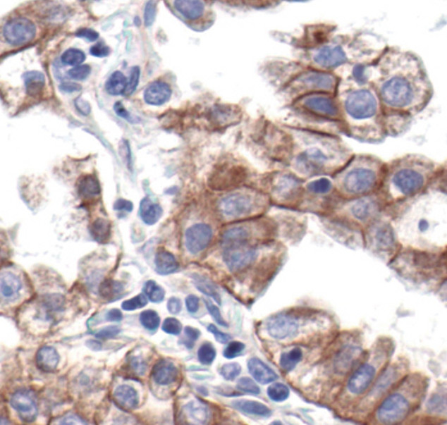
          N-cadherin Antibody in Immunohistochemistry (Paraffin) (IHC (P))
          Group 53 Created with Sketch.
          N-cadherin Antibody in Immunohistochemistry (Paraffin) (IHC (P))
          Group 53 Created with Sketch.

          图: 1 / 6

          {{ $ctrl.currentElement.advancedVerification.fullName }}
          {{ $ctrl.currentElement.advancedVerification.text }}

          N-cadherin Antibody (PA5-17526) in IHC (P)

          Immunohistochemical analysis of Pan-Cadherin in paraffin-embedded human bronchioalveolar cell carcinoma using a Pan-Cadherin polyclonal antibody (Product # PA5-17526) showing membrane localization. {{ $ctrl.currentElement.advancedVerification.fullName }} 验证信息 View more
          已发表图片由___提供 benchsci-logo
          PMID: {{$ctrl.currentElement.benchSciPubmedId}}
          查看产品

          {{$ctrl.videoDesc}}

          {{$ctrl.videoLongDesc}}

          N-cadherin Antibody in Immunohistochemistry (Paraffin) (IHC (P))
          N-cadherin Antibody in Western Blot (WB)
          N-cadherin Antibody in Immunohistochemistry (IHC)
          N-cadherin Antibody in Western Blot (WB)
          N-cadherin Antibody in Western Blot (WB)
          N-cadherin Antibody

          产品信息

          PA5-17526

          应用
          建议稀释比
          已发表文章

          免疫印迹 (WB)

          1:1,000
          查看2篇已发表文章 2篇已发表文章

          免疫组化 (IHC)

          -
          查看1篇已发表文章 1篇已发表文章

          免疫组化(石蜡) (IHC (P))

          1:100
          -

          免疫沉淀 (IP)

          1:25
          -
          产品规格

          种属反应

          Bovine, Fruit fly, Human, Mouse, Non-human primate, Rat, Zebrafish

          已发表种属

          Human, Mouse

          宿主/亚型

          Rabbit / IgG

          分类

          Polyclonal

          类型

          Antibody

          抗原

          Two synthetic peptides corresponding to two conserved regions of human N-Cadherin

          偶联物

          Unconjugated Unconjugated Unconjugated

          形式

          Liquid

          浓度

          9 µg/mL

          规格

          0.9 µg

          纯化类型

          Antigen affinity chromatography

          保存液

          0.01M HEPES, pH 7.5, with 0.15M NaCl, 100µg/mL BSA, 50% glycerol

          内含物

          no preservative

          保存条件

          -20°C

          运输条件

          Ambient (domestic); Wet ice (international)

          RRID

          AB_10985390

          产品详细信息

          It is not recommended to aliquot this antibody.

          靶标信息

          N-cadherin is a 140 kDa protein belonging to a family of transmembrane molecules that mediate calcium-dependent intercellular adhesion. Cadherins are involved in controlling morphogenetic movements during development and regulate cell surface adhesion through homotypic adhesion with the same cadherin species. N-cadherin's function is dependent on its association with the actin-cytoskeleton and is mediated through interactions between the C-terminal region of N-cadherin and the cytoplasmic catenin proteins. The stability of this association is regulated by phosphorylation and dephosphorylation of beta-catenin. Further, N-cadherin is a calcium dependent cell-cell adhesion glycoprotein comprised of five extracellular cadherin repeats, a transmembrane region and a highly conserved cytoplasmic tail. The protein functions during gastrulation and is required for establishment of left-right asymmetry.

          仅用于科研。不用于诊断过程。未经明确授权不得转售。

          生物信息学

          蛋白别名: cadherin 2 type 1 N-cadherin (neuronal); cadherin 2, neuronal; cadherin 2, type 1, N-cadherin (neuronal); Cadherin-2; Cadherin-N; Cadherin2; calcium-dependent adhesion protein, neuronal; CD325; CDw325; CDw325 antigen; cell adhesion molecule; glass onion; labyrinth; N-cadherin; N-cadherin 1; Neural cadherin; Parachute; unnamed protein product; ZNCAD

          查看更多 收起

          基因别名: ACOGS; ADHD8; ARVD14; bib; CD325; CDH2; CDHN; CDw325; glo; lyr; N-cadherin; NCAD; pac; wu:fb47h04

          查看更多 收起

          UniProt ID: (Human) P19022, (Mouse) P15116, (Rat) Q9Z1Y3, (Zebrafish) Q90275

          查看更多 收起

          Entrez Gene ID: (Human) 1000, (Bovine) 281062, (Mouse) 12558, (Rat) 83501, (Zebrafish) 30291

          查看更多 收起

          功能
          RNA binding calcium ion binding protein binding beta-catenin binding enzyme binding protein kinase binding protein phosphatase binding identical protein binding alpha-catenin binding gamma-catenin binding cadherin binding metal ion binding protein complex binding nitric-oxide synthase binding cadherin
          参与通路
          cell morphogenesis type B pancreatic cell development cell-cell junction assembly cell adhesion homophilic cell adhesion via plasma membrane adhesion molecules heterophilic cell-cell adhesion via plasma membrane cell adhesion molecules synapse assembly glial cell differentiation neural crest cell development calcium-dependent cell-cell adhesion via plasma membrane cell adhesion molecules cell migration telencephalon development cerebral cortex development adherens junction organization detection of muscle stretch positive regulation of MAPK cascade cell-cell adhesion mediated by cadherin blood vessel morphogenesis brain morphogenesis homeostasis of number of cells striated muscle cell differentiation radial glial cell differentiation neuroepithelial cell differentiation regulation of oligodendrocyte progenitor proliferation protein localization to plasma membrane negative regulation of canonical Wnt signaling pathway mesenchymal cell migration synaptic vesicle clustering neuroligin clustering involved in postsynaptic membrane assembly neuronal stem cell population maintenance cell-cell adhesion regulation of postsynaptic density protein 95 clustering positive regulation of synaptic vesicle clustering regulation of signal transduction single organismal cell-cell adhesion regulation of myelination regulation of protein localization regulation of Rho protein signal transduction regulation of axonogenesis protein heterooligomerization cartilage condensation neural crest cell migration somitogenesis neuron migration neuron cell-cell adhesion multicellular organism development ectoderm development nervous system development axon guidance axonal fasciculation brain development peripheral nervous system development motor neuron axon guidance cardioblast differentiation spinal cord patterning cell migration in hindbrain hindbrain structural organization ventricular system development neural tube development cell differentiation midbrain development hindbrain development embryonic pectoral fin morphogenesis dorsal fin morphogenesis post-anal tail morphogenesis tissue regeneration odontogenesis regulation of eye photoreceptor cell development establishment of epithelial cell apical/basal polarity embryonic eye morphogenesis axial mesoderm structural organization mesoderm morphogenesis generation of neurons semicircular canal morphogenesis regulation of synaptic transmission, glutamatergic dorsal convergence retina development in camera-type eye embryonic retina morphogenesis in camera-type eye auditory receptor cell stereocilium organization cilium morphogenesis pigment cell development sensory epithelium regeneration commissural neuron axon guidance cell migration involved in somitogenic axis elongation motor neuron migration cell-cell adhesion via plasma-membrane adhesion molecules negative regulation of neural precursor cell proliferation
          It has to be done as per old AB suggested Products section.

          Disclaimer

          Close

          Clicking the images or links will redirect you to a website hosted by BenchSci that provides third-party scientific content. Neither the content nor the BenchSci technology and processes for selection have been evaluated by us; we are providing them as-is and without warranty of any kind, including for use or application of the Thermo Fisher Scientific products presented.

          guarantee_icon

          性能保障

          只要您发现Invitrogen抗体在实验中的表现与网站或说明书的所述内容不符,您即可享受免费退换货服务。*

          了解更多
          help_icon

          随时为您服务

          获取常见问题的专家解答,或者直接联系我们的技术专家,咨询应用、设备、常规产品使用问题。

          联系技术支持
          订购 Plus Icon Minus Icon
          • 订单状态查询
          • 订单支持
          • 货号直购
          • 现货供应中心
          • 电子采购
          支持 Plus Icon Minus Icon
          • 帮助&支持
          • 联系我们 - 400 820 8982
          • 技术支持中心
          • 查找文件&证书
          • 报告网站问题
          资源 Plus Icon Minus Icon
          • 学习中心
          • 促销
          • 活动&研讨会
          • 社交媒体
          关于赛默飞 Plus Icon Minus Icon
          • 关于我们
          • 招聘 招聘
          • 投资者关系 投资者关系
          • 新闻 新闻
          • 社会责任 社会责任
          • 商标
          • 政策和通知
          品牌 Plus Icon Minus Icon
          • Thermo Scientific
          • Applied Biosystems
          • Invitrogen
          • Gibco
          • Ion Torrent
          • Unity Lab Services
          • Patheon
          • PPD
          • 服务条款
          • 隐私政策
          • 定价和运输保险政策
          © 2006-2026 Thermo Fisher Scientific Inc. All rights reserved. All trademarks are the property of Thermo Fisher Scientific and its subsidiaries unless otherwise specified.
          China flag icon
          China
          本网站销售的所有产品均不得用于人类或动物之临床诊断或治疗,仅可用于工业或者科研等非医疗目的。
             电子营业执照 | 经营证照公示 | ICP备案号:沪ICP备11003924号 | 沪公网安备 31011502006935号

          Your items have has been added!


          Host server : magellan-search-green-6479c7f679-zb4k5:80/100.66.74.142:80.
          git-commit: b70c0dceb888abc3b0dcebb5bc3a5b8753e7e816
          git-url: https://github.com/thermofisher/magellan-search
          git-branch: release/2.50.0-Offline