Hamburger Menu Button
Thermo Fisher Scientific Logo
登录
没有账号?建立账号 注册
  • 产品
    • 抗体
    • 引物合成
    • GeneArt Gene Synthesis Instant Designer
    • TaqMan Assay and Array Search
    • PCR 设备和耗材
    • 色谱柱和纯化柱
    • 实验室离心机
    • 分子生物学试剂和试剂盒
    • 实验室塑料耗材及用品
    • 查看所有产品分类
  • 应用和技术
    • 色谱
    • 细胞转染和培养
    • 实时荧光定量PCR
    • 质谱
    • 实验室塑料耗材及用品
    • 电子显微镜
    • 蛋白质生物学
    • PCR
    • RNAi
    • 环境
    • 查看所有应用和技术
  • 服务
    • 定制服务
    • 企业级实验室信息化服务
    • 金融&租赁服务
    • 仪器服务
    • OEM和商业供应
    • 培训服务
    • 360° CDMO 和 CRO 服务
    • CDMO 服务
    • 临床试验 CRO 服务
    • Unity Lab Services
    • 查看所有帮助和支持
  • 帮助和支持
    • 学习中心
    • 联系我们
    • 更改国家或地区
    • 查看所有帮助和支持
  • 热门产品
    • TaqMan Real-Time PCR Assays
      TaqMan 实时荧光定量 PCR 试剂盒
    • Antibodies
      抗体
    • Oligos, Primers & Probes
      寡核苷酸、引物、探针
    • GeneArt Gene Synthesis
      GeneArt 基因合成
    • Cell Culture Plastics
      细胞培养耗材
  • Who We Serve
    • 抗体治疗解决方案
    • 细胞与基因治疗解决方案
    • 学术科研
    • 工业与应用
  • 联系我们
  • 货号直购
  • 订单查询
  • 查找文件&证书
Thermo Fisher Scientific Logo

Search

搜索全部或下列指定分类
Search button
          • 联系我们
          • 货号直购
          • 登录
            登录
            没有账号?建立账号 注册
            • 我的账号
            • 订单
            • 会员中心
            • 账单及发票查询
            • 定制产品及项目
          • Primary Antibodies ›
          • NF1 Antibodies

          Invitrogen

          NF1 Polyclonal Antibody

          查看其他13个NF1抗体

          {{$productOrderCtrl.translations['antibody.pdp.commerceCard.promotion.promotions']}}

          {{$productOrderCtrl.translations['antibody.pdp.commerceCard.promotion.viewpromo']}}

          {{$productOrderCtrl.translations['antibody.pdp.commerceCard.promotion.promocode']}}: {{promo.promoCode}} {{promo.promoTitle}} {{promo.promoDescription}}. {{$productOrderCtrl.translations['antibody.pdp.commerceCard.promotion.learnmore']}}

          说明书
          证书
          实验方案
          问题与答案
          技术支持
          说明书
          证书
          实验方案
          问题与答案
          技术支持
          说明书
          证书
          实验方案
          问题与答案
          技术支持

          Cite NF1 Polyclonal Antibody

          Additional Information:
          {{banner.description}}
          {{$ctrl.isSkuNotesCollapsed ? 'View more' : 'View less'}}
          • 抗体检测数据 (4)
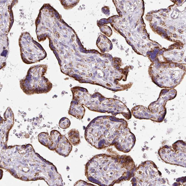
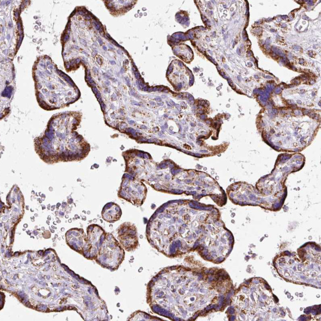
          NF1 Antibody in Immunohistochemistry (Paraffin) (IHC (P))
          Group 53 Created with Sketch.
          NF1 Antibody in Immunohistochemistry (Paraffin) (IHC (P))
          Group 53 Created with Sketch.

          图: 1 / 4

          {{ $ctrl.currentElement.advancedVerification.fullName }}
          {{ $ctrl.currentElement.advancedVerification.text }}

          NF1 Antibody (PA5-83777) in IHC (P)

          Immunohistochemical analysis of NF1 in human placenta using NF1 Polyclonal Antibody (Product # PA5-83777) shows moderate to strong granular cytoplasmic positivity in trophoblastic cells. {{ $ctrl.currentElement.advancedVerification.fullName }} 验证信息 View more
          已发表图片由___提供 benchsci-logo
          PMID: {{$ctrl.currentElement.benchSciPubmedId}}
          查看产品

          {{$ctrl.videoDesc}}

          {{$ctrl.videoLongDesc}}

          NF1 Antibody in Immunohistochemistry (Paraffin) (IHC (P))
          NF1 Antibody in Immunohistochemistry (Paraffin) (IHC (P))
          NF1 Antibody in Immunohistochemistry (Paraffin) (IHC (P))
          NF1 Antibody in Immunohistochemistry (Paraffin) (IHC (P))
          NF1 Polyclonal Antibody

          产品信息

          PA5-83777

          应用
          建议稀释比
          已发表文章

          免疫组化(石蜡) (IHC (P))

          1:200-1:500
          -
          产品规格

          种属反应

          Human

          宿主/亚型

          Rabbit / IgG

          分类

          Polyclonal

          类型

          Antibody

          抗原

          Recombinant protein corresponding to Human NF1. Recombinant protein control fragment (Product #RP-102980).
          3D表位/免疫原

          偶联物

          Unconjugated Unconjugated Unconjugated

          形式

          Liquid

          浓度

          0.1 mg/mL

          规格

          10 µg

          纯化类型

          Antigen affinity chromatography

          保存液

          PBS, pH 7.2, with 40% glycerol

          内含物

          0.02% sodium azide

          保存条件

          Store at 4°C short term. For long term storage, store at -20°C, avoiding freeze/thaw cycles.

          运输条件

          Ambient (domestic); Wet ice (international)

          RRID

          AB_2790929

          产品详细信息

          Immunogen sequence: ALLVLRQLDS IDLWNPDAPG ETF

          Highest antigen sequence indentity to the following orthologs: Rat - 91%, Mouse - 91%.

          靶标信息

          The protein encoded by this gene is a type I integral membrane protein localized in the intermediate region between the endoplasmic reticulum and the Golgi, presumably recycling between the two compartments. The protein is a mannose-specific lectin and is a member of a novel family of plant lectin homologs in the secretory pathway of animal cells. Mutations in the gene are associated with a coagulation defect. Using positional cloning, the gene was identified as the disease gene leading to combined factor V-factor VIII deficiency, a rare, autosomal recessive disorder in which both coagulation factors V and VIII are diminished.

          仅用于科研。不用于诊断过程。未经明确授权不得转售。

          篇参考文献 (0)

          您是否在文献中引用过该产品?请点击下方按钮邮件告知我们。
          引用该产品

          生物信息学

          蛋白别名: DKFZp686J1293; FLJ21220; neurofibromatosis 1; Neurofibromatosis-related protein NF-1; Neurofibromin; unnamed protein product

          查看更多 收起

          基因别名: NF1; NFNS; VRNF; WSS

          查看更多 收起

          UniProt ID: (Human) P21359

          查看更多 收起

          Entrez Gene ID: (Human) 4763

          查看更多 收起

          功能
          GTPase activator activity protein binding lipid binding phosphatidylethanolamine binding phosphatidylcholine binding
          参与通路
          MAPK cascade angiogenesis osteoblast differentiation metanephros development response to hypoxia liver development endothelial cell proliferation negative regulation of endothelial cell proliferation positive regulation of endothelial cell proliferation regulation of cell-matrix adhesion negative regulation of cell-matrix adhesion negative regulation of leukocyte migration protein import into nucleus apoptotic process cell communication Ras protein signal transduction neurotransmitter secretion neuroblast proliferation negative regulation of neuroblast proliferation brain development peripheral nervous system development heart development skeletal muscle tissue development cell proliferation negative regulation of cell proliferation visual learning extrinsic apoptotic signaling pathway via death domain receptors regulation of gene expression negative regulation of Schwann cell proliferation glial cell proliferation Schwann cell proliferation Schwann cell development cell migration negative regulation of angiogenesis Rac protein signal transduction spinal cord development amygdala development forebrain astrocyte development neural tube development cerebral cortex development myelination in peripheral nervous system actin cytoskeleton organization extracellular matrix organization collagen fibril organization osteoclast differentiation adrenal gland development negative regulation of cell migration regulation of synaptic transmission, GABAergic mast cell apoptotic process positive regulation of mast cell apoptotic process myeloid cell apoptotic process positive regulation of myeloid cell apoptotic process cellular response to heat negative regulation of Rac protein signal transduction Schwann cell migration wound healing regulation of cell proliferation negative regulation of protein import into nucleus positive regulation of apoptotic process regulation of MAPK cascade negative regulation of MAPK cascade pigmentation protein kinase B signaling positive regulation of neuron apoptotic process regulation of blood vessel endothelial cell migration positive regulation of GTPase activity regulation of bone resorption negative regulation of osteoclast differentiation regulation of glial cell differentiation regulation of angiogenesis negative regulation of Ras protein signal transduction negative regulation of neurotransmitter secretion fibroblast proliferation negative regulation of fibroblast proliferation regulation of long-term neuronal synaptic plasticity sympathetic nervous system development camera-type eye morphogenesis astrocyte differentiation oligodendrocyte differentiation negative regulation of astrocyte differentiation negative regulation of oligodendrocyte differentiation smooth muscle tissue development hair follicle maturation artery morphogenesis forebrain morphogenesis regulation of developmental process cognition neuron apoptotic process negative regulation of glial cell proliferation long-term synaptic potentiation gamma-aminobutyric acid secretion, neurotransmission glutamate secretion, neurotransmission regulation of ERK1 and ERK2 cascade mast cell proliferation negative regulation of mast cell proliferation leukocyte apoptotic process stem cell proliferation extrinsic apoptotic signaling pathway in absence of ligand myeloid leukocyte migration observational learning regulation of postsynapse organization negative regulation of Schwann cell migration regulation of long-term synaptic potentiation regulation of intracellular signal transduction positive regulation of vascular smooth muscle cell proliferation vascular associated smooth muscle cell migration negative regulation of vascular associated smooth muscle cell migration vascular associated smooth muscle cell proliferation positive regulation of leukocyte apoptotic process negative regulation of stem cell proliferation positive regulation of extrinsic apoptotic signaling pathway in absence of ligand
          It has to be done as per old AB suggested Products section.

          Disclaimer

          Close

          Clicking the images or links will redirect you to a website hosted by BenchSci that provides third-party scientific content. Neither the content nor the BenchSci technology and processes for selection have been evaluated by us; we are providing them as-is and without warranty of any kind, including for use or application of the Thermo Fisher Scientific products presented.

          guarantee_icon

          性能保障

          只要您发现Invitrogen抗体在实验中的表现与网站或说明书的所述内容不符,您即可享受免费退换货服务。*

          了解更多
          help_icon

          随时为您服务

          获取常见问题的专家解答,或者直接联系我们的技术专家,咨询应用、设备、常规产品使用问题。

          联系技术支持
          订购 Plus Icon Minus Icon
          • 订单状态查询
          • 订单支持
          • 货号直购
          • 现货供应中心
          • 电子采购
          支持 Plus Icon Minus Icon
          • 帮助&支持
          • 联系我们 - 400 820 8982
          • 技术支持中心
          • 查找文件&证书
          • 报告网站问题
          资源 Plus Icon Minus Icon
          • 学习中心
          • 促销
          • 活动&研讨会
          • 社交媒体
          关于赛默飞 Plus Icon Minus Icon
          • 关于我们
          • 招聘 招聘
          • 投资者关系 投资者关系
          • 新闻 新闻
          • 社会责任 社会责任
          • 商标
          • 政策和通知
          品牌 Plus Icon Minus Icon
          • Thermo Scientific
          • Applied Biosystems
          • Invitrogen
          • Gibco
          • Ion Torrent
          • Unity Lab Services
          • Patheon
          • PPD
          • 服务条款
          • 隐私政策
          • 定价和运输保险政策
          © 2006-2026 Thermo Fisher Scientific Inc. All rights reserved. All trademarks are the property of Thermo Fisher Scientific and its subsidiaries unless otherwise specified.
          China flag icon
          China
          本网站销售的所有产品均不得用于人类或动物之临床诊断或治疗,仅可用于工业或者科研等非医疗目的。
             电子营业执照 | 经营证照公示 | ICP备案号:沪ICP备11003924号 | 沪公网安备 31011502006935号

          Your items have has been added!


          Host server : magellan-search-green-6479c7f679-mppzp:80/100.66.76.236:80.
          git-commit: b70c0dceb888abc3b0dcebb5bc3a5b8753e7e816
          git-url: https://github.com/thermofisher/magellan-search
          git-branch: release/2.50.0-Offline