Hamburger Menu Button
Thermo Fisher Scientific Logo
登录
没有账号?建立账号 注册
  • 产品
    • 抗体
    • 引物合成
    • GeneArt Gene Synthesis Instant Designer
    • TaqMan Assay and Array Search
    • PCR 设备和耗材
    • 色谱柱和纯化柱
    • 实验室离心机
    • 分子生物学试剂和试剂盒
    • 实验室塑料耗材及用品
    • 查看所有产品分类
  • 应用和技术
    • 色谱
    • 细胞转染和培养
    • 实时荧光定量PCR
    • 质谱
    • 实验室塑料耗材及用品
    • 电子显微镜
    • 蛋白质生物学
    • PCR
    • RNAi
    • 环境
    • 查看所有应用和技术
  • 服务
    • 定制服务
    • 企业级实验室信息化服务
    • 企业服务
    • 金融&租赁服务
    • 仪器服务
    • OEM和商业供应
    • 培训服务
    • 360° CDMO 和 CRO 服务
    • CDMO 服务
    • 临床试验 CRO 服务
    • 查看所有帮助和支持
  • 帮助和支持
    • 学习中心
    • 联系我们
    • 更改国家或地区
    • 查看所有帮助和支持
  • 热门产品
    • TaqMan Real-Time PCR Assays
      TaqMan 实时荧光定量 PCR 试剂盒
    • Antibodies
      抗体
    • Oligos, Primers & Probes
      寡核苷酸、引物、探针
    • GeneArt Gene Synthesis
      GeneArt 基因合成
    • Cell Culture Plastics
      细胞培养耗材
  • 联系我们
  • 货号直购
  • 订单查询
  • 查找文件&证书
Thermo Fisher Scientific Logo

Search

搜索全部或下列指定分类
Search button
          • 联系我们
          • 货号直购
          • 登录
            登录
            没有账号?建立账号 注册
            • 我的账号
            • 订单
            • 账单及发票查询
            • 定制产品及项目

          Disclaimer

          Clicking the images or links will redirect you to a website hosted by BenchSci that provides third-party scientific content. Neither the content nor the BenchSci technology and processes for selection have been evaluated by us; we are providing them as-is and without warranty of any kind, including for use or application of the Thermo Fisher Scientific products presented.

          • Primary Antibodies ›
          • ILF3 Antibodies

          Bethyl Laboratories

          NF90/NF110 Polyclonal Antibody

          查看其他22个ILF3抗体

          {{$productOrderCtrl.translations['antibody.pdp.commerceCard.promotion.promotions']}}

          {{$productOrderCtrl.translations['antibody.pdp.commerceCard.promotion.viewpromo']}}

          {{$productOrderCtrl.translations['antibody.pdp.commerceCard.promotion.promocode']}}: {{promo.promoCode}} {{promo.promoTitle}} {{promo.promoDescription}}. {{$productOrderCtrl.translations['antibody.pdp.commerceCard.promotion.learnmore']}}

          说明书
          证书
          实验方案
          问题与答案
          技术支持
          说明书
          证书
          实验方案
          问题与答案
          技术支持
          说明书
          证书
          实验方案
          问题与答案
          技术支持

          Cite NF90/NF110 Polyclonal Antibody

          • 抗体检测数据 (3)
          NF90/NF110 Antibody in Immunohistochemistry (Paraffin) (IHC (P))
          Group 53 Created with Sketch.
          NF90/NF110 Antibody in Immunohistochemistry (Paraffin) (IHC (P))
          Group 53 Created with Sketch.

          图: 1 / 3

          {{ $ctrl.currentElement.advancedVerification.fullName }}
          {{ $ctrl.currentElement.advancedVerification.text }}

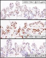
          NF90/NF110 Antibody (A303-119A) in IHC (P)

          Detection of human NF90 and NF110 by immunohistochemistry. Samples: FFPE serial sections of human ovarian carcinoma. Antibody: Affinity purified rabbit anti-NF90/NF110 (Product # A303-119A) (Lot 1, upper panel), (Product # A303-120A) (Lot 1, middle panel) and (Product # A303-121A) (Lot 1, lower panel) used at a dilution of 1:5,000 (0.2 µg/mL) or 1:1,000 (0.2 µg/mL). Detection: DAB. {{ $ctrl.currentElement.advancedVerification.fullName }} 验证信息 View more
          已发表图片由___提供 benchsci-logo
          PMID: {{$ctrl.currentElement.benchSciPubmedId}}
          查看产品

          {{$ctrl.videoDesc}}

          {{$ctrl.videoLongDesc}}

          NF90/NF110 Antibody in Immunohistochemistry (Paraffin) (IHC (P))
          NF90/NF110 Antibody in Immunohistochemistry (Paraffin) (IHC (P))
          NF90/NF110 Antibody in Western Blot (WB)
          NF90/NF110 Polyclonal Antibody

          产品信息

          A303-119A

          应用
          建议稀释比
          已发表文章

          免疫印迹 (WB)

          1:2,000-1:10,000
          -

          免疫组化 (IHC)

          1:1,000-1:5,000
          -

          免疫组化(石蜡) (IHC (P))

          1:1,000-1:5,000
          -

          免疫沉淀 (IP)

          Assay-dependent
          -
          产品规格

          种属反应

          Human, Mouse

          宿主/亚型

          Rabbit / IgG

          分类

          Polyclonal

          类型

          Antibody

          抗原

          Region between residue 1 and 50 of human Nuclear Factor of Activated T-cells 90 kDa, 110 kDa.
          查看免疫原

          偶联物

          Unconjugated Unconjugated Unconjugated

          形式

          Liquid

          浓度

          1 mg/mL

          纯化类型

          Antigen affinity chromatography

          保存液

          tris citrate/phosphate, pH 7-8

          内含物

          0.09% sodium azide

          保存条件

          4°C

          运输条件

          Ambient (domestic); Wet ice (international)

          产品详细信息

          The recommended shelf life for this product is 1 year from date of receipt.

          Application Note: For IHC, epitope retrieval with citrate buffer pH 6.0 is recommended for FFPE tissue sections.

          Based on 100% sequence identity, this antibody is predicted to react with Rat

          靶标信息

          UBA6 (UBE1L2, MOP-4)is a novel E1 enzyme specific for ubiquitin and belongs to the ubiquitin-activating E1 family. It is a part of the cascade to attach ubiquitin (Ub) covalently to substrate proteins. UBA6 activates ubiquitin by first adenylating its carboxy-terminal glycine residue with ATP and then linking this residue to the side chain of a cysteine residue in E1, yielding an ubiquitin-E1 thioester and free AMP. Its isoforms influence spermatogenesis and male fertility. UBA6 is highly expressed in human monocytes.

          仅用于科研。不用于诊断过程。未经明确授权不得转售。

          篇参考文献 (0)

          您是否在文献中引用过该产品?请点击下方按钮邮件告知我们。
          引用该产品

          生物信息学

          蛋白别名: Double-stranded RNA-binding protein 76; double-stranded RNA-binding protein, 76 kD; DRBP76; dsRNA binding protein NFAR-2/MPP4; interleukin enhancer binding factor 3, 90kD; interleukin enhancer binding factor 3, 90kDa; Interleukin enhancer-binding factor 3; M phase phosphoprotein 4; M-phase phosphoprotein 4; MPP4; NF-AT-90; NFAR; nuclear factor 90; Nuclear factor associated with dsRNA; Nuclear factor of activated T-cells 90 kDa; nuclear factor of activated T-cells, 90 kD; TCP80; Translational control protein 80

          查看更多 收起

          基因别名: CBTF; DRBF; DRBP76; ILF3; MBII-26; MMP4; MPHOSPH4; MPP4; NF-AT-90; NF110; NF110b; NF90; NF90a; NF90b; NFAR; NFAR-1; NFAR2; TCP110; TCP80

          查看更多 收起

          UniProt ID: (Human) Q9NRN3, (Mouse) Q9Z1X4

          查看更多 收起

          Entrez Gene ID: (Human) 3609, (Mouse) 16201

          查看更多 收起

          功能
          DNA binding RNA binding double-stranded RNA binding protein binding poly(A) RNA binding enzyme binding RNA metabolism protein
          参与通路
          transcription, DNA-templated protein phosphorylation negative regulation of translation negative regulation of viral genome replication negative regulation of transcription, DNA-templated positive regulation of transcription, DNA-templated defense response to virus regulation of transcription, DNA-templated protein methylation
          It has to be done as per old AB suggested Products section.
          guarantee_icon

          性能保障

          只要您发现Invitrogen抗体在实验中的表现与网站或说明书的所述内容不符,您即可享受免费退换货服务。*

          了解更多
          help_icon

          随时为您服务

          获取常见问题的专家解答,或者直接联系我们的技术专家,咨询应用、设备、常规产品使用问题。

          联系技术支持
          订购 Plus Icon Minus Icon
          • 订单状态查询
          • 订单支持
          • 货号直购
          • 现货供应中心
          • 电子采购
          支持 Plus Icon Minus Icon
          • 帮助&支持
          • 联系我们 - 400 820 8982
          • 技术支持中心
          • 查找文件&证书
          • 报告网站问题
          资源 Plus Icon Minus Icon
          • 学习中心
          • 促销
          • 活动&研讨会
          • 社交媒体
          关于赛默飞 Plus Icon Minus Icon
          • 关于我们
          • 招聘 招聘
          • 投资者关系 投资者关系
          • 新闻 新闻
          • 社会责任 社会责任
          • 商标
          • 政策和通知
          品牌 Plus Icon Minus Icon
          • Thermo Scientific
          • Applied Biosystems
          • Invitrogen
          • Gibco
          • Ion Torrent
          • Patheon
          • PPD
          • 服务条款
          • 隐私政策
          • 定价和运输保险政策
          © 2006-2026 Thermo Fisher Scientific Inc. All rights reserved. All trademarks are the property of Thermo Fisher Scientific and its subsidiaries unless otherwise specified.
          China flag icon
          China
          本网站销售的所有产品均不得用于人类或动物之临床诊断或治疗,仅可用于工业或者科研等非医疗目的。
             电子营业执照 | 经营证照公示 | ICP备案号:沪ICP备11003924号 | 沪公网安备 31011502006935号

          Your items have has been added!


          Host server : magellan-search-blue-55ff9ddd88-slzzl:80/100.66.73.10:80.
          git-commit: d366ff9721d93504b2ac26a183b2b3e3d0e7d9ec
          git-url: https://github.com/thermofisher/magellan-search
          git-branch: release/2.42.0-2026.01.03-1.0