Hamburger Menu Button
Thermo Fisher Scientific Logo
登录
没有账号?建立账号 注册
  • 产品
    • 抗体
    • 引物合成
    • GeneArt Gene Synthesis Instant Designer
    • TaqMan Assay and Array Search
    • PCR 设备和耗材
    • 色谱柱和纯化柱
    • 实验室离心机
    • 分子生物学试剂和试剂盒
    • 实验室塑料耗材及用品
    • 查看所有产品分类
  • 应用和技术
    • 色谱
    • 细胞转染和培养
    • 实时荧光定量PCR
    • 质谱
    • 实验室塑料耗材及用品
    • 电子显微镜
    • 蛋白质生物学
    • PCR
    • RNAi
    • 环境
    • 查看所有应用和技术
  • 服务
    • 定制服务
    • 企业级实验室信息化服务
    • 金融&租赁服务
    • 仪器服务
    • OEM和商业供应
    • 培训服务
    • 360° CDMO 和 CRO 服务
    • CDMO 服务
    • 临床试验 CRO 服务
    • Unity Lab Services
    • 查看所有帮助和支持
  • 帮助和支持
    • 学习中心
    • 联系我们
    • 更改国家或地区
    • 查看所有帮助和支持
  • 热门产品
    • TaqMan Real-Time PCR Assays
      TaqMan 实时荧光定量 PCR 试剂盒
    • Antibodies
      抗体
    • Oligos, Primers & Probes
      寡核苷酸、引物、探针
    • GeneArt Gene Synthesis
      GeneArt 基因合成
    • Cell Culture Plastics
      细胞培养耗材
  • Who We Serve
    • 抗体治疗解决方案
    • 细胞与基因治疗解决方案
    • 学术科研
    • 工业与应用
  • 联系我们
  • 货号直购
  • 订单查询
  • 查找文件&证书
Thermo Fisher Scientific Logo

Search

搜索全部或下列指定分类
Search button
          • 联系我们
          • 货号直购
          • 登录
            登录
            没有账号?建立账号 注册
            • 我的账号
            • 订单
            • 会员中心
            • 账单及发票查询
            • 定制产品及项目
          • Primary Antibodies ›
          • NFkB p50 Antibodies
          Formerly called “Recombinant polyclonal antibody”, this product is now rebranded as “Recombinant Superclonal™ antibody”. The physical product and the performance remain unchanged.

          Invitrogen

          NFkB p50 Recombinant Superclonal™ Antibody (24HCLC)

          高级验证
          2个已发表图片
          2 篇参考文献
          查看其他9个NFkB p50抗体

          {{$productOrderCtrl.translations['antibody.pdp.commerceCard.promotion.promotions']}}

          {{$productOrderCtrl.translations['antibody.pdp.commerceCard.promotion.viewpromo']}}

          {{$productOrderCtrl.translations['antibody.pdp.commerceCard.promotion.promocode']}}: {{promo.promoCode}} {{promo.promoTitle}} {{promo.promoDescription}}. {{$productOrderCtrl.translations['antibody.pdp.commerceCard.promotion.learnmore']}}

          说明书
          证书
          实验方案
          问题与答案
          技术支持
          说明书
          证书
          实验方案
          问题与答案
          技术支持
          说明书
          证书
          实验方案
          问题与答案
          技术支持

          Cite NFkB p50 Recombinant Superclonal™ Antibody (24HCLC)

          Additional Information:
          {{banner.description}}
          {{$ctrl.isSkuNotesCollapsed ? 'View more' : 'View less'}}
          • 抗体检测数据 (7)
          • 已发表图片 (2)
          • 高级验证 (1)
          NFkB p50 Antibody in Immunocytochemistry (ICC/IF)
          Group 53 Created with Sketch.
          NFkB p50 Antibody in Immunocytochemistry (ICC/IF)
          Group 53 Created with Sketch.

          图: 1 / 10

          {{ $ctrl.currentElement.advancedVerification.fullName }}
          {{ $ctrl.currentElement.advancedVerification.text }}

          NFkB p50 Antibody (710450) in ICC/IF

          Immunofluorescence analysis of NFkB p50 was done on 70% confluent log phase HeLa cells. The cells were fixed with 4% paraformaldehyde for 15 minutes, permeabilized with 0.25% Triton™ X-100 for 10 minutes, and blocked with 5% BSA for 1 hour at room temperature. The cells were labeled with NFkB p50 (24HCLC), Recombinant Rabbit Superclonal™ Antibody (Product # 710450) at 1 µg/mL in 1% BSA and incubated for 3 hours at room temperature and then labeled with Goat anti-Rabbit IgG (Heavy Chain) Superclonal™ Secondary Antibody, Alexa Fluor® 488 con... View More {{ $ctrl.currentElement.advancedVerification.fullName }} 验证信息 View more
          已发表图片由___提供 benchsci-logo
          PMID: {{$ctrl.currentElement.benchSciPubmedId}}
          查看产品

          {{$ctrl.videoDesc}}

          {{$ctrl.videoLongDesc}}

          NFkB p50 Antibody in Immunocytochemistry (ICC/IF)
          NFkB p50 Antibody in Immunocytochemistry (ICC/IF)
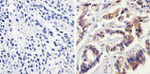
          NFkB p50 Antibody in Immunohistochemistry (Paraffin) (IHC (P))
          NFkB p50 Antibody in Immunohistochemistry (Paraffin) (IHC (P))
          NFkB p50 Antibody in Immunohistochemistry (Paraffin) (IHC (P))
          NFkB p50 Antibody in Western Blot (WB)
          NFkB p50 Antibody in ChIP Assay (ChIP)
          NFkB p50 Antibody in Western Blot (WB)
          NFkB p50 Antibody in Western Blot (WB)
          NFkB p50 Antibody
          NFkB p50 Recombinant Superclonal™ Antibody (24HCLC)

          产品信息

          710450

          应用
          建议稀释比
          已发表文章

          免疫印迹 (WB)

          2-3 µg/mL
          查看2篇已发表文章 2篇已发表文章

          免疫组化(石蜡) (IHC (P))

          1:20-1:200
          -

          免疫细胞化学 (ICC/IF)

          1-2 µg/mL
          -

          染色质免疫沉淀 实验 (ChIP)

          1-5 µg x 10^6 cells
          -
          产品规格

          种属反应

          Human, Mouse

          已发表种属

          Human, Mouse

          宿主/亚型

          Rabbit / IgG

          Expression System

          Expi293

          分类

          Recombinant Superclonal

          类型

          Antibody

          克隆号

          24HCLC

          抗原

          Peptide corresponding to amino acids 143-156 of human p50
          3D表位/免疫原

          偶联物

          Unconjugated Unconjugated Unconjugated

          形式

          Liquid

          浓度

          0.5 mg/mL

          规格

          100 µg

          纯化类型

          Protein A

          保存液

          PBS

          内含物

          0.09% sodium azide

          保存条件

          Store at 4°C short term. For long term storage, store at -20°C, avoiding freeze/thaw cycles.

          运输条件

          Wet ice

          RRID

          AB_2532720

          产品详细信息

          Recombinant rabbit Superclonal™ antibodies are unique offerings from Thermo Fisher Scientific. They are comprised of a selection of multiple different recombinant monoclonal antibodies, providing the best of both worlds - the sensitivity of polyclonal antibodies with the specificity of monoclonal antibodies - all delivered with the consistency only found in a recombinant antibody. While functionally the same as a polyclonal antibody - recognizing multiple epitope sites on the target and producing higher detection sensitivity for low abundance targets - a recombinant rabbit Superclonal™ antibody has a known mixture of light and heavy chains. The exact population can be produced in every lot, circumventing the biological variability typically associated with polyclonal antibody production. Note: Formerly called “Recombinant polyclonal antibody”, this product is now rebranded as “Recombinant Superclonal™ antibody”. The physical product and the performance remain unchanged.

          靶标信息

          NFkB is a nuclear transcription factor activated by various extra and intracellular stimuli such as cytokines, UV radiation, stress, in injury, and by bacterial and viral products. NFkB is involved in regulation of various cellular events including cell growth, differentiation, proliferation, apoptosis and inflammation. NFKB1 (p50) is a 50KDa functional sub-unit of NF-kB and a member of Rel protein family which is synthesized as a p105 precursor protein and consists of an N-terminal conserved RHD-region containing nuclear localization signal, DNA-binding and dimerization domains. NFKB1 (p50) forms homodimers or heterodimerizes with p65, forming the functional NFkB factor. Further, NFKB1 (p50) directs the nuclear translocation of NF-kB and is instrumental in its DNA-binding. The NFkB complex is expressed in most cell types, and is primarily found in the cytoplasm in an inactive state in association with I-kappa-B. Phosphorylation of I-kappa-B releases the complex, allowing translocation to the nucleus and modification of gene expression. Phosphorylation of the p50 subunit at the Ser-337 residue has been shown to significantly increase DNA binding efficiency of the NFkB protein complex. The pathological role of NFkB has been suggested in AIDS, hematogenic cancer cell metastasis and rheumatoid arthritis.

          仅用于科研。不用于诊断过程。未经明确授权不得转售。

          生物信息学

          蛋白别名: DKFZp686C01211; DNA-binding factor KBF1; EBP-1; MGC54151; NF kappaB1; NF KB; NF-kappa-B1 p84/NF-kappa-B1 p98; NF-kappaB p50; NF-kB p50; nuclear factor; nuclear factor kappa b; nuclear factor kappa-B DNA binding subunit; nuclear factor kappaB p50; Nuclear factor NF-kappa-B p105 subunit; nuclear factor NF-kappa-B p50 subunit; nuclear factor of kappa light chain gene enhancer in B-cells 1, p105; Nuclear factor of kappa light polypeptide gene enhancer in B-cells 1; nuclear factor of kappa light polypeptide gene enhancer in B-cells 1, p105; nuclear factor-kappaB p50; OTTHUMP00000219572; p50 subunit of NF kappaB; p50 subunit of NF-kappaB; unnamed protein product

          查看更多 收起

          基因别名: CVID12; EBP-1; KBF1; NF-kappa-B1; NF-kappaB; NF-kappaB1; NF-kappabeta; NF-kB; NF-KB1; NFkappaB; NFKB-p105; NFKB-p50; NFKB1; p105; p50; p50/p105

          查看更多 收起

          UniProt ID: (Human) P19838, (Mouse) P25799

          查看更多 收起

          Entrez Gene ID: (Human) 4790, (Mouse) 18033

          查看更多 收起

          功能
          transcription regulatory region sequence-specific DNA binding RNA polymerase II regulatory region sequence-specific DNA binding RNA polymerase II core promoter proximal region sequence-specific DNA binding RNA polymerase II transcription factor activity, sequence-specific DNA binding transcription coactivator binding transcriptional repressor activity, RNA polymerase II transcription regulatory region sequence-specific binding transcriptional activator activity, RNA polymerase II transcription regulatory region sequence-specific binding DNA binding chromatin binding transcription factor activity, sequence-specific DNA binding transcription cofactor activity protein binding identical protein binding actinin binding sequence-specific DNA binding protein sequestering activity regulatory region DNA binding RNA polymerase II distal enhancer sequence-specific DNA binding transcriptional activator activity, RNA polymerase II distal enhancer sequence-specific binding double-stranded DNA binding heat shock protein binding protein homodimerization activity transcription regulatory region DNA binding protein heterodimerization activity Rel homology transcription factor
          参与通路
          negative regulation of transcription from RNA polymerase II promoter MAPK cascade negative regulation of cytokine production immune system process regulation of transcription, DNA-templated regulation of transcription from RNA polymerase II promoter transcription from RNA polymerase II promoter apoptotic process inflammatory response signal transduction I-kappaB kinase/NF-kappaB signaling JNK cascade gene expression regulation of gene expression positive regulation of macromolecule biosynthetic process negative regulation of gene expression positive regulation of macrophage derived foam cell differentiation positive regulation of cholesterol efflux positive regulation of lipid storage negative regulation of vitamin D biosynthetic process signal transduction involved in regulation of gene expression negative regulation of interleukin-12 production tumor necrosis factor-mediated signaling pathway response to muscle stretch NIK/NF-kappaB signaling negative regulation of apoptotic process negative regulation of transcription, DNA-templated positive regulation of transcription, DNA-templated positive regulation of transcription from RNA polymerase II promoter negative regulation of inflammatory response positive regulation of inflammatory response B cell receptor signaling pathway mammary gland involution positive regulation of transcription initiation from RNA polymerase II promoter cellular response to lipopolysaccharide cellular response to mechanical stimulus cellular response to nicotine cellular response to cytokine stimulus cellular response to interleukin-6 cellular response to tumor necrosis factor cellular response to dsRNA positive regulation of canonical Wnt signaling pathway cellular response to interleukin-17 cellular response to virus antibacterial innate immune response negative regulation of cytokine production involved in inflammatory response positive regulation of hyaluronan biosynthetic process cellular response to angiotensin positive regulation of miRNA metabolic process transcription, DNA-templated response to oxidative stress negative regulation of calcidiol 1-monooxygenase activity response to cytokine negative regulation of interleukin-12 biosynthetic process innate immune response lymph node development cellular response to peptide hormone stimulus
          It has to be done as per old AB suggested Products section.

          Disclaimer

          Close

          Clicking the images or links will redirect you to a website hosted by BenchSci that provides third-party scientific content. Neither the content nor the BenchSci technology and processes for selection have been evaluated by us; we are providing them as-is and without warranty of any kind, including for use or application of the Thermo Fisher Scientific products presented.

          guarantee_icon

          性能保障

          只要您发现Invitrogen抗体在实验中的表现与网站或说明书的所述内容不符,您即可享受免费退换货服务。*

          了解更多
          help_icon

          随时为您服务

          获取常见问题的专家解答,或者直接联系我们的技术专家,咨询应用、设备、常规产品使用问题。

          联系技术支持
          订购 Plus Icon Minus Icon
          • 订单状态查询
          • 订单支持
          • 货号直购
          • 现货供应中心
          • 电子采购
          支持 Plus Icon Minus Icon
          • 帮助&支持
          • 联系我们 - 400 820 8982
          • 技术支持中心
          • 查找文件&证书
          • 报告网站问题
          资源 Plus Icon Minus Icon
          • 学习中心
          • 促销
          • 活动&研讨会
          • 社交媒体
          关于赛默飞 Plus Icon Minus Icon
          • 关于我们
          • 招聘 招聘
          • 投资者关系 投资者关系
          • 新闻 新闻
          • 社会责任 社会责任
          • 商标
          • 政策和通知
          品牌 Plus Icon Minus Icon
          • Thermo Scientific
          • Applied Biosystems
          • Invitrogen
          • Gibco
          • Ion Torrent
          • Unity Lab Services
          • Patheon
          • PPD
          • 服务条款
          • 隐私政策
          • 定价和运输保险政策
          © 2006-2026 Thermo Fisher Scientific Inc. All rights reserved. All trademarks are the property of Thermo Fisher Scientific and its subsidiaries unless otherwise specified.
          China flag icon
          China
          本网站销售的所有产品均不得用于人类或动物之临床诊断或治疗,仅可用于工业或者科研等非医疗目的。
             电子营业执照 | 经营证照公示 | ICP备案号:沪ICP备11003924号 | 沪公网安备 31011502006935号

          Your items have has been added!


          Host server : magellan-search-green-6479c7f679-jmhj8:80/100.66.74.142:80.
          git-commit: b70c0dceb888abc3b0dcebb5bc3a5b8753e7e816
          git-url: https://github.com/thermofisher/magellan-search
          git-branch: release/2.50.0-Offline