Hamburger Menu Button
Thermo Fisher Scientific Logo
登录
没有账号?建立账号 注册
  • 产品
    • 抗体
    • 引物合成
    • GeneArt Gene Synthesis Instant Designer
    • TaqMan Assay and Array Search
    • PCR 设备和耗材
    • 色谱柱和纯化柱
    • 实验室离心机
    • 分子生物学试剂和试剂盒
    • 实验室塑料耗材及用品
    • 查看所有产品分类
  • 应用和技术
    • 色谱
    • 细胞转染和培养
    • 实时荧光定量PCR
    • 质谱
    • 实验室塑料耗材及用品
    • 电子显微镜
    • 蛋白质生物学
    • PCR
    • RNAi
    • 环境
    • 查看所有应用和技术
  • 服务
    • 定制服务
    • 企业级实验室信息化服务
    • 金融&租赁服务
    • 仪器服务
    • OEM和商业供应
    • 培训服务
    • 360° CDMO 和 CRO 服务
    • CDMO 服务
    • 临床试验 CRO 服务
    • Unity Lab Services
    • 查看所有帮助和支持
  • 帮助和支持
    • 学习中心
    • 联系我们
    • 更改国家或地区
    • 查看所有帮助和支持
  • 热门产品
    • TaqMan Real-Time PCR Assays
      TaqMan 实时荧光定量 PCR 试剂盒
    • Antibodies
      抗体
    • Oligos, Primers & Probes
      寡核苷酸、引物、探针
    • GeneArt Gene Synthesis
      GeneArt 基因合成
    • Cell Culture Plastics
      细胞培养耗材
  • Who We Serve
    • 抗体治疗解决方案
    • 细胞与基因治疗解决方案
    • 学术科研
    • 工业与应用
  • 联系我们
  • 货号直购
  • 订单查询
  • 查找文件&证书
Thermo Fisher Scientific Logo

Search

搜索全部或下列指定分类
Search button
          • 联系我们
          • 货号直购
          • 登录
            登录
            没有账号?建立账号 注册
            • 我的账号
            • 订单
            • 会员中心
            • 账单及发票查询
            • 定制产品及项目
          • Primary Antibodies ›
          • NFkB p52/p100 Antibodies

          Invitrogen

          NFkB p52/p100 Polyclonal Antibody

          查看其他12个NFkB p52/p100抗体

          {{$productOrderCtrl.translations['antibody.pdp.commerceCard.promotion.promotions']}}

          {{$productOrderCtrl.translations['antibody.pdp.commerceCard.promotion.viewpromo']}}

          {{$productOrderCtrl.translations['antibody.pdp.commerceCard.promotion.promocode']}}: {{promo.promoCode}} {{promo.promoTitle}} {{promo.promoDescription}}. {{$productOrderCtrl.translations['antibody.pdp.commerceCard.promotion.learnmore']}}

          说明书
          证书
          实验方案
          问题与答案
          技术支持
          说明书
          证书
          实验方案
          问题与答案
          技术支持
          说明书
          证书
          实验方案
          问题与答案
          技术支持

          Cite NFkB p52/p100 Polyclonal Antibody

          Additional Information:
          {{banner.description}}
          {{$ctrl.isSkuNotesCollapsed ? 'View more' : 'View less'}}
          • 抗体检测数据 (5)
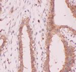
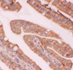
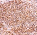
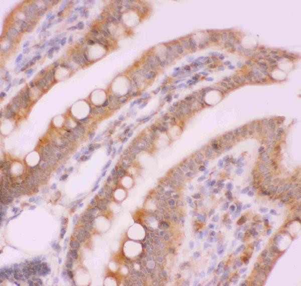
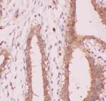
          NFkB p52/p100 Antibody in Immunohistochemistry (Paraffin) (IHC (P))
          Group 53 Created with Sketch.
          NFkB p52/p100 Antibody in Immunohistochemistry (Paraffin) (IHC (P))
          Group 53 Created with Sketch.

          图: 1 / 5

          {{ $ctrl.currentElement.advancedVerification.fullName }}
          {{ $ctrl.currentElement.advancedVerification.text }}

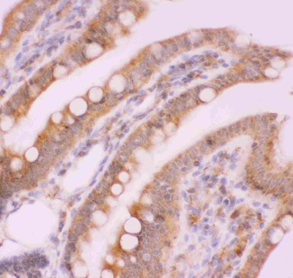
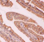
          NFkB p52/p100 Antibody (PA5-95198) in IHC (P)

          Immunohistochemistry (Paraffin) analysis of NFkB p52/p100 in paraffin-embedded section of rat intestine tissue using NFkB p52/p100 Polyclonal Antibody (Product # PA5-95198). Heat mediated antigen retrieval was performed in EDTA buffer (pH 8.0, epitope retrieval solution). The tissue section was blocked with 10% goat serum. The tissue section was then incubated with the primary antibody at a 1 µg/mL dilution... View More {{ $ctrl.currentElement.advancedVerification.fullName }} 验证信息 View more
          已发表图片由___提供 benchsci-logo
          PMID: {{$ctrl.currentElement.benchSciPubmedId}}
          查看产品

          {{$ctrl.videoDesc}}

          {{$ctrl.videoLongDesc}}

          NFkB p52/p100 Antibody in Immunohistochemistry (Paraffin) (IHC (P))
          NFkB p52/p100 Antibody in Immunohistochemistry (Paraffin) (IHC (P))
          NFkB p52/p100 Antibody in Immunohistochemistry (Paraffin) (IHC (P))
          NFkB p52/p100 Antibody in Immunohistochemistry (Paraffin) (IHC (P))
          NFkB p52/p100 Antibody in Western Blot (WB)
          NFkB p52/p100 Polyclonal Antibody

          产品信息

          PA5-95198

          应用
          建议稀释比
          已发表文章

          免疫印迹 (WB)

          0.1-0.5 µg/mL
          -

          免疫组化(石蜡) (IHC (P))

          0.5-1 µg/mL
          -
          产品规格

          种属反应

          Human, Mouse, Rat

          宿主/亚型

          Rabbit / IgG

          分类

          Polyclonal

          类型

          Antibody

          抗原

          E.coli-derived human NFkB p100/p52 recombinant protein (Position: M1-R340).
          3D表位/免疫原

          偶联物

          Unconjugated Unconjugated Unconjugated

          形式

          Lyophilized

          浓度

          500 µg/mL

          规格

          100 µg

          纯化类型

          Affinity chromatography

          保存液

          PBS with 5mg BSA

          内含物

          0.01mg sodium azide

          保存条件

          -20°C

          运输条件

          Ambient (domestic); Wet ice (international)

          RRID

          AB_2807003

          产品详细信息

          Human NFkB p100/p52 shares 96% amino acid (aa) sequence identity with mouse NFkB p100/p52.

          Reconstitute with 0.2 mL of distilled water to yield a concentration of 500 µg/mL.

          Positive Control - WB: human Hela whole cell, human Jurkat whole cell, human MCF-7 whole cell, human A549 whole cell, human U87 whole cell, mouse lung tissue, mouse RAW2647 whole cell. IHC: rat intestine tissue, human lung cancer tissue, human mammary cancer tissue, mouse intestine tissue.|Store at -20°C for one year from date of receipt. After reconstitution, at 4°C for one month. It can also be aliquotted and stored frozen at -20°C for six months. Avoid repeated freeze-thaw cycles.

          靶标信息

          The NFkB transcription factor was originally identified as a protein complex consisting of a DNA binding subunit and an associated protein. The subunit is functionally related to c-Rel p75 and Rel B p68. The p50 subunit was initially believed to be a functionally unique protein derived from the amino-terminus of a precursor designated p105. A cDNA has been isolated that encodes an alternative DNA binding subunit of NFkB. It is synthesized as a protein that is expressed in a variety of cell types and, like p105, undergoes cleavage to generate its NFkB subunit, in this case a protein designated p52 (previously referred to as p49). In contrast to p50 derived from p105, p52 acts in synergy with p65 to stimulate the HIV enhancer in transiently transfected Jurkat cells.

          仅用于科研。不用于诊断过程。未经明确授权不得转售。

          篇参考文献 (0)

          您是否在文献中引用过该产品?请点击下方按钮邮件告知我们。
          引用该产品

          生物信息学

          蛋白别名: DNA-binding factor KBF2; H2TF1; Lymphocyte translocation chromosome 10 protein; Lyt10; NF kappaB2; NF KB; NF-kB p52/p100; nfkb p100; NFKB, p52/p100 subunit; NFKB2 p100 subunit; nuclear factor; nuclear factor kappa b; nuclear factor Kappa-B, subunit 2; Nuclear factor NF-kappa-B p100 subunit; nuclear factor NF-kappa-B p52 subunit; nuclear factor of Kappa light chain gene enhancer in B cells 2; Nuclear factor of kappa light polypeptide gene enhancer in B-cells 2; nuclear factor of kappa light polypeptide gene enhancer in B-cells 2 (p49/p100); nuclear factor of kappa light polypeptide gene enhancer in B-cells 2, p49/p100; Oncogene Lyt-10; p50-NF-kappa B homolog; transcription factor NFKB2; unnamed protein product

          查看更多 收起

          基因别名: CVID10; H2TF1; lyt; LYT-10; LYT10; NF-kappaB2; NF-kB2; NFKB2; p100; p49; p49/p100; p50B; p52; RGD1307189

          查看更多 收起

          UniProt ID: (Human) Q00653, (Mouse) Q9WTK5

          查看更多 收起

          Entrez Gene ID: (Human) 4791, (Rat) 309452, (Mouse) 18034

          查看更多 收起

          功能
          RNA polymerase II core promoter proximal region sequence-specific DNA binding RNA polymerase II transcription factor activity, sequence-specific DNA binding transcriptional activator activity, RNA polymerase II transcription regulatory region sequence-specific binding DNA binding transcription factor activity, sequence-specific DNA binding protein binding sequence-specific double-stranded DNA binding RNA polymerase II regulatory region sequence-specific DNA binding transcriptional activator activity, RNA polymerase II core promoter proximal region sequence-specific binding chromatin binding Rel homology transcription factor
          参与通路
          follicular dendritic cell differentiation germinal center formation regulation of transcription, DNA-templated signal transduction I-kappaB kinase/NF-kappaB signaling extracellular matrix organization response to lipopolysaccharide response to cytokine NIK/NF-kappaB signaling positive regulation of transcription from RNA polymerase II promoter rhythmic process spleen development intracellular signaling cassette negative regulation of transcription from RNA polymerase II promoter transcription from RNA polymerase II promoter inflammatory response aging innate immune response transcription, DNA-templated regulation of transcription from RNA polymerase II promoter lymph node development
          It has to be done as per old AB suggested Products section.

          Disclaimer

          Close

          Clicking the images or links will redirect you to a website hosted by BenchSci that provides third-party scientific content. Neither the content nor the BenchSci technology and processes for selection have been evaluated by us; we are providing them as-is and without warranty of any kind, including for use or application of the Thermo Fisher Scientific products presented.

          guarantee_icon

          性能保障

          只要您发现Invitrogen抗体在实验中的表现与网站或说明书的所述内容不符,您即可享受免费退换货服务。*

          了解更多
          help_icon

          随时为您服务

          获取常见问题的专家解答,或者直接联系我们的技术专家,咨询应用、设备、常规产品使用问题。

          联系技术支持
          订购 Plus Icon Minus Icon
          • 订单状态查询
          • 订单支持
          • 货号直购
          • 现货供应中心
          • 电子采购
          支持 Plus Icon Minus Icon
          • 帮助&支持
          • 联系我们 - 400 820 8982
          • 技术支持中心
          • 查找文件&证书
          • 报告网站问题
          资源 Plus Icon Minus Icon
          • 学习中心
          • 促销
          • 活动&研讨会
          • 社交媒体
          关于赛默飞 Plus Icon Minus Icon
          • 关于我们
          • 招聘 招聘
          • 投资者关系 投资者关系
          • 新闻 新闻
          • 社会责任 社会责任
          • 商标
          • 政策和通知
          品牌 Plus Icon Minus Icon
          • Thermo Scientific
          • Applied Biosystems
          • Invitrogen
          • Gibco
          • Ion Torrent
          • Unity Lab Services
          • Patheon
          • PPD
          • 服务条款
          • 隐私政策
          • 定价和运输保险政策
          © 2006-2026 Thermo Fisher Scientific Inc. All rights reserved. All trademarks are the property of Thermo Fisher Scientific and its subsidiaries unless otherwise specified.
          China flag icon
          China
          本网站销售的所有产品均不得用于人类或动物之临床诊断或治疗,仅可用于工业或者科研等非医疗目的。
             电子营业执照 | 经营证照公示 | ICP备案号:沪ICP备11003924号 | 沪公网安备 31011502006935号

          Your items have has been added!


          Host server : magellan-search-green-6479c7f679-jmhj8:80/100.66.74.142:80.
          git-commit: b70c0dceb888abc3b0dcebb5bc3a5b8753e7e816
          git-url: https://github.com/thermofisher/magellan-search
          git-branch: release/2.50.0-Offline