Hamburger Menu Button
Thermo Fisher Scientific Logo
登录
没有账号?建立账号 注册
  • 产品
    • 抗体
    • 引物合成
    • GeneArt Gene Synthesis Instant Designer
    • TaqMan Assay and Array Search
    • PCR 设备和耗材
    • 色谱柱和纯化柱
    • 实验室离心机
    • 分子生物学试剂和试剂盒
    • 实验室塑料耗材及用品
    • 查看所有产品分类
  • 应用和技术
    • 色谱
    • 细胞转染和培养
    • 实时荧光定量PCR
    • 质谱
    • 实验室塑料耗材及用品
    • 电子显微镜
    • 蛋白质生物学
    • PCR
    • RNAi
    • 环境
    • 查看所有应用和技术
  • 服务
    • 定制服务
    • 企业级实验室信息化服务
    • 金融&租赁服务
    • 仪器服务
    • OEM和商业供应
    • 培训服务
    • 360° CDMO 和 CRO 服务
    • CDMO 服务
    • 临床试验 CRO 服务
    • Unity Lab Services
    • 查看所有帮助和支持
  • 帮助和支持
    • 学习中心
    • 联系我们
    • 更改国家或地区
    • 查看所有帮助和支持
  • 热门产品
    • TaqMan Real-Time PCR Assays
      TaqMan 实时荧光定量 PCR 试剂盒
    • Antibodies
      抗体
    • Oligos, Primers & Probes
      寡核苷酸、引物、探针
    • GeneArt Gene Synthesis
      GeneArt 基因合成
    • Cell Culture Plastics
      细胞培养耗材
  • Who We Serve
    • 抗体治疗解决方案
    • 细胞与基因治疗解决方案
    • 学术科研
    • 工业与应用
  • 联系我们
  • 货号直购
  • 订单查询
  • 查找文件&证书
Thermo Fisher Scientific Logo

Search

搜索全部或下列指定分类
Search button
          • 联系我们
          • 货号直购
          • 登录
            登录
            没有账号?建立账号 注册
            • 我的账号
            • 订单
            • 会员中心
            • 账单及发票查询
            • 定制产品及项目
          • Primary Antibodies ›
          • NGAL Antibodies

          Invitrogen

          NGAL Recombinant Rabbit Monoclonal Antibody (JM10-67)

          查看其他41个NGAL抗体

          {{$productOrderCtrl.translations['antibody.pdp.commerceCard.promotion.promotions']}}

          {{$productOrderCtrl.translations['antibody.pdp.commerceCard.promotion.viewpromo']}}

          {{$productOrderCtrl.translations['antibody.pdp.commerceCard.promotion.promocode']}}: {{promo.promoCode}} {{promo.promoTitle}} {{promo.promoDescription}}. {{$productOrderCtrl.translations['antibody.pdp.commerceCard.promotion.learnmore']}}

          说明书
          证书
          实验方案
          问题与答案
          技术支持
          说明书
          证书
          实验方案
          问题与答案
          技术支持
          说明书
          证书
          实验方案
          问题与答案
          技术支持

          Cite NGAL Recombinant Rabbit Monoclonal Antibody (JM10-67)

          Additional Information:
          {{banner.description}}
          {{$ctrl.isSkuNotesCollapsed ? 'View more' : 'View less'}}
          • 抗体检测数据 (11)
          NGAL Antibody in Immunocytochemistry (ICC/IF)
          Group 53 Created with Sketch.
          NGAL Antibody in Immunocytochemistry (ICC/IF)
          Group 53 Created with Sketch.

          图: 1 / 11

          {{ $ctrl.currentElement.advancedVerification.fullName }}
          {{ $ctrl.currentElement.advancedVerification.text }}

          NGAL Antibody (MA5-41222) in ICC/IF

          Immunofluorescence analysis of NGAL was performed using 70-80% confluent log phase HT-29 cells. The cells were fixed with 4% paraformaldehyde for 10 minutes, permeabilized with 0.1% Triton™ X-100 for 15 minutes, and blocked with 2% BSA for 45 minutes at room temperature. The cells were labeled with NGAL Recombinant Rabbit Monoclonal Antibody (JM10-67) (Product # MA5-41222, 1:50) in 0.1% BSA, incubated at 4 degree celsius overnight and then labeled with Donkey anti-Rabbit IgG (H+L) Highly Cross-Adsorbed Secondary Antibody, Alexa Fluor™ Plus... View More {{ $ctrl.currentElement.advancedVerification.fullName }} 验证信息 View more
          已发表图片由___提供 benchsci-logo
          PMID: {{$ctrl.currentElement.benchSciPubmedId}}
          查看产品

          {{$ctrl.videoDesc}}

          {{$ctrl.videoLongDesc}}

          NGAL Antibody in Immunocytochemistry (ICC/IF)
          NGAL Antibody in Immunocytochemistry (ICC/IF)
          NGAL Antibody in Immunocytochemistry (ICC/IF)
          NGAL Antibody in Immunocytochemistry (ICC/IF)
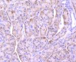
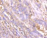
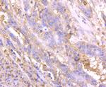
          NGAL Antibody in Immunohistochemistry (Paraffin) (IHC (P))
          NGAL Antibody in Immunohistochemistry (Paraffin) (IHC (P))
          NGAL Antibody in Immunohistochemistry (Paraffin) (IHC (P))
          NGAL Antibody in Immunohistochemistry (Paraffin) (IHC (P))
          NGAL Antibody in Immunohistochemistry (Paraffin) (IHC (P))
          NGAL Antibody in Western Blot (WB)
          NGAL Antibody in Western Blot (WB)
          NGAL Recombinant Rabbit Monoclonal Antibody (JM10-67)

          产品信息

          MA5-41222

          应用
          建议稀释比
          已发表文章

          免疫印迹 (WB)

          1:1000
          -

          免疫组化(石蜡) (IHC (P))

          1:1,000
          -

          免疫细胞化学 (ICC/IF)

          1:200
          -
          产品规格

          种属反应

          Human

          宿主/亚型

          Rabbit / IgG

          Expression System

          HEK293 cells

          分类

          Recombinant Monoclonal

          类型

          Antibody

          克隆号

          JM10-67

          抗原

          Synthetic peptide within human Lipocalin-2 aa 50-100.
          3D表位/免疫原

          偶联物

          Unconjugated Unconjugated Unconjugated

          形式

          Liquid

          浓度

          1 mg/mL

          规格

          100 µg

          纯化类型

          Protein A

          保存液

          TBS, pH 7.4, with 40% glycerol, 0.05% BSA

          内含物

          0.05% sodium azide

          保存条件

          Store at 4°C short term. For long term storage, store at -20°C, avoiding freeze/thaw cycles.

          运输条件

          Ambient (domestic); Wet ice (international)

          RRID

          AB_2898975

          靶标信息

          NGAL (Neutrophil gelatinase-associated lipocalin, lipocalin 2, siderocalin and neutrophil lipocalin) is a 25 kDa glycosylated single chain monomer and member of the lipocalin family of proteins that bind and transport small lipophilic molecules. NGAL is released by activated neutrophils, can form dimers and small amounts of higher oligomers, and complexes with matrix metalloproteinase 9 (MMP-9, gelatinase B). Low level expression of NGAL in a variety of epithelia may be increased in inflammation or cancers. Expression of NGAL in the kidney is dramatically increased by ischemic or nephrotoxic kidney injury.

          仅用于科研。不用于诊断过程。未经明确授权不得转售。

          篇参考文献 (0)

          您是否在文献中引用过该产品?请点击下方按钮邮件告知我们。
          引用该产品

          生物信息学

          蛋白别名: 25 kDa alpha-2-microglobulin-related subunit of MMP-9; HGNC:6526; LCN2; Lipocalin-2; Lipocalin2; migration-stimulating factor inhibitor; Neutrophil gelatinase-associated lipocalin; neutrophil lipocalin; NGAL; Oncogene 24p3; OTTHUMP00000022240; p25; RP23-161B9.11; Siderocalin; siderocalin LCN2; unnamed protein product; uterocalin

          查看更多 收起

          基因别名: 24p3; HNL; LCN2; MSFI; NGAL; p25

          查看更多 收起

          UniProt ID: (Human) P80188

          查看更多 收起

          Entrez Gene ID: (Human) 3934

          查看更多 收起

          功能
          protease binding iron ion binding protein binding small molecule binding identical protein binding iron ion sequestering activity enterobactin binding
          参与通路
          immune system process ion transport iron ion transport apoptotic process acute-phase response response to oxidative stress short-term memory long-term memory response to xenobiotic stimulus response to virus response to bacterium response to herbicide response to toxic substance response to blue light response to fructose response to iron(II) ion response to mycotoxin positive regulation of endothelial cell migration positive regulation of gene expression siderophore transport positive regulation of cell projection organization response to nutrient levels cellular response to nutrient levels response to lipopolysaccharide cellular response to increased oxygen levels defense response to bacterium positive regulation of apoptotic process positive regulation of neuron apoptotic process innate immune response cellular response to hydrogen peroxide cellular response to lipopolysaccharide cellular response to interleukin-1 cellular response to interleukin-6 cellular response to tumor necrosis factor cellular response to hypoxia cellular response to X-ray extrinsic apoptotic signaling pathway in absence of ligand positive regulation of hippocampal neuron apoptotic process negative regulation of hippocampal neuron apoptotic process positive regulation of cold-induced thermogenesis positive regulation of reactive oxygen species biosynthetic process response to kainic acid positive regulation of iron ion import across plasma membrane cellular response to beta-amyloid positive regulation of endothelial tube morphogenesis cellular response to nerve growth factor stimulus positive regulation of reactive oxygen species metabolic process
          It has to be done as per old AB suggested Products section.

          Disclaimer

          Close

          Clicking the images or links will redirect you to a website hosted by BenchSci that provides third-party scientific content. Neither the content nor the BenchSci technology and processes for selection have been evaluated by us; we are providing them as-is and without warranty of any kind, including for use or application of the Thermo Fisher Scientific products presented.

          guarantee_icon

          性能保障

          只要您发现Invitrogen抗体在实验中的表现与网站或说明书的所述内容不符,您即可享受免费退换货服务。*

          了解更多
          help_icon

          随时为您服务

          获取常见问题的专家解答,或者直接联系我们的技术专家,咨询应用、设备、常规产品使用问题。

          联系技术支持
          订购 Plus Icon Minus Icon
          • 订单状态查询
          • 订单支持
          • 货号直购
          • 现货供应中心
          • 电子采购
          支持 Plus Icon Minus Icon
          • 帮助&支持
          • 联系我们 - 400 820 8982
          • 技术支持中心
          • 查找文件&证书
          • 报告网站问题
          资源 Plus Icon Minus Icon
          • 学习中心
          • 促销
          • 活动&研讨会
          • 社交媒体
          关于赛默飞 Plus Icon Minus Icon
          • 关于我们
          • 招聘 招聘
          • 投资者关系 投资者关系
          • 新闻 新闻
          • 社会责任 社会责任
          • 商标
          • 政策和通知
          品牌 Plus Icon Minus Icon
          • Thermo Scientific
          • Applied Biosystems
          • Invitrogen
          • Gibco
          • Ion Torrent
          • Unity Lab Services
          • Patheon
          • PPD
          • 服务条款
          • 隐私政策
          • 定价和运输保险政策
          © 2006-2026 Thermo Fisher Scientific Inc. All rights reserved. All trademarks are the property of Thermo Fisher Scientific and its subsidiaries unless otherwise specified.
          China flag icon
          China
          本网站销售的所有产品均不得用于人类或动物之临床诊断或治疗,仅可用于工业或者科研等非医疗目的。
             电子营业执照 | 经营证照公示 | ICP备案号:沪ICP备11003924号 | 沪公网安备 31011502006935号

          Your items have has been added!


          Host server : magellan-search-green-6479c7f679-zb4k5:80/100.66.74.142:80.
          git-commit: b70c0dceb888abc3b0dcebb5bc3a5b8753e7e816
          git-url: https://github.com/thermofisher/magellan-search
          git-branch: release/2.50.0-Offline