Hamburger Menu Button
Thermo Fisher Scientific Logo
登录
没有账号?建立账号 注册
  • 产品
    • 抗体
    • 引物合成
    • GeneArt Gene Synthesis Instant Designer
    • TaqMan Assay and Array Search
    • PCR 设备和耗材
    • 色谱柱和纯化柱
    • 实验室离心机
    • 分子生物学试剂和试剂盒
    • 实验室塑料耗材及用品
    • 查看所有产品分类
  • 应用和技术
    • 色谱
    • 细胞转染和培养
    • 实时荧光定量PCR
    • 质谱
    • 实验室塑料耗材及用品
    • 电子显微镜
    • 蛋白质生物学
    • PCR
    • RNAi
    • 环境
    • 查看所有应用和技术
  • 服务
    • 定制服务
    • 企业级实验室信息化服务
    • 金融&租赁服务
    • 仪器服务
    • OEM和商业供应
    • 培训服务
    • 360° CDMO 和 CRO 服务
    • CDMO 服务
    • 临床试验 CRO 服务
    • Unity Lab Services
    • 查看所有帮助和支持
  • 帮助和支持
    • 学习中心
    • 联系我们
    • 更改国家或地区
    • 查看所有帮助和支持
  • 热门产品
    • TaqMan Real-Time PCR Assays
      TaqMan 实时荧光定量 PCR 试剂盒
    • Antibodies
      抗体
    • Oligos, Primers & Probes
      寡核苷酸、引物、探针
    • GeneArt Gene Synthesis
      GeneArt 基因合成
    • Cell Culture Plastics
      细胞培养耗材
  • Who We Serve
    • 抗体治疗解决方案
    • 细胞与基因治疗解决方案
    • 学术科研
    • 工业与应用
  • 联系我们
  • 货号直购
  • 订单查询
  • 查找文件&证书
Thermo Fisher Scientific Logo

Search

搜索全部或下列指定分类
Search button
          • 联系我们
          • 货号直购
          • 登录
            登录
            没有账号?建立账号 注册
            • 我的账号
            • 订单
            • 会员中心
            • 账单及发票查询
            • 定制产品及项目
          • Primary Antibodies ›
          • NGF Antibodies

          Invitrogen

          NGF Monoclonal Antibody (C2)

          查看其他44个NGF抗体

          {{$productOrderCtrl.translations['antibody.pdp.commerceCard.promotion.promotions']}}

          {{$productOrderCtrl.translations['antibody.pdp.commerceCard.promotion.viewpromo']}}

          {{$productOrderCtrl.translations['antibody.pdp.commerceCard.promotion.promocode']}}: {{promo.promoCode}} {{promo.promoTitle}} {{promo.promoDescription}}. {{$productOrderCtrl.translations['antibody.pdp.commerceCard.promotion.learnmore']}}

          说明书
          证书
          实验方案
          问题与答案
          技术支持
          说明书
          证书
          实验方案
          问题与答案
          技术支持
          说明书
          证书
          实验方案
          问题与答案
          技术支持

          Cite NGF Monoclonal Antibody (C2)

          Additional Information:
          {{banner.description}}
          {{$ctrl.isSkuNotesCollapsed ? 'View more' : 'View less'}}
          • 抗体检测数据 (3)
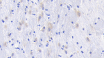
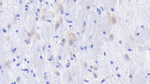
          NGF Antibody in Immunohistochemistry (Paraffin) (IHC (P))
          Group 53 Created with Sketch.
          NGF Antibody in Immunohistochemistry (Paraffin) (IHC (P))
          Group 53 Created with Sketch.

          图: 1 / 3

          {{ $ctrl.currentElement.advancedVerification.fullName }}
          {{ $ctrl.currentElement.advancedVerification.text }}

          NGF Antibody (MA566042) in IHC (P)

          Immunohistochemistry analysis of NGF in paraffin-embedded Rat Cerebrum tissue; (Control: PBS). Samples were incubated with NGF Monoclonal (Product # MA566042) antibody using a dilution of 20 µg/mL, followed by HRP-Linked Caprine Anti-Mouse IgG (2 µg/mL) and DAB. {{ $ctrl.currentElement.advancedVerification.fullName }} 验证信息 View more
          已发表图片由___提供 benchsci-logo
          PMID: {{$ctrl.currentElement.benchSciPubmedId}}
          查看产品

          {{$ctrl.videoDesc}}

          {{$ctrl.videoLongDesc}}

          NGF Antibody in Immunohistochemistry (Paraffin) (IHC (P))
          NGF Antibody in Immunohistochemistry (Paraffin) (IHC (P))
          NGF Antibody in Western Blot (WB)
          NGF Monoclonal Antibody (C2)

          产品信息

          MA566042

          应用
          建议稀释比
          已发表文章

          免疫印迹 (WB)

          0.5-2 µg/mL
          -

          免疫组化(石蜡) (IHC (P))

          5-20 µg/mL
          -

          免疫细胞化学 (ICC/IF)

          5-20 µg/mL
          -
          产品规格

          种属反应

          Human, Rat

          宿主/亚型

          Mouse / IgG2b, kappa

          分类

          Monoclonal

          类型

          Antibody

          克隆号

          C2

          抗原

          Recombinant Nerve Growth Factor (NGF) (Glu19-Gly241)
          3D表位/免疫原

          偶联物

          Unconjugated Unconjugated Unconjugated

          形式

          Liquid

          浓度

          1 mg/mL

          规格

          200 µg

          纯化类型

          Affinity chromatography

          保存液

          PBS, pH 7.4, with 50% glycerol

          内含物

          0.05% ProClin 300

          保存条件

          Store at 4°C short term. For long term storage, store at -20°C, avoiding freeze/thaw cycles.

          运输条件

          Ambient (domestic); Wet ice (international)

          RRID

          AB_3715190

          靶标信息

          Nerve growth factor (NGF) influences the survival and differentiation of a variety of neuronal and nonneuronal cells. The actions of this polypeptide result from binding to specific cell surface receptors which are present as both high and low affinity sites. Although both types of receptor bind NGF only the high affinity form is capable of signal transduction. Cross-linking studies with 125I-NGF have shown that the high affinity receptor of rat PC12 cells forms an Mr 158,000 complex with NGF while the low affinity receptor forms an Mr 100,000 complex. Full length cDNA clones for both the human and rat NGF receptor genes have been produced and sequenced, revealing greater than 90% homology between the two species. NGF exhibits nerve growth stimulating activity and is involved in the regulation of growth and the differentiation of sympathetic and certain sensory neurons. Further, NGF stimulates division and differentiation of sympathetic and embryonic sensory neurons. Mutations in the NGF gene have been associated with hereditary sensory and autonomic neuropathy, type 5 (HSAN5), and dysregulation of NGF gene expression is associated with allergic rhinitis.

          仅用于科研。不用于诊断过程。未经明确授权不得转售。

          篇参考文献 (0)

          您是否在文献中引用过该产品?请点击下方按钮邮件告知我们。
          引用该产品

          生物信息学

          蛋白别名: B nerve growth factor; b-NGF; beta ngf; Beta-nerve growth factor; Beta-NGF; BetaNGF; bNGF; MGC161426; MGC161428; Nerve growth factor; nerve growth factor (beta polypeptide); nerve growth factor, beta subunit; NGF b; NGF β; NGFB; NGFbeta; NGFβ; pro-nerve growth factor long; unnamed protein product; β nerve growth factor; β NGF; βNGF

          查看更多 收起

          基因别名: Beta-NGF; HSAN5; NGF; NGFB

          查看更多 收起

          UniProt ID: (Human) P01138, (Rat) P25427

          查看更多 收起

          Entrez Gene ID: (Human) 4803, (Rat) 310738

          查看更多 收起

          功能
          enzyme inhibitor activity receptor binding nerve growth factor receptor binding protein binding growth factor activity metalloendopeptidase inhibitor activity lipid binding cysteine-type endopeptidase activator activity involved in apoptotic process transmembrane receptor protein tyrosine kinase activator activity peptidase inhibitor activity death receptor agonist activity molecular_function receptor signaling protein activity neurotrophic factor
          参与通路
          signal transduction transmembrane receptor protein tyrosine kinase signaling pathway peripheral nervous system development circadian rhythm negative regulation of cell proliferation extrinsic apoptotic signaling pathway via death domain receptors positive regulation of gene expression positive regulation of neuron projection development positive regulation of neuron maturation sensory perception of pain nerve development neuron projection development positive regulation of protein ubiquitination nerve growth factor signaling pathway negative regulation of neuron apoptotic process regulation of neuron differentiation positive regulation of neuron differentiation positive regulation of axon extension positive regulation of Ras protein signal transduction regulation of neurotransmitter secretion neurotrophin TRK receptor signaling pathway positive regulation of collateral sprouting axon extension neuron projection morphogenesis modulation of synaptic transmission regulation of release of sequestered calcium ion into cytosol neuron apoptotic process positive regulation of protein kinase B signaling positive regulation of ERK1 and ERK2 cascade extrinsic apoptotic signaling pathway in absence of ligand inflammatory response cell-cell signaling aging memory positive regulation of cell proliferation adult locomotory behavior response to radiation response to mechanical stimulus response to organic substance response to ozone negative regulation of endopeptidase activity response to organic cyclic compound positive regulation of cell growth positive regulation of protein autophosphorylation response to lipopolysaccharide response to nicotine intracellular signal transduction response to drug response to peptide hormone positive regulation of sequence-specific DNA binding transcription factor activity response to glucocorticoid positive regulation of neurotrophin TRK receptor signaling pathway response to electrical stimulus positive regulation of stem cell proliferation negative regulation of type B pancreatic cell apoptotic process
          It has to be done as per old AB suggested Products section.

          Disclaimer

          Close

          Clicking the images or links will redirect you to a website hosted by BenchSci that provides third-party scientific content. Neither the content nor the BenchSci technology and processes for selection have been evaluated by us; we are providing them as-is and without warranty of any kind, including for use or application of the Thermo Fisher Scientific products presented.

          guarantee_icon

          性能保障

          只要您发现Invitrogen抗体在实验中的表现与网站或说明书的所述内容不符,您即可享受免费退换货服务。*

          了解更多
          help_icon

          随时为您服务

          获取常见问题的专家解答,或者直接联系我们的技术专家,咨询应用、设备、常规产品使用问题。

          联系技术支持
          订购 Plus Icon Minus Icon
          • 订单状态查询
          • 订单支持
          • 货号直购
          • 现货供应中心
          • 电子采购
          支持 Plus Icon Minus Icon
          • 帮助&支持
          • 联系我们 - 400 820 8982
          • 技术支持中心
          • 查找文件&证书
          • 报告网站问题
          资源 Plus Icon Minus Icon
          • 学习中心
          • 促销
          • 活动&研讨会
          • 社交媒体
          关于赛默飞 Plus Icon Minus Icon
          • 关于我们
          • 招聘 招聘
          • 投资者关系 投资者关系
          • 新闻 新闻
          • 社会责任 社会责任
          • 商标
          • 政策和通知
          品牌 Plus Icon Minus Icon
          • Thermo Scientific
          • Applied Biosystems
          • Invitrogen
          • Gibco
          • Ion Torrent
          • Unity Lab Services
          • Patheon
          • PPD
          • 服务条款
          • 隐私政策
          • 定价和运输保险政策
          © 2006-2026 Thermo Fisher Scientific Inc. All rights reserved. All trademarks are the property of Thermo Fisher Scientific and its subsidiaries unless otherwise specified.
          China flag icon
          China
          本网站销售的所有产品均不得用于人类或动物之临床诊断或治疗,仅可用于工业或者科研等非医疗目的。
             电子营业执照 | 经营证照公示 | ICP备案号:沪ICP备11003924号 | 沪公网安备 31011502006935号

          Your items have has been added!


          Host server : magellan-search-green-6479c7f679-sz4vp:80/100.66.76.236:80.
          git-commit: b70c0dceb888abc3b0dcebb5bc3a5b8753e7e816
          git-url: https://github.com/thermofisher/magellan-search
          git-branch: release/2.50.0-Offline