Hamburger Menu Button
Thermo Fisher Scientific Logo
登录
没有账号?建立账号 注册
  • 产品
    • 抗体
    • 引物合成
    • GeneArt Gene Synthesis Instant Designer
    • TaqMan Assay and Array Search
    • PCR 设备和耗材
    • 色谱柱和纯化柱
    • 实验室离心机
    • 分子生物学试剂和试剂盒
    • 实验室塑料耗材及用品
    • 查看所有产品分类
  • 应用和技术
    • 色谱
    • 细胞转染和培养
    • 实时荧光定量PCR
    • 质谱
    • 实验室塑料耗材及用品
    • 电子显微镜
    • 蛋白质生物学
    • PCR
    • RNAi
    • 环境
    • 查看所有应用和技术
  • 服务
    • 定制服务
    • 企业级实验室信息化服务
    • 企业服务
    • 金融&租赁服务
    • 仪器服务
    • OEM和商业供应
    • 培训服务
    • 360° CDMO 和 CRO 服务
    • CDMO 服务
    • 临床试验 CRO 服务
    • 查看所有帮助和支持
  • 帮助和支持
    • 学习中心
    • 联系我们
    • 更改国家或地区
    • 查看所有帮助和支持
  • 热门产品
    • TaqMan Real-Time PCR Assays
      TaqMan 实时荧光定量 PCR 试剂盒
    • Antibodies
      抗体
    • Oligos, Primers & Probes
      寡核苷酸、引物、探针
    • GeneArt Gene Synthesis
      GeneArt 基因合成
    • Cell Culture Plastics
      细胞培养耗材
  • 联系我们
  • 货号直购
  • 订单查询
  • 查找文件&证书
Thermo Fisher Scientific Logo

Search

搜索全部或下列指定分类
Search button
          • 联系我们
          • 货号直购
          • 登录
            登录
            没有账号?建立账号 注册
            • 我的账号
            • 订单
            • 账单及发票查询
            • 定制产品及项目

          Disclaimer

          Clicking the images or links will redirect you to a website hosted by BenchSci that provides third-party scientific content. Neither the content nor the BenchSci technology and processes for selection have been evaluated by us; we are providing them as-is and without warranty of any kind, including for use or application of the Thermo Fisher Scientific products presented.

          • Primary Antibodies ›
          • NGFR (CD271) Antibodies

          NeoBiotechnologies

          NGF-Receptor (p75)/CD271 Recombinant Mouse Monoclonal Antibody (rNGFR, 1965)

          查看其他72个NGFR (CD271)抗体

          {{$productOrderCtrl.translations['antibody.pdp.commerceCard.promotion.promotions']}}

          {{$productOrderCtrl.translations['antibody.pdp.commerceCard.promotion.viewpromo']}}

          {{$productOrderCtrl.translations['antibody.pdp.commerceCard.promotion.promocode']}}: {{promo.promoCode}} {{promo.promoTitle}} {{promo.promoDescription}}. {{$productOrderCtrl.translations['antibody.pdp.commerceCard.promotion.learnmore']}}

          说明书
          实验方案
          问题与答案
          技术支持
          说明书
          实验方案
          问题与答案
          技术支持
          说明书
          实验方案
          问题与答案
          技术支持

          Cite NGF-Receptor (p75)/CD271 Recombinant Mouse Monoclonal Antibody (rNGFR, 1965)

          • 抗体检测数据 (4)
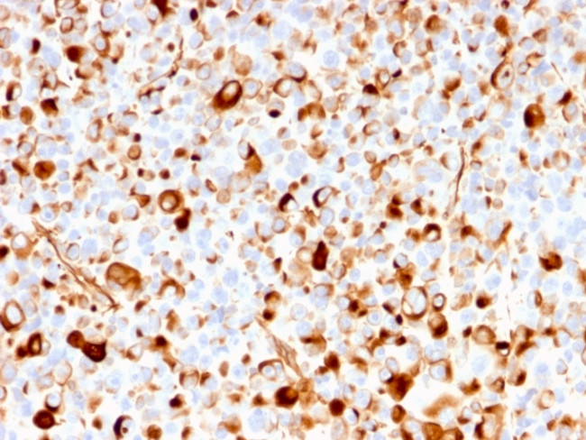
          NGF-Receptor (p75)/CD271 Antibody in Immunohistochemistry (Paraffin) (IHC (P))
          Group 53 Created with Sketch.
          NGF-Receptor (p75)/CD271 Antibody in Immunohistochemistry (Paraffin) (IHC (P))
          Group 53 Created with Sketch.

          图: 1 / 4

          {{ $ctrl.currentElement.advancedVerification.fullName }}
          {{ $ctrl.currentElement.advancedVerification.text }}

          NGF-Receptor (p75)/CD271 Antibody (4804-MSM10-P1) in IHC (P)

          Immunohistochemistry (Paraffin) analysis performed in formalin fixed, paraffin-embedded human melanoma using NGF-Receptor (p75), CD271 Recombinant Monoclonal Antibody (Product # 4804-MSM10-P1). {{ $ctrl.currentElement.advancedVerification.fullName }} 验证信息 View more
          已发表图片由___提供 benchsci-logo
          PMID: {{$ctrl.currentElement.benchSciPubmedId}}
          查看产品

          {{$ctrl.videoDesc}}

          {{$ctrl.videoLongDesc}}

          NGF-Receptor (p75)/CD271 Antibody in Immunohistochemistry (Paraffin) (IHC (P))
          NGF-Receptor (p75)/CD271 Antibody in Immunohistochemistry (Paraffin) (IHC (P))
          NGF-Receptor (p75)/CD271 Antibody in Western Blot (WB)
          NGF-Receptor (p75)/CD271 Antibody in SDS-PAGE (SDS-PAGE)
          NGF-Receptor (p75)/CD271 Recombinant Mouse Monoclonal Antibody (rNGFR, 1965)

          产品信息

          4804-MSM10-P1

          应用
          建议稀释比
          已发表文章

          免疫印迹 (WB)

          1-2 µg/mL
          -

          免疫组化(石蜡) (IHC (P))

          1-2 µg/mL
          -
          产品规格

          种属反应

          Human

          宿主/亚型

          Mouse / IgG1, kappa

          Expression System

          HEK293 cells

          分类

          Recombinant Monoclonal

          类型

          Antibody

          克隆号

          rNGFR, 1965

          抗原

          Recombinant human p75 NGFR protein fragment (around aa 281-421)
          查看免疫原

          偶联物

          Unconjugated Unconjugated Unconjugated

          形式

          Liquid

          浓度

          200 µg/mL

          纯化类型

          Protein A/G

          保存液

          PBS, pH 7.4, with 0.05% BSA

          内含物

          0.05% sodium azide

          保存条件

          4°C

          运输条件

          Ambient (domestic); Wet ice (international)

          产品详细信息

          Immunohistochemistry (PFA fixed): incubate antibody for 30 minutes at RT. Staining of formalin-fixed tissues requires heating tissue sections in 10mM Tris with 1mM EDTA, pH 9.0, for 45 min at 95 degrees C followed by cooling at RT for 20 minutes.

          靶标信息

          Neurotrophic factors control the survival, differentiation and maintenance of neurons in the peripheral and central nervous systems, and of other neural crest-derived cell types. Developing sympathetic neurons are absolutely dependent upon nerve growth factor (NGF) during the period of target competition in vivo. Antibodies reacting specifically with NGFR p75 are useful tools in the detection and characterization of NGFR p75, to enhance our understanding of a wide range of phenomena in the development, plasticity and repair of the nervous system.

          仅用于科研。不用于诊断过程。未经明确授权不得转售。

          篇参考文献 (0)

          您是否在文献中引用过该产品?请点击下方按钮邮件告知我们。
          引用该产品

          生物信息学

          蛋白别名: CD271; CD271 antigen; Gp80-LNGFR; low affinity nerve growth factor receptor; Low affinity neurotrophin receptor p75NTR; Low-affinity nerve growth factor receptor; Low-affinity nerve growth factor receptor p75NGFR; Low-affinity nerve growth factor receptor p75NGR; NGF receptor; p-75; p75 ICD; p75 ntr; TNFR superfamily, member 16; TNR16; Tumor necrosis factor receptor superfamily member 16

          查看更多 收起

          基因别名: CD271; Gp80-LNGFR; NGFR; p75(NTR); p75NTR; TNFRSF16

          查看更多 收起

          UniProt ID: (Human) P08138

          查看更多 收起

          Entrez Gene ID: (Human) 4804

          查看更多 收起

          功能
          beta-amyloid binding signal transducer activity receptor activity transmembrane signaling receptor activity tumor necrosis factor-activated receptor activity neurotrophin TRKA receptor binding protein binding Rab GTPase binding ubiquitin protein ligase binding nerve growth factor binding preprotein binding transmembrane signal receptor
          参与通路
          intracellular protein transport activation of cysteine-type endopeptidase activity involved in apoptotic process inflammatory response immune response axon guidance response to wounding negative regulation of neuron projection development sensory perception of pain membrane protein intracellular domain proteolysis positive regulation of myelination positive regulation of synaptic transmission, cholinergic response to lipopolysaccharide circadian regulation of gene expression tumor necrosis factor-mediated signaling pathway cellular response to oxidative stress positive regulation of Rho protein signal transduction skeletal muscle cell differentiation regulation of cell proliferation glucose homeostasis regulation of apoptotic process positive regulation of apoptotic process negative regulation of apoptotic process negative regulation of cysteine-type endopeptidase activity involved in apoptotic process regulation of cysteine-type endopeptidase activity involved in apoptotic process positive regulation of MAPK cascade negative regulation of neuron apoptotic process neurotrophin TRK receptor signaling pathway negative regulation of axonogenesis positive regulation of axonogenesis positive regulation of protein kinase B signaling negative regulation of mitochondrial depolarization positive regulation of synaptic transmission, glutamatergic apoptotic signaling pathway positive regulation of neuron death regulation of reactive oxygen species metabolic process regulation of glucose import in response to insulin stimulus
          It has to be done as per old AB suggested Products section.
          guarantee_icon

          性能保障

          只要您发现Invitrogen抗体在实验中的表现与网站或说明书的所述内容不符,您即可享受免费退换货服务。*

          了解更多
          help_icon

          随时为您服务

          获取常见问题的专家解答,或者直接联系我们的技术专家,咨询应用、设备、常规产品使用问题。

          联系技术支持
          订购 Plus Icon Minus Icon
          • 订单状态查询
          • 订单支持
          • 货号直购
          • 现货供应中心
          • 电子采购
          支持 Plus Icon Minus Icon
          • 帮助&支持
          • 联系我们 - 400 820 8982
          • 技术支持中心
          • 查找文件&证书
          • 报告网站问题
          资源 Plus Icon Minus Icon
          • 学习中心
          • 促销
          • 活动&研讨会
          • 社交媒体
          关于赛默飞 Plus Icon Minus Icon
          • 关于我们
          • 招聘 招聘
          • 投资者关系 投资者关系
          • 新闻 新闻
          • 社会责任 社会责任
          • 商标
          • 政策和通知
          品牌 Plus Icon Minus Icon
          • Thermo Scientific
          • Applied Biosystems
          • Invitrogen
          • Gibco
          • Ion Torrent
          • Patheon
          • PPD
          • 服务条款
          • 隐私政策
          • 定价和运输保险政策
          © 2006-2025 Thermo Fisher Scientific Inc. All rights reserved. All trademarks are the property of Thermo Fisher Scientific and its subsidiaries unless otherwise specified.
          China flag icon
          China
          本网站销售的所有产品均不得用于人类或动物之临床诊断或治疗,仅可用于工业或者科研等非医疗目的。
             电子营业执照 | 经营证照公示 | ICP备案号:沪ICP备11003924号 | 沪公网安备 31011502006935号

          Your items have has been added!


          Host server : magellan-search-green-55658555d6-f57tp:80/100.66.72.233:80.
          git-commit: ec8e7df5f8fec8d765bd419205f1b5046a016d37
          git-url: https://github.com/thermofisher/magellan-search
          git-branch: release/2.41.0-Offline